对于滤泡性淋巴瘤(FL)而言,以利妥昔单抗为基础的免疫化疗是主要治疗策略之一,但多数患者难以实现根治,疾病易复发,且每次复发后缓解持续时间呈递减趋势,同时难治性风险显著增加。为帮助大家进一步明确该类患者的诊疗方案,【肿瘤资讯】特别邀请浙江大学医学院附属第二医院童杰峰教授分享两例典型FL病例的治疗经过。
病例1为FL 3A级,Lugano分期Ⅲ期A组,FLIPI评分为1分(低危)。一线治疗采用R-CHOP方案(利妥昔单抗联合环磷酰胺、多柔比星、长春新碱、泼尼松),完成6周期治疗后患者仅达部分缓解(PR)。随后二线治疗改用泽布替尼联合BR方案(苯达莫司汀联合利妥昔单抗)治疗3周期,患者最终达完全缓解(CR)。治疗期间患者曾出现短暂皮疹,经抗过敏治疗后缓解。后续采用泽布替尼联合利妥昔单抗(ZR方案)进行维持治疗。病例2为FL II级,Lugano分期IV期B组,FLIPI评分为4分(高危)。一线治疗采用R-CHOP方案2疗程后达PR。后续行来那度胺联合R-CHOP方案1周期,但患者出现严重不良反应而停药。为提高疗效和安全性,医生调整方案为BTK抑制剂(BTKi)泽布替尼联合BR方案4周期治疗。最终评估显示患者淋巴结病灶显著缩小至影像学阴性,随后接受利妥昔单抗维持治疗。
本文还特别邀请浙江大学医学院附属第二医院梁赟教授对以上两例患者的治疗过程进行专业解读。总体而言,新型无化疗方案的应用为患者带来长期生存希望,未来治疗目标正逐步向功能性治愈迈进。
专家简历
浙江大学医学院附属第二医院血液内科
专业方向:
血液疾病规范化诊疗
淋巴瘤的精准治疗
细胞免疫治疗与造血干细胞移植
主持和主参浙江省科技厅/省教育厅多项科研与教改项目
以第一作者和主要作者发表SCI论文多篇
病例分享
病例一:第一阶段免疫化疗后难治的患者,二线治疗该如何选择?
基本信息
一般资料:患者男性,43岁
2021年8月初次入院
主诉:左颈部淋巴结肿大,无发热乏力消瘦盗汗。
体格检查:查体左侧颈部可及多枚肿大淋巴结,质地中等偏硬,活动度较差。
辅助检查
PET/CT检查:左侧颈部IV区淋巴结肿大,较大者约1.57*1.30cm,SUVmax=5.15;腹膜后(腹主动脉旁)、肠系膜根部多发稍大淋巴结、SUVmax=6.18;以上病变考虑为淋巴瘤累及病灶。
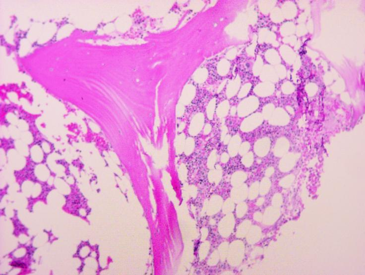
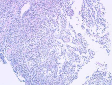
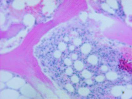
淋巴结穿刺病理:左侧颈部淋巴结组织增生性病变,CD20+,bcl-2+,IgH重排阳性。

初步诊断:考虑淋巴结边缘区淋巴瘤。无治疗指征,定期随诊复查。
2024年3月再次入院
主诉:腹痛2周。
辅助检查
浅表淋巴结彩超示:左颈部多发淋巴结肿大,较大者约4.82*2.09cm。
全腹部CT:腹膜后多发肿大淋巴结。
PET/CT检查: 左侧颈部III-IV 区、左侧锁骨区见多个肿大淋巴结,较大者约47*44mm,放射性摄取异常增高,SUVmax=10.0。腹膜后、腹主动脉旁、肠系膜根部多发肿大淋巴结,放射性摄取增高,SUVmax=9.36。肝血池SUVmax=3.33;纵隔血池SUVmax=2.2。

左颈部淋巴结病理提示:滤泡性淋巴瘤,3A级。
骨髓流式检查:阴性
骨髓活检结果:造血细胞容积约60%,粒红比稍偏低,巨核细胞数量及形态正常,未见明确肿瘤。

免疫组化检查结果(左侧颈部淋巴结):c-MYC(<40%), Bcl-6(生发中心+), CD10(生发中心+), CD19(+++), CD20(+++), CD21(FDC+), CD23(FDC+), CD3( T+), CD30(活化细胞+), CD35(FDC+), CD45(LCA)(+++), CD45RO(+), CD79a(+++), Cyclin D1(-), Ki-67(生发中心+(30%)), MUM1(-), SOX11(-), Bcl-2(+++), EBER ISH(-);Ig克隆性重排:阳性。


生化检验:血清LDH正常范围。
临床诊断
滤泡性淋巴瘤(3A级),Lugano分期III期A组,FLIPI评分1分(低危)。
治疗经过
2024-03-20、2024-04-13、2024-5-08给予R-CHOP方案治疗3疗程,整体耐受性良好。
2024-06-03中期PET/CT检查结果为PR。
2024-06-09、2024-07-07、2024-08-06给予BTKi泽布替尼联合BR方案进行治疗。治疗过程中,患者曾出现过短期皮疹,但经抗过敏治疗后好转。
2024-09-16 PET/CT结果显示(对比2024-6-03):患者原左侧颈部及锁骨区、腹膜后(腹主动脉旁)、肠系膜根部多发肿大淋巴结未见,糖代谢不高,提示治疗后达完全代谢缓解(CMR);新增胃底部胃壁增厚伴糖代谢增高,考虑炎性或生理性摄取较肿瘤可能大,必要时进一步胃镜;肠系膜根部及双侧腹股沟小淋巴结,糖代谢未见增高,考虑增生可能大;最终疗效评估为CR。
后续患者采用泽布替尼(持续口服治疗)配合利妥昔单抗(每3月1次)进行维持治疗2年。

病例二:一线高危患者行免疫化疗疗效不佳,后续治疗该如何选择?
基本信息
一般资料:患者男性,62岁
主诉:腹胀半月余,伴消瘦,近3月来体重下降5kg。
既往病史:糖尿病史。
辅助检查
B超检查:腹腔内巨大占位,累及胰腺。
全腹部增强CT检查:腹膜后、胰周、肠系膜根部、双侧髂血管旁、所示纵隔多发结节、团块,考虑淋巴瘤。双侧腹股沟饱满小淋巴结。
无痛胃肠镜:反流性食管炎(LA-B),慢性胃炎(木村-竹本分型C2)伴胆汁反流、糜烂,关注Hp;结肠多发息肉,部分CSP,结肠黑变病。
胰腺增强MR:腹膜后腹主动脉-双侧髂血管旁、胰周、肠系膜根部多发结节、团块,考虑淋巴瘤。
PET/CT检查:全身多处肿大淋巴结,左侧胸膜结节,以上病灶糖代谢均异常增高,SUVmax=17.32,考虑淋巴瘤累及;左肺上叶尖后段结节,大小约2.5*2.3cm,SUVmax=17.85,首先考虑淋巴瘤累及,肺癌不除外;右侧扁桃体糖代谢增高,SUVmax=8.07,淋巴瘤累及不除外;两肺下叶背侧斑片影,糖代谢增高,考虑炎症;两肺气肿;两侧少量胸腔积液;心包微量积液;腹膜后、腹盆腔渗出积液;强直性脊柱炎可能。

腹膜后淋巴结穿刺病理结果:淋巴组织增生,结合免疫组化结果,考虑低级别滤泡性淋巴瘤,II 级;免疫组化:CD3 散在+,CD20 弥漫+,CD79a 弥漫+,Ki-67 约20%+,Bcl-2 生发中心及副皮质区均+,Bcl-6 生发中心+,MUM-1 +,CD10 生发中心弱+,c-MYC -,CD5 散在+,CD30 -,CD19 弥漫+,Cyclin D1 -,TdT -。

右腹股沟淋巴结穿刺病理结果:淋巴结结构消失,淋巴组织弥漫性增生,结合免疫组化结果,符合低级别滤泡性淋巴瘤,II级。免疫组化:Bcl-6 60%+,Bcl-2 +,CD19 +,CD20 +,CD21 +,CD23 个别区域+,CD3 部分+,CD30 个别+,CD45(LCA) +,CD79a +,Cyclin D1 -,Ki-67 30%+,MUM-1 +,c-MYC -,ALK/P80 -,CD10 -,EBER ISH -,CK(AE1/AE3) -。

骨髓活检病理结果:骨髓-髂后见少量骨髓组织,结合免疫组化,考虑淋巴瘤累及骨髓。免疫组化结果:CD20 +,CD3 -,CD42b +,CD79a +,CD71 +,MPO +。

血检检验结果:LDH 407U/L; 血红蛋白 132g/L;血CEA :3.0ng/mL;血T-SPOT阳性,ESR 49.00mm/h,经结核专科会诊考虑结核依据不足,建议动态复查胸部CT。
胸部CT检查结果:提示大量胸腔积液,行双侧胸腔积液置管引流术,左侧淡血样胸水,右侧乳糜样胸水。胸水脱落细胞学检查及胸水流式均阴性。
临床诊断
滤泡性淋巴瘤(II级),Lugano分期 IV期 B组,FLIPI评分 4分(高危),2型糖尿病,胸腔积液,心包积液。
治疗经过
2023-12-19起行R-CHOP方案化疗2疗程。C3前评估显示,左肺上叶结节复查,较前(2024-1-10)内部空洞增大,考虑淋巴瘤浸润可能大;纵隔及右锁骨上多发肿大淋巴结考虑淋巴瘤,较前稍缩小。右肺中下叶、左肺下叶散在渗出,右侧胸腔积液伴邻近肺组织膨胀不全,较前右侧胸腔积液已基本吸收、右下肺局部炎症较前略吸收,左侧胸腔积液有吸收,余大致相仿。双侧颈部、双侧腹股沟未见明显肿大淋巴结;右侧锁骨上、双侧腋下淋巴结肿大;左侧锁骨上淋巴结探及;腹膜后多发淋巴结肿大,考虑淋巴瘤;肝脏、脾脏、胰腺未见明显异常。
2024-02-01行C3化疗,R-CHOP联合来那度胺方案,但患者接受来那度胺口服治疗1周后因全身多发皮疹及血三系显著降低而停药。
2024-02-28 PET/CT结果(3疗后中期评估): 对比前片(2023-12-15),原双颈II 区、右锁骨区、纵隔、双肺门、肠系膜区、腹膜后、腹主动脉及两侧髂血管旁、右侧腰大肌内侧多发淋巴结范围缩小,代谢减低,SUVmax=4.6(17.32),余全身多处肿大淋巴结及右侧扁桃体糖代谢增高灶基本消失;左肺上叶尖后段结节,较前缩小、SUVmax=2.86(17.85);以上提示治疗后达PR;右侧甲状腺后方结节、糖代谢不高,考虑为甲状腺结节或甲状旁腺腺瘤可能;两肺气肿,散在纤维增殖灶;左侧胸腔积液伴邻近肺组织膨胀不全;腹膜后、腹盆腔渗出积液;强直性脊柱炎可能。纵隔血池SUVmax=1.93,肝血池SUVmax=2.76。中期疗效评估达PR。


2024-03-15至2024-06-15为BR+BTKi泽布替尼治疗4次。
2024-07-15 PET/CT检查:左肺上叶尖后段结节、糖代谢增高,SUVmax=6.69(2.86),较前片(2024-02-28)明显,考虑为活性淋巴瘤病灶;左肺下叶背段小结节、糖代谢稍增高,SVUmax=3.07,两肺散在斑片影,部分糖代谢稍增高,以上较前片新发,考虑为炎性病灶可能性大;双肺门、纵膈淋巴结糖代谢稍增高,部分偏大;肠系膜区、腹膜后、两侧髂总血管旁多发斑片结节影、糖代谢稍增高,SUVmax=2.34,以上较前片大小、程度减低。
纵隔血池SUVmax=1.97,肝血池SUVmax=2。

2024-09-18行CT引导下肺穿刺活检术,病理提示肺腺癌
2024-10-21行左胸腔镜左上肺癌根治术(胸腔镜左上肺叶切除术+纵隔淋巴结清扫);术中冰冻:(左上肺叶)浸润性腺癌,乳头型和腺泡型, 部分复杂腺管,大小2.3*1.9cm。(左上肺叶支气管切缘)阴性。(LN5)淋巴结4/4阳性(转移性腺癌)。(LN6)淋巴结1/1阳性(转移性腺癌)。
2024-11-26起行肺腺癌治疗,奥希替尼1片qd。
2024-12-17起行FL维持治疗,利妥昔单抗每3月1次。
排版编辑:肿瘤资讯-展思懿






苏公网安备32059002004080号