您好,欢迎您

2025 ELCC丨III期不可切除RET融合阳性NSCLC的治疗挑战与启示

2025年04月09日
编译:肿瘤资讯
来源:2025 ELCC

2025年欧洲肺癌大会(ELCC)于当地时间3月26日至29日在法国巴黎盛大召开。作为全球肺癌领域备受瞩目的国际学术盛会之一,ELCC聚焦肺癌诊疗的前沿动态,汇聚来自世界各地的最新研究成果与临床亮点,为全球肺癌研究者和临床医生提供了一个重要的交流平台。【肿瘤资讯】特此整理精华内容,以飨读者。

非小细胞肺癌(NSCLC)是全球范围内最常见的肺癌类型,其治疗策略随着分子诊断技术的进步而不断演变。近年来,针对特定驱动基因突变的靶向治疗已成为晚期NSCLC的重要治疗手段。然而,对于III期不可切除的NSCLC患者,治疗仍面临诸多挑战。

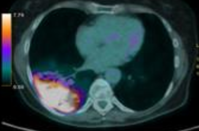
患者为66岁女性,ECOG体能状态评分为1分,有轻度吸烟史(5包年),合并2型糖尿病和银屑病。2023年6月,患者因持续干咳就诊,胸部CT显示右下肺叶有一7cm的肿块,伴有多发纵隔淋巴结肿大。进一步的FDG-PET检查显示右下肺病灶SUV值为13.6,双侧纵隔淋巴结SUV值为4.9,提示高代谢病灶。

1744214060434.jpg

1744214122993.jpg

通过EBUS/TBNA(4R、7、4L淋巴结)活检,病理诊断为肺腺癌(TTF1阳性,p40阴性)。免疫组化显示PD-L1表达为1-49%(TPS为15%)。分子检测结果显示EGFR野生型,ALK阴性。根据AJCC第8版TNM分期,患者被诊断为cT4 cN3 M0(III期)不可切除的NSCLC。

患者接受了同步放化疗联合免疫维持治疗的方案。具体包括:

放疗:66 Gy/33次,覆盖肿瘤病灶及纵隔淋巴结。

化疗:顺铂(75 mg/m²)联合培美曲塞(500 mg/m²),每21天为一个周期,共4个周期。

免疫维持治疗:度伐利尤单抗(1500 mg,每28天一次),共6个周期。

治疗后,CT扫描显示部分缓解(RECIST 1.1标准)。

1744214305111.jpg

在2024年1月至2月期间,患者出现了严重的皮肤毒性反应(G3级),表现为覆盖超过30%体表面积的红皮病样鳞屑性皮疹。由于毒性反应,度伐利尤单抗被暂停,并给予泼尼松(0.5 mg/kg)治疗。然而,随后的CT扫描显示疾病进展(PD),出现新的肺部和骨转移病灶。

分子检测与靶向治疗:在疾病进展后,患者接受了全面的分子检测,发现KIF5B(外显子15)-RET(外显子11)基因融合。基于这一发现,患者开始接受选择性RET抑制剂塞普替尼(160 mg,2次/日)治疗。治疗后,CT扫描显示部分缓解(RECIST 1.1标准),且治疗仍在持续中。

本病例展示了III期不可切除RET融合阳性NSCLC的治疗过程,突出了分子检测在指导精准治疗中的关键作用。尽管免疫治疗在RET融合阳性患者中的疗效有限,但靶向治疗的引入为这一人群带来了新的希望。未来的研究应进一步探索如何将靶向治疗整合到局部晚期NSCLC的多模式治疗策略中,以改善患者的长期预后。

责任编辑:肿瘤资讯-Bear
排版编辑:肿瘤资讯-Bear


版权声明
本文专供医学专业人士参考,未经著作人许可,不可出版发行。同时,欢迎个人转发分享,其他任何媒体、网站如需转载或引用本网版权所有内容,须获得授权,且在醒目位置处注明“转自:良医汇-肿瘤医生APP”。

评论
2025年04月10日
李娟
六安市人民医院 | 病理科
好好学习天天向上
2025年04月10日
马坊
漳州市医院 | 大肠外科
融合阳性NSCLC的治疗挑战与启示
2025年04月10日
杜建帅
平遥县人民医院 | 肿瘤科
学习学习学习学习学习