您好,欢迎您

2025 ELCC丨寡转移SCLC的综合治疗策略与个体化治疗的启示

2025年04月09日
编译:肿瘤资讯
来源:2025 ELCC

2025年欧洲肺癌大会(ELCC)于当地时间3月26日至29日在法国巴黎盛大召开。作为全球肺癌领域备受瞩目的国际学术盛会之一,ELCC聚焦肺癌诊疗的前沿动态,汇聚来自世界各地的最新研究成果与临床亮点,为全球肺癌研究者和临床医生提供了一个重要的交流平台。【肿瘤资讯】特此整理精华内容,以飨读者。

小细胞肺癌(SCLC)是一种侵袭性极高的肺癌类型,通常在诊断时已处于广泛期,预后较差。然而,寡转移状态的出现为部分患者提供了潜在的治疗机会。

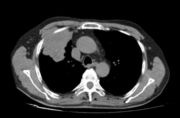
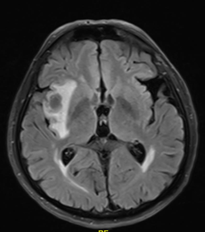
患者为69岁男性,吸烟史长达55包年,患有慢性阻塞性肺疾病(COPD),因背痛2月余入院。2021年12月,胸部CT和脑部MRI检查发现右侧上叶占位性病变,大小为68×66mm,并伴有右侧额颞部低密度病灶。2022年1月,PET-CT显示右侧上叶病灶增大至84×50mm,SUVmax为15.7,纵隔淋巴结(右侧气管旁、主动脉肺动脉、血管周围、气管旁)受累,SUVmax为3.15,右侧肾上腺转移灶大小为33×40mm,SUVmax为11.1。

1744212750170.jpg

1744212953039.jpg

病理检查确诊为SCLC,免疫组化结果显示:泛细胞角蛋白(Pan CK)阳性,CD56弥漫性膜阳性,嗜铬粒蛋白A局灶性细胞质阳性,突触素膜阳性,TTF-1局灶性核阳性,Ki-67增殖指数高达100%。这些结果表明肿瘤具有高度侵袭性。 治疗初始阶段,患者接受了针对原发灶和肾上腺转移灶的立体定向放射治疗(SBRT),同时给予一线化疗方案(卡铂+依托泊苷)3个周期。然而,治疗后病情进展,出现肝转移。二线治疗采用CAV方案(顺铂+阿霉素+长春新碱)3个周期,病情暂时稳定。 2022年5月至7月,患者再次接受SBRT治疗,针对原发灶和肾上腺转移灶。然而,2022年11月随访时发现左侧额顶区新发脑转移,随即接受立体定向放射外科(SRS)治疗。2022年12月的PET-CT显示肝部新发病灶,提示病情再次进展。

2023年3月,患者接受三线治疗,使用替莫唑胺3个周期,病情部分缓解,所有病灶缩小。然而,2023年5月病情再次进展,出现肝转移加重和新的脑转移。四线治疗计划为拓扑替康,但患者拒绝进一步治疗。最后一次随访时间为2023年9月14日。

寡转移小细胞肺癌是一种具有潜在治疗机会的特殊状态。通过综合治疗策略,患者可能获得较长的生存期。然而,如何选择最合适的治疗方案仍需更多临床研究的支持。本病例强调了个体化治疗的重要性,并提示未来研究应聚焦于分子标志物的筛选和新型治疗模式的探索。

责任编辑:肿瘤资讯-Bear
排版编辑:肿瘤资讯-Bear


版权声明
本文专供医学专业人士参考,未经著作人许可,不可出版发行。同时,欢迎个人转发分享,其他任何媒体、网站如需转载或引用本网版权所有内容,须获得授权,且在醒目位置处注明“转自:良医汇-肿瘤医生APP”。

评论
2025年04月12日
黄勇涛
常宁市人民医院 | 肿瘤内科
通过综合治疗策略,患者可能获得较长的生存期。
2025年04月11日
刘海燕
丹东市人民医院 | 肿瘤内科
小细胞肺癌(SCLC)是一种侵袭性极高的肺癌类型,通常在诊断时已处于广泛期,预后较差
2025年04月10日
王根彩
丰县人民医院 | 肿瘤综合治疗科
寡转移小细胞肺癌是一种具有潜在治疗机会的特殊状态。通过综合治疗策略,患者可能获得较长的生存期。然而,如何选择最合适的治疗方案仍需更多临床研究的支持。本病例强调了个体化治疗的重要性,并提示未来研究应聚焦于分子标志物的筛选和新型治疗模式的探索。