您好,欢迎您

2025 ELCC丨免疫治疗在局部晚期NSCLC中的疗效与挑战——从完全缓解到复发鉴别

2025年04月08日
编译:肿瘤资讯
来源:2025 ELCC

2025年欧洲肺癌大会(ELCC)于当地时间3月26日至29日在法国巴黎盛大召开。作为全球肺癌领域备受瞩目的国际学术盛会之一,ELCC聚焦肺癌诊疗的前沿动态,汇聚来自世界各地的最新研究成果与临床亮点,为全球肺癌研究者和临床医生提供了一个重要的交流平台。【肿瘤资讯】特此整理精华内容,以飨读者。

近年来,免疫治疗的出现彻底改变非小细胞肺癌(NSCLC)的治疗格局,尤其是在局部晚期和转移性疾病的管理中。随着免疫检查点抑制剂(ICI)的广泛应用,患者的生存期显著延长,治疗模式也发生深刻变革。然而,免疫治疗的成功背后也隐藏着诸多挑战,包括免疫相关不良事件(irAE)的管理以及复发与治疗相关并发症的鉴别诊断。

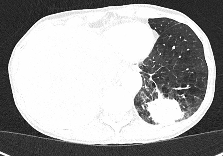
患者为一名63岁的女性,吸烟史长达30包年,无其他显著病史。主诉为不明原因的皮疹,既往未接受过系统性治疗。胸部CT和PET检查显示可疑的代谢性肺部肿块,伴同侧纵隔淋巴结转移。为进一步明确诊断,患者接受了EBUS活检,病理结果显示为肺腺癌,病理分期为N2。基因检测未发现常见驱动基因突变(如EGFR、ALK等),而PD-L1 TPS高达90%。根据AJCC/UICC第8版TNM分期,该患者被诊断为IIIB期(cT3N2M0)肺腺癌。基于患者较高的PD-L1表达水平及分期特点,临床团队决定采用新辅助治疗策略,以期改善手术切除率和长期预后。患者接受2周期的卡铂、紫杉醇和纳武利尤单抗联合治疗。然而,在治疗过程中,患者出现严重的免疫相关不良事件,包括4级肝炎和肺炎,迫使治疗中断。为控制irAE,患者接受大剂量皮质类固醇(甲泼尼龙1mg/kg)联合霉酚酸酯的免疫抑制治疗,症状逐渐缓解。治疗中断后,患者接受中叶切除术,病理结果显示完全病理缓解(pCR),未发现存活的肿瘤细胞,仅见纤维炎性肿瘤退缩和坏死区域。这一结果表明,尽管治疗过程中出现严重的irAE,但新辅助免疫治疗仍取得了显著的抗肿瘤效果。

1744096361775.jpg

1744099195118.jpg

术后随访期间,患者接受全身CT扫描,发现新的可疑肿瘤肿块,脑部CT显示可疑脑转移。这一发现引发复发的初步怀疑,但鉴别诊断需综合考虑其他可能性,包括新的原发肿瘤(如小细胞肺癌)或感染性疾病。为进一步明确诊断,患者接受肺细针穿刺活检,结果显示非坏死性肉芽肿和多核巨细胞,提示结核感染。患者随后接受标准抗结核治疗,病灶完全消退,目前无疾病复发迹象,随访仍在持续进行中。

1744105417774.jpg

1744106018219.jpg

本病例展示新辅助化疗联合免疫治疗在局部晚期NSCLC中的显著疗效。近年来,多项临床试验(如KEYNOTE-671、CheckMate 816)证实,新辅助免疫治疗可显著提高pCR率和无病生存期(DFS)。然而,免疫治疗的疗效往往伴随着irAE的发生。在本病例中,患者因严重的irAE(肝炎和肺炎)被迫中断治疗,这在主要临床试验中的发生率约为3%-11%。尽管irAE可通过免疫抑制治疗控制,但长期使用可能增加机会性感染的风险,如本病例中的结核感染。这一现象提示,在免疫治疗后的随访中,需特别关注感染性并发症的发生。
此外,复发与治疗相关并发症的鉴别诊断至关重要。在随访中,新的病灶可能被误认为复发,但通过活检明确为结核感染。这一发现强调在免疫治疗后随访中,需综合考虑影像学、病理学和临床表现,以避免误诊。特别是在免疫治疗可能引发炎症性改变的背景下,鉴别诊断的复杂性进一步增加,需结合多学科团队的协作以确保准确判断。

新辅助化疗联合免疫治疗已重新定义局部晚期NSCLC的可切除性,并显著改善手术结局和肿瘤预后。然而,免疫治疗的成功背后也隐藏着挑战,包括irAE的管理以及复发与治疗相关并发症的鉴别诊断。在追求疗效的同时,如何平衡安全性和有效性仍是临床实践中的重要课题。未来的研究应致力于优化毒性管理策略,以最大限度地发挥免疫治疗的潜力,同时降低不良事件的风险。此外,针对免疫治疗后感染性并发症的监测和管理策略,也应成为临床研究的重点方向。

责任编辑:肿瘤资讯-Bear
排版编辑:肿瘤资讯-Bear


版权声明
本文专供医学专业人士参考,未经著作人许可,不可出版发行。同时,欢迎个人转发分享,其他任何媒体、网站如需转载或引用本网版权所有内容,须获得授权,且在醒目位置处注明“转自:良医汇-肿瘤医生APP”。

评论
2025年04月15日
王辉
浙江萧山医院 | 肿瘤内科
新辅助化免提高手术机会
2025年04月14日
乐凌云
余姚市人民医院 | 肿瘤内科
感谢分享好好学习
2025年04月09日
张剑
锦州市中心医院 | 其他
好好学习天天向上