与肺腺癌不同,肺鳞癌患者通常缺乏明确的驱动基因突变,因此难以从靶向治疗中获益,目前仍以免疫治疗联合化疗作为主要的系统治疗手段。在局部晚期或晚期肺鳞癌中,为进一步增强局部病灶的控制,常将放射治疗纳入综合治疗策略。放疗增敏剂的应用,在此时具有重要临床意义——它不仅能提升肿瘤对放射线的敏感性,改善局部疗效,还可能增强系统治疗(如化疗、免疫治疗)的整体效果,从而实现“局部+全身”协同增效的治疗目标。本文将分享3例驱动基因阴性、接受系统治疗联合放疗与放疗增敏剂的肺鳞癌病例,这些病例均显示出良好的疾病控制与临床获益,提示放疗增敏剂在肺鳞癌的综合治疗中具有重要的应用价值,为这类患者提供了新的治疗思路。


病例一
病例分享专家
山东省肿瘤医院胸部放疗七病区
副主任医师、医学博士
山东省抗癌协会肿瘤精准治疗分会青年委员会常务委员
山东省疼痛医学会癌痛与姑息治疗委员会委员
山东省老年医学会肿瘤多学科诊疗专委会委员
病例点评专家
山东省肿瘤医院胸部放疗七病区
副主任医师、医学博士
山东省抗癌协会肿瘤精准治疗分会青年委员会常务委员
山东省疼痛医学会癌痛与姑息治疗委员会委员
山东省老年医学会肿瘤多学科诊疗专委会委员
病例介绍
基本信息:患者女,72岁。
就诊经过:
现病史:2023年1月12日,患者因“咳嗽”于外院就诊,胸部平扫示:1. 左肺上叶肿块并纵隔、左肺门肿大淋巴结,符合肺癌并淋巴结转移CT表现,建议增强扫描或病理学检查;2. 右侧第10后肋异常改变,考虑转移,建议进一步检査。
2023年1月16日行ECT示:1. 右侧第10后肋条索样异常放射性浓聚,建议进一步检查;2. L1上缘线样异常放射性增高,L5双侧份局限性放射性轻度增高,考虑骨良性病变所致可能性大,建议定期复查。
2023年1月19日行病理示:(左上叶开口)查见分化差的癌,实性生长为主,鳞癌可能性大。未行治疗。
2023年1月27日入院,完善相关辅助检查。
病理检查: 鳞癌
临床诊断:左肺恶性肿瘤(鳞癌,cT3N2M0 IIIB期)。
治疗经过:
同步放化疗联合免疫巩固治疗:2023年1月27日,排除治疗禁忌,根据MDT会诊意见,予以同步放化疗后免疫巩固治疗。行白蛋白紫杉醇+顺铂治疗,辅以护胃止吐等对症处理。
2023年2月20日,行胸部放疗并白蛋白紫杉醇+顺铂治疗2周期,辅以护胃止吐等对症处理。
疗效评估:
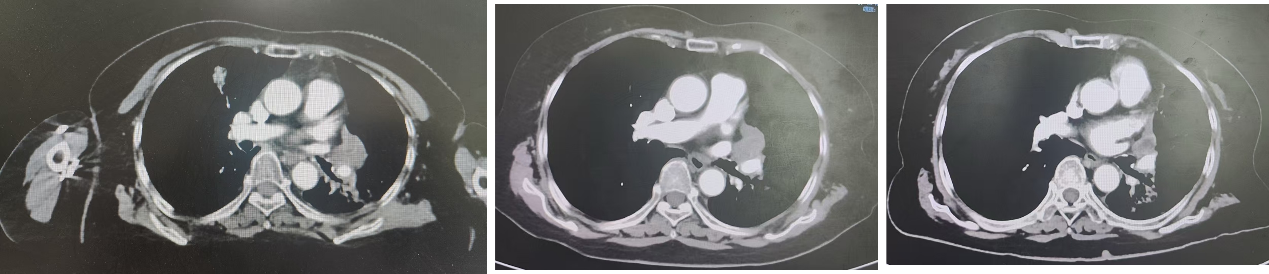
2023年4月17日入院完善相关辅助检查,行CT颈部平扫+增强扫描检查提示:1. 结合临床,左肺癌并阻塞性炎症及不张,左肺门及纵隔同侧淋巴结转移,较前(2023-1-28)好转;2. 左侧锁骨上小淋巴结,较前变化不著,建议观察。3. 肝囊肿,双肾囊肿,脂肪肝,肝内胆管轻度扩张。4. 甲状腺右侧叶低密度灶,考虑良性。5. 颅脑扫描未见异常。评价疗效部分缓解(PR),开始行斯鲁利单抗免疫治疗1周期。
后分别于2023年5月8日、5月29日、6月19日、7月17日、8月7日入院完善相关辅助检查,排除相关禁忌,行斯鲁利单抗200mg免疫治疗5周期。
2023年8月28日行CT头颅平扫+增强检查提示:1.结合临床,左肺癌并阻塞性炎症及不张,左肺门及纵隔同侧淋巴结转移,较前(2023-6-25)变化不著;颅脑多发转移瘤。
2023年9月4日行CT胸部平扫检查提示:1. 结合临床,左肺癌并远端阻塞性改变治疗后,较前(2023.08.28)变化不著,随访观察;左肺门及纵隔同侧淋巴结转移治疗后,较前基本变化不著。2. 左肺炎症,较前稍好转;右肺少许纤维灶。考虑放射性肺炎,行糖皮质激素治疗后症状减轻,给予斯鲁利单抗免疫治疗1周期。
2023年9月25日复查,癌胚抗原3.74ng/ml↑,神经元特异性烯醇化酶20.18ng/ml↑,细胞角蛋白19片段3.41ng/ml↑。考虑患者左肺鳞状细胞癌脑转移,给予甘露醇脱水降颅压及奥美拉唑护胃。
患者病情进展,考虑到前期化疗TP方案疗程不足,继续给予TP方案化疗联合斯鲁利单抗免疫治疗,同步给予脑病灶放疗。
放疗同步免疫联合化疗:放疗靶区及处方剂量:结合MRI所示勾画可见转移肿瘤为GTV,外扩5mm为PTV,全脑勾画为CTV,外扩5mm为PTVC,处方剂量分别为2.2Gy×20次和2Gy×20次,后加照4次。
期间于2023年9月26日、10月18日、11月13日、12月5日给予患者斯鲁利单抗200mgD0+白蛋白紫杉醇300mg D1+顺铂 60mg D1-2。2023年12月26日,完善相关辅助检查,给予斯鲁利单抗200mgD0+白蛋白紫杉醇300mgD1免疫联合化疗,辅以止吐、护胃等治疗,过程顺利。
疗效评估:
2024年3月22日,复查全身骨平面+断层显像检查提示:右侧第10后肋骨转移伴骨盐代谢增高。
2024年2月29日,行256层螺旋CT上腹部平扫+增强检查提示:1. 结合临床,左肺癌并阻塞性炎症治疗后,较前(2023-12-27)变化不著;左肺门及纵隔同侧淋巴结转移,变化不著;右侧第10肋转移可能。
2024年11月27日,行256层螺旋CT上腹部平扫+增强检查提示:1. 结合病史,左肺癌伴左肺门淋巴结转移治疗后伴周围炎症,总体范围较前(2024-09-25)略增大;右侧第10肋转移瘤,较前无著变;脑转移治疗后改变,较前(2024-07-23)基本变化不著。2. 双肺炎症及实变,总体较前增多,右肺下叶实变较前减轻。3. 肝囊肿,肝内胆管稍扩张;双肾囊肿;十二指肠憩室;双侧肾上腺饱满,变化不著。4. 鼻窦炎。
2024年11月29日,患者再次入院,影像示双肺炎症较前加重,予以氨溴索祛痰,甲泼尼龙琥珀酸钠抗炎,奥美拉唑护胃。
2024年12月30日,患者再次入院,予以长春瑞滨口服及斯鲁利单抗200mg d0化疗联合免疫治疗,予以伊班膦酸钠护骨。
2025年3月5日,行全身骨平面+断层显像检查提示:右侧第10后肋骨转移伴骨盐代谢增高,较前(2024-3-22)变化不著。
2025年3月4日,行256层螺旋CT上腹部平扫+增强检査提示:1. 结合临床,左肺癌伴左肺门淋巴结转移治疗后伴周围炎症,范围较2024年12月30日增大;右侧第10肋转移瘤,较前变化不著。2. 双肺多发炎症。左肺下叶内前基底段结节灶较前增大,可疑转移,周围新发类结节影,考虑炎症,转移待排,建议观察。3. 肝囊肿,肝内胆管稍扩张。



病例二
病例分享专家
陕西省肿瘤医院放疗科主治医师,医学博士
陕西省抗癌协会肿瘤放疗专业委员会委员
陕西省抗癌协会整合肿瘤放疗营养学分会委员
陕西省预防医学会放射卫生专业委员会委员
陕西省保健学会肿瘤放疗专业委员会委员
病例点评专家
陕西省肿瘤医院肿瘤放疗二病区副主任 放疗二党支部书记
西安交通大学在职博士。兼任:陕西省肿瘤放射治疗临床医学研究中心秘书;《现代肿瘤医学》杂志编委、审稿专家;陕西省医师协会肿瘤放射治疗医师分会总干事兼常委;陕西省医学传播学会放射治疗专委会秘书兼青委会副主任委员;中国肿瘤放射治疗协作组(C-RTOG)执委会委员;中国肺癌防治联盟立体定向放疗(SBRT)专委会委员;中国西部放疗协会放射外科(SRS)专委会委员;中国西部放疗协会头颈肿瘤专委会委员;中国医教协会头颈肿瘤专委会委员;陕西省抗癌协会头颈肿瘤青委会副主任委员;陕西省抗癌协会肺癌专委会常务委员;陕西省抗癌协会辐射防护专委会常务委员;陕西省抗癌协会放疗专委会委员;陕西省抗癌协会肿瘤综合治疗专委会委员;陕西省抗癌协会肿瘤标志物专委会委员;陕西省医师协会肿瘤放疗专委会委员;陕西省保健协会肿瘤放疗专委会委员。
擅长肿瘤的早期诊断、肿瘤放化疗与靶向免疫的综合治疗。近年来发表SCI论文4篇,国家级核心期刊论文10余篇,副主编参编专著2部,主持陕西省科技厅科研项目1项、陕西省卫健委科研项目1项,参与国家级及省级科研项目多项,拥有科技发明专利1项,主持院内新技术2项。
病例介绍
基本信息:患者男,56岁。
就诊经过:
现病史:
2024年10月,患者因“咳嗽”就诊于当地医院,胸部CT示左肺上叶结节,后于外院进一步行胸部CT(2024年10月22日)示左肺上叶近肺门处占位性病变(大小约5cm×3.4cm),考虑中心型肺癌,伴阻塞性肺炎及纵隔、左肺门淋巴结增大;右肺上叶前段、中叶外侧段、左肺下叶前内基底段实性结节。
2024年10月24日,外院行左肺上叶支气管镜活检,病理示鳞状细胞癌。完善全身检查未见转移迹像。
2024年10月30日、11月20日、12月11日行3周期免疫联合化疗(信迪利单抗+白蛋白紫杉醇+卡铂)。
2025年1月2日复查胸部CT,示左肺上叶近肺门处肿块及周围阻塞性炎症范围较前缩小。
辅助检查:
影像学检查:2024年10月22日,外院胸部CT:左肺门影增大,左肺上叶近肺门处见不规则软组织肿块影,大小约5cm×3.4cm,边缘毛糙,可见毛刺征、分叶征及胸膜牵拉征,其内密度欠均匀,增强扫描明显欠均匀强化。
诊断:1. 左肺上叶近肺门处占位性病变,考虑中心型肺,伴阻塞性肺炎及纵隔、左肺门淋巴结增大。2. 右肺上叶前段、中叶外侧段、左肺下叶前内基底段实性结节(LUNG-RADS 2类),建议年度复查;双肺肺气肿、肺大泡;双肺下叶背侧胸膜下高密度影,考虑渗出性改变。3. 左肾囊肿。
病理活检:2024年10月25日,左肺上叶支气管镜活检病理: (左肺上叶)鳞状上皮中-重度不典型增生并局部癌变(鳞状细胞癌)。
2025年1月23日,病理会诊:(左肺上叶)鳞状细胞癌Ⅰ-Ⅱ级。
免疫组化:p40(+)、ch7(+)、TTF-1(-)、Ki67(50%)。未见基因突变。
临床诊断:
左肺鳞癌(cT2bN3M0 IIIB期)纵隔淋巴结继发恶性肿瘤,左肺门淋巴结继发恶性肿瘤。
治疗经过:
免疫联合化疗:2024年10月30日、11月20日、12月11日行3周期免疫联合化疗(信迪利单抗+白蛋白紫杉醇+卡铂)。
放化疗:2025年1月22日,排除禁忌后行左肺肿瘤及转移淋巴结放疗。
靶区:GTVp:影像学可见左肺门肿瘤。GTVnd:影像学可见4R、4L、7转移淋巴结。CTV:GTVp、GTVnd外扩0.6cm,并根据解剖位置进行调整。PTV:CTV外扩0.4cm。
TPS计划:实际处方剂量:6mv_xIMRT91%PTV66Gy/2Gy/33f/7W。
同步于2025年2月8日行EP方案化疗(依托泊苷100mg ivdrip d1-5+顺铂40mg ivdrip d1-3),过程顺利,消化道反应0度,骨髓抑制0度。
放疗完成23f后,外院评估无法行手术治疗。2025年4月7日起,行左肺肿瘤及转移淋巴结放疗,PTV24Gy/2Gy/12f/3W,并同步于2025年4月8日行EP方案化疗(依托泊苷 100mg ivdrip d1-5+顺铂 40mg ivdrip d1-3)。
放化疗后系统治疗:复查病情稳定,于2025年5月9日开始行舒格利单抗免疫维持治疗,1200mg静滴,过程顺利。
疗效评估:
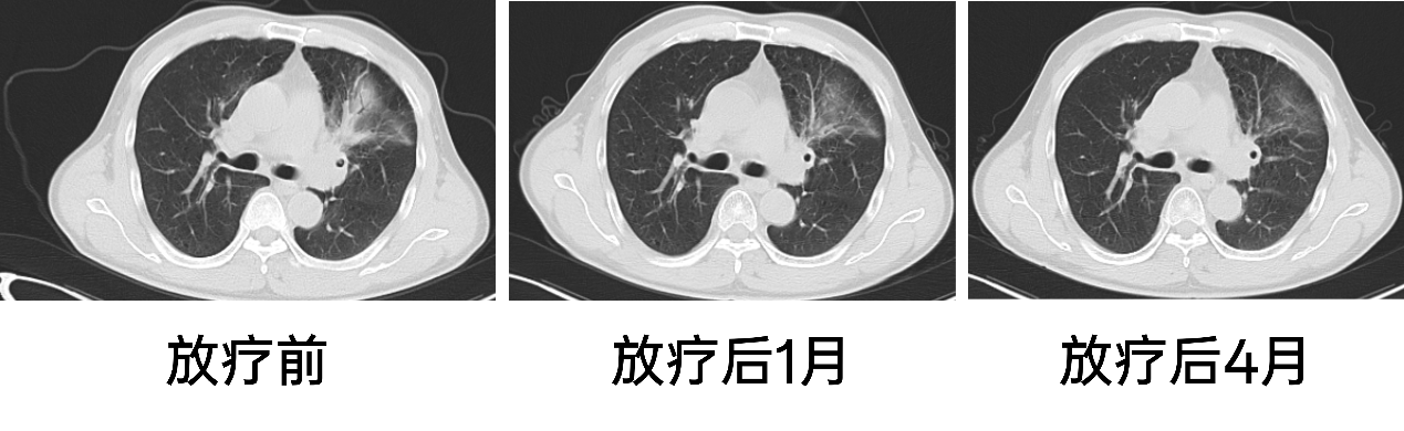
放疗完成23f后复查胸部CT:
左肺癌,左肺门区结节,同2025年1月14日片对照较前缩小。纵隔内及双肺门多发小淋巴结,同前无著变。纵隔3A区低密度结节,较前缩小。
左肺上叶炎症,左肺下叶小结节影,右肺上叶玻璃结节影,建议复查,双肺肺气肿、肺大泡,同前无著变。
治疗前胸部CT:
左肺癌,左肺门区结节,左肺上叶炎症,纵隔内及双肺门多发小淋巴结,请结合临床。
另左肺下叶小结节影,右肺上叶磨玻璃结节影,建议复查。双肺肺气肿、肺大泡。
治疗后1月胸部CT:
左肺癌,左肺门区结节,同2025年1月14日片对照较前缩小。纵隔内及双肺门多发小淋巴结,同前无著变。纵隔3A区低密度结节,较前缩小。
左肺上叶炎症,左肺下叶小结节影,右肺上叶磨玻璃结节影,建议复查,双肺肺气肿、肺大泡,同前无著变。
治疗后2月胸部CT:
左肺癌,左肺门区软组织影较厚,纵隔内及双肺门多发小淋巴结,同前2025年2月26日片无著变。纵隔3A区低密度结节,较前缩小。
左肺上叶炎症,左肺下叶小结节影,右肺上叶磨玻璃结节影,建议复查,双肺肺气肿、肺大泡,同前无著变。



病例三
病例分享专家
上海中医药大学附属曙光医院放疗科主治医师
多项研究成果在美国放射肿瘤学会(ASTRO)、欧洲肿瘤学会(ESMO)、江苏省放射肿瘤治疗学会年会交流
获2018江苏省放疗年会优秀论文二等奖
获2019东方医院肠癌青年论坛最佳思辨奖
获2025临床营养科普大赛东部大区优胜奖
主持四明基金项目1项
参与国家自然科学基金青年科学基金项目1项
上海市卫生健康委员会科研项目1项
常州市科技支撑社会发展项目1项
常州市卫生计委重大科技项目1项
病例点评专家
上海中医药大学附属曙医院放疗科主任
肿瘤学博士,副主任医师,硕士研究生导师
中国医师协会放射治疗专业委员会委员
中国老年保健协会放疗专业委员会 委员
中华中医药协会 会员
浙江省医师协会肿瘤精准治疗专委会青年委员
杭州市医学会肿瘤学分会 委员
浙江省卫生高层次人才“医坛新秀” 培养对象
参与项目获得浙江省科技进步二等奖及杭州市科技进步一等奖
擅长头颈部肿瘤、乳腺癌、肝胆肿瘤、直肠癌放疗及中西医综合治疗。
病例介绍
基本信息:患者男,69岁。慢性间歇性咳嗽5年余,偶当地医院就诊对症治疗,目前未服药。化疗期间左上肢PICC置管处静脉血栓形成,口服利伐沙班片20mg抗凝治疗至今。否认高血压病。否认糖尿病病史。否认冠心病病史,否认其他慢性疾病病史。否认肝炎、肺结核、血吸虫等传染病史。预防接种史随社会。否认外伤史、否认手术史。
就诊经过:
现病史:
2018年11月,患者因间断刺激性咳嗽于外院查肺CT发现右肺占位。
2018年11月21日,行右肺下叶穿刺,病理:鳞状细胞癌,分期:cT4N1M0,IIIA期,遂行TP化疗(紫杉醇+顺铂)6周期。
2019年5月8日至2019年6月14日,在上海肺科医院行放疗,靶区:右肺下叶病灶,剂量:56Gy/28Fx。
2020年1月8日,因病情进展入组外院临床试验(免疫治疗,具体药物不详),因免疫性肺炎出组。
2020年7月27日,更改治疗方案为NC+方案化疗:长春瑞滨40mg d1,d8+卡铂580mg d1 q3w化疗2疗程后因骨髓抑制减量为长春瑞滨30mg d1+卡铂305mg d1,末次化疗时间2020年12月4日,共化疗5疗程。
2021年2月22日,起单用长春瑞滨30mg d1,d8化疗共6疗程,末次化疗时间2021年7月28日。后定期复查病情稳定。
2024年7月3日于上海市肺科医院复查胸部CT示:右肺上、下叶肺癌伴阻塞性炎症,右肺门淋巴结肿大,较2024年3月4日CT局部略增大,双肺气肿,右肺下叶支扩伴感染。
2024年7月29日于外院行PET-CT示:右下肺门软组织肿块,考虑肺癌,伴肺不张及远端阻塞性肺炎,大小约32×23×34mm,SUVmax16.97,左肺上叶尖后段微小结节,FDG未见异常摄取。患者目前偶有刺激性咳嗽,为干咳,无胸闷、心慌、呼吸困难等不适。
辅助检查: 2024年7月3日,外院胸部CT:右肺上下叶肺癌伴阻塞性炎症,右肺门淋巴结肿大,较2024-03-04CT局部略增大,双肺其中,右肺下叶支扩伴感染。
2024年7月29日,外院PET-CT:右下肺门软组织肿块考虑肺癌伴肺不张及远端阻塞性肺炎,大小约32×23×34mm,SUVmax16.97,左肺上叶尖后段微小结节,FDG未见异常摄取。
临床诊断:右侧肺恶性肿瘤(鳞癌,cT4N1M0,IIIA期,放化疗后进展)。
治疗经过:
放疗:患者入院后完善相关检查检验,排除禁忌于2024年8月5日开始行放疗,靶区:右肺下叶病灶,剂量:50Gy/25Fx,于2024年9月6日完成放疗,放疗同期行白蛋白紫杉醇+卡铂治疗5周期,并予甘氨双唑钠增敏,期间出现化疗后骨髓抑制,经治疗后好转。治疗后患者咳嗽较前好转。
疗效评估:
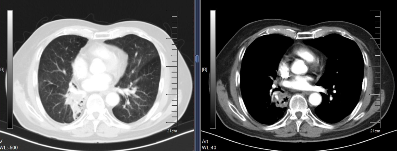
放疗前:2024年7月29日,PET-CT:右肺癌治疗后:1、右下肺门处软组织肿块,FDG摄取增高,结合病史,考虑肺癌伴伴肺不张伴远端阻塞性炎症,病灶仍具有肿瘤活性。 2、左肺上叶尖后段微小结节,FDG未见异常摄取,建议CT定期随访。 3、双肺肺气肿;双肺散在慢性炎症。 4、肝脏囊肿。 5、所示椎体退行性变。

图3. 放疗前影像
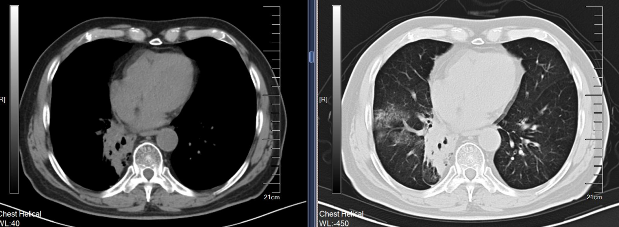
放疗后1月:2024年10月胸部CT:右肺下叶膨胀不全,右肺下叶肺门旁团块影,结合病史考虑肿瘤治疗后改变;2. 右肺上叶后段、左肺下叶背段慢性炎症伴局部支扩。

图4. 放疗后1月
放疗后3月:2024年12月11日复查胸部CT:1. 右肺下叶肺门旁团块影,右肺下叶部分肺不张,较前(2024-10-16)病变范围大致相仿,结合病史考虑肿瘤治疗后改变;右肺炎症,较前新发,治疗后复查。2. 慢性支气管炎、肺气肿。左肺下叶条索影伴轻度支气管扩张。3. 附见:肝内小囊肿可能。


总结:助力肺鳞癌患者控制疾病进展,甘氨双唑钠成为高效、安全的放疗联合治疗关键
本次病例分享带来3例局晚期不可切除/晚期肺鳞癌病例,这类患者往往难以从靶向治疗中获益,接受免疫治疗、化疗的获益也较为有限,需要进一步联合其他治疗手段以改善疗效,获得更好的预后。同时,考虑到部分患者的耐受性问题,直接应用更高强度的治疗方案(例如更高剂量的放射治疗)可能影响患者的治疗依从性。基于上述考虑,3例患者均在接受放化疗中应用了放疗增敏剂甘氨双唑钠,在其帮助下取得了良好的疾病控制效果。放疗作为三大经典肿瘤治疗手段之一,其主要通过放射线作用于肿瘤细胞DNA双链,导致肿瘤细胞分子损伤,从而杀伤肿瘤。甘氨双唑钠作为唯一获批的放疗增敏剂,适用于对头颈部肿瘤、食管癌、肺癌等实体肿瘤进行放射治疗的患者,其在多部指南中推荐为一种高效低毒的放疗增敏剂,并已进入新版国家医保。除对放疗增敏外,近年来,甘氨双唑钠在免疫微环境中的调控作用也受到越来越多关注,其与免疫治疗等系统治疗的协同作用同样有望进一步改善疗效,联合获益高、经济又安全。
[1] CSCO非小细胞肺癌诊疗指南(2024版)
[2] Jabbour SK, et al. Pembrolizumab Plus Concurrent Chemoradiation Therapy in Patients With Unresectable, Locally Advanced, Stage III Non-Small Cell Lung Cancer: The Phase 2 KEYNOTE-799 Nonrandomized Trial. JAMA Oncol. 2021 Jun 4;7(9):1–9.
[3] Ross HJ, et al. Atezolizumab Before and After Chemoradiation for Unresectable Stage III Non-Small Cell Lung Cancer: A Phase II Nonrandomized Controlled Trial. JAMA Oncol. 2024 Sep 1;10(9):1212-1219.
[4] 陈光辉,闫慧,孙长义,等. 非小细胞肺癌患者癌组织和血浆中microRNA-21的表达及意义[J].临床检验杂志,2014,32:652-655.
[5] 重庆医科大学学报,2009,34( 8) :1108-1111
[6] 甘氨双唑钠研究论文集[C],2001:4-26.
[7] 肿瘤防治研究,2009,36( 7) :606-608.
[8] Min X, et al. J Cancer. 2019 Jan 1;10(2):305-312
[9] 魏民,等. 国际肿瘤学杂志,2018,45(12):727-730.
[10] Li L, et al. Bioengineered. 2021 Dec;12(1)1066-1077
排版编辑:肿瘤资讯-Agn






苏公网安备32059002004080号