您好,欢迎您

神母中国之声(第3期)| 我是如何治疗初治高危神经母细胞瘤的

2025年11月18日

整理:肿瘤资讯

来源:肿瘤资讯



规范诊疗提升治愈潜能:

达妥昔单抗β治疗1例

高危神经母细胞瘤持续CR



病例分享嘉宾


易梦

深圳市儿童医院

  • 副主任医师

  • 2014年毕业于重庆医科大学

  • 2014年8月就职于深圳市儿童医院

  • 2016年3月开始专注于儿童实体肿瘤诊治工作

  • 2023年12月至2025年1月在赤道几内亚医疗援助

  • 深圳市淋巴瘤专业委员会委员

  • 广东省健康科普促进会委员

  • 广东省儿童精准诊疗分会青年学组组员

  • 专业方向:儿童神经母细胞瘤、肝母细胞瘤、肾母细胞瘤、横纹肌肉瘤、尤文肉瘤、神经肿瘤、淋巴瘤等



病例概览


本例为2岁7个月患儿,因腹部包块初诊为M期高危神经母细胞瘤(NB),伴N-MYC基因扩增。患儿接受了规范的多阶段综合治疗。在诱导阶段,通过8个周期的化疗及两次手术,成功清除了原发及转移病灶,达到完全缓解(CR)。随后,进入巩固治疗阶段,接受了单次自体造血干细胞移植及局部放疗,进一步巩固了疗效,评估仍为CR。


在此基础上,患儿启动了以达妥昔单抗β为核心的维持治疗方案:共计5个周期的达妥昔单抗β免疫治疗,联合异维A酸,其中后3个周期加用GM-CSF。经过完整的维持治疗后,患儿持续保持CR状态。治疗期间出现可预期的血液学毒性及非血液学不良反应,经对症处理后均缓解,未影响整体治疗进程。在长达近三年的密切随访中,该患儿持续处于CR状态,充分证明了在高危NB治疗中,遵循国际标准方案,将以达妥昔单抗β为核心的免疫治疗纳入维持阶段,对于实现长期、高质量生存具有至关重要的价值。



患者资料


一般资料:男,初诊年龄2岁7个月。

主诉:发现腹部包块1天。

现病史:2021年8月8日,家长无意中发现患儿腹部包块,无发热、腹痛、呕吐、腹泻等伴随症状。查体:Wt 12.7kg,Ht 92cm,发现上腹部可触及10cm×8cm大小的包块,质地韧,边界不清,无触痛。

既往史:无特殊。



辅助检查


超声(2021.08.08)

肝脏实质性占位病变,考虑肿瘤合并破裂出血。门静脉声像异常,考虑门静脉血栓形成。

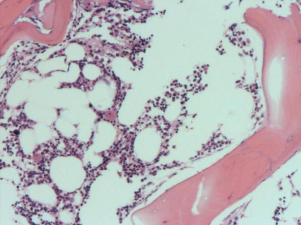
骨髓检查(2021.08.13)

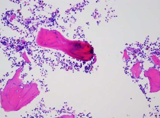
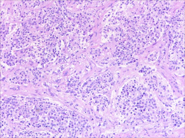
骨髓涂片:(右髂后)骨髓增生活跃,全片见大量转移肿瘤细胞团。

骨髓流式:(双侧髂后)可见NB表型的细胞,表达GD2、CD56、CDC81,不表达CD45。

骨髓活检病理(2021.08.18):(右髂后)符合NB骨髓转移。

PET/CT(2021.08.14)

中上腹腔见多发不规则巨大囊实性占位(最大层面约14.7cm × 12.2cm × 13.7cm),实性区代谢增高,考虑恶性肿瘤,以NB可能大。左侧膈上、肌脚后间隙、右肾门区及腹膜多发高代谢肿大淋巴结及软组织包块,考虑转移。

基因检测(2021.09.01)

骨髓N-MYC基因检测:N-MYC基因存在扩增。



疾病诊断


腹膜后神经母细胞瘤(M期,高危),伴多发转移(骨髓、左肾、肝门、肠系膜淋巴结等)。



治疗历程


第一阶段:诱导治疗

(2021.08~2022.03)


2021.08~2021.12

诱导化疗方案:按照COG-0532高危组方案,共行6个周期化疗。

第1、2周期:环磷酰胺+托泊替康

第3、5周期:顺铂+依托泊苷

第4、6周期:长春新碱+环磷酰胺+多柔比星

2021.11.07

手术(第1次):腹膜后病损切除+腹膜后淋巴结清扫+肝门区肿瘤切除术。

2022.01.13 疗效评价:

PET/CT复查提示左上腹仍有残余肿瘤病灶。

补充化疗(2022.01~2022.02)

第7周期(小疗):长春新碱+伊立替康+替莫唑胺

第8周期(减疗25%):长春新碱+环磷酰胺+吡柔比星(75%)

2022.02.20

手术(第2次):肝周病损切除术。术后病理未见明显肿瘤残存。

2022.03.04诱导治疗后疗效评价:

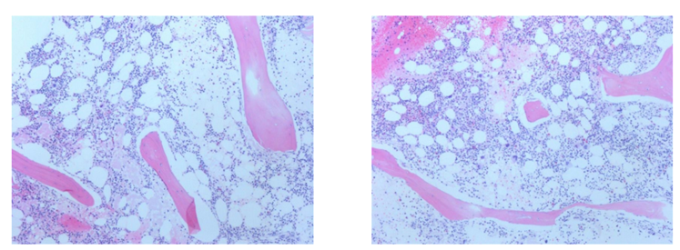
骨髓涂片、流式细胞学及活检均未见肿瘤细胞。综合评估为完全缓解(CR)。


第二阶段:巩固治疗

(2022.03~2022.06)


2022.03~2022.04

自体造血干细胞移植(单次):采用白消安+马法兰方案预处理,于2022.03.27回输干细胞。移植过程顺利,于2022.04.17出仓。

2022.05~2022.06

放疗:对原发肿瘤区域行调强放疗(IMRT),CTV1 2850cGy/15次,CTV2 2250cGy/15次。

2022.06 巩固治疗后疗效评价:

腹部CT提示原肝脏低密度灶未见显示。骨髓涂片、流式细胞学及活检均未见肿瘤细胞。疗效评价为CR。



第三阶段:达妥昔单抗β维持治疗

(2022.07~2022.11)


治疗方案:达妥昔单抗β联合异维A酸,共5个周期。

第1~2周期(2022.07.04、2022.08.12):

达妥昔单抗β:10mg/m²/d,24小时连续静脉滴注10天,总量100mg/m²,d1-d10。

异维A酸:160mg/m²/d,一天两次,口服,d15-d28。

第3~5周期(2022.09.19、2022.10.24、2022.11.28):

达妥昔单抗β:10mg/m²/d,24小时连续静脉滴注10天,总量100mg/m²,d4-d13。

异维A酸:160mg/m²/d,一天两次,口服,d18-d31。

GM-CSF:250ug/m²/d,一天一次,皮下注射,d1-d14。

2023.01.19

异维A酸,口服。



疗效评估


2022.09.12(第2周期后)

复查PET/CT:未见明确高代谢灶。

2022.09.15(第2周期后)

复查骨髓:骨髓涂片、流式细胞学及活检均未见肿瘤细胞。疗效评价为CR。

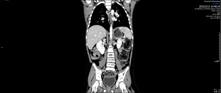
2023.02.13

腹膜后NB术后复查:未见异常。

CTC/CIC监测情况(2022.06~2025.06)


安全性

免疫治疗第1周期期间,主要不良反应包括:I-II度骨髓抑制(血小板、血红蛋白下降)、浮肿、尿量减少、呕吐、腹泻、腹痛及皮肤瘙痒。以上不良反应经对症处理后缓解。



结疗后随访


2023.08.25

MIBG检查:Curie评分为0分。

2024.02.03

PET/CT:未见明显异常。

2025.02.17

骨髓检查:骨髓涂片、流式细胞学及活检均未见肿瘤细胞。随访评估CR。

2025.08.10

NSE 9.8 ng/mL。

2025.08.28

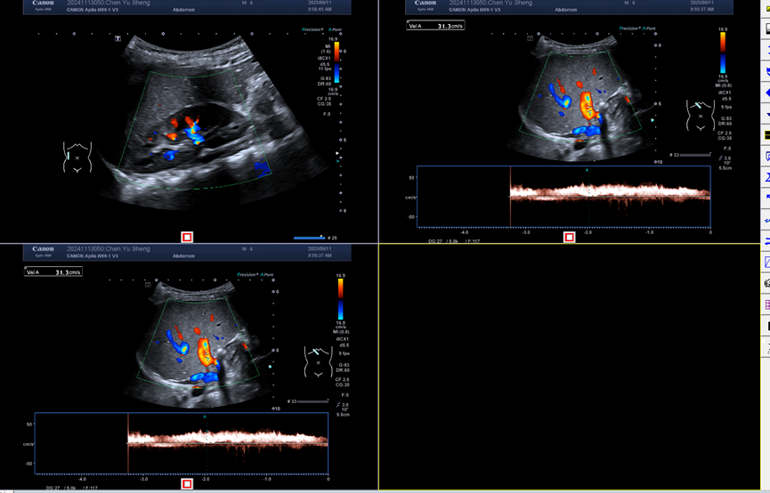
腹部超声:未见明显异常和占位性病变。

已码文字.png



病例点评专家


袁秀丽教授

深圳市儿童医院

  • 主任医师  医学博士  硕士生导师

  • 深圳市儿童医院血液肿瘤科副主任

  • 美国南加州大学附属洛杉矶儿童医院及加拿大多伦多病童医院访问学者

  • 中华医学会儿科学分会第十七届委员会继续教育委员会委员

  • 中华医学会儿科学分会第十九届委员会肿瘤专业学组成员

  • 中国研究型医院学会儿童肿瘤专业委员会委员

  • 广东省医学会神经肿瘤学分会第一届委员会委员

  • 广东省精准医学应用学会儿童肿瘤分会第一届委员会常务委员

  • 中国抗癌协会小儿肿瘤专业委员会新技术开发组委员

  • 中国肿瘤防治联盟深圳市淋巴瘤专业委员会常务委员

  • 广东省抗癌协会小儿肿瘤专业委员会第三届委员会委员

  • 深圳市医师协会肿瘤科医师分会第二届理事会副会长

  • 中国当代儿科杂志通讯编委

  • 深圳市菁英人才

  • 南粤好医生

  • 主要从事小儿恶性实体肿瘤的临床诊治与基础研究,包括各类儿童肿瘤的化学治疗,免疫及靶向治疗,CAR-T细胞治疗及自体造血干细胞移植。

  • 主持及参与多项国际国内多中心新药注册临床研究及IIT研究。



专家点评


患儿,男,发病年龄2岁7个月,以腹部包块为首发症状。腹部影像学检查提示腹膜后包块伴肝脏转移,骨髓活检病理检查提示骨髓NB转移。因患儿发病年龄>18月龄,N-MYC基因扩增阳性,伴有肝脏、骨髓等多处转移,诊断为M期高危NB。明确诊断后于2021年8月开始按照神经母细胞瘤COG ANBL0532高危组方案进行诱导化疗。目前高危NB的国际标准治疗措施包括诱导治疗(化疗、手术切除)、巩固治疗(自体造血干细胞移植、放疗)以及维持治疗,维持治疗包括抗GD2单抗的免疫治疗和异维A酸


该患儿共接受了5周期达妥昔单抗β联合方案治疗。该患儿治疗过程虽然较为曲折,但全程按照高危NB国际标准治疗方案执行。自体干细胞移植前及免疫治疗前的全身评估均显示患儿的肿瘤处于CR状态。目前已随访近3年,随访结果均显示肿瘤仍处于CR状态,是一例治疗成功的初治高危NB病例。通过这例成功治疗的案例,我们深刻体会到高危NB的治疗需要全程标准规范治疗,GD2单抗免疫治疗的引入提高了我国高危NB患儿的生存率


“码”上关注【神母菁英学院】

了解更多神母资讯~



排版编辑:yanyan

责任编辑:Marie

版权声明

版权归肿瘤资讯所有。欢迎个人转发分享,其他任何媒体、网站如需转载或引用本网版权所有内容,须获得授权,且在醒目位置处注明“转自:良医汇-肿瘤医生APP”。

评论
2025年11月22日
王水
黑山县第一人民医院 | 外科
新年好运至玉兔踏春来
2025年11月22日
李娟
六安市人民医院 | 病理科
好好学习天天向上
2025年11月22日
郭东良
滨州市第二人民医院 | 放疗科
好好学习天天向上加油