您好,欢迎您

胃来说㊴:维迪西妥单抗联合免疫一线“去化疗”方案,为高龄HER2低表达晚期胃癌患者带来新希望

2025年10月15日
整理:肿瘤资讯
来源:肿瘤资讯

对于高龄且伴有多种基础疾病的晚期胃癌患者,治疗选择极具挑战性,需要在抗肿瘤疗效与治疗耐受性之间寻求最佳平衡。传统的化疗方案虽然是标准治疗的一部分,但其带来的毒副作用往往令高龄患者难以承受,严重影响生活质量。本期,蚌埠医科大学第一附属医院杨婧如教授分享一例HER2低表达高龄晚期胃癌病例。该患者因家属拒绝化疗,采用ADC药物维迪西妥单抗联合免疫药物进行一线治疗,取得了持久的肿瘤缓解,且耐受性良好,为该类特殊患者群体的治疗提供了重要的临床启示。【肿瘤资讯】将病例诊疗过程整理如下,并特邀蚌埠医科大学第一附属医院毕明宏教授对病例进行点评,以飨读者。

病例介绍

专家介绍

杨婧如
主治医师

蚌埠医科大学第一附属医院 肿瘤内科 主治医师
安徽省抗癌协会理事

安徽省临床肿瘤学会肺癌专委会委员

一般资料

患者:男,83岁。

现病史:患者于2023年10月28日因“心慌胸闷、呕血、便血”就诊于消化内科。

既往史:脑梗死病史2年余,长期口服阿司匹林;高血压10年、冠心病2~3年,长期口服降压及护心药物。无吸烟饮酒史。

 ECOG评分:1分。

家族史:无恶性肿瘤及遗传病家族史。

辅助检查

胃镜(2023年11月3日):贲门溃疡性病变。病理活检:黏膜内低分化腺癌。

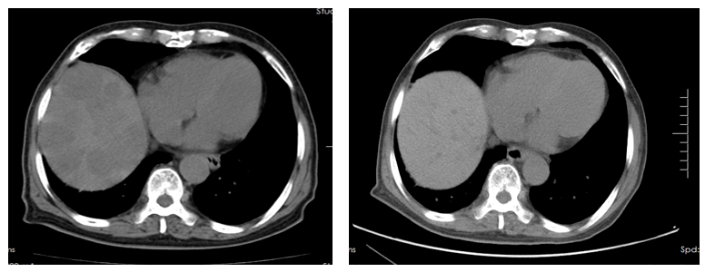
腹部CT(2023年11月6日):脂肪肝,肝内钙化灶,左肾囊肿(图1)。

17.4.png图1. 腹部CT检查(2023年11月6日)

初步诊断:

胃腺癌。

治疗经过

手术治疗:

患者于2023年11月10日行腹腔镜下胃癌根治术(全胃切除术)。术后病理示:胃溃疡型中分化腺癌,大小3cm*2cm*0.6cm,位于距食管切缘1cm处,浸润至外膜层,错配修复蛋白染色,提示微卫星稳定型,可见神经侵犯,未见确切脉管侵犯,免疫组化结果:CD31(血管+)、D2-40(淋巴管+)、Ki-67(80%+)、MLH1(+)、MSH2(+)、MSH6(+)、PMS2(+)、P53(弥漫+)、HER2(局部2+)、EGFR(部分3+)、CK(+)(图2)。

图片1.png

图2. 术后病理检查

术后病理诊断:胃恶性肿瘤 [T4aNxM0 IIIA期 HER2(2+)、pMMR]

2024年3月10日行胸部+腹部CT:胃癌术后改变,残胃充盈差,壁增厚,肠系膜内多发小淋巴结,肝内多发转移灶,左肺下叶内前内基底段磨玻璃结节(图3)。

17.5.png
图3. 腹部CT检查(2024年3月10日)

目前诊断:胃恶性肿瘤伴肝内多发转移[rT4aN2M1 IVB期 HER2(2+)FISH(-) pMMR]

一线治疗:

患者于2024年3月10日至2025年9月10日予以维迪西妥单抗(120mg,D1 Q3W)靶向化疗联合替雷利珠单抗(200mg,D1 Q3W)免疫治疗20周期。

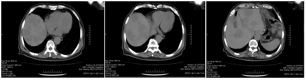
期间定期复查CT,与治疗前(2024年3月)的基线CT相比,后续复查的CT(2024年8月及2025年8月)均显示肝脏转移病灶较前明显缩小(图4)。

疗效评价为部分缓解(PR)。

17.6.png图4. 腹部CT检查(左:2024年3月10日;右:2025年8月8日)

治疗期间,CA125、CA15-3、CA19-9及CA72-4等肿瘤标志物水平均维持在正常或接近正常的稳定范围内,无明显升高趋势。

不良反应:患者在长达20个周期的治疗过程中,整体耐受性良好,未出现严重不良反应,饮食睡眠可,一般情况良好。

病例总结

本例为一名83岁高龄、伴有多种基础疾病的HER2低表达(IHC 2+/FISH-)晚期胃癌患者,在术后复发并出现肝转移后,面临着一线治疗的严峻挑战。由于患者无法耐受或家属拒绝传统化疗,临床上采用以ADC药物维迪西妥单抗为核心,联合PD-1抑制剂替雷利珠单抗的“去化疗”方案。患者不仅取得了显著且持久的肿瘤缓解(PR),更重要的是,整个治疗过程安全、耐受性佳,有效保障了患者的生活质量。

专家点评

专家介绍

毕明宏
主任医师

蚌埠医科大学第一附属医院 肿瘤内科

教授,主任医师,硕士研究生导师
安徽省抗癌协会副理事长
安徽省临床肿瘤学会副理事长
安徽省临床肿瘤学会肺癌专业委员会主任委员
安徽省胸部肿瘤学组副组长
安徽省抗癌协会肺癌专业委员会常务委员
蚌埠医科大学肿瘤高峰论坛主任委员

对于HER2低表达的晚期胃癌,目前一线标准治疗仍以化疗为主,但疗效有限。尤其对于高龄或身体衰弱的患者,化疗毒性成为主要障碍。本病例的成功,为“去化疗”理念提供了有力的真实世界证据,ADC药物联合免疫治疗,通过精准靶向和免疫激活的双重作用,实现了“减毒增效”的目标。

新型ADC药物维迪西妥单抗,凭借其强大的“旁路杀伤效应”,对低表达的肿瘤细胞效果仍旧较好。RC48-C013研究提示HER2低表达患者人群也可通过靶向联合免疫及化疗获益,其研究结果于2024年1月发表在《柳叶刀》子刊eClinicalMedicine。该研究首次在HER2高表达(IHC3+或IHC2+/FISH+)和HER2低表达(IHC1+或IHC2+/FISH-)胃癌患者中探索了ADC联合免疫治疗的安全性和疗效。

近年来,多项临床数据表明,以维迪西妥单抗为基础的联合方案在晚期胃癌一线治疗中展现出良好的抗肿瘤活性和可控的安全性。在2024年ASCO年会上,维迪西妥单抗联合免疫及化疗一线治疗HER2 IHC 3+/2+患者的RCTS研究(摘要号:4009)结果显示,维迪西妥单抗联合免疫及化疗组的客观缓解率(ORR)为94.3%,1年PFS率为71.8%;1年OS率为97.6%。其中CPS<1%亚组患者中ORR达93.5%,疾病控制率(DCR)达96.8%。CPS<1%与CPS≥1%亚组在1年PFS率上无明显差异(65% vs 75%,P=0.8549)。结果表明该联合方案在不同PD-L1表达水平患者中均具有显著临床获益,尤其高ORR和极高的1年OS率,凸显其作为一线治疗的潜力。而在2025年ASCO年会上,维迪西妥单抗联合特瑞普利单抗及化疗/曲妥珠单抗一线治疗HER2表达局部晚期或转移性胃癌的临床研究(摘要号:LBA4012)结果显示,在HER2高表达或阳性人群中,维迪西妥联合PD-1单抗和曲妥珠单抗,ORR可达到82.4%;在HER2中/低表达人群中,其中第一阶段维迪西妥单抗联合PD-1单抗和化疗与PD-1单抗联合化疗相比,维迪西妥单抗联合特瑞普利单抗和化疗组的ORR为72.0%,与特瑞普利单抗联合化疗组相比,中位PFS分别为9.9个月 vs 7.2个月(HR=0.69)。该研究进一步证实维迪西妥单抗联合方案在不同HER2表达水平胃癌患者中均具有良好疗效,有望成为HER2阳性晚期胃癌一线治疗新选择。

本病例的治疗决策充分体现了个体化原则,综合考虑了患者的年龄、体能状态、基础疾病、分子分型以及患者和家属的意愿,最终一线治疗选择维迪西妥单抗联合免疫的“去化疗”方案,既减轻了患者对传统化疗毒性的担忧,又在维持高效抗肿瘤活性的同时提升了生活质量。这一成功的诊疗实践充分证明,对于高龄、身体状况不佳或无法接受化疗的HER2低表达晚期胃癌患者,维迪西妥单抗联合免疫检查点抑制剂的方案有望成为一种全新、高效且低毒的一线治疗选择。

责任编辑:肿瘤资讯-古木
排版编辑:肿瘤资讯-zly
版权声明
版权归肿瘤资讯所有。欢迎个人转发分享,其他任何媒体、网站如需转载或引用本网版权所有内容,须获得授权,且在醒目位置处注明“转自:良医汇-肿瘤医生APP”。