三阳性乳腺癌(TPBC)即雌激素(ER)阳性、孕激素(PR)阳性、人表皮生长因子受体2(HER-2)阳性和任何状态 Ki-67 的乳腺癌,属于 Luminal B 型的特殊一类。与其他分子亚型乳腺癌相比,TPBC展现出独特的生物学特征,例如通常对内分泌治疗表现出更好的反应,而对化疗的敏感性则相对较低,这意味着针对该亚型的治疗策略应充分考虑其独特的分子机制和临床特征。本文将分享一例绝经前、三阳性早期乳腺癌患者经抗 HER2 新辅助治疗联合抗 HER2 内分泌辅助治疗实现临床获益的完整诊疗过程。同时特别邀请南京大学医学院附属鼓楼医院乳腺外科姚永忠教授深度解析三阳性乳腺癌的规范化诊疗策略,并针对绝经前患者的卵巢功能抑制(OFS)治疗展开探讨—重点阐释新型戈舍瑞林微球制剂如何通过创新剂型优势,为乳腺癌的内分泌治疗开拓更优化的治疗获益路径。
南京⼤学医学院附属⿎楼医院乳腺外科⾏政主任
南京⼤学肿瘤研究所乳腺中⼼主任
中国研究型医院学会乳腺专业委员会常务委员
江苏省医学会外科学分会委员
江苏省医学会外科学分会乳腺外科学组副组⻓
江苏省医师协会外科学分会乳腺外科学组副组⻓
江苏省抗癌协会乳腺癌专业委员会常务委员
江苏省中⻄医结合学会乳腺病专业委员会常务委员
江苏省妇幼保健协会乳腺疾病分会第⼀届委员会委员
德国莱⽐锡圣乔治医院乳腺中⼼访问学者
病例分享
基本情况
患者,女性,41岁。
主诉:发现左乳肿瘤半月余。
现病史:患者2021-9-13因“发现左乳肿瘤2月余”于我院门诊就诊,行乳腺彩超示:左侧乳腺9-10点可见一1.4*1.2cm大小实质性低回声团块(BI-RADS 5类)建议彩超引导下穿刺。左侧腋下内可见数个实质性低回声光团,境界清晰,内回声均匀,最大约1.5*0.7cm,建议彩超引导下细针穿刺。遂行乳腺和淋巴结穿刺活检。
既往史:平素健康状况一般。
辅助检查
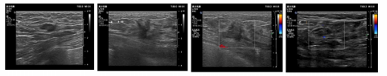
超声检查:双侧乳腺组织未见明显增厚,回声分布均匀,CDFI示未见异常血流信号,左侧乳9-10点可见一1.4x1.2cm大小实质性低回声团块,境界欠清晰,无包膜,内回声不均匀,周边可见伪足样伸展,后方回声衰减。CDFI示其内未见血流信号。双侧腋下探查:双侧腋下内可见数个实质性低回声光团,境界清晰,内回声均匀,左侧最大约1.5x0.7cm,右侧最大约1.4x0.6cm,左侧较大淋巴结局部皮质增厚。CDFI示可见血流信号。

乳房及腋窝淋巴结穿刺病理:乳腺浸润性癌(左侧乳腺结节),WHOⅡ级(腺管形成3分,核级2分,核分裂像1分),未见原位癌成分;未见脉管内癌栓;未见明确癌组织侵犯神经。
免疫组化:肿瘤细胞表达HER2(2+),ER(+++80%),PR(散在少量+),Ki67(约30%+)。FISH检测显示HER2基因扩增。
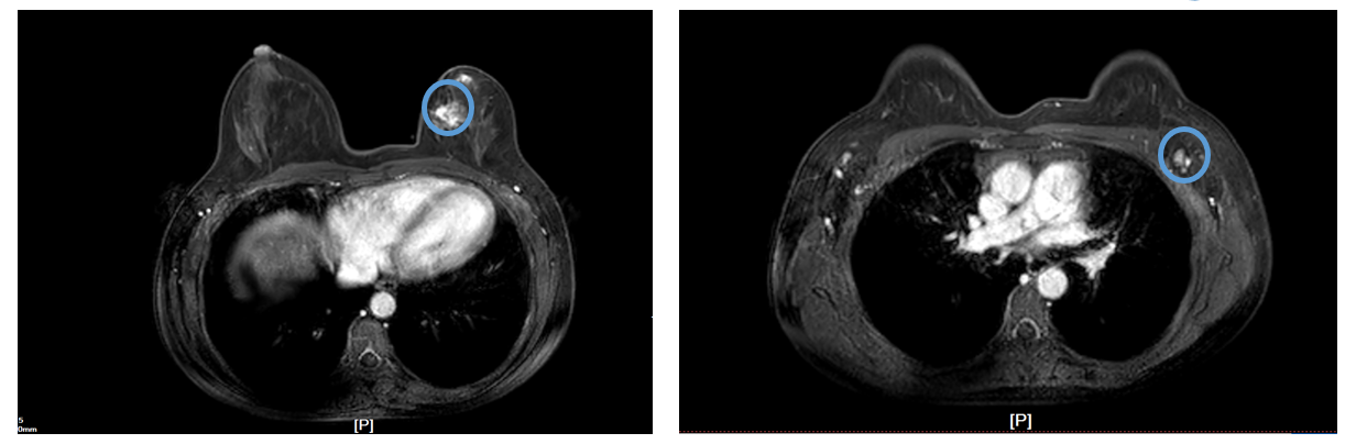
核磁共振检查:左乳内上象限可见大小约2.4cm*3.2cm*2.9cm的肿块影,外形不规则,边缘毛刺,呈稍长T1、长T2信号,DWI相呈稍高信号,增强后病灶明显强化,强化曲线呈流出型,其内前方可见直径约1.5cm的强化结节影。腋窝淋巴结:左腋窝可见轻度肿大淋巴结,较大者长径约1.1cm。诊断:左乳占位,结合病史考虑乳腺癌(BI-RADS 6类),左侧腋窝淋巴结转移可能,局部皮肤受累可能。

CT检查:头颅和全腹部CT平扫未见转移灶。
ECT:全身骨显像清晰,颅骨、脊柱、左右两侧肋骨、骨盆等躯干骨及四肢骨放射性分布基本对称,未见异常局灶性放射性分布。
治疗经过
新辅助治疗
由于患者为三阳性乳腺癌,且伴有腋窝淋巴结转移,未见远处转移,因此推荐接受新辅助治疗,治疗方案为TCbHP。第3次和第5次新辅助治疗后,超声检查提示,左乳9-10点未见异常团块,双侧乳腺组织未见明显增厚,回声分布均匀,CDFI示未见异常血流信号。双侧腋下未见异常实质性光团,CDFI示血流信号未见异常。

核磁共振检查(2021.9.14-2021.12.13)结果提示,左乳内下象限占位,较前范围缩小,左腋窝多发肿大淋巴结,较前缩小。

手术
术后病理提示,乳腺内无明确瘤床,局灶脉管内见极少量癌栓,无组织侵犯神经。重度治疗反应(MP分级:4级)。病理分期(AJCC第八版):ypT0,N0,cM0。

辅助治疗
由于术后病理学检查提示患者未达到完全病理缓解(non-pCR),但考虑ypT0ypN0,最终辅助治疗方案选择继续曲帕双靶治疗满一年,同时进行内分泌治疗(OFS+TAM)。后续复查过程(2022.2.23-2024.12.23)中,CA125、CA153和CEA等肿瘤指标处于平稳状态。心脏彩超复查提示,二尖瓣和三尖瓣轻度反流。妇科彩超复查提示,子宫内膜稍厚。宫腔镜检查提示子宫内膜息肉。乳腺影像学复查无明显异常

患者存在淋巴结转移这一明确高危因素,且较年轻,患者激素水平相对更高,而HR+乳腺癌的复发风险集中在术后 2-3 年关键时期,这些特征决定了患者对卵巢功能抑制(OFS)治疗的有卵巢功能抑制有更高需求。
基于术后初始治疗阶段的药物可及性,给予戈舍瑞林三月剂型治疗。但考虑到患者始终存在的潜在高危属性,临床团队一直关注更契合其治疗需求的优化方案。
随着戈舍瑞林微球制剂上市,为患者提供了更优选择,该制剂具备独特缓释特性,给药后血药浓度平稳,初始2天内药物突释量严格控制在 2% 以下,能有效避免血药浓度急剧波动,相比三月剂型可更精准、持久地维持卵巢功能抑制效果,故将患者治疗方案升级调整为戈舍瑞林微球制剂。
病例小结
本例绝经前患者诊断为左乳癌,腋窝淋巴结阳性,分子分型为三阳性(HER2阳性、HR阳性)。基于初诊时患者为肿瘤体积>2cm且存在淋巴结转移的HER2阳性乳腺癌,因此推荐新辅助治疗,首选方案为曲妥珠单抗+帕妥珠单抗联合化疗的双靶治疗方案,新辅助治疗后未达到完全病理缓解,随后行“左乳改良根治术”,并予以曲帕双靶辅助治疗及内分泌治疗(TAM+OFS),患者复查随访状态良好。
专家点评
既往研究显示,10%-15%的乳腺癌患者同时存在HER2阳性和HR阳性1,即“三阳性乳腺癌”。 对于三阳性乳腺癌患者的治疗,2025 CBCS乳腺癌指南2优先推荐化疗与靶向治疗相结合的方案,但NeoSphere研究3证实,相对于HER2阳性患者,三阳性亚组患者接受双靶联合化疗的pCR率明显更低。本例三阳性患者在TCbHP新辅助治疗后,同样未能实现pCR,因此后续考虑进一步接受强化辅助治疗。
三阳性乳腺癌的辅助治疗策略主要是抗HER2靶向治疗联合化疗,序贯内分泌治疗维持,如新辅助阶段已完成全部周期的化疗,则在术后直接予以靶向治疗联合内分泌治疗。其中,对于内分泌治疗方案,一项荟萃分析4结果表明,中位随访8年后,在接受卵巢抑制的绝经前HR阳性乳腺癌患者中,芳香化酶抑制剂(AI)组乳腺癌复发率低于TAM组,5年复发风险绝对降低3.2%(6.9% vs 10.1%,95% CI 1.8-4.5)。同时,AI组还可降低远处复发率。因此,相对于本患者中内分泌治疗方案选择的TAM+OFS,更推荐AI+OFS方案。
在OFS的选择方面,相对于传统的植入剂,戈舍瑞林微球剂型创新性地采用星型结构的聚合物材料PLGA,以保证较高的载药量,与活性药物可以更好地结合,同时又保持较小的粒径,且增加亲水性5。此外,戈舍瑞林微球剂型通过构建“水相-油相-固相”三级递释结构实现技术突破,这种工艺创新成功解决了药物突释难题,确保药物能够恒定、均匀且缓慢地释放,接近零级释放标准。其使得戈舍瑞林微球制剂关键指标显著提升,包括包封率突破90%、粒径均一、初始突释率显著下降(仅占总暴露量的1.8%)6,7,8。更为值得注意的是,与亮丙瑞林微球和曲普瑞林微球相比,戈舍瑞林微球外观饱满,突释效应少,血药浓度更平稳9,10,11,而且戈舍瑞林微球的生产工艺完全符合FDA标准,产品可出口欧美,质量可靠,为患者提供了更高品质的治疗选择。III期临床研究中,戈舍瑞林微球对比戈舍瑞林植入剂的303研究11结果也显示,戈舍瑞林微球组和戈舍瑞林植入剂组患者第29天至第85天维持雌二醇(E2)在绝经后水平(≤30pg/ml)的比例分别为93.1%和86.3%,两组累计概率的差值为6.8%(95% CI:-2.3%~15.9%),达到了非劣效标准。亚组分析中,在<45岁患者亚组中更展现出优越的E2抑制维持率(第29-85天:92.8% vs 84.3%),提示其对年轻乳腺癌患者可能具有额外临床获益。基于这些显著优势,戈舍瑞林微球已获批为我国2.2类新药。同时,新的微球剂型可在多个部位进行肌肉注射降低了注射部位的不良反应发生率。该患者在治疗过程中更换为戈舍瑞林微球制剂后,疾病控制良好,同时未发患者治疗期间的不良反应,进一步保障了患者的长期用药和减少了复发可能。
总体而言,本三阳性乳腺癌患者,在经过HP双靶新辅助,HP双靶以及内分泌辅助治疗后,病情未出现复发,且并未出现特殊的安全性问题。同时,在卵巢功能抑制方面,临床医生有了戈舍瑞林微球制剂这样的升级选择,为进一步提高患者的治疗依从性的同时降低了治疗失败率。
1 Alataki A, et al. Human epidermal growth factor receptor-2 and endocrine resistance in hormone-dependent breast cancer. Endocr Relat Cancer. 2022 Jun 23;29(8):R105-R122.
2 中国抗癌协会乳腺癌专业委员会(CBCS)&中华医学会肿瘤学分会乳腺肿瘤学组(CSOBO)乳腺癌诊治指南与规范精要本(2025年版精要本)
3 Gianni L, et al. Efficacy and safety of neoadjuvant pertuzumab and trastuzumab in women with locally advanced, infl ammatory, or early HER2-positive breast cancer (NeoSphere): a randomised multicentre, open-label, phase 2 trial. Lancet Oncol 2012; 13: 25–32.
4 Early Breast Cancer Trialists' Collaborative Group (EBCTCG). Lancet Oncol. 2022 Mar;23(3):382-392.
5 王锐,等.高分子材料载体在天然抗肿瘤药物中的研究进展 [J]. 中草药, 2021, 52(10): 3133-3141.
6 Li, Xuebing, et al. Materials Horizons 11.12 (2024): 2820-2855.
7 Qi, Pan, et al. Molecular pharmaceutics 16.8 (2019): 3502-3513.
8 Wang, XY, and Diane J. Burgess. Advanced Drug Delivery Reviews 178 (2021): 113912.
9 注射用醋酸亮丙瑞林微球说明书(2021年12月20日)
10 张成乾,寸冬梅,陶安进,唐星,杨明世.不同封端的PLGA/PLA-醋酸曲普瑞林微球的制备及体内外评价[J].沈阳药科大学学报,2021,38(1):1-7
11 邵喜英, 张清媛, 牛钊峰, 等 . LY01005 和诺雷得®治疗绝经前乳腺癌的多中心随机对照III期临床研究[J]. 中华肿瘤杂志, 2025, 47(4): 335-344.
排版编辑:肿瘤资讯-IRIS






苏公网安备32059002004080号