乳腺癌是全球女性常见的恶性肿瘤,其远处转移是导致患者死亡的主要原因,常见转移部位包括骨、肺及肝脏等,而胃肠道转移则相对罕见,临床发生率较低,因此常被临床医生所忽视。既往研究表明,胃肠道转移灶中约97%源于浸润性小叶癌,而源于浸润性导管癌的病例则更为少见。作为乳腺癌的一种特殊类型,黏液癌通常具有生长缓慢、转移风险低及预后较好的特点。本例患者原发肿瘤为浸润性导管癌伴黏液癌成分,在术后出现了罕见的胃转移,其临床症状及内镜下表现与原发性胃癌极为相似,给诊断和治疗带来了挑战。本文将结合其诊疗经过,为临床提供参考。

病例介绍:以局部晚期乳腺癌为首发表现
患者,女性,51岁,于2022年6月13日因“发现右乳肿物”就诊。体格检查发现右乳较左乳明显增大,可扪及一大小约10.0cm×10.0cm的肿块,右侧腋窝可触及多枚肿大淋巴结。超声检查提示右乳存在一混合性囊实性肿块,右侧腋窝及锁骨下区域见多枚肿大淋巴结, BI-RADS 5级。病理活检结果显示浸润性癌(组织学II级),大部分为黏液癌,腋窝及锁骨下淋巴结见癌转移。免疫组化(IHC)结果为:雌激素受体(ER)(+++,7%),孕激素受体(PR)(+++,60%),人表皮生长因子受体2(HER-2)(1+),Ki-67 10%。临床诊断为右乳局部晚期浸润性癌(luminal A型),临床分期为T4bN3M0。

诊疗经过:从术前辅助到多线解救治疗的动态演变
患者初始治疗方案为新辅助化疗,环磷酰胺0.9g+表柔比星130mg+白蛋白紫杉醇400mg,每21天为1周期。完成5个周期的化疗后,MRI复查显示乳腺肿块及淋巴结较前无明显变化,疗效评估为疾病稳定(SD)。考虑到患者激素受体阳性,于2022年11月5日起,治疗方案调整为CDK4/6抑制剂联合内分泌治疗,阿贝西利150mg联合依西美坦25mg。治疗3个月后,病情仍为SD。
患者于2023年2月23日接受改良根治性乳房切除术联合背阔肌皮瓣转移修复术。术后病理检查显示,部分切除的乳腺组织呈囊性变,囊区附近可见残留的黏液癌(组织学Ⅱ级),最大范围3.0cm×2.8cm,同侧腋窝淋巴结见癌转移(14/20)。术后IHC结果发生变化:ER(++,90%),PR(+,2%),HER-2(3+),Ki-67 20%。根据APHINITY研究结果,患者的辅助治疗方案调整为依西美坦25mg联合曲妥珠单抗(首剂8mg/kg,后续6mg/kg,每21天1次静脉输注)和帕妥珠单抗(首剂840mg,后续420mg,每21天1次静脉输注)双靶向治疗。2023年6月,患者开始接受胸壁及区域淋巴结的放射治疗(50 Gy/25次),此后进行定期随访。
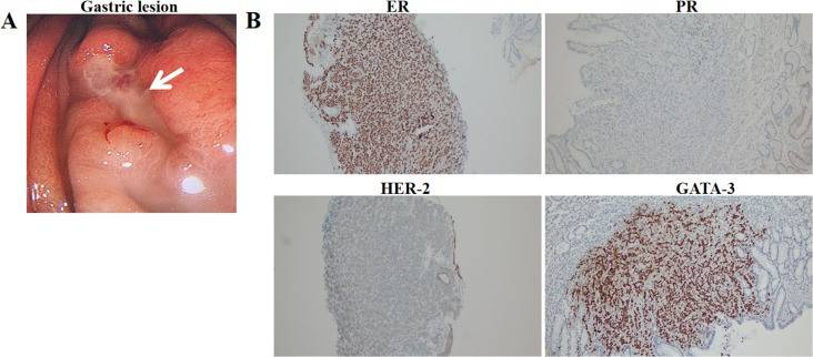
术后约10个月,即2024年1月18日,患者出现呕血症状。全身骨扫描提示第9胸椎、第4腰椎及左侧髂骨多发异常浓聚灶,考虑癌细胞骨转移。胃镜检查发现胃前壁一处直径10mm的深大溃疡,活检病理提示局灶性巢状紊乱的非典型细胞,诊断为恶性病变。为明确来源,对胃部病灶进行IHC检测,结果为GATA3(+)、ER(+++,9%)、PR(-)、HER-2(1+)。结合形态学及IHC结果,证实为乳腺癌胃转移。

此时,患者进入晚期一线治疗阶段,根据DAWNA-1研究,采用达尔西利150mg联合氟维司群0.5g方案治疗。该方案治疗10个月后,CT复查发现肝右后叶及左内叶出现边界不清的圆形低密度灶(21mm×18mm)。肝脏穿刺活检病理证实为肝组织内癌浸润,IHC结果为:GATA3(+)、ER(++,80%)、PR(-)、HER-2(2+,ISH阴性)、Ki-67 20%。根据此时HER-2低表达(HER2-low)的状态以及DESTINY-Breast04研究结果,于2024年11月20日启动二线治疗,方案为德曲妥珠单抗(T-DXd)5.4mg/kg,每21天一次。目前,患者仍在临床随访中。
深入分析:肿瘤异质性与鉴别诊断的挑战
乳腺癌胃转移的发病时间通常在初次诊断后的5至7年内,且浸润性小叶癌因上皮钙黏蛋白的缺失导致细胞黏附性丧失、移动性增强,更易发生胃肠道转移。本例患者为浸润性导管癌伴黏液癌成分,在术后短时间内即出现胃转移,提示即使是非小叶癌类型的乳腺癌,也应警惕胃转移的可能。
乳腺癌胃转移在临床表现及内镜下形态上常与原发性胃癌难以区分,因此病理学诊断及鉴别诊断至关重要。尽管ER和PR是乳腺癌重要的预后指标,但在部分胃癌中也可呈阳性表达(阳性率分别为32%和12%),因此不适合作为鉴别的金标准。GATA-3作为乳腺癌的特异性标志物,在浸润性导管癌和浸润性小叶癌中的阳性率分别高达96%和100%,而在胃癌中阳性率仅为5%。本例中,胃转移灶GATA-3呈阳性,为明确诊断为乳腺来源提供了决定性证据。
本病例治疗过程中存在肿瘤生物学特征的动态演变,这种现象充分体现了肿瘤的异质性,可能与治疗压力下的克隆选择、检测方法或判读标准等多种因素有关。这种动态变化直接影响了治疗决策,如从双靶向治疗、T-DXd治疗中获益。DESTINY-Breast04研究证实,T-DXd能显著改善HER-2低表达晚期乳腺癌患者的无进展生存期和总生存期,为这类患者提供了新的标准治疗选择。
小结:警惕罕见转移并重视肿瘤生物学特征的动态监测
乳腺癌胃转移虽然罕见,但对于有乳腺癌病史并出现消化道症状的患者,临床医生应保持高度警惕,避免延误晚期乳腺癌的诊断与治疗。明确区分原发性胃癌与乳腺癌胃转移至关重要,因为这直接决定了治疗方案的选择和患者的预后,而GATA-3等IHC标志物在鉴别诊断中具有关键价值。此外,该病例还凸显了肿瘤异质性及治疗过程中生物学特征动态演变对实现个体化治疗,从而最大限度地改善患者预后的重要性。
Lyu Z, Fei J, Zhang L, Liu Y. Gastric metastasis arising from invasive ductal and mucinous carcinoma of the breast: a case report and literature review. Front Oncol. 2025;15:1576874.
排版编辑:肿瘤资讯-Ethon






苏公网安备32059002004080号