在激素受体阳性(HR+)晚期乳腺癌的治疗领域中,CDK4/6抑制剂与抗体偶联药物(ADC)的成功应用虽已重塑治疗格局,但并非所有患者都能同等获益。一部分患者在治疗后出现的快速疾病进展,其根本原因往往是未被有效干预的核心致癌通路。其中,PIK3CA基因突变作为最常见的驱动因素,在HR+晚期乳腺癌患者中的发生率达30%~40%[1],并贯穿疾病全程,是导致肿瘤侵袭性更强及原发内分泌耐药的关键所在。如何精准识别并有效干预这一核心驱动因素?
本期【PIK TALK】专栏分享一例由吉林大学第一医院吕铮教授团队诊治的HR+/HER2-low晚期乳腺癌病例。该患者在一线CDK4/6抑制剂标准治疗及二线T-DXd治疗后仍快速进展,通过基因检测发现PIK3CA突变,后选择接受新型PI3Kα抑制剂及突变体降解剂伊那利塞(Inavolisib)联合氟维司群治疗,获得了迅速且显著的临床缓解,其胸壁破溃病灶基本愈合,肺转移灶完全消失。本期特邀吕铮教授和张聚良教授,对此病例进行深度剖析。
病例回顾
基本信息:患者,女,55岁(初诊时)。已绝经,无肿瘤家族史。
主诉:确诊右侧乳腺癌伴多发转移2年余,因三线治疗后疾病进展入院。
体格检查(2025年7月22日):右侧乳腺皮肤暗红,可见约3×2cm破溃,周围伴有皮下结节及黑色结痂。下方可触及约2×1cm质硬肿物,活动度差。右腋下可触及肿大淋巴结。
诊疗历程
初诊时间:2022年12月。
影像学检查
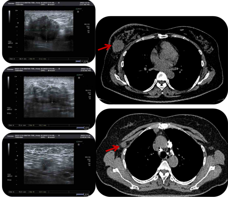
乳腺彩超(2022.12.10):右乳可见两个低回声团块,大小分别为34.9mm×31.6mm和31.6mm×19.2mm,BI-RADS 5类,伴右腋下淋巴结肿大。

PET/CT(2023.01.04):提示右乳多发高代谢癌灶,并广泛转移至右侧腋窝、纵膈、肺门等多处淋巴结,同时伴有双肺及右侧胸膜转移。

病理诊断:
【右乳(外下象限)】及【右乳(6点位)】均为浸润性癌;右腋下淋巴结穿刺组织可见癌
免疫组化:
【右乳(外下象限)】:Ki-67(+60%),ER(+90%,强),PR(+30%,中强),Her-2(1+)。
【右乳(6点位)】:Ki-67(+80%),ER(+90%,强),PR(+10%,中),Her-2(4B5)(1+)。
诊断:右乳浸润性导管癌IV期(cT2N3M1 LuminalB型 HER-2 low)、多发淋巴结转移、双肺多转移瘤、右侧胸膜转移
一线治疗:CDK4/6抑制剂阿贝西利联合方案(PFS:18个月)
依据指南推荐,患者启动一线治疗。
治疗时间:2023.1.22至2024.7.22。
治疗方案:来曲唑 (2.5mg qd) + 阿贝西利(150mg bid)。
疗效评估:最佳疗效为部分缓解(PR)。影像学显示病灶持续缩小。
不良反应: 出现2级腹泻、肝酶升高及白细胞/中性粒细胞降低,均可管理。
二线治疗:ADC药物T-DXd治疗(PFS:5个月)
疾病进展 (2024.07.22):复查评估提示右乳病灶增大,侵犯皮肤,肺部出现新发病灶。

再活检病理(2024.7.22):病理证实为浸润性导管癌,免疫组化变为ER(强+90%),PR(-),HER2(2+,FISH阴性),仍为HER2-low亚型。
治疗时间:2024.8.2至2025.1.2。
治疗方案:德曲妥珠单抗 (T-DXd, 5.4mg/kg q3w)。
疗效评估:治疗8周期,最佳疗效为疾病稳定(SD),PFS为5个月。

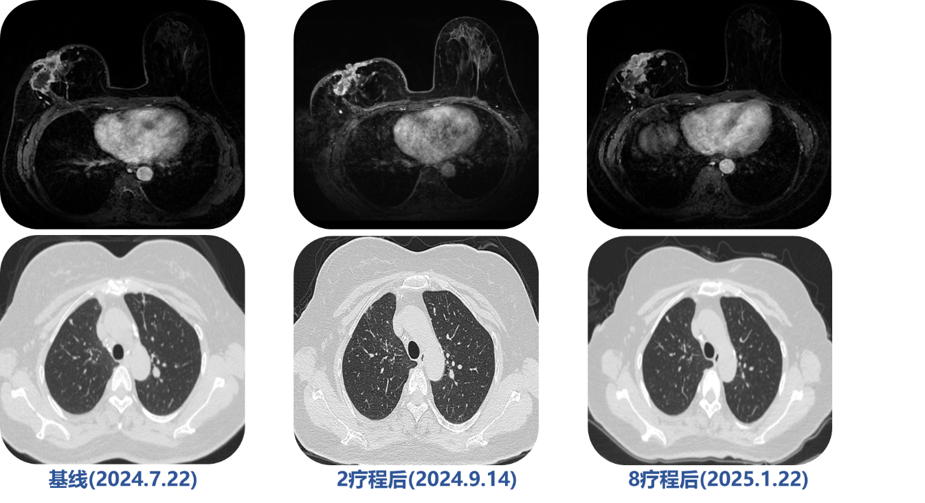
三线治疗:化疗联合抗血管生成(PFS:3个月)
疾病进展 (2025.01.22): 评估显示右乳病灶再次增大并出现破溃。

基因检测(2025.01.23):对右乳新鲜穿刺组织行NGS检测,结果提示 PIK3CA基因c.3140A>G (p.H1047R) 突变,同时提示MDM2和CDK4基因扩增。

治疗时间:2025.2.12至2025.5.22。
治疗方案:艾立布林 (d1, d8) + 安罗替尼 (d1-14) q3w。
疗效评估:治疗4周期,最佳疗效为疾病稳定(SD),但PFS仅3个月。

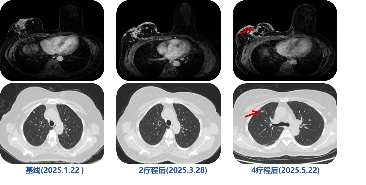
四线治疗:伊那利塞精准破局(2025年5月至今)
疾病进展 (2025.05.22):患者病情急剧恶化,右乳病灶破溃增大,皮下结节增多。

治疗方案:基于PIK3CA突变结果,采用伊那利塞 (9mg qd) + 氟维司群 (500mg q4w)靶向治疗。
疗效评估(2025.7.22):治疗2疗程后,疗效评估为PR 。患者胸壁破溃病灶基本愈合,肺转移灶消失。


最新进展(2025.8.21): 完成3疗程治疗后,胸壁破溃病灶在原有基础上进一步愈合,创面持续改善。目前PFS持续中。
患者耐受性良好,仅出现1级腹泻、口腔黏膜炎和高血糖症,均易于管理,未影响治疗

病例诊疗历程总结

病例点评
专家介绍
吉林大学第一医院
北京乳腺病防治学会肿瘤免疫分会副主任委员
中国抗癌协会国际医疗交流委员会青年委员会副主任委员
中国抗癌协会乳腺疾病专业委员会青年委员
中国抗癌协会肿瘤原发灶不明专业委员会委员
中国抗癌协会第六届肿瘤临床化疗专业委员会委员;
中国医疗保健国际交流促进会肿瘤内科分会委员
中国医疗保健国际交流促进会乳腺疾病分会青年委员会青年委员
中国医药生物技术协会医药生物技术临床应用专业委员会委员
吉林省乳腺癌质量控制专家委员会委员
吉林省健康管理学会-乳腺疾病专业委员会委员
吉林省健康管理学会临床肿瘤专业委员会暨医联盟委员
第一届吉林省研究型医院学会肿瘤学专业委员会委员
专家介绍
空军军医大学西京医院 甲乳血管外科
中华医学会肿瘤学分会乳腺学组委员
中国抗癌协会中西整合乳腺癌专委会委员
陕西省医师协会乳腺甲状腺分会副会长
陕西省抗癌协会癌症筛查与早诊早治专委会副主任委员
陕西省抗癌协会乳腺癌专业委员会常委
陕西省抗癌协会药物治疗专业委员会常委
Q1: 为何目前的标准治疗方案也无法阻止这位患者疾病的快速进展?该患者在一线CDK4/6抑制剂和二线ADC治疗失败后,才于三线检测出PIK3CA突变,这对于临床实践有何启示?
吕铮教授:本例患者的治疗路径堪称典型亦颇具警示意义,我们认为给予这例患者的一线二线治疗都是当前最标准的治疗方案,但事与愿违,面对PIK3CA突变,这例患者的治疗历程可谓一波三折。从一线CDK4/6抑制剂长达18个月的显著获益,到后续ADC、化疗方案的快速失效,病情急转直下,它生动地展示了肿瘤在治疗压力下的动态演进过程,以及精准医疗在其中扮演的决定性角色。
首先,本病例凸显了动态、实时基因检测的重要性。PIK3CA是HR+乳腺癌中最常见的突变基因,是驱动肿瘤进展和内分泌耐药的关键通路。该患者在一线CDK4/6抑制剂耐药后曾建议其完善相关基因检测,但出于患者自身因素及相关药物可及性等因素,综合考虑并未行基因检测。二线T-Dxd治疗后的快速进展,再次证明了基因检测的重要性,于三线化疗前完成基因检测,结果提示PIK3CA突变,我们固然为其抓住了后续精准治疗的机会而庆幸,但如果能更早进行检测,例如在一线治疗前即行活检或ctDNA检测,是否能让患者更早获益?事实上,2025年发布的《中国乳腺癌PIK3CA基因突变检测专家共识》已明确建议在一线治疗前常规开展检测[1],这正是为了将精准干预的时机前置。肿瘤具有异质性和动态演化性,治疗压力会筛选出新的优势克隆。因此,在每一个关键的疾病进展节点,重新评估肿瘤的分子特征,是制定后续精准治疗方案的基石。
其次,本病例完整地呈现了针对PIK3CA突变的患者,为何标准治疗可能无法取得持久疗效。其根本原因在于,常规的CDK4/6抑制剂或ADC无法真正有效抑制由PIK3CA突变持续激活的PI3K/AKT/mTOR通路。CDK4/6抑制剂虽可延缓肿瘤细胞周期进展,但并不直接作用于PI3K通路,而T-DXd及化疗方案则缺乏明确的分子靶向性,因而难以阻断核心驱动机制。在多线治疗接连失败后,基于NGS检测出的PIK3CA突变指引了唯一且明确的方向。最终伊那利塞联合氟维司群方案迅速控制病情,进一步证实了精准靶向治疗在应对PIK3CA突变肿瘤时的显著临床价值。这启示我们,晚期乳腺癌的治疗是一个“排兵布阵”的长期管理过程,选择正确的靶点优于选择正确的治疗线数,治疗策略应基于既往用药史、疗效、耐受性以及不断更新的分子生物学标志物来综合决策。对于这类PIK3CA突变的患者如果选择更前线地检测和精准靶向的治疗可能会给患者带来更长的PFS和生存获益。
Q2:该患者在ADC快速进展后使用伊那利塞联合氟维司群依然取得了惊艳的疗效。请结合INAVO120研究,谈谈新型的PI3Kα抑制剂的治疗地位与前景。
张聚良教授:该患者的成功救治并非偶然,而是精准医学理念下,循证证据在临床实践中的完美映射。PI3K/AKT/mTOR信号通路的异常激活,特别是PIK3CA基因突变,是HR+乳腺癌内分泌耐药的核心机制之一。伊那利塞(Inavolisib)作为新一代高选择性、高活性的PI3Kα亚型抑制剂,其设计初衷就是为了精准解决这一难题。
里程碑式的INAVO120研究,正是为伊那利塞的临床应用提供了最高级别的证据。该研究是一项全球III期临床试验,在一线治疗PIK3CA突变的HR+/HER2-局部晚期或转移性乳腺癌患者中,对比了“伊那利塞+哌柏西利+氟维司群”三联方案与“安慰剂+哌柏西利+氟维司群”的标准一线方案[2]。结果显示,伊那利塞联合组将中位无进展生存期(mPFS)从7.3个月显著延长至17.2个月,疾病进展或死亡风险降低了58%(HR=0.42)。更重要的是,其总生存期(mOS)也显示出具有统计学意义的显著获益,从27.0个月延长至34.0个月,死亡风险降低33% 。与此同时,客观缓解率(ORR)由28.0%提升至62.7%,表明接受该方案的患者中有更多人能从治疗中获得实质性的病灶缩小,尤其对症状较重或肿瘤负荷较高的患者而言,这一改善具有实际意义。缓解持续时间也更长,达19.2个月,说明该方案不仅起效率高,缓解维持时间也相对可观,有利于疾病的长期管理。
回到本病例,虽然患者处于四线治疗的危重阶段,但其对伊那利塞的响应速度和深度(2疗程后肺部病灶CR,胸壁破溃愈合),生动地展示了当抓住主要驱动基因并予以强效抑制时,即使是后线患者也能获得石破天惊的卓越疗效。这从实践层面印证了INAVO120研究的结论:对于携带PIK3CA突变的患者,PI3Kα抑制剂是不可或缺的关键药物。
同时,患者仅出现1级不良反应,也反映了新一代PI3K抑制剂在疗效和安全性上的优化。这与INAVO120研究中观察到的良好安全性特征高度一致,即严重不良反应发生率低,大多数副作用可预测、可管理,因不良反应导致的治疗中断率低(6.8%)。这确保了患者能够长期、稳定地接受治疗,将生存获益最大化。
展望未来,随着INAVO120研究的成功,已奠定了伊那利塞联合方案作为PIK3CA突变患者一线标准治疗的地位。而本病例的成功经验则告诉我们,突变的精准检测和选择正确的靶向治疗是更有效的治疗方式,只要明确存在PIK3CA这一驱动基因,及时给予突变的有效抑制,伊那利塞能够带来力挽狂澜的治疗机会,为患者赢得宝贵的生存时间和更高的生活质量。
病例提供专家
擅长乳腺癌的综合治疗和全程管理
作为Sub-I参与国际、国内多中心临床试验40余项
1. 中华医学会病理学分会,中国临床肿瘤学会病理专家委员会,国家病理质控中心. 中国乳腺癌PIK3CA基因突变检测专家共识(2025版)[J]. 中华病理学杂志,2025,54(02):120-125
2.Jhaveri KL, Im SA, Saura C, et al. Overall Survival with Inavolisib in PIK3CA-Mutated Advanced Breast Cancer. N Engl J Med. 2025;393(2):151-161.
本文仅为个人观点分享,具体诊断方案需结合实际情况判断。
排版编辑:肿瘤资讯-Delia






苏公网安备32059002004080号