
结直肠癌作为我国高发的恶性肿瘤之一,近年来其发病率明显上升。TAS-102作为一种新型口服化疗药物,因其良好的疗效和安全性,在转移性结直肠癌治疗中显示出广阔的应用潜力。本文通过分析三例真实世界的临床病例,并结合多位领域内专家的点评,旨在深入探讨TAS-102联合方案在晚期结直肠癌的临床价值,以期为临床实践提供新的参考与启示。
病例一
病例汇报:
葛伟教授 包头市中心医院
病例点评:
李孝远教授 北京协和医院
郭欣教授 山西白求恩医院
中国医师协会放射治疗肿瘤专委会第三届头颈肿瘤学组委员
西部放射治疗协会胸组第三届专委会委员
北京肿瘤防治研究会肺癌分委会委员
北京医学奖励基金会肺癌医学青年专家委员会委员
北京肿瘤防治研究会放疗分委会委员
内蒙古抗癌协会神经肿瘤专业委员会秘书长兼常务委员
内蒙医师协会放疗专业委员会青年委员
内蒙古抗癌协会放疗专业委员会青年委员会 委员
内蒙古抗癌协会精准医学与MDT专委会委员
内蒙古抗癌协会不良反应处理专委会委员
内蒙古抗癌协会消化道肿瘤专委会委员
曾获内蒙古自治区科学技术进步奖二等奖1项、专利一项
国家自然科学基金项目1项
内蒙古自治区自然科学基金项目1项
内蒙古医学科学院公立医院科研联合项目1项
曾发表多篇国家级核心期刊文章、SCI一篇、参编专著2部
患者基本情况
一般资料:女性,74岁。
主诉:因“结肠癌术后4年余,腹痛1天”于2025年6月25日就诊。
既往史:高血压病史10余年。
诊疗经过
手术治疗
患者于2021年7月1日行右半结肠癌切除+肠系膜淋巴结清扫术+横结肠吻合术。术后病理:右半结肠溃疡型中-低分化腺癌,癌组织侵犯浆膜下组织,未见明显脉管癌栓及神经侵犯,淋巴结可见癌转移(1/14),基因检测:微卫星稳定(MSS),KRAS、NARS、BRAF野生型。
术后1月复查CT提示:双肺多发结节,不除外转移;肝脏S5段低密度结节,较前增大,考虑转移。
一线治疗
患者予以奥沙利铂+卡培他滨方案化疗。治疗3周期后复查CT检查,提示肺部小结节,不除外转移;肝脏转移瘤较前未见明显变化。疗效评价:疾病稳定(SD)。
肺部结节转移无法确定,建议完善PET-CT(家属拒绝),综合肝脏转移瘤为寡转移,可考虑手术(家属拒绝)。
2021年10月25日对肝脏转移灶行立体定向放疗(SBRT:50Gy/5Fx)。
2021年11月25日、2021年12月9日化疗2周期,后不规律口服卡培他滨治疗。
2022年7月20日复查胸部CT:双肺多发结节灶考虑转移,全腹部CT未见明显异常(肝脏无转移,吻合口无复发)。
二线治疗
患者于2022年8月12日至9月19日予以贝伐珠单抗+FOLFIRI方案治疗。
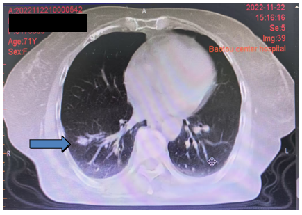
2022年11月22日复查胸腹部CT:双肺多发结节灶考虑转移,较前略缩小(图1)。疗效评价:部分缓解(PR)。

后因不耐受,患者于2023年6月11日、6月27日予以贝伐珠单抗+雷替曲塞治疗2周期,但仍无法耐受。
患者于2023年7月21日予以贝伐珠单抗单药维持治疗2周期。
因抵触住院停用贝伐珠单抗。
三线治疗
患者于2023年8月下旬予以TAS-102口服维持治疗,并根据情况不规律使用贝伐珠单抗。
2023年11月27日复查胸腹部CT,提示双肺下叶病灶较前增大。
2023年12月4日于双肺下叶增大转移灶行放疗(40Gy/5Fx)。
患者持续接受TAS-102治疗至今,无进展生存期(PFS)已超过23个月。
病例小结
本病例为一名高龄、RAS/BRAF野生型、MSS型晚期结直肠癌患者。在经历了一、二线标准化疗及局部放疗后,疾病仍有进展。三线治疗中,采用TAS-102口服化疗作为主要维持手段,并间断联合贝伐珠单抗,再次介入局部放疗控制进展病灶。通过这种“全身+局部”“化疗+抗血管”的灵活组合与全程管理模式,患者在三线治疗中获得了长达23个月的PFS,总生存期(OS)已超过4年,充分体现了在真实世界中,根据患者耐受性、经济状况和疾病特点进行个体化治疗决策的重要性。
病例二
病例汇报:
徐超教授 浙江中医药大学附属第二医院
病例点评:
张文华教授 天津市人民医院
苏慎勇教授 河北大学附属医院
主治医师、特聘副研究员、硕士生导师
浙江省医坛新秀
中国抗癌协会中西医整合肿瘤专业委员会青委秘书
浙江省中西医结合肿瘤专委会青委副主委
个人拥有专利2项,主持国家自然科学基金、浙江中医药科技项目计划及浙江省医药卫生科技项目计划3项
发表论文10余篇、其中SCI论文7篇
2022年CSCO35under 35最佳人气奖
擅长消化道恶性肿瘤的中西医结合治疗
患者基本情况
一般资料:女性,75岁。
主诉:因“反复便血1月余,发现结肠占位1周”于2021年9月14日入院。
既往史:高血压、2型糖尿病史。
辅助检查:
2021年9月16日肠镜检查,提示结肠恶性肿瘤,病理结果提示腺瘤变高级别上皮内瘤变(腺癌不除外)。
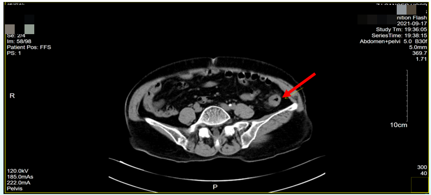
2021年9月17日腹、盆腔CT检查,提示降-乙交界区结肠壁异常增厚,考虑恶性肿瘤,并累及浆膜,肠周淋巴结肿大;直肠壁可疑增厚,结合内镜检查;肝、胰、脾及腹膜后平扫未见明显异常(图2)。

诊疗经过
手术治疗
患者于2021年9月23日行腹腔镜左半结肠切除术,术后病理为pT3N0M0(Ⅱ期),中分化腺癌。免疫组化提示hMLH1(+)、hMSH2(+)、hMSH6(+)、PMS2(+)。
术后定期复查。2022年3月18日复查胸部CT提示右肺中叶新发转移灶。
患者拒绝化疗。持续观察至2022年8月,肺部病灶明确进展。
一线治疗
患者于2022年8月18日至2023年3月27日予以FOLFIRI+贝伐珠单抗方案治疗10周期,期间出现肝功能异常及消化道反应,但肺部病灶稳定。
后续因无法耐受强烈化疗,于2023年3月27日至2023年8月14日改为卡培他滨+贝伐珠单抗维持治疗3周期。
2023年7月21日复查胸、腹盆腔CT检查,提示对比(2023年2月22日)右肺中叶、左肺上叶转移瘤,较前增大。结肠癌术后改变,盆腔CT增强未见明显占位灶(图3)。

二线治疗
患者2023年8月14日至今予以TAS-102联合贝伐珠单抗治疗。
患者耐受性良好,肝功能好转,肿瘤标志物下降,影像学评估病灶缩小,达到PR。目前该方案已维持近两年,疾病控制良好。
病例小结
本病例为一例高龄晚期结肠癌患者,初次手术后为Ⅱ期,但短期内出现肺转移。患者对标准化疗耐受性差,在一线治疗后很快面临困境。将通常用于三线的TAS-102联合贝伐珠单抗方案“跨线”用于二线治疗,取得了良好疗效,PFS已接近两年,且患者生活质量高。该病例的成功实践,为高龄、体弱、无法耐受强烈化疗的转移性结直肠癌患者提供了一个重要的治疗思路,即TAS-102联合方案可作为特定人群中更早期治疗的有效且低毒的选择。
病例三
病例汇报:
郭治贵教授 河北大学附属医院
病例点评:
赵乐教授 河北医科大学第四医院
卜晓倩教授 山西白求恩医院
肿瘤内科三病区责任医师
主治医师
硕士研究生
患者基本情况
一般资料:男性,65岁,ECOG 1分。
主诉:“直肠癌多发转移1年余”于2022年11月就诊。
诊疗经过
手术治疗
患者于2021年10月确诊直肠癌同时性肝肺转移,于外院行直肠癌根治术,术后病理为:直肠腺癌;淋巴结转移(2/15)。
一线治疗
患者术后至2022年6月,接受贝伐珠单抗+XELOX方案治疗。
2022年11月复查胸腹部CT,提示(对比2022年5月)提示双肺结节增多、增大,肝右后叶占位增大(图4)。
基因检测提示KRAS G12D突变,MSS。

二线治疗
患者于2022年11月予以贝伐珠单抗+XELIRI治疗6周期,贝伐珠单抗+卡培他滨治疗2周期。
2023年7月复查胸腹部CT,提示右肺及肝内病灶较前增大。
三线治疗
患者于2023年7月予以瑞戈非尼+替雷利珠单抗+雷替曲塞联合方案治疗。
2023年10月复查胸腹部CT,提示肝右后叶占位增多、增大。
四线治疗
患者于2023年10月予以TAS-102联合瑞戈非尼治疗。
治疗期间定期复查,疗效评价为SD。
2024年7月复查腹部CT,提示肝内病灶增大、增多。
病例小结
本病例为一名KRAS突变、MSS型的转移性结直肠癌患者,经历了一、二线标准治疗后均出现进展。在三线免疫联合靶向治疗效果不佳后,四线治疗中采用TAS-102联合瑞戈非尼的全口服方案,为患者带来了长达9个月的疾病稳定期。该病例凸显了在标准治疗之外,依据临床数据进行个体化方案探索的价值,TAS-102联合靶向治疗在克服耐药、延长后线生存方面的重要潜力。
总结
结直肠癌是我国常见的恶性肿瘤之一,其发病率和死亡率均位居前列。上述三个病例从不同角度展示了晚期结直肠癌治疗的复杂性与多样性,也为临床实践提供了宝贵的经验。在治疗过程中,全程管理、MDT以及个体化治疗策略的制定至关重要。无论是针对标准治疗后进展的患者,还是高龄、耐受性差的特定人群,临床医生都需要综合考虑患者的疾病特点、治疗意愿、经济状况以及药物的疗效和安全性,灵活选择治疗方案。TAS-102作为一种口服化疗药物,在多个病例中均展现出良好的疗效和耐受性,尤其在联合抗血管生成药物(如贝伐珠单抗)或其他靶向药物时,为患者带来了明显的生存获益,其在晚期结直肠癌治疗中的应用前景值得进一步关注和探索。未来,随着临床研究的不断深入,更多新的治疗药物和方案将不断涌现,期待为晚期结直肠癌患者带来更多希望。
排版编辑:肿瘤资讯-jyy






苏公网安备32059002004080号