
引言:培唑帕尼是一款多靶点酪氨酸激酶抑制剂(TKI),主要通过抑制VEGFR-1、2、3,PDGF-α、β 和c-Kit 进而抑制肿瘤血管生成及肿瘤细胞生长和存活。本期病例分享带来了3例晚期肾癌患者,经过培唑帕尼单药治疗后病情控制良好,生存获益显著。
病例分享一:
晚期肾癌患者接受培唑替尼治疗,PFS超90个月
病例汇报
彭毓璐教授 中山大学肿瘤防治中心
病例点评
邓实教授 四川大学华西医院
苏锦锋教授 漳州市医院
肿瘤学博士、博士后
中山大学肿瘤防治中心泌尿外科医师/助理研究员
入选2022年国家“博士后创新人才支持计划(博新计划)”
广东省癌症中心肾癌诊疗质控专家委员会 秘书
主持国家自然科学基金青年项目1项,博士后面上项目1项,广东省自然科学基金面上项目1项,参与国家自然科学基金面上项目3项
以第一/通讯作者身份发表SCI论文10余篇,其中IF>10分5篇,包括泌尿外科顶级杂志European Urology, 肿瘤免疫治疗协会官方杂志Journal for ImmunoTherapy of Cancer,美国临床肿瘤学会官方杂志Clinical Cancer Research;申请发明专利1项
主要研究方向为肾癌肿瘤微环境与免疫治疗耐药
患者基本情况
一般资料:男性,59岁。
主诉:2017.09,消瘦伴右腰部疼痛2月余入院。
辅助检查
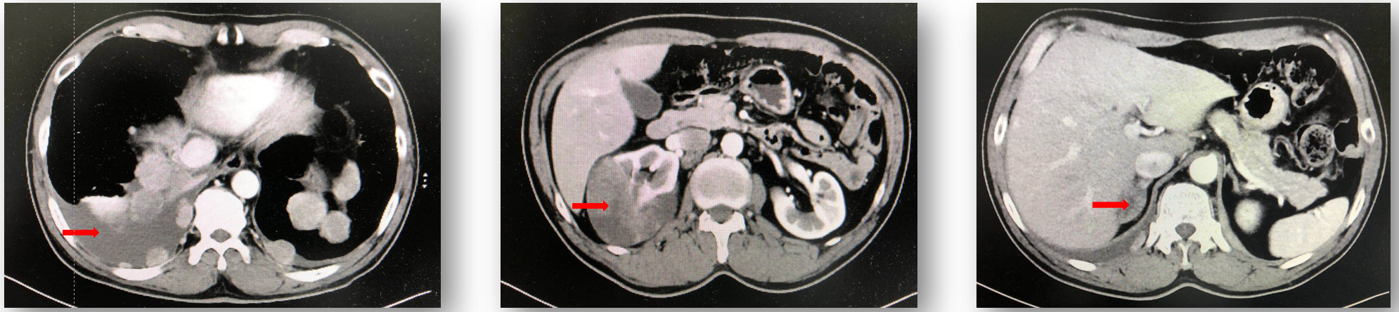
• CT:右肾肿物约70x83mm,考虑肾细胞癌;双肾上腺转移;腔静脉后淋巴结多发转移;双侧胸膜多发转移并双侧胸腔积液。

临床诊断
肾细胞癌, 临床 Ⅳ 期, cT3N1M1。
治疗经过
手术治疗
2017.10行减瘤右肾切除+腹膜后淋巴结清扫
术后病理:透明G3(80%)、管状囊性混合肾细胞癌 (20%) , pT3aN1M1;

药物治疗
一线培唑帕尼(赛贝欣, 800mg QD ): 部分缓解(PR)

一线TKI 13个月:肿瘤进展

二线TKI(索拉菲尼400mg BID) 治疗3月:肿瘤继续进展

三线治疗:减量培唑帕尼+PD-1单抗,治疗2月达PR;维持用药,疗效持续稳定

2020.04:间断使用免疫药物,单用培唑帕尼维持;
2020.09:复查CT:整体稳定控制;
2023.12:PD-1单抗维持治疗,复查CT:整体稳定控制;
从一线TKI 开始OS:90+月
病例分享二:
培唑帕尼一线靶向治疗晚期肾癌PFS超两年,获益明确
病例汇报
谭伟娟教授 厦门大学附属中山医院
病例点评
曾晓红教授 佛山市第一人民医院
医学硕士、住院医师
中国医药教育协会腹部肿瘤医学综合康复分会委员
亚洲肿瘤学会会员,中国抗癌协会会员
2020年获西安交通大学临床医学及英语学士学位,2023年获首都医科大学肿瘤学硕士学位
参与国家和省市级科研项目多项
以第一作者及共同第一作者参与发表SCI论文数篇
患者基本情况
一般资料:男,68岁
主诉:确诊肾透明细胞癌1年余。
既往史:无特殊。
个人史:无饮酒吸烟,家族史无特殊
辅助检查
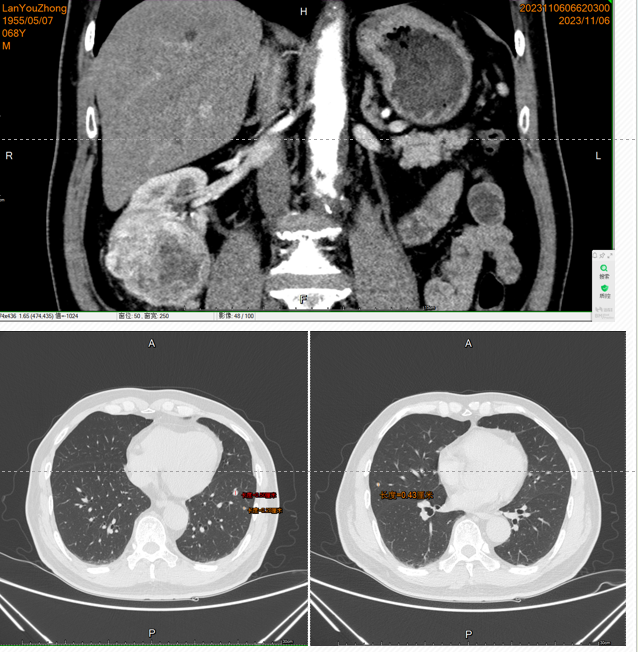
2023.11.06我院门诊就诊,肾CT增强:右肾下极见类圆形混杂密度影,大小约7.7x6.1cm,向肾外隆起,内见斑片状低密度灶,增强呈不均匀明显强化,延迟期强化减低。
右肾占位,考虑透明细胞癌可能。腹主动脉瘤可能。
2023.11.02肺CT:双肺多发散在小结节影,直径3-6mm,转移待排

临床诊断
考虑透明细胞癌。
治疗经过
手术治疗
• 2023-11-14全麻下行腹主动脉分支覆膜支架置入术。
• 2023-11-23腹腔镜下单侧肾切除术,术后病理:(右肾肿物)根治切除标本:透明细胞肾细胞癌,WHO/ISUP核分级4级,伴出血,未见明确脉管内癌栓及神经侵犯。癌侵犯未侵出肾纤维膜,未累及肾周脂肪囊,未累及肾盂黏膜及肾窦脂肪。输尿管切缘及血管切缘均未见癌;送检“右肾门淋巴结”未见转移癌(0/7)。免疫组化:CK-P(-),EMA(+),Vimentin(+),P63(-),RCC(+),PAX-8(+),CD117(个别细胞+),CK7(灶+),Ksp-Cad(+),CK20(-),SDHB(+),E-Cad(-),HMB45(-),P504s(-),Ki-67(+,约3%)。
• 术后未进一步治疗。
术后复查
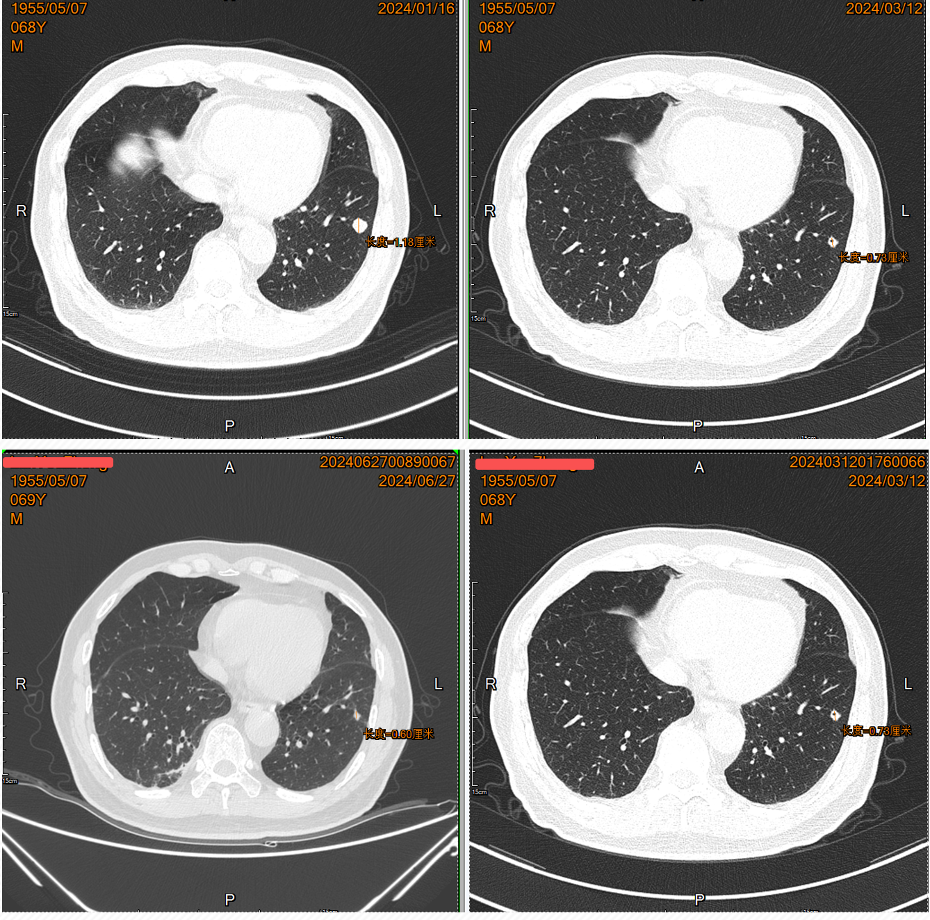
• 2024.01复查肺CT:双肺肺内可见多处小结节影,大者直径约为11mm,考虑转移瘤可能。余脑/骨/全腹盆腔未见明确复发转移

• 确诊右肾透明细胞癌并双肺多发转移(T2aN0M1 IV期)。IMDC及MSKCC预后评分:2分(初始至开始系统性治疗时间<1年/贫血)、中危。
药物治疗
• 2024.01予以“培唑帕尼200mg qd”靶向治疗;2024.03加量至“培唑帕尼400mg qd”靶向治疗
• 2024.3、2024.6复查:双肺肺内可见多处小结节影,部分缩小,部分结节内空洞形成。

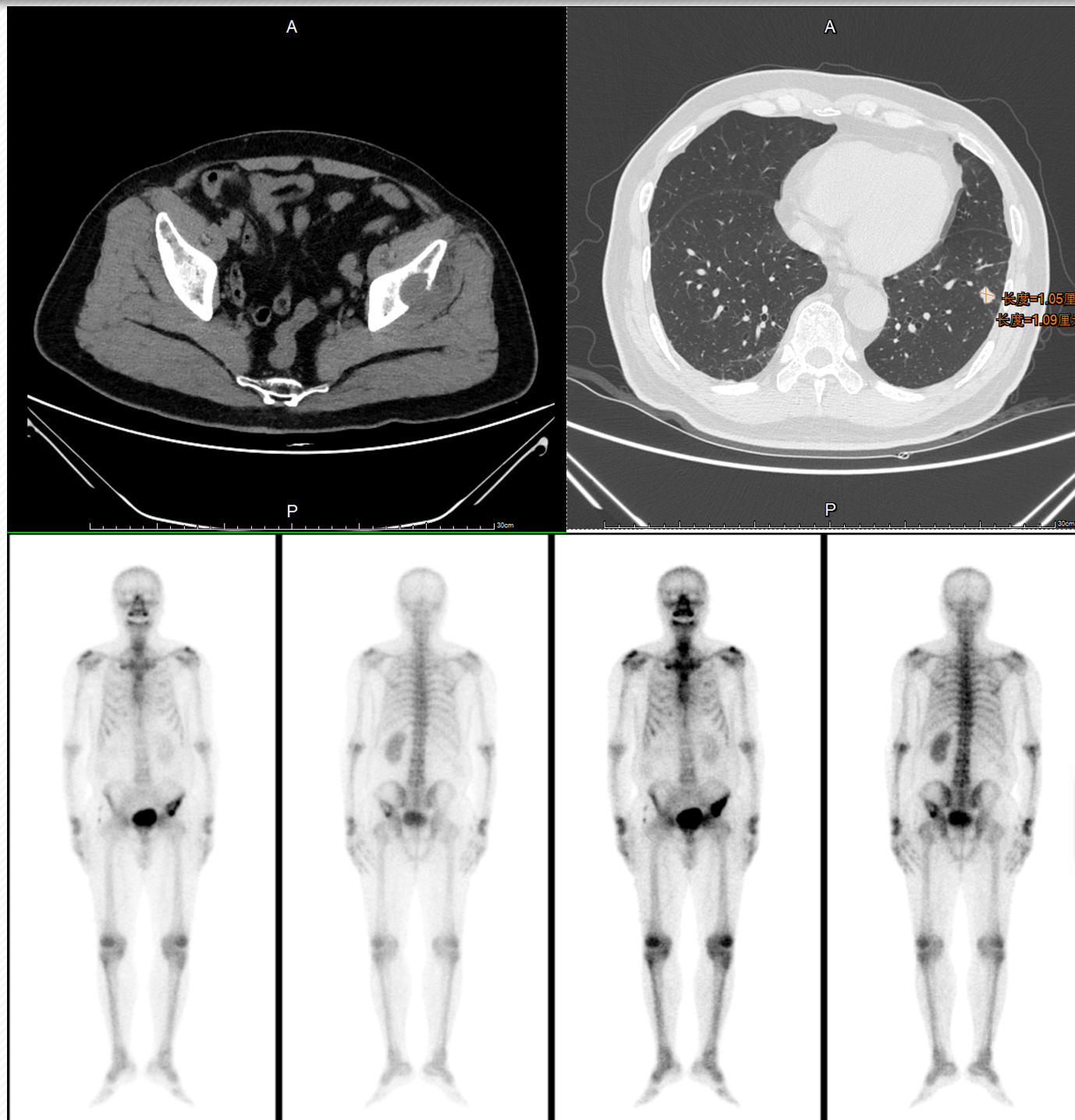
• 2024.10复查疾病进展并出现骨转移,考虑患者不规则用药,予重新恢复口服培唑帕尼,并加量至600mg qd。
• 2024.12培唑帕尼加量至800mg qd,监测血压波动在125-156/81-101mmHg间,每日解2-3次稀糊样便,药物控制不佳,改“培唑帕尼800mg qd”维持至今,期间疗效评价SD,未见颅内转移。

• 目前患者通过培唑帕尼一线靶向治疗已超两年,获益明确。
病例分享三:
培唑帕尼在晚期肾细胞癌中展现显著疗效
病例汇报
邹金金教授 成都市第七人民医院
病例点评
黄建林教授 四川省人民医院
钱小英教授 海南医科大学第二附属医院
副主任医师、医学硕士
成都市第七人民医院肿瘤科医疗组长
负责成都市卫健委课题及成都医学院院校课题2项
发表SCI及国内核心期刊论文数篇
成都高新医学会肿瘤放射治疗专委会常务委员
四川省康复医学会肿瘤学专业委员会青年委员
四川省抗癌协会肿瘤疼痛学专业委员会青年委员
四川省抗癌协会肿瘤免疫治疗专委会委员
四川省医学会健康促进多学科联合委员会委员
四川省医学科技创新研究会肺癌临床研究专业委员会
成都市抗癌协会肿瘤精准医学专业委员会委员
患者基本情况
一般资料:男,74岁
主诉:因“左肾癌术后7+年,呼吸困难1+月”于2025-10-12入院。
现病史:2018年8月患者因“左腰部疼痛”就诊天府新区人民医院,腹部CT:左肾见类圆形等低密度影,约8.6*6.2cm。2018-8-19在全麻下行“左肾囊肿切除术”,术后病理:”左肾”乳头状肾细胞癌I型(Fuhrman核分级:II级),含少许透明细胞肾细胞癌成分,肿瘤大小8cmx6cmx3cm,灶性侵及肾脏被膜。免疫组化染色:肿瘤细胞CK19(+)、CK7(+)、S-100(-)、CD10(部分细胞十)、HMB45(局灶十)、Vimentin(部分细胞+)、RCC(+)、EMA(+)、CK (+)、P53(-)、CK5/6(-)、Ki-67阳性率约1%-5%。
辅助检查
• 2025-9-16胸腹部CT示:1.临床提示左肾肿瘤术后:目前左腹壁瘢痕影、瘢痕处强化不均,左肾上份稍低密度团块影,考虑肿瘤性病变,复发?其它?邻近左侧腹膜后强化结节影,转移?纵隔、右肺门、腹膜后增大、部分坏死,考虑转移;双肺多发小结节,部分转移可能。请结合;临床及外院旧片。2.右侧液气胸、肺组织压缩约40%,右侧胸腔置管影,右肺部分受压不张、强化尚均,合并其它待排;建议治疗后复查。3.肺气肿,双肺散在炎变、部分为慢性炎变。4.主动脉及冠状动脉壁钙化,气管内少许粘液。5.双侧胸膜增厚,左侧胸腔少量积液。6.肝右后叶小囊性灶,建议随诊。7.胆囊结石。8.双肾髮肿。9.前列腺强化不均,必要时结合MR平扫及增强检查。
• 头颅MRI未见确切转移病灶。

• 2025年9月22日 免疫组化报告间皮样细胞免疫表型:PAX8(+)、PAX2(一);病理诊断:结合临床及两轮免疫表型,符合“肾癌”转移。
临床诊断
左肾乳头状肾细胞癌I型(含少许透明细胞)伴腹壁、纵隔、腹膜后淋巴结、胸膜、肺转移(rT1N1M1 IV期)。慢性肾脏病4期;高血压1级 高危;中度贫血。
治疗过程
• 2025-9-30行洛铂+地塞米松控制胸水,具体:地塞米松10mg及洛铂10mg胸腔灌注,胸腔灌注后拔除胸腔穿刺引流管。并口服培唑帕尼片800mg qd靶向治疗。
• 治疗 20 多天后患者出现气急、腹泻等症状,暂停培唑帕尼治疗,复查 CT 显示部分病灶缩小,但心包积液增多,行心包腔及双侧胸腔穿刺引流,病理提示心包转移,给予洛铂及地塞米松心包腔灌注,
• 2025-10-25培唑帕尼靶向治疗,减量为 600 毫克/天。

培唑帕尼在晚期肾癌治疗中的临床价值
会议最后,大会主席中山大学附属肿瘤医院董培教授和四川省人民医院熊玮教授对此次会议进行总结。本次回议聚焦晚期肾癌的全程管理,旨在通过病例分享和讨论,探讨如何为患者制定更优治疗方案,提升生活质量和延长生存期。晚期肾癌治疗药物进展较快,一线靶免治疗对部分患者效果好,但后线治疗常面临棘手情况。因此不仅要关注一线治疗效果,还要重视后线用药选择,为药物排兵布阵带来思考。培唑帕尼作为一线标准治疗药物,因其独特的VEGFR/PDGFR多靶点抑制作用和良好的血脑屏障穿透能力,在脑转移患者中展现出显著疗效,获得国内外指南一致推荐。最后,我们还要继续在临床实践中探索新辅助治疗、辅助治疗等在肾癌治疗中的应用,积累更多经验,优化治疗方案。
排版编辑:肿瘤资讯- Sally






苏公网安备32059002004080号