
培唑帕尼是一款多靶点酪氨酸激酶抑制剂(TKI),主要通过抑制VEGFR-1、2、3,PDGF-α、β 和c-Kit 进而抑制肿瘤血管生成及肿瘤细胞生长和存活。本期病例特邀多位临床专家结合多例肾癌患者病例,探讨肾癌治疗策略。
病例分享一:
高龄T3期肾癌患者,培唑帕尼新辅助治疗帮助下成功接受手术
病例汇报
宁向辉教授 郑州大学第一附属医院
病例点评
王志鹏教授 哈尔滨医科大学附属第四医院
冀 强教授 焦作市第二人民医院
郑州大学第一附属医院泌尿外科副主任医师、医学博士、硕士研究生导师
博士毕业于北京大学泌尿外科研究所,师从郭应禄院士及龚侃教授
擅长泌尿系肿瘤的手术治疗、系统化治疗及全程管理,如肾脏肿瘤,前列腺癌,输尿管肿瘤,膀胱肿瘤及肾上腺肿瘤等
主持国家自然科学基金青年项目及省部级基金4项
在Cancer Research等期刊发表SCI 论文10余篇
参编《遗传性肾癌——基础与临床》中“VHL综合征”章节
曾获中华医学科技奖及华夏医学科技奖等奖项
现任中国医疗保健国际交流促进会泌尿外科专委会委员
河南省科普学会泌尿外科分会委员
1.患者基本情况
一般资料:
男性,73岁。入院时间:2024-08-19。
主诉:发现左肾占位1周。
现病史:1周余前患者因劳累后晕倒至拓城县人民医院就诊,伴左侧腰部隐痛无血尿、发热等。
既往史:患高血压2年余。
辅助检查
CT:左肾肿物,双肺多发结节,纵膈及肺门淋巴结肿大。

PET-CT:左肾肿物,侵犯肾周筋膜,双肺多发转移,纵、肺门、腹膜后左肾周围以及左侧髂血管旁淋巴结转移,左侧耻骨下支转移。

“CT引导下肺穿刺活检”病理:转移癌,透明细胞肾细胞癌转移来源。

临床诊断
左肾肿瘤 T3aN1M1,Stage Iv期,IMIDC预后分层:中危。
治疗经过
培唑帕尼治疗3个月后,左肾肿瘤及右下肺转移结节缩小,骨转移稳定。

患者接受腹腔镜下肾部分切除手术,术后病理为 WHO 二级,切缘干净。
术后随访
术后继续使用培唑帕尼治疗。治疗4个月后,手术周围创面良好;治疗6个月后,肺部转移灶基本消失,肾脏原发灶无复发;治疗8个月后,肿瘤稳定。



病例分享二:
培唑帕尼治疗晚期肾癌患者,3周肿瘤就缩小!
病例汇报
廖文峰教授 天津医科大学肿瘤医院
病例点评
张 华教授 吉林市中心医院
邵化敏教授 郑州人民医院
医学博士
天津医科大学肿瘤医院泌尿外科
中国抗癌协会前列腺癌整合防筛专业委员会委员
中国抗癌协会生育力保护专业委员会委员
中国抗癌协会前列腺肿瘤整合康复专业委员会委员
中国性学会泌尿外科分会委员
天津市医师协会泌尿外科微创学组委员
天津市中西医结合学会泌尿专委会委员
专业及特长:泌尿系肿瘤手术治疗及综合治疗
1.患者基本情况
一般资料:男,52岁。
主诉:2024年2月因“无痛性肉眼血尿1周”于我院就诊。
既往史:糖尿病6年,控制好。
专科查体:双肾区无膨隆,左肾区叩击痛(+),右肾区无叩痛。
辅助检查
ECOG评分:0级。
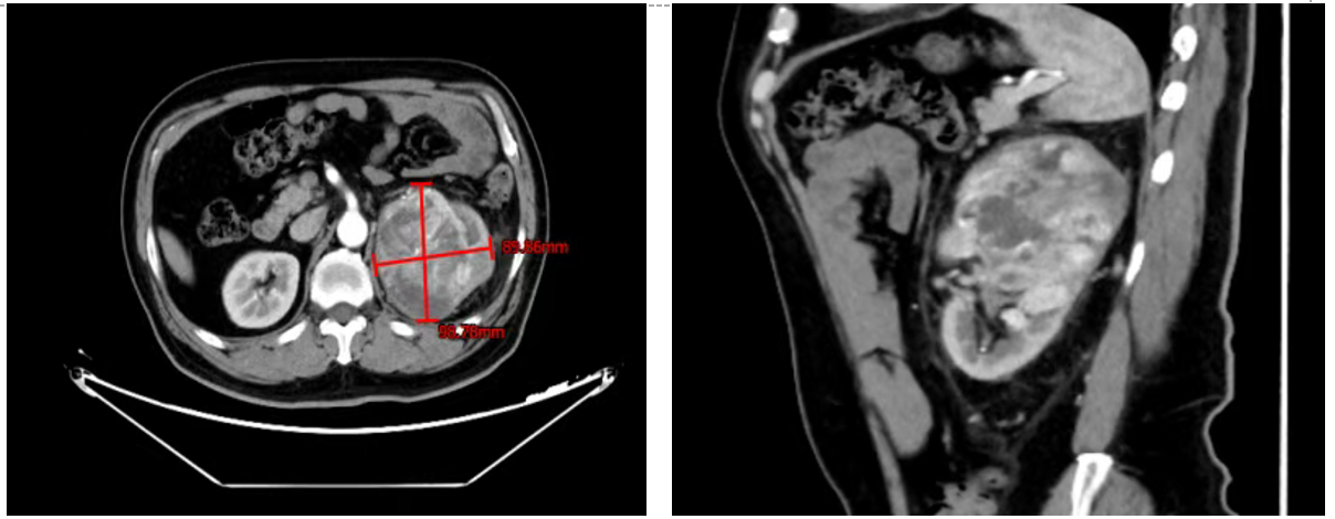
B超:(1)左肾盂混合回声团,大小约89*64 mm,边界清晰,形态尚规则,内回声不均匀,有血流信号;(2)左肾集合系统及输尿管上段扩张并低回声充填(考虑占位);(3)膀胱混合回声团(考虑膀胱血块)。
腹部CT:左肾占位性病变,考虑肾肿瘤可能性大,伴左肾静脉癌栓形成,左侧肾盂及输尿管上段受侵:腹膜后增大淋巴结病史。

PET-CT:(1)考虑左肾恶性肿瘤伴FDG高代谢;(2)左肾静脉增粗扩张,FDG代谢增高,考虑瘤栓形成:与腹主动脉局部分界不清,累及不除外;(3)左侧输尿管上段增粗,FDG代谢增高,考虑累及输尿管上段;(4)T11、L2、L5椎体局部骨质破坏,FDG代谢增高,考虑骨转移。
肾穿刺病理:(左肾肿物穿刺)碎10小条组织内查见恶性肿瘤,结合免疫组化考虑透明细胞性肾癌。
免疫组化:CKAE1/AE3:(+);CK8/18:(+);Vimentin:(+);EMA:(+);CD10:(+);pax-8:(+);CAIX:(+);SDHB:(+);FH:(+);CD34:血管(+);CK7:部分(+);CD117:(-);ALK:(-);TFE3:(-);P53:(+)S占65%;Ki-67:(+)S占10%。
临床诊断
左肾透明细胞性肾癌伴肾静脉癌栓(cT3aN1M1,IV期),肾癌脊柱转移瘤,IMDC危险分层为中危。
治疗经过
2024年2月25日,给予培唑帕尼(800 mg,po,QD)治疗,持续半年。治疗1周后,患者血尿症状消失。
2024年3月13日,培唑帕尼治疗3周时,影像学检查提示原发灶肿瘤呈缩小趋势。
2024年4月26日,培唑帕尼治疗2个半月时,影像学检查提示原发灶肿瘤显著缩小。
2024年5月27日,培唑帕尼治疗3个半月时,影像学检查提示原发灶肿瘤进一步缩小,切除可能性提高。治疗过程中,患者一般状况良好,无严重不良事件发生,仅出现轻微恶心与呕吐(均为1级)。调整治疗方案,加用骨保护剂药物地舒单抗(120 mg,ih,Q4W)。
疗效评估
2024.11胸CT示与2024.8相比:

病例分享三:
多例复杂肾脏肿瘤的腹腔镜手术病例分享
病例汇报
胡操阳教授 山西医科大学第一医院
病例点评
纪传彪教授 濮阳油田总医院
樊祥瑜教授 哈尔滨医科大学附属第四医院
副主任医师
山西医科大学第一医院泌尿科
山西省医学会泌尿外科专业委员会委员
山西省抗癌协会泌尿系肿瘤委员会委员
山西省健康协会泌尿外科专业委员会委员
山西省医学会泌尿外科分会微创学组委员
中国康复医学会产康委员会泌尿学组委员
山西省抗癌协会腹膜后及盆底肿瘤学组委员
山西省医师协会泌尿外科分会青年委员会副主任委员
山西省医师协会器官移植医师分会青委常委
山西省社区健康卫生专业委员会青年委员
病例一:
62 岁男性,体检发现右肾肿瘤一年入院,有高血压、糖尿病史,对碘剂过敏。检查提示右肾中下级囊实性占位,患者有保肾意愿,选择腹腔镜下保肾手术。术后病理为核分级三级透明细胞癌,半年后肺转移,使用培唑帕尼治疗,肺转移灶控制良好。
病例二:
60 岁女性,因左侧腰背部憋胀不适1月余入院。患者年龄大基础病多、既往左肾手术病史,检查发现左肾复杂囊肿,考虑恶变,选择保肾手术。术中采用三种缝合方式确保止血,术后病理为多房囊肿,局部可见透明细胞,一个月后复查左肾形态基本恢复正常。
病例三:
48 岁男性,多囊肾十余年,透析四年,尿毒症期,因需肾移植入院。采行肾移植,但多囊肾巨大无移植空间;切口过大会影响肾移植手术切口,需微创手术;术中不能输血,否则产生抗体无法肾移植。采用腹腔镜手术切除右肾,术后病理除多囊肾表现外,还伴有一级肾细胞癌。
病例四:
71 岁男性,右肾部分切除术后三年局部复发,先后使用培唑帕尼、阿昔替尼加帕博利珠单抗治疗,肿瘤仍复发入院。手术切除局部转移灶,术后病理为透明细胞癌。考虑,待患者恢复后再做后续治疗方案。
培唑帕尼助力晚期肾癌综合治疗
会议最后,大会主席哈尔滨医科大学附属肿瘤陈辉教授和河南省人民医院丁德刚教授对此次会议进行总结。本次会议系统回顾了晚期肾癌的综合治疗策略,进一步明确了药物治疗与外科决策在个体化治疗中的关键地位。在药物治疗方面,以培唑帕尼为代表的靶向药物显示出确切的临床疗效。培唑帕尼作为晚期肾癌一线标准治疗药物,因其独特的VEGFR/PDGFR多靶点抑制作用和良好的血脑屏障穿透能力,在脑转移患者中展现出显著疗效,获得国内外指南一致推荐。总体来说,肾癌的现代治疗已进入“精细决策、全程管理”的时代,通过整合系统治疗的有效性与外科干预的精准性,方能为患者争取最优的长期生存与生活质量保障。
排版编辑:肿瘤资讯-jyy






苏公网安备32059002004080号