
培唑帕尼是一款多靶点酪氨酸激酶抑制剂(TKI),主要通过抑制VEGFR-1、2、3,PDGF-α、β 和c-Kit 进而抑制肿瘤血管生成及肿瘤细胞生长和存活。本期专家学者带来多例肾癌患者真实诊疗经验,希望通过对肾癌病例的深入分析,为肾癌的规范化诊疗提供新的思路和实践参考。
病例分享一:
复杂肾癌病例诊疗分享
病例汇报
樊继全教授 华中科技大学同济医学院附属协和医院
病例点评
韩 娜教授 华中科技大学同济医学院附属同济医院
钟 易教授 湖北省肿瘤医院
李云霄教授 宜昌市中心人民医院医院
副主任医师、医学博士
加拿大渥太华医院访问学者
湖北省精准放疗专家委员会委员
湖北省泌尿男生殖肿瘤专家委员会委员
湖北省临床肿瘤学会肿瘤支持与康复治疗专家委员会常委
1.患者基本情况
一般资料:男性,63岁。
主诉:
发现左肾占位4天。
现病史:
患者2021年初无明显诱因出现腹胀,不伴腹痛、恶心、呕吐、腹泻、便秘等不适。
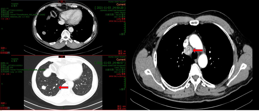
2021年10月31日我院行腹部+盆腔CT增强提示:左肾下极可见8.4*7.4*11.2cm肿块,部分与正常肾脏实质分界不清,其内可见坏死,增强扫描实性部分不均匀强化,疑累及包膜,肾静脉癌栓形成,位于同侧肾静脉内。所及肺内多发结节,较大者位于右肺下叶,约2cm,可见强化;符合肾癌(透明细胞癌可能性大,不除外合并异常分化),伴癌栓形成,疑肾周侵犯,部分性浸润型生长,可见双肺转移。
肺部CT平扫提示:
双肺散在多发实性结节影,大者位于右肺下叶,大小约2.0*1.7cm,转移瘤可能。纵隔及右肺门淋巴结增多、增大,大者约2.5*1.9cm,转移不除外。
既往史:健康。
辅助检查
体格检查:KPS评分:90分,颈部、锁骨上区未触及肿大的浅表淋巴结;心肺听诊正常;腹软,左上腹可及包块,约9㎝,质地II度,活动可,无压痛。
免疫组化:PAK8(+),CD10(+),Vinentin(+),CK7(-),CAIX(+),CD117(-),ksp~cad (-),P504S (+),TFE-3(-),SDHB(+)。
影像学检查:

临床诊断
左肾透明细胞癌(cT3N0M1;IMDC中危组)。
治疗经过
手术治疗
2021.12.22在我院外科行“左肾癌左肾全切术” ;
术后病理诊断:透明细胞癌(WHO/ISUP3/4级,肾周淋巴结2/5转移)。
系统治疗
2022.2.8开始口服培唑帕尼800mgQd,手足见皮肤II度反应;腹泻,自行用药可控,期间复查肺部病灶缩小;
2022.9.6CT复查双肺多发实性结节,其中左肺上叶前段及右肺下叶外基底段结节较前略增大,更换阿昔替尼;服用2月后,2022.11.8复查CT提示肺部转移病灶进展;
2022.11中旬开始自行服用仑伐替尼(8mg每日一次),并联合PD-1治疗,治疗后2023.1.10复查肺部病灶缩小;继续该方案治疗,耐受可;
2023.3.1复查肺部病灶略缩小(SD);
2023.3ECT提示多发骨转移,予以止疼治疗,并继续仑伐替尼联合PD-1治疗;疼痛控制不理想;
2023.4.3MRI提示颈椎、胸椎转移;
2023.4行第7颈椎射波刀放疗:CTV33Gy/3F/1W;疼痛明显缓解;
2023.4中旬开始,停用仑伐替尼及PD-1抗体,换用安罗替尼+卡度尼利单抗治疗;
2023.6疼痛基本消失,复查肺部病灶缩小;
2023.9.15复查CT提示肺部病灶SD(稍增大);
2023.10.10开始停用安罗替尼,服用卡博替尼;
2023.11.29复查CT提示肺部病灶增大、胸水;停用卡博替尼,行对症治疗;
2023.12.20复查CT提示肿瘤增大,胸水增多,予以抽胸水、对症支持治疗。
病例分享二:
难治性肾恶性肿瘤治疗过程分享及思考
病例汇报
汪 飞教授 兰州大学第一医院
病例点评
罗能钦教授 甘肃省人民医院
樊晓栋教授 宁波市泌尿肾病医院
曹益方教授 嘉兴市第一医院
甘肃省医学会泌尿外科学分会青年委员
国家癌症中心/中国医学科学院肿瘤医院泌尿外科精英培训班第二期学员
参与国家自然科学基金2项,省部级课题1项,参与发表SCI文章一篇
擅长肾癌、膀胱癌、前列腺癌的全程一体化诊疗,对于肾结石、输尿管结石、膀胱结石等泌尿系统结石等有丰富治疗经验
1.患者基本情况
一般资料:男,56岁。
主诉:
2024年12月血尿1月,加重伴腹痛1周。
既往史、个人史、家族史:“无特殊”。
入院诊断:
前列腺占位性病变。
查体:
左肾区隆起,左侧肾区叩击痛阳性,左上腹可触及大小约15cm肿物,质地硬,按压存在钝痛不适。
辅助检查:暂无。
辅助检查
穿刺病理:

临床诊断
晚期肾透明细胞癌,IMDC分层:中危。
治疗经过
2024年12月20行特瑞普利单抗静滴+培唑帕尼600mg口服。
2024年12月29因脓毒血症、DIC状态、免疫性肝炎、免疫性肾炎、全身皮疹、免疫性肌炎。
入院治疗,病情好转后暂停特瑞普利单抗,更改阿昔替尼口服。
随访
随后患者就诊于华西医院完善PET-CT:提示左侧肾肿瘤,腹膜后多发淋巴结转移、肺转移,局部肠管侵犯。
后续治疗建议:1、仑伐替尼+帕博利珠单坑 2、依维莫司。
病例分享三:
转移性肾癌的减瘤性肾切除围手术期辅助治疗
病例汇报
杨 欢教授 华中科技大学同济医学院附属同济医院
病例点评
姜卫东教授 黄石市中心医院
曾金敏教授 荆州市中心医院
郑 府教授 恩施州中心医院
副教授、医学博士、URMC博士后、硕士生导师
UCSF访问学者、Mayo Clinic研究型医院人才培训
兼任国际尿石联盟青年委员会副主席
中国医学装备协会泌尿分会副秘书长
中国抗癌协会腔镜与机器人分会员
中国临床肿瘤学会会员
擅长微创切瘤保器官手术和取石保肾手术
先后主持国家自然科学青年基金、教育部博士点基金、湖北省自然科学基金面上项目、华科创新基金、同济归国人员启动基金、同济医院重点项目等
发表论文40篇(SC28篇),其中第一/通信作者(含共同)发表SCl20篇,累计IF120WorldJournal of SurgicalOncology、Anti-cancer Agents In MedicinalChemistry、BMCUrology、BJUcompass审稿人,FrontPharmacol专刊副主编
参编《Urolithiasis:Basic Science and ClinicalPractice》、《中国泌尿外科专科医师培养教程》《泌尿系结石(第二版)》《膀胱切除及尿流改道手术学》《超声引导经皮肾镜碎石取石术操作教程》
1.患者基本情况
一般资料:男,56岁。
主诉:
去年11月份因为左侧肢体乏力到我院神经外科行头颅磁共振发现右顶叶6.8cm占位,考虑肿瘤伴出血。
诊疗过程
头部磁共振:

术后病理提示透明细胞癌。

术后一周行腹部增强CT发现右肾肿瘤,局部与右肾上腺分界不清。

术后口服培唑帕尼治疗,三个月后复查腹部CT增强发现右肾肿瘤缩小。

停药三周后入院手术,腹腔镜下减瘤性肾切除术后病理提示6cm肾透明细胞癌,WHO/ISUP3级。
术后病理:右肾透明细胞癌伴脑肺部转移T1bN0M1。
2.患者基本情况
一般资料:女性,46岁。
主诉:因左下肢疼痛麻木1年余,加重3个月到骨科门诊,CT考虑腰椎浆细胞瘤。
诊疗过程
CT发现左肾82mm肿瘤性病变。

左肾穿刺活检提示肾透明细胞癌,pT2aN0M1。

腹腔镜下左肾根治,术后分期:T1aNxM1。
口服培唑帕尼。
培唑帕尼引领肾癌个体化与靶向治疗新标准
会议最后,大会主席华中科技大学同济医学院附属协和医院章小平教授、甘肃省人民医院郭柏鸿教授对此次会议进行总结。目前NCCN、CSCO及EAU的肾癌诊疗指南均推荐根据患者的一般状况及肿瘤负荷情况考虑治疗方案。基于IMDC危险分层的个体化治疗原则,低中危患者可采用靶向单药治疗,而中高危患者则以靶免联合治疗为主。培唑帕尼作为一线标准治疗药物,因其独特的VEGFR/PDGFR多靶点抑制作用和良好的血脑屏障穿透能力,在脑转移患者中展现出显著疗效,获得国内外指南一致推荐。
此外两位主席提到,多学科协作(MDT)在肾癌治疗中具有重要意义,外科或内科治疗都只是综合治疗的一部分,需多学科共同商讨制定治疗方案。希望未来临床上能继续更加关注MDT,让泌尿外科医生倾听其他科室的不同见解,共同提高肾癌的治疗水平。
排版编辑:肿瘤资讯-jyy






苏公网安备32059002004080号