
本期会议围绕泌尿系肿瘤展开,多位专家分享了多原发肿瘤、前列腺癌复发及晚期肾癌等病例,探讨了不同肿瘤的治疗方案、药物选择及不良反应处理等问题,为临床治疗提供了参考。
病例分享一:
一项多发晚期肿瘤患者的治疗选择
病例汇报
马 岩教授 吉林大学第二医院
病例点评
冯树强教授 吉林大学第二医院
刘东军教授 四平市中心人民医院
中国生物物理学会辐射与环境生物物理学分会青年委员
中国健康促进基金会胸部肿瘤放射治疗专业委员会委员
吉林省研究型医院泌尿生殖系统肿瘤专委会委员
近年来以第一或通讯作者身份发表SCI论文,中华系列杂志及核心期刊多篇
参编书籍2部,参与各类课题近10项
擅长恶性肿瘤放化疗及癌痛治疗
1.患者基本情况
一般资料:男性,66岁。
现病史:
患者2023年6月常规体检盆腔CT发现5cm肿物,未在意,2024年12月末出现排尿困难症状,后出现腰背部持续性疼痛加重1周,就诊于外院,行PET-CT检查发现前列腺癌、结肠癌多发转移。现患者为求进一步诊治入我科。
既往史:
既往有高血压史10年,血压最高200mmHg,规律口服拜新同(1片/次,日1次),现血压控制尚可、既往有糖尿病史10年,规律皮下注射胰岛素、既往有心脏病史,行心脏射频消融术、无输血史,无药物、食物过敏史,预防接种史不详,有手术外伤史,2022-3行肝脓肿穿刺术,既往膝盖骨折。
个人史:
原籍出生,无外地久居史,无血吸虫病疫接触史,无地方病或传染病流行区居住史,无毒物、粉尘及放射性物质接触史,生活较规律,无吸烟史,有饮酒史。
家族史:否认家族性传染病史。
辅助检查
PET-CT(2024-1-5):1、乙状结肠壁增厚,FDG代谢增高,符合结肠癌征象。2、前列腺增生伴钙化,不均匀FDG代谢增高,考虑恶性,前列腺累及左侧精囊腺可能性大,请结合组织病理学检查。3、双肺多发结节,多发骨质破坏区,双侧膈脚后、腹膜后及盆腔多发异常密度灶,FDG代谢轻度增高,均考虑转移。4、腔隙性脑梗塞;双上颌窦炎症;双侧扁桃体及牙槽骨区炎症;双侧颈部及右锁骨区反应性淋巴结增生。5、甲状腺低密度结节,未见FDG代谢增高,考虑结甲,请结合超声及甲功检查。6、右肺上叶后段局灶性磨玻璃密度结节,未见FDG代谢增高,不除外早期肺癌,建议3个月后复查。7、左肺下叶舌段支气管扩张伴炎症及管腔内痰液潴留;右肺上叶局限性肺气肿。8、纵隔及肺门非特异性淋巴结增生;心脏射频消融术后;多发动脉壁钙化灶。9、左肾旋转不良;L4-5、L5-S1间盘突出;多发骨岛;项韧带钙化灶。
肠镜检查:(结肠)内见异型腺体,不能完全除外腺癌,请结合临床。
前列腺穿刺活检:(前列腺常规穿刺1点)前列腺腺泡性腺癌,Gleason评分:5+5=10分,WHO/ISUP分级分组:5级,Gleason4级占比小于10%,无筛状型Gleason4级,癌组织线性范围占穿刺组织条长度比例:90%,并见导管内癌;(前列腺常规穿刺2点)前列腺腺泡性腺癌,Gleason评分:5+5=10分,WHO/ISUP分级分组:5级,Gleason4级占比约20%,可见筛状型Gleason4级,癌组织线性范围占穿刺组织条长度比例:70%,并见导管内癌;(前列腺常规穿刺3点)前列腺腺泡性腺癌,Gleason评分:5+5=10分,WHO/ISUP分级分组:5级,Gleason4级占比约小于10%,无筛状型Gleason4级,癌组织线性范围占穿刺组织条长度比例:80%,并见导管内癌;(前列腺常规穿刺4点)未见癌;(前列腺常规穿刺5点)前列腺腺泡性腺癌,Gleason评分:5+5=10分,WHO/ISUP分级分组:5级,Gleason4级占比约30%,可见筛状型Gleason4级,癌组织线性范围占穿刺组织条长度比例:80%;(前列腺常规穿刺6点)前列腺腺泡性腺癌,Gleason评分:5+5=10分,WHO/ISUP分级分组:5级,无Gleason4级,癌组织线性范围占穿刺组织条长度比例:100%,并见导管内癌;(前列腺常规穿刺7点)前列腺腺泡性腺癌,Gleason评分:5+5=10分,WHO/ISUP分级分组:5级,无Gleason4级,癌组织线性范围占穿刺组织条长度比例:90%;并见导管内癌;(前列腺常规穿刺8点)前列腺腺泡性腺癌,Gleason评分:5+5=10分,WHO/ISUP分级分组:5级,无Gleason4级,癌组织线性范围占穿刺组织条长度比例:100%,并见导管内癌;(前列腺常规穿刺9点)前列腺腺泡性腺癌,Gleason评分:5+5=10分,WHO/ISUP分级分组:5级,无Gleason4级,癌组织线性范围占穿刺组织条长度比例:80%,并见导管内癌;(前列腺常规穿刺10点)未见癌。
临床诊断
前列腺恶性肿瘤
结肠恶性肿瘤
骨继发恶性肿瘤
肺继发恶性肿瘤
腹主动脉旁淋巴结转移
盆腔淋巴结转移
早期肺癌
2025.01.17:前列腺放疗实际剂量:2Gy/次;共30次,总剂量:60Gy。盆腹腔淋巴结放疗实际剂量:2Gy/次;共25次,总剂量:50Gy。期间给予内分泌治疗+TAS102口服+地舒单抗。
2025.03.02 放疗结束:阿比特龙+TAS102+贝伐单抗维持治疗至今。
不良反应
骨髓抑制:给予升白、升血小板等对症支持治疗。
放射性膀胱炎:出现血尿:给予促黏膜修复、抗炎等对症支持治疗。
放射性肠炎、化疗药物:腹部不适、恶心、消瘦。
离子紊乱:氯化钾缓释片补钾、持续口服钙片 。
疗效评估






病例分享二:
新型内分泌治疗引领晚期前列腺癌患者治疗新格局
病例汇报
白雪梅教授 四平市中心人民医院
病例点评
李 义教授 吉林省人民医院
丁铭龙教授 通化市中心医院
四平市中心医院肿瘤内科住院医师
硕士研究生,毕业于锦州医科大学
发表国家核心期刊两篇
从事临床工作8年,擅长肺癌、乳腺癌等常见恶性肿瘤的诊断及治疗
1.患者基本情况
一般资料:男,71岁。
主诉:
前列腺癌术后6年8个月,腰部及双下肢疼痛2个月,发现多发骨转移1天。
既往史:
体健,否认高血压、心脏病及脑血管病史。
诊断经过
初始诊断与治疗(2017年8月):患者因“间断排尿困难1年”就诊,经检查诊断为前列腺癌,于外院行“前列腺癌根治术”。
术后病理:Gleason评分5+4=9分,分级5组,侵犯被膜外组织、精囊腺、输精管,伴神经侵犯及脉管瘤栓,淋巴结转移(左盆腔5/5,右盆腔7/11)。术后分期为pT3bN1M0 IV期。
术后治疗:亮丙瑞林 + 比卡鲁胺治疗3年,至2020年8月结束。未行放疗,术后未规律复查。
首次复发(2024年4月):患者出现腰部及双下肢疼痛,伴活动受限。外院CT误诊为腰椎间盘突出,理疗无效。
我院腰椎MRI:提示胸椎、腰椎、骶椎多发异常信号,考虑多发骨转移,部分椎体骨质破坏,L3-4水平椎管狭窄。
入院检查:ECOG 1分,NRS 7分,PSA 227.5 ng/ml,睾酮处于去势水平。
诊断:前列腺癌术后复发(rT0N0M1 IV期),多发骨转移。
治疗经过
一线治疗(2024年4月23日)
药物治疗:戈舍瑞林 + 醋酸阿比特龙 + 泼尼松 + 地舒单抗。
局部放疗:L3-4椎体调强放疗,总剂量30Gy/10次全身治疗。
疗效:2个月后PSA降至62.38 ng/ml,3个月后略有回升。
二线治疗(2024年9月20日)
药物治疗:戈舍瑞林 + 多西他赛(4周期) + 瑞维鲁胺。
局部放疗:左股骨干调强放疗,总剂量30Gy/10次。
疗效:化疗期间PSA最低降至83.15 ng/ml,但出现IV度白细胞减少。化疗结束后单用瑞维鲁胺维持,7个月后PSA升至448 ng/ml,疾病再次进展。
病例总结
本例为高危前列腺癌术后多发骨转移患者,历经多线治疗(ADT、阿比特龙、多西他赛、瑞维鲁胺、局部放疗),均出现早期耐药与再次进展,提示肿瘤高度恶性与治疗难度。后续治疗需依据基因检测结果及患者全身情况个体化选择,并考虑参与临床试验或新型治疗方式。
病例分享三:
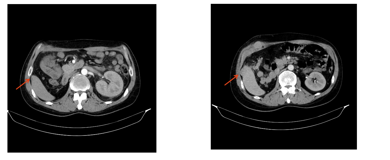
培唑帕尼治疗晚期肾癌患者,观察到明显缩瘤
病例汇报
常大龙教授 长春肿瘤医院
病例点评
闫宏亮教授 吉林市中心医院
杨 光教授 吉林省肿瘤医院
中国抗癌协会科普委员会委员
吉林省肿瘤研究会肿瘤内分泌学委员会委员
擅长:前列腺恶性肿瘤,肾上腺肿瘤,膀胱肿瘤及泌尿系统结石微创手术治疗
毕业于中国人民解放军陆军军医大学(原第三军医大学),从事泌尿外科临床工作近十年,在膀胱肿瘤保留器官的综合治疗上有着丰富的临床经验
在国内多家核心期刊上发表专业论文
患者基本情况
一般资料:男性,55岁。
主诉:检查发现右肾肿瘤一个月。
现病史:
患者一月余前检查时发现右肾肿瘤,伴有肉眼血尿,尿频,尿急,尿痛,伴有腰痛,无发热等其他特殊不适,于当地医院超声检查提示右肾占位性病变,考虑肿瘤,为求进一步诊治于我院就诊,行肾脏增强CT检查提示右肾肿瘤,考虑肾透明细胞癌可能性大,肿瘤突破被膜,肾周受侵。病程中饮食睡眠欠佳,体重减轻近10kg。
辅助检查
右肾肿瘤 9.8cm*7.9cm
肾周受侵
肾门可见肿大淋巴结
未见明显远处转移
临床诊断
右肾肿瘤(肾透明细胞癌可能极大)III期 T3NxM0 IMDC 中危组。
治疗与复查经过
手术治疗
行经腹右肾根切除术治疗。术后病理:透明细胞性肾细胞癌,肿瘤侵犯肾纤维被膜,局部紧邻肾周脂肪几肾盂,未侵犯肾窦脂肪。T3N0M1。
术后系统治疗
培唑帕尼片800mg,口服,一日一次。
特瑞普利单抗注射液240mg,ivgtt,每两周一次
地舒单抗120mg sc,每28日一次。
放疗计划:右侧肩胛骨、肋骨转移灶 GTV 3600cGy/300cGy/12f。
疗效评估



患者口服培唑帕尼耐受较好,无明显骨髓抑制表现,胆红素正常,但谷氨酰胺转肽酶,谷草转氨酶,碱性磷酸酶仍升高。病灶稳定。
培唑帕尼优势助力肾癌精准治疗
会议最后,大会主席吉林大学第一医院卢绩教授对此次会议进行总结。与其他肿瘤相比,尽管泌尿系统肿瘤发病率相对较低,但其诊断和治疗同样迫切需要个体化、规范化的策略,并保障创新治疗手段的可及与可负担。前列腺癌治疗目前面临诸多挑战,包括治疗方案选择有限、基因检测阳性率较低,以及放射性配体治疗的可及性较差且费用高昂。在这一背景下,阿比特龙作为新型内分泌治疗的重要药物,其在转移性前列腺癌治疗中具有明确地位,可显著延长患者生存期。
在晚期肾癌领域,以培唑替尼为代表的靶向药物,为患者提供了重要生存获益。其通过抑制多种酪氨酸激酶活性,有效阻断肿瘤血管生成和进展。对于部分依从性良好的患者,联合手术治疗和系统性药物治疗(如培唑替尼等靶向药物及免疫制剂)的综合策略,可进一步改善预后。
总体而言,泌尿肿瘤领域正处于快速发展的阶段,推动更多治疗方案纳入医保、提高检测可及性、促进跨学科协作,将是改善患者预后的关键路径。
排版编辑:肿瘤资讯-jyy






苏公网安备32059002004080号