您好,欢迎您

医案集萃丨罕见!肺腺癌合并结直肠癌双重原发:林奇综合征双重原发癌免疫治疗获益

02月13日
编译:肿瘤资讯
来源:肿瘤资讯

林奇综合征是一种常染色体显性遗传疾病,主要特征是结直肠癌(CRC)和其他相关恶性肿瘤的家族聚集性,其发生归因于DNA错配修复(MMR)缺陷。肺腺癌作为LS相关肿瘤相对罕见,发生率仅为0.1%至1.0%。本文报道一例罕见的以肺腺癌为首发表现,随后发展为CRC的双重原发恶性肿瘤病例,最终通过回顾性检测确诊为林奇综合征,且患者对PD-1免疫治疗反应显著。

病史

一名54岁女性(非吸烟者)因反复右侧胸痛两年就诊。

2023年3月21日的CT检查显示右肺中叶有疑似恶性肿块。随后进行的切除术病理证实为低分化浸润性腺癌,伴大面积坏死和脏层胸膜侵犯。免疫组化(IHC)显示TTF-1(+)、Napsin A(+)、P53(大部分细胞强+)。分子检测发现KRAS和PTEN突变,PD-L1 TPS=15%。

患者随后接受了培美曲塞/卡铂化疗联合放疗。

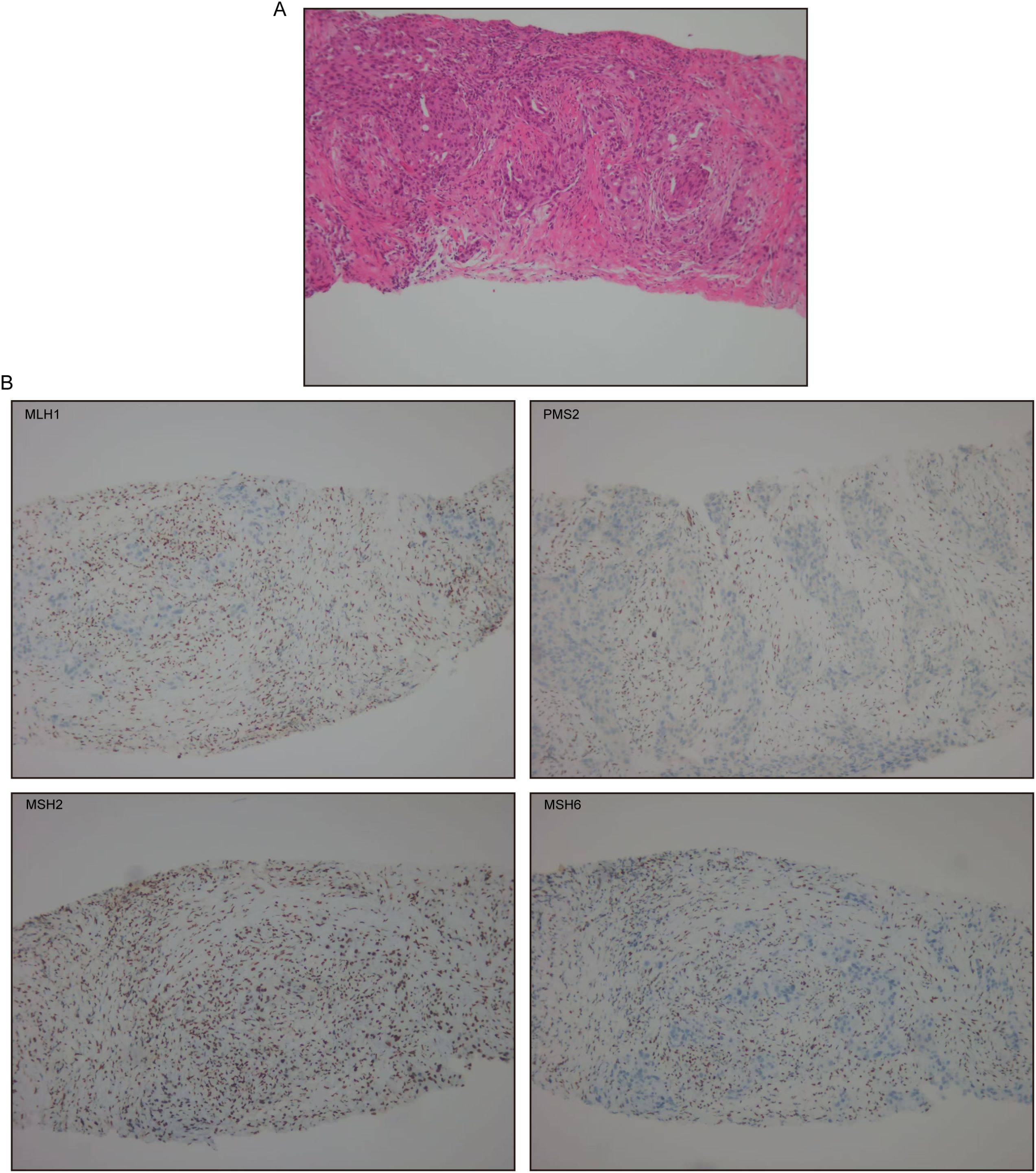
2025年3月,随访发现直肠肿块和右侧椎旁病变。结肠镜检查发现盲肠腺癌及升结肠管状绒毛状腺瘤。直肠肿瘤的IHC显示MLH1和PMS2缺失,而MSH2和MSH6保留(图1)。

1.jpg

图1. 结直肠癌。(A) HE 染色,×100。(B) MLH1、PMS2、MSH2 和 MSH6 免疫组化染色,×100。

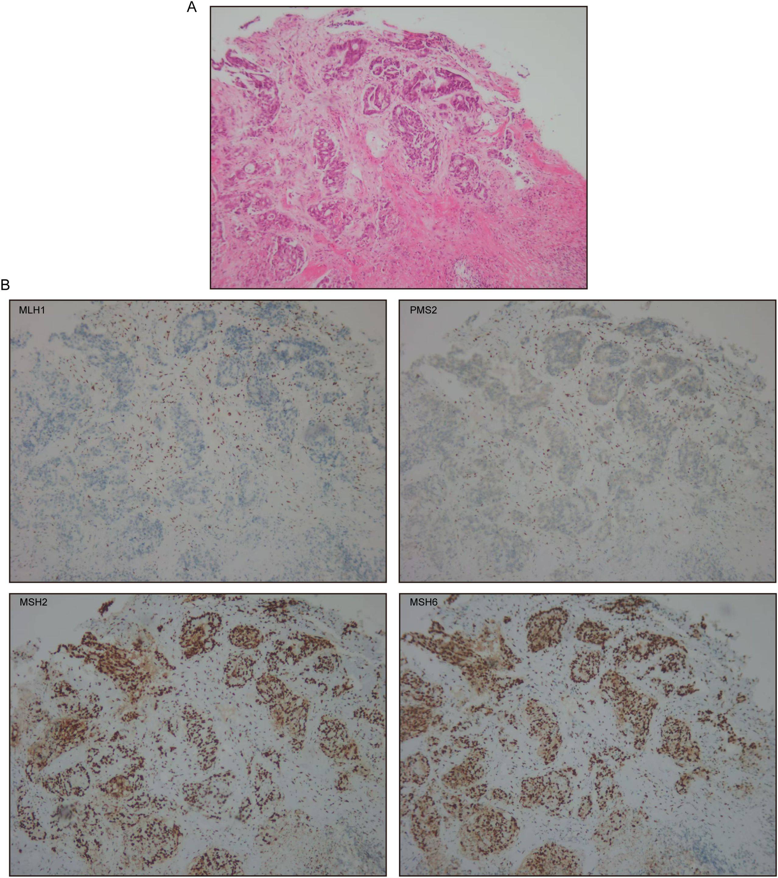
对椎旁肿块的活检证实为转移性肺腺癌,MLH1、PMS2和MSH6表达缺失,而MSH2表达保留(图2)。

2.jpg

图 2.转移性肺腺癌。(A) HE 染色,×100。(B) MLH1、PMS2、MSH2 和 MSH6 免疫组化染色,×100。

鉴于转移灶MMR蛋白表达不一致,医生回顾性分析了原发性肺癌的石蜡块,结果确认其与CRC及转移灶一致,均为dMMR(MLH1/PMS2缺陷)。

这一发现提示林奇综合征。2025年7月进行的胚系基因检测显示,患者及其一子一女均携带MLH1外显子13的杂合移码突变(p.P496Afs*10)。家族史调查确认患者哥哥在50岁前被诊断为CRC,女儿随后也被诊断为乙状结肠腺癌。根据修订后的指南,确立了林奇综合征的临床诊断。

患者于2025年4月8日开始接受艾托组合抗体(Q1706)(每3周一次)的免疫治疗。两个周期后的胸部CT显示右侧胸膜增厚明显改善,盆腔MRI显示肠壁受累减少(图3)。治疗5个周期后,病灶进一步缩小,且未观察到免疫相关不良反应。肿瘤标志物CEA和CA125保持在正常范围内。患者持续对免疫治疗产生反应 。

3.jpg

图 3.艾托组合抗体治疗前后的放射影像。(A)代表性的胸部计算机断层扫描 (CT) 图像。(B)代表性的盆腔增强磁共振成像 (MRI) 图像。

双重原发恶性肿瘤是指同一患者发生两个独立的原发性恶性肿瘤。双重原发癌的发生应引起对潜在遗传性癌症综合征的警惕。特别是年轻女性出现结直肠癌且有家族史时,高度提示林奇综合征 。


本病例的特殊之处在于肺腺癌先于典型的林奇综合征相关核心肿瘤(CRC)出现。由于dMMR在肺癌中发生率极低,MMR检测并非肺腺癌的常规分子检查项目,这导致了初步诊断的遗漏。本案例通过在原发性肺癌、结直肠癌和转移灶中发现一致的dMMR模式(MLH1/PMS2缺失),并经胚系突变证实,有力地支持了肺腺癌可以是林奇综合征的原发肿瘤这一结论。

这强调了对早发、多发或可疑恶性肿瘤患者的存档组织进行回顾性MMR检测的重要性。此外,dMMR/MSI-H肿瘤独特的生物学特性使其对免疫治疗高度敏感。本例患者对PD-1阻断治疗的显著临床反应,不仅符合泛瘤种治疗原则,也证实了无论肿瘤起源如何(即便是罕见的dMMR肺癌),dMMR/MSI-H状态都是免疫检查点抑制剂疗效的优越预测指标 。

参考文献

[1]. Wang M, Xue H, Hong J, et al. Lung adenocarcinoma and colorectal cancer as double primary malignancies reveal lynch syndrome: a case report of germline MLH1 mutation with response to immunotherapy and familial aggregation. Front Immunol. 2026;16:1709036. Published 2026 Jan 14. doi:10.3389/fimmu.2025.1709036

责任编辑:古木
排版编辑:古木

版权声明

本文专供医学专业人士参考,未经著作人许可,不可出版发行。同时,欢迎个人转发分享,其他任何媒体、网站如需转载或引用本网版权所有内容,须获得授权,且在醒目位置处注明"转自:良医汇-肿瘤医生APP"。


评论
02月13日
张德伟
黄骅市人民医院 | 放疗科
林奇综合征是一种常染色体显性遗传疾病,主要特征是结直肠癌(CRC)和其他相关恶性肿瘤的家族聚集性,其发生归因于DNA错配修复(MMR)缺陷。
02月13日
杨蔷
溧阳市中医医院 | 肿瘤科
无论肿瘤起源如何(即便是罕见的dMMR肺癌),dMMR/MSI-H状态都是免疫检查点抑制剂疗效的优越预测指标 。