您好,欢迎您

Nat Genet | 单细胞空间多组学揭示了 AREG-CXCL5-中性粒细胞轴在胆囊癌免疫治疗耐药中的关键作用

02月14日
来源:Scientific Services和元生物

胆囊癌(GBC)恶性程度高,常在晚期才被诊断,预后不佳,其复杂的肿瘤异质性更是治疗上的巨大挑战。尽管单细胞技术在多种癌症研究中取得进展,胆囊癌的大规模单细胞研究仍相对匮乏,极大限制了对原发性胆囊癌早期转移和免疫抑制性微环境分子机制的理解。


2025年6月26日,海军军医大学第三附属医院/国家肝癌科学中心王红阳院士/陈磊研究员/付静副研究员/姜小清教授团队,联合清华大学自动化系古槿副教授团队联合在Nature Genetics(IF 29)上发表题为“Multi-omic analysis of gallbladder cancer identifies distinct tumor microenvironments associated with disease progression”的研究成果。基于102 例胆囊癌患者的临床样本,通过整合单细胞多组学与空间转录组技术,绘制了目前最大规模的胆囊癌单细胞时空图谱,揭示了肿瘤微环境重塑与疾病进展的关联,阐明了 AREG-CXCL5-中性粒细胞轴在免疫治疗耐药中的关键作用,为胆囊癌的精准分型和联合治疗(如 EGFR 抑制剂联合免疫治疗)提供了新的靶点和理论依据。

研究结果

1.构建大规模胆囊癌单细胞图谱

为了探究胆囊癌肿瘤微环境(TME)的异质性,收集了 86 名胆囊癌患者样本(包括75 例腺癌、4 例腺鳞癌、4 例神经内分泌肿瘤、2 例未分化癌和 1 例鳞状癌)、16 名无肿瘤患者的胆囊病变样本(包括9 例黄色肉芽肿性胆囊炎、4 例慢性胆囊炎、2 例低度恶性病变和 1 例高度恶性病变)、2 个息肉样本、11 个肝脏侵袭性病变样本、不同组织的 20 个远处转移灶样本(12 个淋巴结、6 个肝脏和 2 个网膜),总共135 个样本进行单细胞 RNA 测序(图 1a)。对189 个样本进行全外显子测序(WES)(图 1a)。获得了 1,117,245 个细胞,识别出了 11 种细胞类型和118 种亚型(图 1)。

11.jpg

图1 胆囊癌的单细胞图谱

2.巨噬细胞介导中性粒细胞富集

对单核细胞、巨噬细胞、中性粒细胞进行重聚类,之后通过差异表达分析、SCENIC、基因特征评分及Ro/e分析,识别出了5种具有不同功能的细胞亚型,如N_C0_MNDA、N_C1_ISG15、N_C2_CCL3L1、N_C7_MNDA_S100A8、N_C9_S100A10(图 2a–g)。值得注意的是,伪时间分析表明,N_C0_MNDA 和 N_C7_MNDA_S100A8 是最先被招募的中性粒细胞亚型(图 2c、d)。根据临床诊断将Adeno_Pri(原发性腺癌)分为Adeno_Pri (P)和转移性Adeno_Pri (P_Mets),并发现几乎所有常见的中性粒细胞亚型在 P_Mets 组中均显著增多(图 2h、i)。

鉴于 N_C0_MNDA 和 N_C7_MNDA_S100A8 是肿瘤相关中性粒细胞(TANs),进一步通过CellChat发现多种巨噬细胞亚型参与了中性粒细胞的募集,且趋化因子在巨噬细胞亚型(M_C0_FOLR2 和 M_C2_SPP1)中显著上调(图 2j、k)。巨噬细胞亚型(M_C0_FOLR2 和 M_C2_SPP1)中 CXCL2、CXCL3 和 CXCL8随着 TNM 分期呈现逐渐升高的趋势(图 2l)。与 N_C0_MNDA 和 N_C7_MNDA_S100A8不同,N_C7_MNDA_S100A8 表现出更高的中性粒细胞外陷阱(NETs)评分(图 2m-p)。与CellChat结果一致,CODEX 技术检测到了中性粒细胞和巨噬细胞之间的空间接近关系(图 2p)。这些结果表明巨噬细胞可能招募早期浸润的中性粒细胞亚型(N_C0_MNDA 和 N_C7_MNDA_S100A8),随后在肿瘤微环境的诱导下分化为 TAN 亚型,最终形成富含促转移性 TAN 的腺癌微环境。

2.jpg

图2 巨噬细胞介导中性粒细胞富集

3.促肿瘤的树突状细胞亚型在P_Mets 中富集

将 13,571 个树突状细胞分为八个亚群,其中七个常见细胞亚群被用于后续分析(图 1e)。大部分DC亚型在Adeno_Pri中减少(图 3a-e)。DC_C4_PPP1R14A_cDC2 在 P_Mets 组中最丰富(图 3f)。DC_C4_PPP1R14A_cDC2 是脂质抗原呈递 DC 细胞,且CD1A 在疾病进展中表现出显著增加(图 3g-k)。细胞间互作分析显示,DC_C4_PPP1R14A_cDC2 通过 ANXA1-FPR1与髓系亚型(尤其是 M_C1_S100A8)相互作用(图 3l,m)。CODEX验证了这两个亚型在空间上彼此靠近,表明 DC_C4_PPP1R14A_cDC2 可能通过 ANXA1-FPR1 招募 M_C1_S100A8(图 3n)。这些结果表明 DC_C4_PPP1R14A_cDC2 具有脂质抗原呈递细胞的特性,DC_C4_PPP1R14A_cDC2 可能通过 ANXA1–FPR1 招募 M_C1_S100A8。

3(1).jpg

图3 促肿瘤的树突状细胞亚型在P_Mets 中富集

4. P_Mets 富含AREG+ naïve CD4+T细胞
将 CD8 T 细胞、CD4 T 细胞、NK细胞、B 细胞和浆细胞分别聚类为 10 种、8 种、8 种、5 种和 2 种常见亚型(图 1e)。在Adeno_Pri中大量存在的CD8T_C1_CXCL13_TEX 在早期阶段表现出增强的细胞毒性及免疫检查点活性,但从 IIIB 到 IVB 状态则表现出细胞毒性减弱,表明晚期中其状态已转变为耗竭状态(图 4a-c)。功能的转变可能通过 CD86-CTLA4 与 M_C1_S100A8 的相互作用来调节,这一点通过细胞互作分析和 CODEX 得到了证实(图 4d、e)。

此外,发现富集于 P_Mets 的 CD4T_C2_CCR7_TN 细胞高表达 AREG 和Naive标志物(IL7R)(图 4f、g)。随着疾病的发展,Adeno_Pri 中 CD4T_C2_CCR7_TN 的 AREG 表达和比例逐渐增加,同时伴有与 TNM 分期相关的动态功能变化(图 4h、i)。在不同类型的转移中,CD4T_C2_CCR7_TN 在 Adeno_LN 中最为常见,AREG 的表达仅在腺瘤性淋巴结中被检测到(图 4j-l)。AREG 仅在胃癌、肝内胆管癌和远端胆管癌naive CD4+ T cells中表达(图 4m-p)。GO富集分析表明IL-10 信号通路在CD4T_C2_CCR7_TN中上调,表明可能调节免疫激活(图 4q)。综上所述,CD4T_C2_CCR7_ TN在P_Mets富集,其特征是 AREG 高表达。

4.jpg

图4 P_Mets 富含AREG+ naïve CD4+T细胞

5. 胆囊腺癌的TME分层

为了进行疾病分层,选择了随着疾病进展显著变化的亚型对腺癌患者进行分层,获得了5种TME分层(MI1–MI5)(图 5a、b)。预后分析显示,晚期样本富集的 MI2 表现出临床效果不佳(图 5c)。公共数据库bulk RNA-seq数据也表明MI2 富集的患者预后不良,且MI2 特定细胞亚型(CD8T_C0_CCR7_GZMK_TCM、CD8T_C12_TRDC_γδT 和 CD4T_C2_CCR7_TN)也显著富集(图 5e、f)。综上所述,MI2 中独特的淋巴细胞亚型可能是其预后表现的关键因素。

5.jpg

图5 胆囊腺癌的TME分层

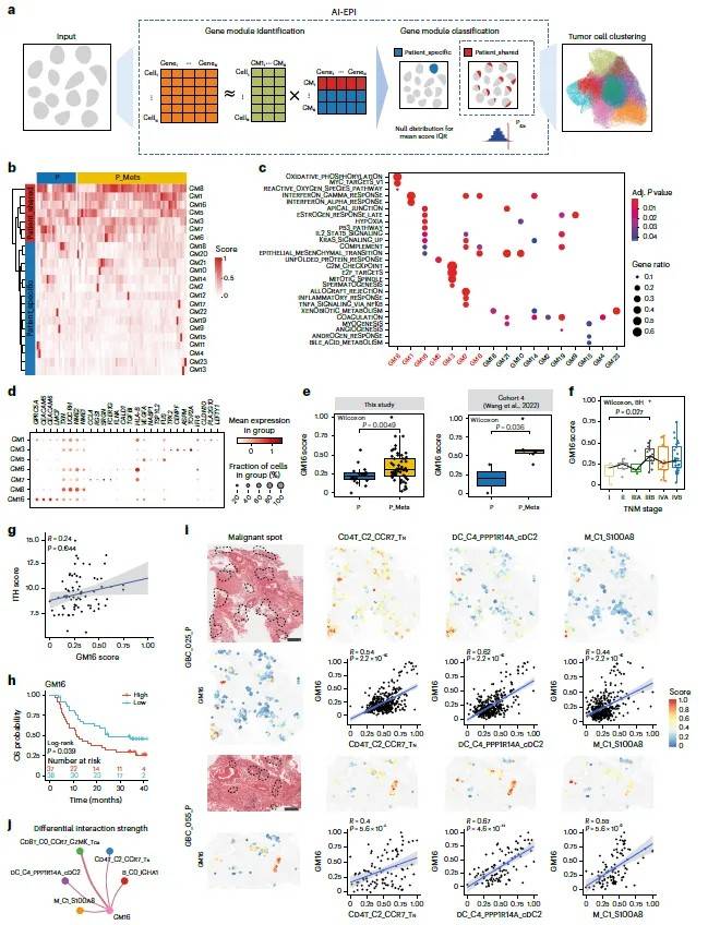
6.肿瘤微环境的空间互作特征

为了识别肿瘤细胞亚型,作者提出了一种名为 AI-EPI 的计算方法(图 6a)。获取了七个患者共有的基因模块(GMs,如GM8、GM1、GM16、GM5、GM3、GM7、GM6),并基于共有的 GMs 将肿瘤细胞分为了不同的细胞状态(图 6b–d)。进一步分析发现 GM16 在 P_Mets 中得分更高,在 IIIB 期中得分最高(图 6e、f)。肿瘤异质性与 GM16 得分也表现出强相关,GM16高得分样本表现出不良预后(图 6g、h)。

为了探究 GM16 与富含 P_Mets 的细胞亚型之间的空间相互作用,对 GM16 评分较高的2个样本进行了空间转录组测序。GM16 与这些细胞亚型(B_C0_IGHA1、M_C1_S100A8、DC_C4_PPP1R14A_cDC2、CD4T_C2_CCR7_TN、CD8T_C0_CCR7_GZMK_TCM)具有较高的空间相关性(图 6i)。这一发现也得到了细胞互作分析的支持(图 6j)。总之,GM16与多种富集在P_Mets中的免疫细胞亚型(包括B细胞、巨噬细胞、树突状细胞、CD4+T细胞和CD8+T细胞)存在显著的空间共定位,表明这些免疫细胞倾向于聚集在GM16肿瘤细胞周围,形成一个紧密的“合作”网络。

6.jpg

图6 肿瘤微环境的空间互作特征

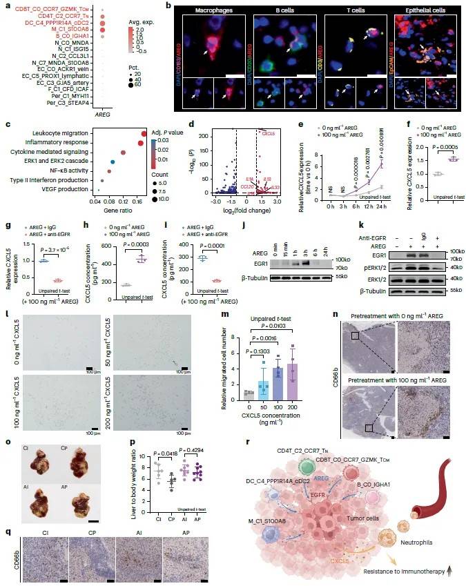
7. AREG 通过 EGFR–pERK–EGR1上调CXCL5来促进胆囊癌转移

进一步发现 AREG 仅在与 GM16 接近的细胞亚型中表达(如CD8T_C0_CCR7_GZMK_TCM、 CD4T_C2_CCR7_TN、DC_C4_ PPP1R14A_cDC2、M_C1_S100A8 和 B_C0_IGHA1),而在远离 GM16 的内皮细胞、成纤维细胞和中性粒细胞亚型中未表达(图 7a)。AREG 不仅在巨噬细胞、B 细胞和 T 细胞中表达,还在上皮细胞中表达(图 7b)。为了进一步探究在 AREG 刺激下肿瘤细胞的功能变化,对AREG 处理的 GBC-SD 细胞进行RNA-seq分析,发现CXCL5 显著上调(图 7c-e)。鉴于 AREG 是 EGF 家族的一员,因此推断 AREG 可能 EGFR 调节 CXCL5 的表达。湿实验结果表明anti-EGFR处理抑制了这一效应(图 7f-i)。此外,体内外实验证实,AREG 不仅促进肿瘤转移,还通过EGFR-pERK-EGR1 信号通路上调肿瘤细胞 CXCL5 的表达,招募中性粒细胞浸润,进而削弱免疫治疗(如 PD-L1 抗体)的疗效(图 7l-r)。这些结果表明,AREG 通过 EGFR–pERK–EGR1上调CXCL5来促进胆囊癌转移。

7.jpg

图7 AREG 通过 EGFR–pERK–EGR1上调CXCL5来促进胆囊癌转移

原文链接:https://www.nature.com/articles/s41588-025-02236-9


责任编辑:肿瘤资讯-Marie
排版编辑:肿瘤资讯-as
免责声明
本文仅供专业人士参看,文中内容仅代表Scientific Services和元生物订阅号立场与观点,不代表肿瘤资讯平台意见,且肿瘤资讯并不承担任何连带责任。若有任何侵权问题,请联系删除。

评论
02月22日
林颖
沈阳市苏家屯区妇婴医院 | 儿科
中性粒细胞轴在胆囊癌免疫治疗耐药中的关键作用
02月20日
郭忠强
曲沃县人民医院 | 肿瘤科
对单核细胞、巨噬细胞、中性粒细胞进行重聚类,之后通过差异表达分析、SCENIC、基因特征评分及Ro/e分析,识别出了5种具有不同功能的细胞亚型,如N_C0_MNDA、N_C1_ISG15、N_C2_CCL3L1、N_C7_MNDA_S100A8、N_C9_S100A10(图 2a–g)
02月19日
杨世忠
阳泉市肿瘤防治研究所 | 肿瘤内科
胆囊癌单细胞时空图谱,为胆囊癌的精准分型和联合治疗(如 EGFR 抑制剂联合免疫治疗)提供了新的靶点和理论依据。