您好,欢迎您

循证有例|HER2阳性乳腺癌病理完全缓解后早期脑复发的病例回顾

02月09日
编译:肿瘤资讯
来源:Frontiers in Immunology

颅内复发仍是人表皮生长因子受体2(HER2)阳性乳腺癌(BC)治疗中一项严峻的挑战。明确早期中枢神经系统(CNS)复发的潜在机制并整合血脑屏障穿透策略,仍是亟待满足的临床需求。

近期报告的1例HER2阳性、激素受体(HR)阴性BC患者,经新辅助多西他赛联合曲妥珠单抗和帕妥珠单抗治疗后达到病理完全缓解,后续接受12个月曲妥珠单抗联合帕妥珠单抗维持治疗。尽管患者实现了病理完全缓解和全面的全身疾病控制,但在完成维持治疗2个月后出现多发脑转移,无颅外复发。


病例介绍

一般情况


 女,60岁。既往史无特殊。无乳腺癌或卵巢癌家族史。

现病史

因“发现右乳外上象限肿块”就诊。发病时伴有乳头内陷和黄色浑浊乳头溢液。不伴头痛、视觉障碍、局部无力、感觉异常或步态不稳等神经系统症状。

行超声引导下空芯针穿刺活检证实为非特殊类型浸润性乳腺癌,WHO分级为2级(总评分为6/9:腺管形成3分,核异型性2分,核分裂活性1分)。免疫组织化学分析显示ER和PR表达缺失,40%的肿瘤细胞雄激素受体(AR)呈弱至中度阳性,HER2强阳性(3+),Ki-67增殖指数为25%。

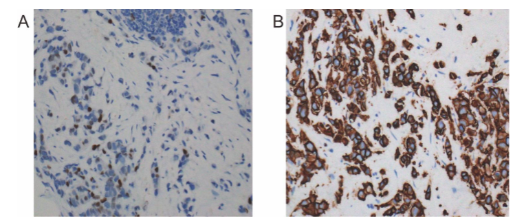
1.png图1.诊断性空芯针穿刺活检的基线免疫组织化学结果(×200):(A)雌激素受体染色显示阳性细胞核比例<1%(雌激素受体阴性);(B)人表皮生长因子受体2(HER2)染色显示>10%的肿瘤细胞呈均匀、强阳性(3+)膜反应性,证实HER2过表达。

超声引导下同侧腋窝淋巴结细针穿刺活检显示继发性非特殊类型癌,受体状态相似(ER 3% ±,PR-,HER2 3+,Ki-67 25%)。右锁骨上淋巴结细胞学检查显示簇状多形性恶性细胞,符合转移癌特征。

诊断为HER2阳性浸润性乳腺癌,临床分期cT4b cN3c M0(IIIC期)。患者接受了4个周期THP方案的新辅助治疗,治疗后肿瘤显著退缩,淋巴结病变消退(影像学部分缓解)。随后行右乳改良根治术、腋窝和颈部淋巴结清扫,病理检查显示病理完全缓解(ypT0N0)。术后接受4个周期的AC方案化疗,之后维持曲妥珠单抗和帕妥珠单抗治疗共13个周期,并行放疗。总体治疗效果良好,患者术后恢复顺利。

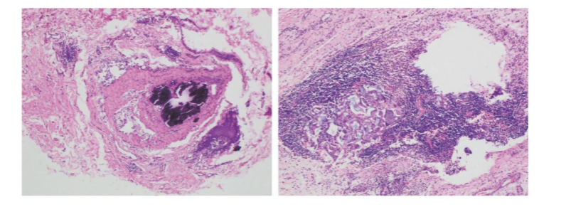
2.png图2.乳房切除术后HE染色切片(×100):示纤维化肿瘤床伴肉芽肿性-淋巴样修复反应,无残留浸润性癌(Miller-Payne分级5级,病理完全缓解)。

患者持续无病生存至2025年1月,期间出现持续性头枕部疼痛。在外部机构进行的脑部CT扫描显示强化病灶,符合脑转移特征,而再次分期CT未显示颅外复发。此时ECOG体能状态评分为1分。

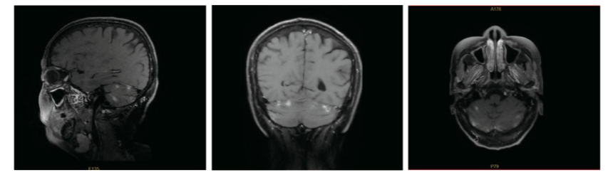
4.png图3.2025年4月6日脑部增强MRI:双侧小脑半球可见多发强化病灶,符合脑转移瘤表现。

2025年1月15日,患者的全身治疗方案改为口服吡咯替尼400mg qd+卡培他滨 1.0g/m² bid,每21天为1个周期,第1-14天给药。治疗6周后,于2025年4月6日在我院进行的脑部MRI显示疾病稳定,无新发病灶。

多学科团队建议对残留的小脑灶点进行立体定向放射外科治疗,并考虑在病情进展时使用T-DXd;然而,患者目前拒绝接受放疗。在2025年5月提交论文前的最后一次随访中,患者存活,神经系统症状得到控制,生活质量保持良好(ECOG 1分)。在2025年11月的最新随访中,患者仍存活,无新的神经系统症状,继续接受吡咯替尼联合卡培他滨治疗,颅内疾病稳定。

讨论

本病例凸显了HER2阳性乳腺癌患者即使在新辅助双重HER2阻断治疗后达到病理完全缓解,并完成1年HP维持治疗,仍存在持续的中枢神经系统转移风险。血脑屏障仍然是限制有效药物递送的解剖学庇护所,使得适应中枢神经系统的肿瘤克隆能够存活和增殖。

新兴证据表明,包括小分子酪氨酸激酶抑制剂和抗体药物偶联物在内的血脑屏障穿透性治疗在改善颅内疾病控制方面具有潜力。然而,优化中枢神经系统监测策略、识别中枢神经系统复发高风险个体以及确定中枢神经系统活性药物的最佳整合时机,仍是早期HER2阳性乳腺癌管理中尚未满足的临床需求。有必要开展进一步的前瞻性研究,以评估针对脑转移的预防策略,旨在改善这一高危患者群体的长期生存率和生活质量。

参考文献

FENG J, TONG YJ, ZHANG Z, HE YL. Case Report: Pathological complete response yet early brain relapse in HER2-positive breast cancer: a case-based review[J]. Frontiers in Immunology, 2026, 16: 1668995. https://doi.org/10.3389/fimmu.2025.1668995.


责任编辑:肿瘤资讯-Hanna
排版编辑:肿瘤资讯-Hanna



版权声明
本文专供医学专业人士参考,未经著作人许可,不可出版发行。同时,欢迎个人转发分享,其他任何媒体、网站如需转载或引用本网版权所有内容,须获得授权,且在醒目位置处注明"转自:良医汇-肿瘤医生APP"。

评论
02月20日
毛玉英
平遥兴康医院 | 肿瘤内科
感谢分享受益匪浅
02月19日
颜昕
漳州市医院 | 乳腺外科
解后早期脑复发的病例回
02月15日
梁利星
平遥县人民医院 | 肿瘤内科
好好学习天天向上