您好,欢迎您

循证有例|乳腺癌双乳切除术后眼眶“炎性”转移:一例罕见误诊警示

02月03日
来源:肿瘤资讯

乳腺癌眼眶转移是眼科肿瘤学中罕见但具有临床意义的表现,约占眼眶肿瘤的 1.5%-14.7%,多以明确眼眶肿块为典型表现。而无肿块的炎症型眼眶转移更为罕见,发生率仅约 4%,因症状与甲状腺相关眼病、特发性眼眶炎症等良性疾病重叠,极易误诊。本文通过一例双侧乳腺癌术后 2 年出现炎症型眼眶转移的病例,梳理其诊疗全过程,结合文献探讨该类罕见转移的临床特点、诊断难点及治疗策略,旨在提高临床对乳腺癌非典型复发的识别能力。

病例介绍

患者,女,51 岁,非洲裔美国人,因“右侧上下眼睑进行性肿胀 1个月”就诊。

  • 既往史:患者有明确的乳腺癌病史。3 年前确诊左乳浸润性导管癌,接受化疗;2 年前确诊右乳导管原位癌(DCIS),接受化疗、双侧乳房切除术及放疗。目前处于疾病缓解期,定期复查实验室指标及影像学检查均未见复发迹象。

  • 本次就诊查体:双眼视力 1.0(20/20),眼压正常。眼部检查示双侧对称性眼球突出,右侧眼眶软组织肿胀导致假性上睑下垂,结膜水肿。裂隙灯检查未见眼内炎症,眼底检查正常。

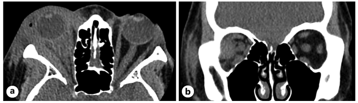
  • 辅助检查:实验室检查显示红细胞沉降率(ESR)轻度升高(38 mm/h),血管紧张素转化酶(ACE)偏低,感染及自身免疫性疾病筛查均为阴性。影像学检查(眼眶 CT 及 MRI)显示:右侧眼眶脂肪条索影,眼外肌(尤其是外直肌)弥漫性肿大,但未见明确的肿块病灶(图 1)。

图片1.png

图1 (A, B)眼眶增强 CT:显示双侧眼球突出,右侧眶前肿胀及肌锥内脂肪条索影(黑箭头),外直肌肿大(黑长箭头),未见明确肿块;(C, D)T2 加权 MRI:显示右侧外直肌肿大(白长箭头)及肌锥内脂肪条索影(白箭头)。

诊疗经过

由于临床表现酷似眼眶炎症,且感染筛查阴性,初始诊断倾向于非肿瘤性炎症。患者开始了全身糖皮质激素治疗(1 mg/kg/day,约 100 mg/day)。

  • 初期反应:高剂量激素治疗后,患者症状及体征出现中度改善。这一“有效”反应在一定程度上掩盖了病情的真相,导致活检被推迟。

  • 病情转折:当激素减量至 40 mg/day 以下时,症状难以控制;减量至 20 mg/day 时,患者自觉无效并停药。停药 1个月后复查,右眼眶周肿胀明显加重。复查 CT(图 2)显示右侧眼眶软组织肿胀恶化,外直肌显著增大并累及肌腱端,但仍未形成典型肿块。

图片2.png

图2 停用激素后的复查 CT:(A)轴位及(B)冠状位显示右侧眶周软组织肿胀明显加重,眶内脂肪弥漫性条索影,右侧外直肌显著肿大。
  • 最终诊断: 鉴于病情反弹及影像学恶化,医生对右侧眼眶异常组织(眼眶脂肪及外直肌)进行了活检。病理结果证实为转移性乳腺癌

  • 后续治疗: 患者转诊至肿瘤科,接受瑞波西利联合氟维司群,并辅以眼眶放疗。治疗后眼部病变改善。随访至确诊转移后 3个月,患者存活且病情稳定。

讨论:罕见转移形式的临床挑战

  • 发病特征:乳腺癌是眼眶转移较为常见的原发肿瘤(占比近 50%),但炎症型表现极为罕见,无肿块的炎症型转移更是少见,43 年间仅报道 6 例类似病例。其核心表现为眶周水肿、结膜水肿、眼肌增粗、脂肪条索状改变,无明确占位,易被误诊为良性炎症。

  • 复发时间:乳腺癌眼眶转移多发生在原发肿瘤治疗后 3-5 年,26% 的病例以眼眶病变为乳腺癌首发表现;本例患者术后 2 年复发,提示即使短期无病生存,仍需警惕罕见转移。

  • 诊断建议:对于有乳腺癌病史的患者,一旦出现眼眶炎症表现,哪怕影像学未见明确肿块,也应保持高度警惕。影像学特征:转移癌通常在 MRI T1 加权像呈低信号,T2 加权像呈高信号。若仅见肌肉弥漫性增厚或脂肪浸润,不能排除浸润性转移。活检指征:若常规抗炎治疗无效,或激素治疗初期有效但在减量/停药后迅速反弹,应果断进行早期活检。若曾使用激素,建议停药数周后再行活检以提高诊断准确率。

小结

本例展示了一例罕见的、无肿块的乳腺癌炎性眼眶转移。它提醒临床医生,乳腺癌患者的无瘤生存期长短不应成为降低警惕的理由。面对眼眶“炎症”,尤其是激素治疗反应不稳定时,应尽早考虑恶性肿瘤转移的可能,通过及时的组织活检确诊,以避免延误治疗,争取生存获益。

参考文献

Ahdoot R, Weber MK, Mirzania D, Simmons BA. Inflammatory Presentation of Orbital Metastasis Years after Bilateral Mastectomy for Breast Cancer: A Case Report and Literature Review. Case Rep Ophthalmol. 2025;17(1):87-96. Published 2025 Dec 11. doi:10.1159/000550031

责任编辑:肿瘤资讯-Jina
排版编辑:肿瘤资讯-slb
版权声明
本文专供医学专业人士参考,未经著作人许可,不可出版发行。同时,欢迎个人转发分享,其他任何媒体、网站如需转载或引用本网版权所有内容,须获得授权,且在醒目位置处注明"转自:良医汇-肿瘤医生APP"。

评论
02月10日
蒋海英
六盘水市人民医院 | 肿瘤内科
确实罕见,但需警惕隐秘性转移
02月05日
张彦
唐山市妇幼保健院 | 妇科
乳腺癌双乳切除术后眼眶“炎性”转移:一例罕见误诊警示
02月05日
陈坤
其他医院 | 耳鼻咽喉科
面对眼眶“炎症”,尤其是激素治疗反应不稳定时,应尽早考虑恶性肿瘤转移的可能,通过及时的组织活检确诊,以避免延误治疗,争取生存获益。