您好,欢迎您

循证有例|警惕隐匿的“头皮肿物”:一例多发性乳腺癌头皮转移病例报告及免疫组化鉴别诊断深度解析

01月21日
编译:肿瘤资讯
来源:肿瘤资讯

乳腺癌作为女性最常见的恶性肿瘤,其皮肤转移相对少见,而头皮转移更是极为罕见,常预示着疾病的广泛播散及不良预后。由于头皮转移灶在临床表现上缺乏特异性,且病理形态上易与原发性皮肤附件肿瘤(如汗腺癌、皮脂腺癌)混淆,给临床确诊带来了巨大挑战。【循证有例】本期报道一例经多线治疗后的乳腺癌患者,在无器官衰竭征象的情况下出现头皮多发结节,最终通过详尽的免疫组化(IHC)面板确诊为乳腺癌头皮转移。

图片1.png

引言

尽管乳腺癌是全球女性发病率最高的癌症,但其发生皮肤转移的概率相对较低。既往数据显示,仅约6%的乳腺癌病例以新发转移性病变作为首发表现。而在所有皮肤转移部位中,头皮转移被认为极为罕见。然而,由于头皮血供丰富,该区域实际上占到了所有皮肤转移癌的4%-6.9%。值得注意的是,头皮病变有时可能是隐匿性内脏恶性肿瘤的首发体征,或者是已知癌症疾病进展的唯一症状性标志。

对于有乳腺癌病史的患者,头皮新发结节必须经过严谨的鉴别诊断。从组织病理学角度来看,转移性乳腺癌极易与原发性皮肤附件肿瘤(特别是汗腺腺癌)相混淆,两者的治疗方案及预后截然不同。因此,单纯依靠形态学往往不足以确诊,必须借助特异性的免疫组化标志物组合。通过约旦侯赛因国王癌症中心(KHCC)的一例典型病例,详细梳理了乳腺癌头皮转移的临床特征、影像学表现及病理鉴别路径。

病例介绍

患者为一名47岁的中东女性,既往无吸烟或饮酒史,因“转移性乳腺癌”于2022年9月就诊。患者最早于2017年确诊为左乳浸润性导管癌(III期),当时的免疫组化结果显示雌激素受体(ER)阳性(95%),孕激素受体(PR)阳性(5%),HER-2/neu评分仅为0。确诊后,患者接受了改良根治性乳房切除术,随后进行了25次辅助放疗及他莫昔芬内分泌治疗。然而,疾病在2020年出现进展,影像学检查提示左侧腋窝淋巴结肿大,并伴有脊柱、肋骨、肝脏及双肺的多发转移。此后两年间,患者经历了一系列治疗方案的调整,包括紫杉醇-氟维司群-来曲唑方案,以及吉西他滨-卡铂联合阿培利司方案,但病情仍持续进展。2021年,因难治性背痛及脊柱转移灶进展,患者接受了姑息性外放射治疗(EBRT)及长春瑞滨-卡培他滨化疗。值得注意的是,在整个化疗过程中,患者并未接受头皮冷却治疗。

临床表现与影像学发现

患者于2022年9月就诊时,主要主诉为头皮结节增大,这也是其当时最显著的症状,并未出现多器官衰竭的迹象。这些结节在就诊前2个月被患者发现,并在最近3周内迅速生长,伴有瘙痒和轻微疼痛。

 体格检查揭示了头皮上的三个主要病灶。最大的结节位于左侧额部,大小约为4 cm × 3 cm × 0.5 cm;另外两个病灶位于左侧顶叶区域,大小分别为20 mm × 10 mm × 5 mm及数毫米。这些病变呈现红斑状,质地坚硬,不可移动且无压痛,表面不规则,按压时无可见分泌物。此外,查体还发现胸骨中部有一处7 cm × 5 cm × 3 cm的实性肿块,质硬固定,同样被临床怀疑为转移灶。

图片2.png

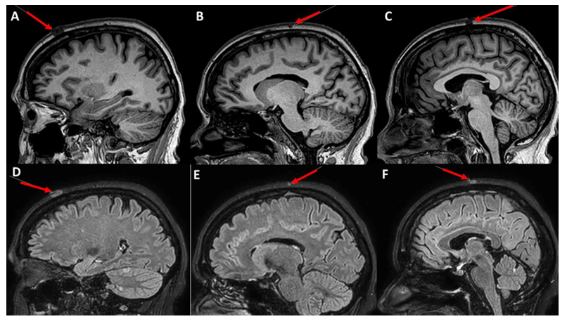
脑部磁共振成像(MRI)进一步证实了头皮病变的存在。在T1加权非造影序列上,病灶表现为低信号(Hypointense);而在液体衰减反转恢复序列(FLAIR)增强后图像上,病灶则呈现高信号(Hyperintense)。影像学特征明确提示了软组织结节的性质,支持了转移性病变的诊断假设。

图片3.png

病理诊断与免疫组化鉴别

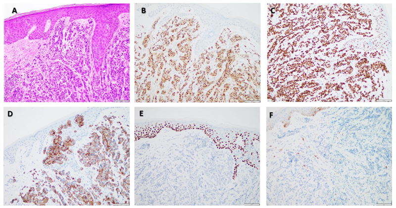
为明确病变性质,医疗团队对左侧额部最大的头皮病灶进行了钻取活检(Punch biopsy)。苏木精-伊红(H&E)染色显示真皮层内充满形成不良的腺体结构,而覆盖其上的表皮形态正常,符合转移性浸润性导管癌的特征。

鉴于单一标志物无法有效区分原发性皮肤附件肿瘤与乳腺癌转移,病理科采用了一组免疫组化染色面板进行鉴别。检测结果显示:肿瘤细胞弥漫性强表达雌激素受体(ER,95%阳性),孕激素受体呈弱阳性(PR,5%)。GATA结合蛋白3(GATA-3)在所有肿瘤细胞核中呈强阳性表达。细胞角蛋白-7(CK-7)呈阳性膜染色。HER-2/neu评分为0(阴性)。

图片4.png

关键的是,肿瘤细胞对P63及KIT(CD117)均呈阴性反应 。P63染色在肿瘤细胞核中缺失,但覆盖病灶上方的表皮细胞核呈阳性;同样,CD117在肿瘤细胞中为阴性,仅在表皮黑色素细胞中显示反应性。

综合上述免疫表型(ER+/PR+/CK7+/GATA3+/HER2-/P63-/CD117-),并结合患者既往病史,最终确诊为乳腺癌头皮转移。遗憾的是,由于患者随后并发胸部感染及双侧恶性胸腔积液,病情迅速恶化至感染性休克,未及针对头皮转移进行特异性治疗便不幸离世。

讨论:罕见病灶背后的诊断逻辑

1.头皮转移的临床意义

乳腺癌最常见的转移部位依次为肺、骨、肝和脑,皮肤转移往往发生于晚期。尽管头皮肿瘤在所有皮肤肿瘤中仅占2%,但在皮肤转移癌中,头皮区域因其丰富的血供而成为相对好发部位。Chuang等人的研究指出,约12.8%的头皮病变实为转移性病灶,其中肺癌最常见,乳腺癌相对较少(约占7.84%)。头皮转移的出现通常预示着不良预后,可能是疾病进展的信号,甚至在部分病例中作为隐匿性原发灶的首发表现出现。

2.免疫组化在鉴别诊断中的核心地位

该病例的核心难点在于排除原发性皮肤附件腺癌(如汗腺癌)。由于两者在组织形态上高度相似,且原发性汗腺腺癌也可表达雌激素受体,单纯依靠ER状态鉴别均有限制。因此,引入P63、CD117等标志物至关重要。

  • GATA-3与CK-7: 大多数乳腺癌对CK-7呈阳性,对CK-20呈阴性。GATA-3作为乳腺癌的敏感标志物已被广泛接受,但其缺乏绝对特异性,需与其他指标联合解读。

  • P63的鉴别价值: P63是p53的同系物。乳腺癌通常对P63呈阴性或仅局灶阳性;相反,皮肤附件腺癌通常呈弥漫性强阳性。该例中P63阴性有力支持了乳腺来源的诊断。

  • CD117 (KIT) 的特异性: 研究表明,CD117在伴有大汗腺/小汗腺及皮脂腺分化的皮肤附件肿瘤中特异性表达。虽然部分乳腺上皮可正常表达KIT蛋白,但在浸润性乳腺癌中,c-kit表达往往降低。该例肿瘤细胞CD117阴性,进一步排除了原发性皮肤附件肿瘤的可能性。

3.鉴别诊断的临床影响

准确区分转移性乳腺癌与原发性皮肤肿瘤直接决定了治疗策略。若是原发性皮肤附件肿瘤,治疗可能涉及局部广泛切除或局部化疗;而对于广泛转移的乳腺癌,治疗则侧重于系统性全身治疗及姑息治疗。误诊可能导致不必要的手术或延误系统治疗的时机。

4.头皮冷却与转移风险

鉴于患者既往化疗史,文章也简要探讨了预防脱发的头皮冷却技术是否增加头皮转移风险。目前的系统评价和荟萃分析显示,无论是否使用头皮冷却,头皮转移的风险并未增加,其发生更多归因于疾病本身的生物学行为及血行播散特性。

结论

乳腺癌头皮转移虽然罕见,但对于有乳腺癌病史的患者,任何新发的头皮实性结节都应引起高度警惕。该病例表明,头皮病变可能是疾病进展的唯一体征,甚至在缺乏多器官衰竭迹象时独立出现。临床医生应常规进行全面的影像学排查,并依靠包括GATA-3、P63和CD117在内的免疫组化面板进行确诊,以排除原发性皮肤肿瘤,从而制定准确的治疗方案。

参考文献

[1] Abdulraheem AM, Naji D, Al Heyasat AN, et al. Breast cancer with scalp metastases: a case report. J Med Case Rep. 2023;17(1):203. doi:10.1186/s13256-023-03928-8. 46464646


责任编辑:肿瘤资讯-Kelly
排版编辑:肿瘤资讯-slb
版权声明
本文专供医学专业人士参考,未经著作人许可,不可出版发行。同时,欢迎个人转发分享,其他任何媒体、网站如需转载或引用本网版权所有内容,须获得授权,且在醒目位置处注明"转自:良医汇-肿瘤医生APP"。

评论
02月17日
徐同庆
天津市东丽区东丽医院 | 普通外科
坚持学习,每天进步一点点