您好,欢迎您

医案集萃丨罕见!肝细胞癌小肠转移致肠套叠,该男性患者竟同时出现乳腺转移

01月14日
编译:肿瘤资讯
来源:肿瘤资讯

肝细胞癌(HCC)是常见的原发性肝脏恶性肿瘤。尽管治疗手段不断进步,但由于频繁复发和转移,患者预后通常较差。HCC发生胃肠道转移的情况并不常见,而转移至小肠并引起肠套叠的病例则更为罕见。本文报道一例罕见的肝细胞癌小肠转移导致肠套叠的病例,并回顾相关文献,探讨其诊疗策略。

病史

一名72岁男性患者,既往有丙型肝炎病毒(HCV)感染和酒精相关性HCC病史。2017年,患者首次接受了肝脏第5、6段的非典型肝切除术。随后的病程中,患者出现了骨转移和肺转移,通过序贯系统治疗病情得到了一定控制。

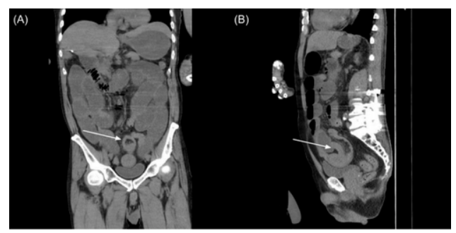
2024年初,患者因出血性枕叶脑转移接受了开颅手术。术后不久,患者出现弥漫性腹痛、腹胀和呕吐等症状。影像学检查显示远端回肠肠套叠(图1)。

qdSEPCcsZKZnqXO5RVRZCDcQ19wuFz9h.png

图1. 影像学检查显示弥漫性小肠梗阻伴远端回肠套叠(白色箭头),(A)冠状面图像和(B)矢状面图像

鉴于肠梗阻症状明显,患者接受了小肠部分切除术(图2)。

1142.png

图2. (A)术中发现远端回肠套叠;(B)小肠节段切除

术中探查发现一个菜花样回肠肿瘤引起了套叠。组织学检查证实该肿瘤为转移性HCC(免疫组化显示Hepar-1阳性)。

患者术后恢复顺利。然而,在术后3个月的随访中,发现新的转移病灶出现在胃部和左侧乳腺;针对乳腺转移灶,患者随后接受了部分乳房切除术。

HCC发生小肠转移的情况在临床上极为罕见。尽管如此,对于有HCC病史且出现不明原因胃肠道症状(如腹痛、呕吐、肠梗阻表现)或肿瘤标志物异常升高的患者,仍应将胃肠道转移纳入鉴别诊断。


本病例展示了HCC广泛转移的复杂性,包括罕见的脑转移、小肠转移以及极为罕见的男性乳腺转移。肠套叠作为成人肠梗阻的少见原因,通常由肿瘤引起(即病理性导引点)。手术切除是解决此类转移性并发症的最有效手段,对于特定病例,微创和内镜技术也可作为治疗选择。早期识别和及时的外科干预对于改善此类晚期患者的生活质量至关重要。

参考文献

[1]. Hsu MK, Chen PD, Wu YM. Hepatocellular Carcinoma With Small Bowel Metastasis and Intussusception: A Case Report and Literature Review. Cancer Rep (Hoboken). 2025 Dec;8(12):e70364. doi: 10.1002/cnr2.70364. PMID: 41318218; PMCID: PMC12664738.

责任编辑:古木
排版编辑:古木

版权声明

本文专供医学专业人士参考,未经著作人许可,不可出版发行。同时,欢迎个人转发分享,其他任何媒体、网站如需转载或引用本网版权所有内容,须获得授权,且在醒目位置处注明"转自:良医汇-肿瘤医生APP"。


评论
01月14日
毛玉英
平遥兴康医院 | 肿瘤内科
感谢分享受益匪浅
01月14日
朱双抢
解放军第92医院 | 肿瘤内科
谢谢您的分享,
01月14日
万军鸽
叶县人民医院 | 血液肿瘤科
肝细胞癌小肠转移致肠套叠,该男性患者竟同时出现乳腺转移