您好,欢迎您

循证有例|乳腺癌治疗后的“二次挑战”:一例乳腺癌化疗后继发γδ T细胞急性淋巴细胞白血病病例启示

2025年12月31日
整理:肿瘤资讯

乳腺癌患者经手术、化疗等综合治疗后,长期生存获益显著,但治疗相关的二次恶性肿瘤风险需引起重视。γδ T 细胞急性淋巴细胞白血病(γδ T-ALL)是一种罕见且侵袭性极强的血液系统恶性肿瘤,而乳腺癌治疗后继发该疾病的病例更为罕见,临床认知不足易导致诊断延迟。本文通过一例左乳浸润性导管癌化疗后 3 年继发 γδ T-ALL 的病例[1],梳理其诊疗全过程,结合文献探讨发病关联、诊断要点及治疗策略,旨在提高临床对乳腺癌治疗后罕见继发疾病的识别与管理能力。

病例介绍:乳腺癌治愈后的“血液异常信号”

患者,女,62 岁,因“发现白细胞升高 2个月”于2025年6月就诊。

既往乳腺癌诊疗史(2022 年)

  • 2022 年 2 月确诊左乳浸润性导管癌 Ⅱ 级,肿瘤最大直径 2cm,无明确脉管侵犯,乳头、皮肤及基底切缘无癌累及,腋窝淋巴结 11 枚均无转移(0/11)。

  • 免疫组化:雌激素受体(ER)强阳性(约 80%)、孕激素受体(PR)强阳性(约 80%),雄激素受体(AR)中度阳性(约 70%),人表皮生长因子受体 2(HER2)1+,P53、PS2、EGFR、CK5/6 均阴性,Ki-67 增殖指数约 40%。

  • 基因检测:未发现 BRCA1/2 基因突变。

  • 治疗方案:行乳腺癌手术治疗后,接受 8 周期表柔比星(110mg)联合环磷酰胺(80mg)化疗,化疗结束后规律随访,未发现乳腺癌复发或转移。

现病史(2025 年)

  •  症状与影像学:化疗停药 2 年后,体检发现白细胞升高,持续2个月。胸部CT示纵隔多发淋巴结肿大。

  • 实验室检查:血常规示白细胞计数 112.20×10⁹/L,血红蛋白 138.00g/L,血小板计数 105.00×10⁹/L;外周血涂片可见 80% 的幼淋巴细胞。

进一步检查与确诊

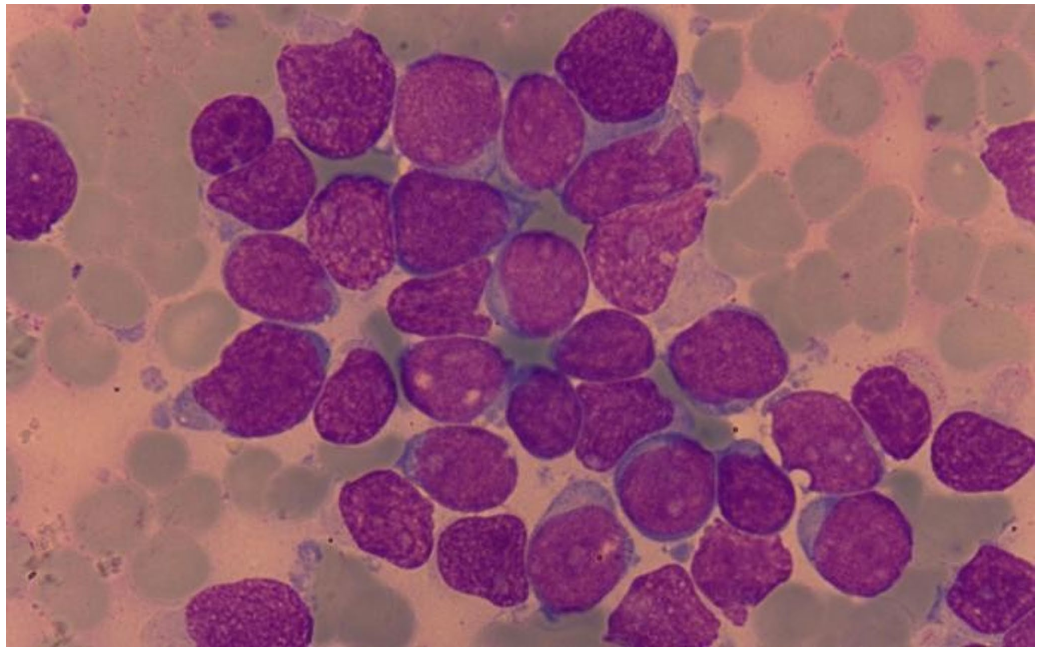
  • 骨髓穿刺与涂片:骨髓穿刺涂片示幼淋巴细胞占 95%,细胞呈圆形,胞浆量少,细胞核圆形,染色质粗糙,可见核仁(图 1)。

图片1.png

图1 骨髓穿刺涂片图像。原幼淋巴细胞呈圆形,胞浆量少,胞核呈圆形,染色质粗糙,可见核仁。(Wright–Giemsa染色×1000)
  • 流式细胞术(FCM):骨髓中 93.88% 的 T 系幼淋巴细胞表达表面 CD3(sCD3)、CD7、胞浆末端脱氧核苷转移酶(cTDT,表达不一)、CD4(表达不一)、CD2(表达不一)、CD10(表达不一)、CD38(弱表达)、CD5(弱表达)、CD45(弱表达)、CD1a(表达不一)及 T 细胞受体 γδ(TCRγδ);不表达胞浆髓过氧化物酶(cMPO)、胞浆 CD79a、CD34、CD117、CD8、CD56、CD57、CD15、CD30、CD13、CD19、CD20、CD14、CD16、CD11b、人类白细胞抗原 DR(HLA-DR)及 T 细胞受体 β 恒定区 1(TRBC1),根据 EGIL 亚型分类,诊断为皮质型 T-ALL。

  • 细胞遗传学与分子检测:染色体核型为 46 XX;荧光原位杂交(FISH)检测 BCR::ABL1、TCF3::PBX1、TEV6::AML1、MLL、MYC 及 IGH 基因均无异常;靶向 DNA 下一代测序(NGS)发现 NOTCH1、FBXW7、PHF6 及 EP300 基因突变(表 1)。

表1 基于DNA的靶向二代测序结果

图片2.png注:Ⅰ:具有明确临床意义的变异。Ⅱ:具有潜在临床意义的变异。ACM:氨基酸突变,MF:突变频率,VC:变异分级。

  • 其他检查:脑脊液常规检查正常,排除中枢神经系统受累。

综合上述检查结果,最终确诊为继发性 γδ T 细胞急性淋巴细胞白血病(γδ T-ALL)。

治疗与随访

采用 VDCP 化疗方案:长春新碱 2mg(第 1、8、15、22 天),柔红霉素 40mg(第 1、8、15、22 天),环磷酰胺 850mg(第 1、15 天),泼尼松 60mg(第 1-14 天)、30mg(第 15-28 天)。

  • 化疗第 15 天评估:骨髓穿刺涂片示幼淋巴细胞占 19%,流式细胞术示骨髓中 T 系幼淋巴细胞占 33.05%,继续原方案化疗

  • 化疗第 25 天评估:血常规示白细胞计数 4.30×10⁹/L,血红蛋白 80.00g/L,血小板计数 174.00×10⁹/L,患者无明显不适,顺利出院,后续将规律随访监测病情变化。

讨论:乳腺癌治疗与继发 γδ T-ALL 的关联及临床挑战

疾病特点与发病关联

γδ T-ALL 的罕见性与侵袭性:T 细胞急性淋巴细胞白血病(T-ALL)占所有急性淋巴细胞白血病(ALL)的比例较低,而表达 TCRγδ 的 γδ T-ALL 更为罕见,仅占所有 T-ALL 的 9%-12%。该亚型疾病进展迅速,诱导治疗失败率、复发率及死亡率均较高,尽管抗 γδ TCR 嵌合抗原受体 T 细胞治疗等新方法显示出一定潜力,但整体预后仍较差。

乳腺癌治疗与继发白血病的关联:乳腺癌患者经化疗等治疗后,继发二次恶性肿瘤的风险会增加,其中治疗相关急性髓系白血病(t-AML)较为常见,而治疗相关急性淋巴细胞白血病(t-ALL)相对少见,二者比例约为 9:1。本例患者接受表柔比星联合环磷酰胺化疗后继发 γδ T-ALL,推测化疗药物的遗传毒性可能损伤造血祖细胞,进而诱发白血病转化,但具体机制尚不完全明确。

诊断要点

警惕长期随访中的异常指标:乳腺癌患者治疗后需长期规律随访,不仅要监测原发病复发,还需关注血常规等基础指标变化。本例患者无明显临床症状,仅因白细胞持续升高就诊,提示即使无典型不适,实验室检查异常也需进一步排查。

多技术联合确诊:γδ T-ALL 的诊断需结合骨髓形态学、流式细胞术、细胞遗传学及分子检测。其中,流式细胞术检测到 TCRγδ 表达是明确该亚型的关键,而 NGS 检测发现的 NOTCH1、PHF6 等基因突变,不仅有助于明确发病机制,还可为后续治疗方案调整提供参考。

治疗策略

目前 γδ T-ALL 尚无标准化治疗方案,多参考 T-ALL 的常规化疗方案(如本例采用的 VDCP 方案)。但该亚型对化疗敏感性较低,缓解后微小残留病灶(MRD)水平较高,约 1/3 患者诱导治疗结束后 MRD 仍≥1%,需考虑异基因造血干细胞移植(HSCT)以改善预后。此外,针对 NOTCH1 等突变的靶向治疗及免疫治疗可能为部分患者提供新的治疗方向,但仍需更多临床研究验证。

小结

乳腺癌化疗后继发 γδ T-ALL 虽极为罕见,但因其侵袭性强、预后差,需引起临床高度重视。乳腺癌患者治疗后长期随访中,应重视血常规等实验室指标的异常变化,及时完善骨髓穿刺、流式细胞术等检查,避免延误二次肿瘤的诊断。治疗需依托多学科协作(血液科、乳腺科、病理科),根据患者具体情况制定个体化化疗方案,必要时考虑造血干细胞移植。未来需更多研究探索乳腺癌治疗与继发 γδ T-ALL 的关联机制,为高风险患者制定预防策略及精准治疗方案提供依据。

参考文献

[1] Yang X, Zhang Z, Wu X, Yang X. A breast cancer patient developed γδ T-cell acute lymphoblastic leukemia after chemotherapy: a case report with literary review. Ann Hematol. 2025 Oct;104(10):5217-5222. doi: 10.1007/s00277-025-06690-7. Epub 2025 Oct 27. PMID: 41144034; PMCID: PMC12619702.

责任编辑:肿瘤资讯-Jina
排版编辑:肿瘤资讯-slb
版权声明
本文专供医学专业人士参考,未经著作人许可,不可出版发行。同时,欢迎个人转发分享,其他任何媒体、网站如需转载或引用本网版权所有内容,须获得授权,且在醒目位置处注明"转自:良医汇-肿瘤医生APP"。

评论
01月02日
陈州华
湘潭市第二人民医院 | 肿瘤科
乳腺癌化疗后继发 γδ T-ALL 虽极为罕见,但因其侵袭性强、预后差,需引起临床高度重视
01月02日
雨夜
钦州市中医医院 | 肿瘤内科
路漫漫其修远兮,吾将上下而求索
2025年12月31日
郝爱香
好学上进,天天向上