您好,欢迎您

2025 WCLC | III期NSCLC的治疗极限:外科手术与内科决策的博弈分析

2025年12月29日
整理:肿瘤资讯
来源:2025 WCLC

2025年9月6日至9日,世界肺癌大会(WCLC)在西班牙巴塞罗那盛大召开。III期非小细胞肺癌(NSCLC)因其高度的异质性,一直是肺癌治疗领域中最为复杂、也最具争议的“战场”。随着新辅助免疫治疗的兴起,曾经被视为手术禁忌的许多病例正逐渐跨越“不可切除”的边界。然而,治疗极限究竟在哪里?是选择以根治性同步放化疗为基石的内科方案,还是勇于挑战复杂的新辅助方案后的外科手术?

病例 1:潜在可切除的cT4N2病灶

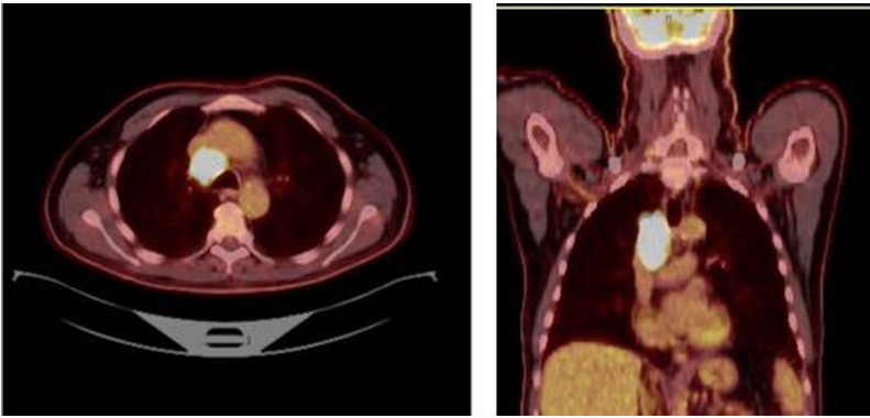
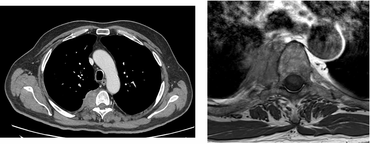
65岁男性,既往重度吸烟史(50包/年),ECOG PS 1分。因肩胛区疼痛入院治疗。胸部CT显示,右肺上叶可见一巨大肿块,最大径达7.3cm。病灶疑似侵犯椎体及胸膜,并伴有可疑的4R组淋巴结肿大。PET/CT显示,原发病灶SUV最高值为17,4R组淋巴结SUV最高值为11。MRI未见转移。临床分期定为cT4N2M0(IIIB期)。

针对此类高负荷T4且伴有N2淋巴结受累的病灶,治疗决策存在明显分歧:

倾向内科治疗/放疗:鉴于T4病灶巨大且伴有N2,根治性同步放化疗后接度伐利尤单抗是目前的标准治疗。

挑战外科治疗:对于部分潜在可切除的T4,通过新辅助免疫联合化疗,若能实现降期且达到R0切除,可能为患者带来更持久的生存获益。

42be51e3-14fa-433e-94ef-96f9a394c2ad.png

fce3c563-7262-4f11-8705-bc56328e5259.png

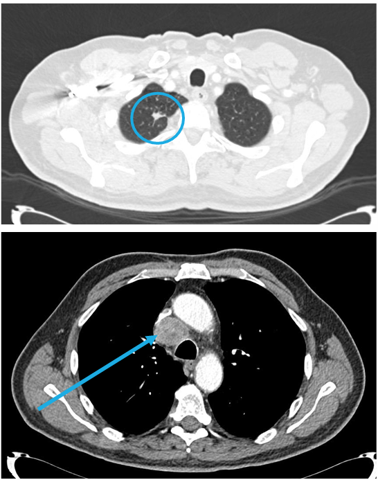
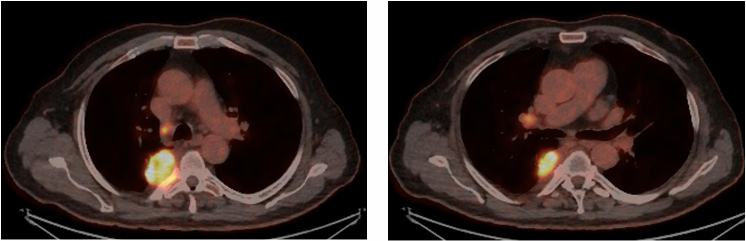
案例 2:N2病灶对新辅助免疫治疗的应答

70岁男性,既往重度吸烟史(60包/年)。驱动基因阴性,PD-L1高表达(90%)。临床分期为cT1bN2a(4R组,Bulky/体积巨大)M0(IIIA期)。患者接受3个周期的卡铂+ 培美曲塞+抗PD-1抑制剂新辅助治疗。CT显示,巨大的4R组纵隔淋巴结达到部分缓解(PR)。淋巴结虽然缩小,但新辅助免疫治疗引发的局部炎症和组织纤维化,对后续纵隔淋巴结清扫术的精细度提出更高要求。

996ff09c-6205-441c-9829-ae4f2fa5d143.png

2cc24fcc-8f4b-4190-9915-af26caaff956.png

跨越极限:MDT讨论中的博弈焦点

讨论,专家们针对III期治疗的“极限”达成以下共识与争议点:

单纯的纵隔淋巴结肿大已不再是手术的绝对禁区。专家指出,PD-L1高表达的患者对新辅助免疫治疗极其敏感,往往能获得显著的降期,从而转化为可切除状态。然而,必须强调淋巴结的清扫范围。对于IIIA/B期患者,手术的成功不仅在于原发灶的R0切除,更在于纵隔淋巴结的彻底清除。

对于侵犯大血管、椎体或气管的T4病灶,外科手术的“极限”取决于新辅助治疗后的降期程度以及重建技术的成熟度。讨论指出,新辅助治疗后的“解剖学重构”可能比初始评估时更为复杂,需要资深胸外科医生与放射诊断科医生的精准对接。

新辅助免疫治疗在提供高病理缓解率(pCR/MPR)的同时,也可能增加手术难度。MDT团队必须权衡药物毒性、手术风险以及潜在的长效生存获益。

免结论与临床启示

上述案例及分析揭示III期NSCLC治疗领域的新动态:

分期不再是唯一标准:cT4N2等高期别病灶在PD-L1高表达等分子优势下,具有挑战手术切除的机会。

新辅助免疫的基石作用:对于单纯的纵隔淋巴结肿大患者,新辅助化疗联合免疫治疗已成为实现病理降期并创造手术条件的强有力手段。

MDT的重要性:在“推向极限”的过程中,外科医生、内科医生和放疗医生的视角博弈必不可少。每一个个体的“极限”都需要通过精细的影像学随访和多学科讨论来动态界定。

综上所述,III期NSCLC的治疗正从“不可切除”向“诱导后可切除”转化。临床医生的任务是:在技术极限内,为患者寻求根治可能性与生活质量的最佳平衡点。

责任编辑:肿瘤资讯-Bear
排版编辑:肿瘤资讯-Bear


版权声明
本文专供医学专业人士参考,未经著作人许可,不可出版发行。同时,欢迎个人转发分享,其他任何媒体、网站如需转载或引用本网版权所有内容,须获得授权,且在醒目位置处注明"转自:良医汇-肿瘤医生APP"。

评论
01月11日
纪磊
青岛西海岸新区人民医院 | 呼吸内科
2025年9月6日至9日,世界肺癌大会(WCLC)在西班牙巴塞罗那盛大召开。III期非小细胞肺癌(NSCLC)因其高度的异质性,一直是肺癌治疗领域中最为复杂、也最具争议的“战场”
2025年12月30日
赵昌涛
西安交通大学第一附属医院榆林医院 | 肿瘤内科
III期非小细胞肺癌综合治疗
2025年12月30日
王会宇
青岛市城阳区人民医院 | 放疗科
临床医生的任务是:在技术极限内,为患者寻求根治可能性与生活质量的最佳平衡点。