对于高龄、晚期或病理类型复杂的肿瘤患者而言,诊断困难、治疗耐受性差、治疗选择有限等问题为临床医生带来严峻挑战。如何在不增加不良反应的前提下进一步提升疗效是临床关注热点。放射治疗作为肿瘤治疗中的核心局部治疗手段,其疗效常受限于肿瘤细胞的放射抵抗性。此时,放疗增敏剂的加入有望提升局部控制率,并可能与全身治疗产生协同,助力实现更好的治疗效果。本文将分享3例高龄、复杂的肺鳞癌病例,患者均在多学科综合治疗中联合了放疗增敏剂甘氨双唑钠,最终在保障安全性的同时,成功控制了疾病进展,为类似患者的治疗策略提供了有价值的临床参考。


病例一
病例分享专家
江苏省人民医院放射治疗科
擅长食管癌和肺癌放疗
获得国家自然科学基金青年项目1项
以第一作者或通讯作者发表SCI论文10余篇
病例点评专家
江苏省人民医院放射治疗科
江苏省抗癌协会纵膈肿瘤专业委员会常务委员
江苏省医师协会临床精准医疗专业委员会委员
江苏省肿瘤康复委员会委员
江苏省第十二批"六大人才高峰"培养对象
美国西南医院访问学者
《实用临床医药杂志》等多家杂志审稿人
获得江苏省新技术引进奖两项
主持江苏省人社厅项目一项,参与多项国家级和省级课题
发表论文四十余篇,其中SCI论文5篇
病例介绍
基本信息:患者男,72岁。
就诊经过:
现病史:2022-10,患者无明显诱因下出现咳嗽,有痰,不易咳出,无发热等不适症状,当地胸部CT示:左上肺感染,左上肺大血管左旁可疑高密度灶。予抗炎、止咳等对症处理,患者自觉症状无明显好转,治疗后复查胸部CT:左上肺及两下肺感染,左侧胸腔少量积液,左侧大血管旁高密度灶。
2022-11-09,患者于我院门诊查肿瘤标志物3项:细胞角蛋白19片段:23.87ng/ml,神经元特异性醇化酶:18.94ng/ml。
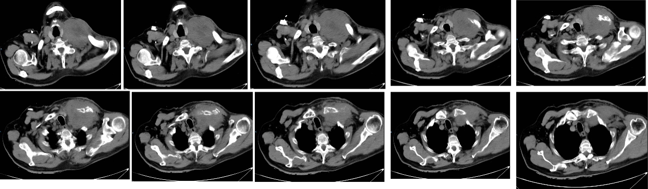
胸部CT增强:左肺上叶肿块(较大截面大小约45×73mm),考虑肺CA可能大。两肺散在结节影,请对比老片,随诊复查。两肺肺气肿,肺大泡。两肺散在条索影,考虑陈旧灶。纵隔散在小淋巴结,请结合临床。
2022-11-15行CT引导下行左肺病灶穿刺活检术,标本诊断:(肺穿)浸润性癌。免疫组化:(肺穿)肿瘤细胞:CK5/6(+),P40(+),TIF-1(-),CK7(-),Syn(-),Napsin A(-),结合HE切片,本例符合鳞形细胞癌。
临床诊断:肺鳞癌(鳞癌,cT4N3M1a IVa期)
治疗经过:
免疫联合化疗:
2022-11-18行输液港植入术。
2022-11-22、2022-12-18行卡铂(400mg d1)+紫杉醇脂质体(210mg d1)第1、2周期化疗。
2023-02-04、03-05行第3-4周期化疗,卡铂(400mg d1)+紫杉醇脂质体(210mg d1)+替雷利珠单抗(200mg d1)。
2023-03-07,患者第4周期化疗出院后第二天即出现食欲不振、乏力胸闷、间断发热等症状。
2023-03-14,患者至当地医院住院查血常规:白细胞:1.22×109/L,中性粒细胞计数:0.34×109/L
2023-03-15,查胸部CT提示:1. 左肺上叶前段及纵膈内占位性病变,范围较前明显缩小;2. 慢性支气管炎、肺气肿伴两肺炎症;3. 左肺下叶小结节,较前相仿。当地医院予升白、抗感染、吸氧等支持治疗后,稍有好转。
2023-03-25,患者至我院住院治疗,入院后诊断为肺部感染、呼吸衰竭、心功能不全。
2023-03-26,予气管插管,予替考拉宁联合比阿培南抗感染、提高免疫力、祛痰、保肝护胃、抗凝、控制血压血糖等对症支持处理。
2023-03-28,行气管镜:左、右主支气管黏膜充血水肿,有多重黄白色脓性分泌物附着管腔,予以吸除。
2023-03-31,脱机拔管。后患者一般情况较前明显好转,2023-04-06至外院继续抗感染治疗,当地医院考虑为免疫相关性肺炎,予激素治疗。
2024-09,患者为评估病情就诊,予辅助抗肿瘤、营养支持等对症处理。
2024-10,患者出现左侧颈部肿块,逐步增大,大小约为长6-7cm、宽3-4cm,有压痛,伴左侧上肢麻木不适合,影响日常活动。
2024-12-17,患者入院行静脉输液港植入术。
2024-12-17、2025-01-21行化疗治疗,具体方案为紫杉醇(240mg d1)+卡铂(300mg d1)联合替雷利珠单抗(200mg d1),患者化疗后存在重度骨髓抑制,予重组人粒细胞集落刺激因子预防骨髓抑制。
2025-02-27多排CT(胸部+上腹部)平扫:左肺上叶肺CA伴阻塞性炎症,范围较前(2024-12-16)大致相仿,结合临床,必要时结合增强。左锁骨上软组织密度影,左侧锁骨骨质破坏,肿大淋巴结可能,较前明显增大,随诊复查。纵隔及左肺门稍大淋巴结,考虑转移,较前稍缩小。
患者CT示左锁骨上软组织密度影,伴左侧锁骨骨质破坏,考虑较前进展。
放疗同步免疫联合化疗:
2024-03-04,开始行左肺、左肺门、纵隔及左锁骨上病灶放疗,一程95% PGTV:40Gy/20f,联合使用放疗增敏剂甘氨双唑钠增加放疗敏感性。期间患者颈部皮肤破溃,定期换药,予鼠表皮生长因子修护皮肤,痰培养为肺克雷伯菌子左氧氟沙星抗感染后咳嗽咳痰缓解。
2025-03-06至03-19予重组人血管内皮抑制素(15mg qd)抗血管生成治疗。
2024-03-25、04-01、04-08、04-16,行白蛋白紫杉醇(100mg)同步化疗。
2024-04-04,予以替雷利珠单抗(200mg)免疫治疗。
2025-03-23患者痰中带血,予卡洛磺纳、氨甲环酸止血后好转。复查胸主动脉CTA:左锁骨下动脉与左锁骨上软组织肿块分界欠清,左锁骨下动脉管腔未见狭窄,结合临床。胸主动脉少许硬化。左肺上叶肺CA伴阻塞性炎症,范围较前(2025-02-26)缩小。左锁骨上软组织密度影,左侧锁骨骨质破坏,肿大淋巴结可能,范围较前大致相仿。纵隔及左肺门稍大淋巴结,考虑转移,较前相仿。左侧胸腔少量积液,较前相仿。两肺实性小结节,部分较前增大,转移待排,随诊。两肺肺气肿、肺大泡。左侧少许胸腔积液,较前增多。心包少量积液,较前相仿。肝内钙化灶。左侧第3.4.5及右侧第3肋骨骨皮质扭曲,较前相仿。两肺散在片絮影及条索影,考虑慢性症/陈旧灶。
介入科会诊建议保守治疗,暂无需行介入止血。氨甲环酸+卡络磺钠治疗后好转。一程放疗结束,复位C1示左肺病灶明显缩小,缩野后继续行二程放疗:95%PGTV 20.0Gy/10f。
2025-04-21放疗结束,患者左颈皮肤破溃,少量渗液,一般情况可,予以出院。
疗效评估:
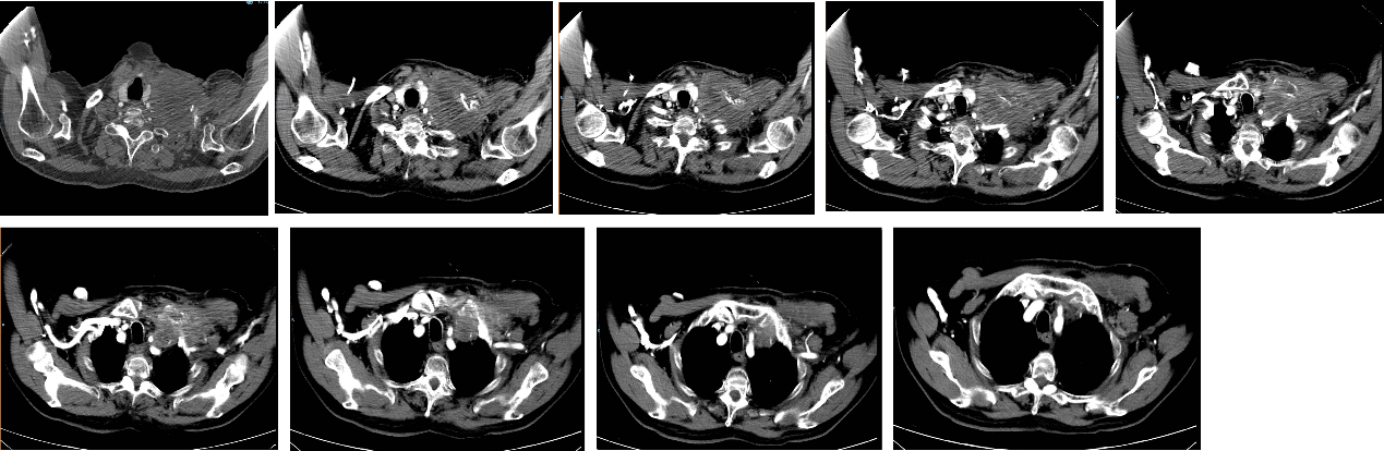
2025-05-21,放疗1月后复查:1. 左肺上叶肺CA伴阻塞性炎症,范围较前2025-04-01明显缩小,随诊复查。2. 左侧鼻咽、左侧口咽部、两侧颈部、两侧腋窝、右侧锁骨上、左侧锁骨下及胸壁皮下多发占位伴左侧锁骨骨质破坏,考虑转移,较前左锁骨下病灶稍缩小,两侧腋窝及胸壁病灶较前新增。3. 纵隔及左肺门稍大淋巴结,考虑转移,较前部分增大。3. 两肺多发结节,部分较前增大,考虑转移,随诊。4. 两肺肺气肿、肺大泡。5. 两肺散在片絮影及条索影,间质性改变,较前明显进展。6. 右肺下叶条样高密度影,支气管粘液栓?7. 肝脏多发低密度灶,考虑转移。8. 右肾囊肿。




病例二
病例分享专家
江苏大学附属医院肿瘤中心放疗科
江苏大学医学博士
镇江“金山英才”骨干博士
主持镇江市社会发展指导性课题1项
参与国自然1项
发表SCI论文十余篇
病例点评专家
江苏大学附属医院腹部肿瘤科科副主任
江苏大学附属医院放射治疗专业规培基地教学主任
江苏省医师学会精准医疗专业委员会肿瘤MDT学组委员
江苏省抗癌协会会员
江苏省免疫学会会员
江苏省免疫学会放射与免疫专业委员会员
江苏省肿瘤防治联盟第二届食管癌专家委员会委员
江苏省第二届医疗损害鉴定专家库成员
2016年德国Detmold地区医院、2019年北京大学第三医院进修
2018年新疆伊犁州伊宁市农四师医院援助放疗科工作
病例介绍
基本信息:患者男,68岁。
就诊经过:
现病史:
2025-02,患者因“咳嗽伴胸闷1周”于外院就诊,查胸部CT:左肺上叶软组织肿块(大小约4.3cm);左肺上叶癌性淋巴管炎可能;纵隔及左肺门淋巴结增大,恶性可能。
2025-02-10在外院行CT引导下肺穿刺活检,病理:(左上肺)非小细胞肺癌,倾向鳞癌,待免疫组化。
肺功能检查:肺通气功能中重度减退(混合性)。
2025-02-17,于我院行PET-CT示:1. 左肺上叶软组织团块伴FDG代谢增高,符合MT表现,请结合临床及组织学等其它检查;纵隔及左肺门小淋巴结伴部分FDG代谢增高,建议临床密切随诊复查,以便排除部分转移;左侧胸腔少量积液。2. 两肺微小结节,FDG代谢未见明显增高,建议HRCT随诊复查;两肺片絮及条索;左侧胸膜稍增厚;冠脉钙化及动脉粥样硬化。3. 结直肠条状FDG代谢增高,多系炎症或生理性摄取,必要时肠镜检查。4. 左侧股骨头疝窝;L2-4椎体不稳;脊柱退行性变;左侧肩关节周围炎症可能,请结合临床。5. 脑萎缩伴脑白质缺血性改变;左侧基底节区软化灶,请结合临床及MR检查。患者为行进一步诊疗来我院就诊,门诊拟“肺恶性肿瘤”收住我科。
临床诊断:非小细胞肺癌,T3N1M0
治疗经过:
放疗同步免疫联合化疗:
2025-02-21,排除禁忌后行静脉输液港置入术。
2025-02-21、03-19行TP方案化疗,具体为:白蛋白紫杉醇+顺铂。
2025-02-24起,联合信迪利单抗免疫治疗。
2025-02-25起,予肺癌病灶及相关淋巴引流区放疗P_GTV Dt 66Gy/30Fx。
疗效评估:
2025-03-11,患者放疗期间复查CT:左肺上叶MT复查:病灶范围较前缩小;两肺微小结节;两肺少许条索;左肺门及纵隔内结节样淋巴结;左侧胸腔少许积液(较前减少);左侧胸膜稍增厚;动脉硬化;附见:胆壁稍增厚。
2025-03-26,复查CT:左肺上叶MT复查:病灶范围较前片缩小;两肺微小结节;两肺少许条索;左肺门及纵隔内结节样淋巴结;左侧胸膜稍增厚;动脉硬化;附见:胆囊壁稍增厚。
疗效评估:PR。
2025-08-13,复查CT:1. 左肺上叶MT复查:病灶较2025-06-03局部稍缩小,斑片条索影较前增多;两肺微小结节,部分伴钙化(较前相仿);两肺少许条索;右肺肺大疱;左肺门及纵隔内结节样淋巴结(较前相仿);双侧胸膜稍增厚;动脉硬化;左侧膈膨升。2. 胃底部结节样增厚,建议结合胃镜及组织学检查;肝左叶一过性高灌注;胆壁稍增厚;右肾小囊肿;胃窦壁稍增厚;腹膜后结节样小淋巴结;附见:L2椎体轻度楔形变及双侧椎弓峡部裂,请结合MR;L2、3椎体不稳;L4-5椎间隙变窄。



病例三
病例分享专家
上海交通大学医学院附属同仁医院放疗科
上海市抗癌协会癌症康复与姑息治疗专委会青年委员
参与市局级课题2项
发表sci论文2篇
擅长头颈部肿瘤、胸部肿瘤的放疗
病例点评专家
上海交通大学医学院附属同仁医院放疗科
中国抗癌协会肿瘤超声治疗专业委员会青年委员
上海市抗癌协会多原发和不明原发肿瘤专业委员会委员
上海市抗癌协会癌症康复与姑息治疗专业委员会青年委员
上海市中西医结合学会肿瘤微创专业委员会委员
擅长实体肿瘤的规范化、个体化综合诊治
参与及主持国家自然科学基金及省市级科研课题多项
发表学术论文20余篇、其中SCI收录10余篇
获2015年上海科技进步奖三等奖
病例介绍
基本信息:患者男,73岁。
就诊经过:
现病史:
2023-03-29患者因“咳嗽伴痰中带血半年,发现左下肺占位3周”于外院就诊。
2023-03-30外院胸部CT:左下肺占位,纵隔淋巴结轻度肿大。
2023-03-31外院行支气管镜检查+组织活检。细胞涂片示:恶性肿瘤细胞,倾向鳞状细胞癌。组织病理示:左肺下叶鳞状细胞癌,分化II级。
2023-04-01脑MRI、骨ECT:未见明显肿瘤转移。
2023-04-03起外院行免疫联合化疗3周期,具体方案:替雷利珠单抗200mg静滴+白蛋白紫杉醇400mg静滴+卡铂550mg静滴d1,q3w。
2023-06-14外院在全麻下行单孔胸腔镜中转开胸左肺下叶切除术+淋巴结清扫+胸膜黏连松解术+胸腔闭式引流术。术后病理:肉眼所见:左肺下叶切除标本:17×14×8cm,标本切缘长12cm,支气管切端直径2.5cm,距支气管切缘2.1cm,见一结节,最大径约2cm,境界不清,灰白色,实质性,质硬。镜下所见:结节处纤维化改变,周围见慢性炎症细胞浸润,多核巨细胞反应,机化性肺炎改变,见少量肿瘤细胞。检出纵隔淋巴结5枚,未见癌转移(0/5)。
术后诊断:左肺下叶鳞癌 ypT1bN0M0 IA2期 PS1。后定期随访。
2024-10-27患者因“发现右肺占位性病变”在外院行CT引导下经皮穿刺活检+右肺中叶结节微波消融术。穿刺病理示:少量鳞状细胞癌。
2025-07-28患者复查CT提示右肺中叶结节较前增大,上叶新发病灶。遂于我院就诊。
临床诊断:左肺鳞癌术后右肺转移rTxN0M1a Ⅳa期 PS1
治疗经过:
放疗:
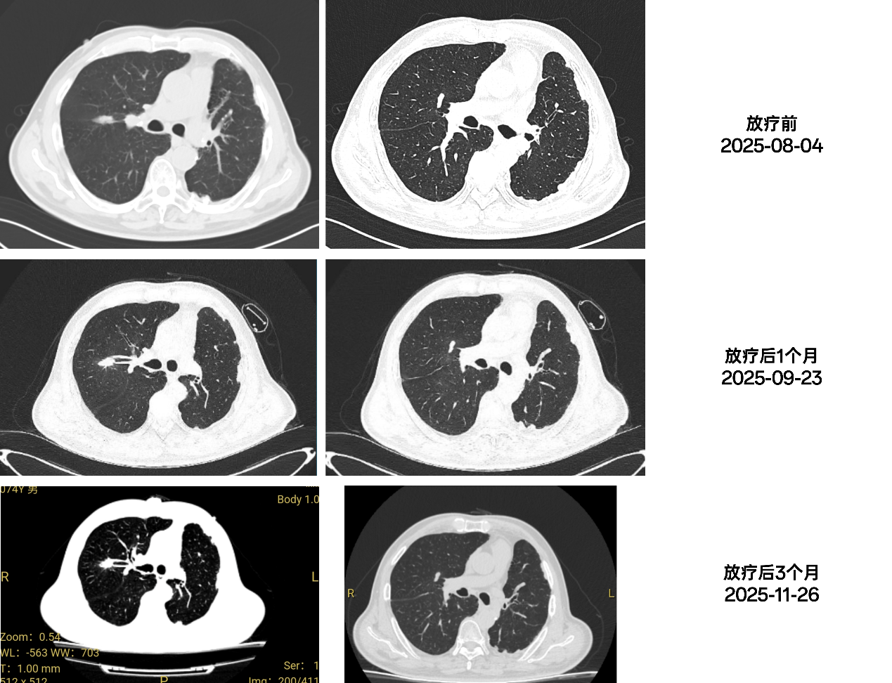
2025-08-06至2025-08-26,排除放疗禁忌后,行姑息性放疗,具体:肺上叶、中叶转移灶:60Gy/15FX,4Gy/FX,放疗期间联合甘氨双唑钠放疗增敏,予以雾化吸入止咳化痰,保肝等对症治疗。
疗效评估:
2025-09-23,放疗后1月,复查胸部CT:左肺术后改变,请结合临床病史。左肺胸膜下多发结节、钙化灶。右肺上叶结节,对比前片未见明显改变。右肺上叶多发磨玻璃结节。右肺中叶结节,对比前片略小,肺气肿、肺大泡。左侧胸膜及肋骨改变,主动脉及冠状动脉硬化性改变。
2025-11-26,放疗后3月,复查胸部CT:左肺术后改变,请结合临床病史。左肺胸膜下多发结节、钙化灶。右肺上叶结节,右肺中叶结节对比前片未见明显改变。肺气肿、肺大泡。左侧胸膜及肋骨改变,主动脉及冠状动脉硬化性改变。


总结:精准增敏,协同增效
本次分享的三例病例,其共同特点是病情复杂、分期较晚,且因高龄、肺功能减退或既往治疗毒性等因素,治疗选择面临严峻挑战。对于这类难以从靶向治疗中获益,或对高强度治疗耐受性差的患者,如何在保障安全的前提下提升疗效,成为临床决策的核心难题。
在上述病例中,放疗均作为关键的局部控制手段被广泛应用。然而,患者耐受性不佳限制了更高剂量放疗,基于这一痛点,三例患者均在放疗中联合应用了放疗增敏剂甘氨双唑钠,并借此成功实现了疾病的稳定好转。对于此类高龄、耐受性差的晚期肿瘤患者,在其综合治疗中,甘氨双唑钠作为高效、低毒的放疗增敏剂,可以在不显著增加毒副反应的前提下,有效提升放疗的局部控制。
甘氨双唑钠作为国内唯一获批的放射增敏剂,适用于对头颈部肿瘤、食管癌、肺癌等实体肿瘤进行放射治疗的患者,其在多部指南中推荐为一种高效低毒的放疗增敏剂,并已进入新版国家医保。除对放疗增敏外,近年来甘氨双唑钠在免疫微环境中的调控作用也受到越来越多关注,其与免疫治疗等系统治疗产生协同作用,为未来“放疗+增敏剂+免疫”的联合模式提供了广阔前景[6-8]。
1. CSCO非小细胞肺癌诊疗指南(2024版)
2.陈光辉,闫慧,孙长义,等. 非小细胞肺癌患者癌组织和血浆中microRNA-21的表达及意义[J].临床检验杂志,2014,32:652-655.
3.重庆医科大学学报,2009,34( 8) :1108-1111
4.甘氨双唑钠研究论文集[C],2001:4-26.
5.肿瘤防治研究,2009,36( 7) :606-608.
6.Min X, et al. J Cancer. 2019 Jan 1;10(2):305-312
7.魏民,等. 国际肿瘤学杂志,2018,45(12):727-730.
8. Li L, et al. Bioengineered. 2021 Dec;12(1)1066-1077
排版编辑:肿瘤资讯-Yu






苏公网安备32059002004080号