肺腺鳞癌(ASC)是一种同时包含腺癌及鳞癌2种病理成分(比例均≥10%)的罕见的原发性肺癌,约占所有肺癌的2%~3% [1]。相较于单纯的肺腺癌(ADC)或肺鳞癌(SCC),ASC侵袭性更强,更易发生血管、脉管及胸膜侵犯及远端转移,患者确诊时多处于中晚期,预后不佳[1,2]。本病例聚焦于一位老年晚期ASC患者。该患者在初诊时已多发转移,一线采用免疫联合抗血管生成联合方案治疗,疗效达到部分缓解(PR)。但治疗1年后,患者因反复出现免疫相关性皮疹而停用免疫检查点抑制剂(ICI)。随后,经临床讨论,患者转为接受长春瑞滨软胶囊节拍化疗联合抗血管生成治疗8个周期,并序贯以长春瑞滨软胶囊节拍化疗长期维持。至今,患者疗效维持PR,生活质量良好,为晚期ASC的临床治疗提供了新的策略与思路。
特邀嘉宾
病例分享专家
天津市第四中心医院肿瘤科
天津市整合医学学会肿瘤心血管病专业委员会常务委员
天津市整合医学学会转化医学专业委员会常务委员
中国医药教育协会转化医学专家委员会委员
天津市医师协会心血管内科医师分会肿瘤心脏病学专家委员会委员
天津市抗癌协会癌症康复与姑息治疗专业委员会委员
天津中西医结合学会介入医学专业委员会委员
天津市医疗健康学会第一届代谢与营养专业委员会委员
天津市中西医结合学会第二届循证医学专委会委员
天津市整合医学会结直肠与肛周病专业委员会委员
北京医学奖励基金会肺癌医学青年专家委员会委员
病例点评专家
天津医科大学肿瘤医院
生物治疗科、副教授、硕士生导师
北京协和医学院、清华大学,博士学位
美国City of Hope医学癌症中心博士后
国家自然科学基金评审专家
天津医科大学肿瘤医院中青年创新领军人才
中国民族卫生协会常委
中国抗癌协会肿瘤微环境专委会常委
中国抗癌协会罕见肿瘤和罕见突变专委会常委
天津抗癌协会肿瘤免疫治疗专委会候任主委
天津市健康教育协会肺部肿瘤专委会副主委
北京整合医学会肺癌专委会副主委
天津抗癌协会妇瘤专委会常委
天津抗癌协会靶向药物专委会常委
天津抗癌协会食管癌专委会常委
主持国家自然科学基金面上项目多项、国家科技支撑计划
项目及重大慢病防控研究项目骨干成员各1项
以第一作者发表NCB、 STTT 、CCR、CR等10余篇
病例介绍
患者男性,初诊年龄76岁,农民。主诉“确诊右肺癌40余天,发现左下腹包块1月”。
现病史:2019年11月,患者因间断胸闷,至外院就诊,查体发现右肺及左下腹占位,行支气管镜活检病理提示,结合免疫组化结果,倾向腺鳞癌,后未系统治疗。现来我院就诊,体格检查示:胸廓对称、无畸形,双侧呼吸动度一致,双侧语颤正常,无胸膜摩擦感,双肺叩诊呈清音,双肺呼吸音粗,右肺可闻及局部痰鸣音;腹平坦,对称,左下腹可触及一大小约8×3cm包块,质软,边界不清,活动度差,触痛阳性;余无显著异常。
既往史:既往有2型糖尿病病史,平素口服阿卡波糖 50mg tid 随餐,病情控制稳定;否认冠心病、高血压等病史。
个人史及家族史:否认吸烟史,否认肿瘤及其他家族性遗传性病史。
辅助检查:
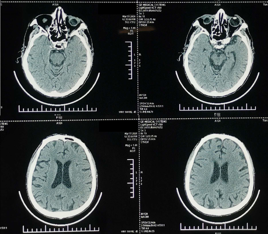
2020-01-10 胸部CT(图1):符合右肺癌伴肺门及纵隔淋巴结转移;考虑右肺下叶基底段阻塞性炎症改变及充气不良;考虑右肺下叶背段肺不张;右肺下叶癌性淋巴管炎不除外;考虑右中叶陈旧病变可能大;两侧肺气肿、多发肺气囊;右下叶基底段支气管痰栓;右侧胸膜病变,转移不除外;右侧胸腔积液;肝脏囊肿;考虑双侧肾上腺转移;腰1骨转移不除外。



2020-01-13 全腹CT(图2):两侧肾上腺多发结节影,考虑转移瘤;两侧肾上腺多发结节影,考虑转移瘤;左侧肾周软组织密度微小结节影,不除外转移;左侧髂骨翼髋关节前内侧较大团状混杂密度影,考虑转移;左侧髂骨翼、胸12椎体局部骨质吸收破坏,考虑转移;腹腔内、腹膜后、盆腔及两侧腹股沟多发小淋巴结。


2020-01-13头部CT(图3):未见明显异常。

2020-01-12 腹股沟彩超:左侧下腹部低回声肿物(8.3×3.2cm),与左侧腹股沟区区别困难;右侧腹股沟区未见明显占位性病变。
2020-01-10肿瘤标记物:角蛋白-19片段(CYFRA21-1) 9.98ng/ml,神经元特异性烯醇化酶25.25ng/ml。
穿刺活检病理:支气管粘膜及粘膜下组织,其中见癌组织,非小细胞肺癌,结合免疫组化结果倾向腺鳞癌。
免疫组化结果:CD56(个别+)、CK5/6(+)、CK7(+)、NapsinA(-)、P40(个别+)、P63(-)、Syn(-)、TTF-1(-)。特殊染色:网状纤维染色(-)。
基因检测结果:PD-L1:TPS 95%,未检测出EGFR、ALK等基因突变。
心脏彩超、心功能、肝肾功能、甲状腺功能、自身免疫抗体等化验检查无显著异常。
临床诊断:
原发性支气管肺癌(腺鳞癌 cT4N2M1c ⅣB期) ECOG 1分右肺门、纵膈淋巴结转移;骨转移;肾上腺转移;胸膜转移;左下腹软组织转移
癌性淋巴管炎
2型糖尿病
胸腔积液
治疗过程及疗效评价
2020年1月15日至2021年2月5日,行15周期的免疫联合抗血管生成治疗。具体治疗方案为:卡瑞利珠单抗 200mg ivd qd(Q3W)+恩度 15mg×14 静脉持续泵入(Q3W)。
疗效评定:PR。
2021年3月4日,患者进行第16次免疫治疗时,局部出现红色大块状丘疹,伴颜面部发红、局部瘙痒,无刺痛、烧灼样等异常感觉。立即暂停卡瑞利珠单抗治疗,并予地塞米松10mg静脉注射。持续观察皮疹无进一步加重蔓延趋势,约20分钟后皮疹逐渐消退。考虑患者为G2级皮肤毒性,再次应用地塞米松10mg 静脉注射 qd 2天,皮疹完全消失,患者出院。

鉴于患者良好的临床治疗效果,向患者及家属再次交待免疫检查点抑制剂相关毒性反应并再次签署相关知情同意书,2021-04-02再次使用卡瑞利珠单抗。输注约10分钟后患者再次局部出现红色大块状丘疹,伴颜面部发红,伴局部瘙痒,无刺痛、烧灼样等异常感觉。立即予以暂停使用卡瑞利珠单抗,并予以地塞米松10mg静脉注射。持续观察皮疹无进一步加重蔓延趋势,约20分钟后皮疹逐渐消退。考虑患者为G2级皮肤毒性,再次应用地塞米松10mg 静脉注射 qd 2天,皮疹完全消失,患者出院。

卡瑞利珠单抗联合恩度治疗满1年后,因连续2次使用ICIs后出现皮肤毒性反应,建议停用。鉴于患者病情稳定,建议继续维持治疗,患者年龄较大,拒绝进行静脉化疗。
维持治疗:
2021年4月至2022年1月,予长春瑞滨软胶囊40mg po tiw+恩度 15mg×14 静脉持续泵入(Q3W)治疗8周期,此后长春瑞滨软胶囊维持治疗至今。
疗效评定:维持PR。
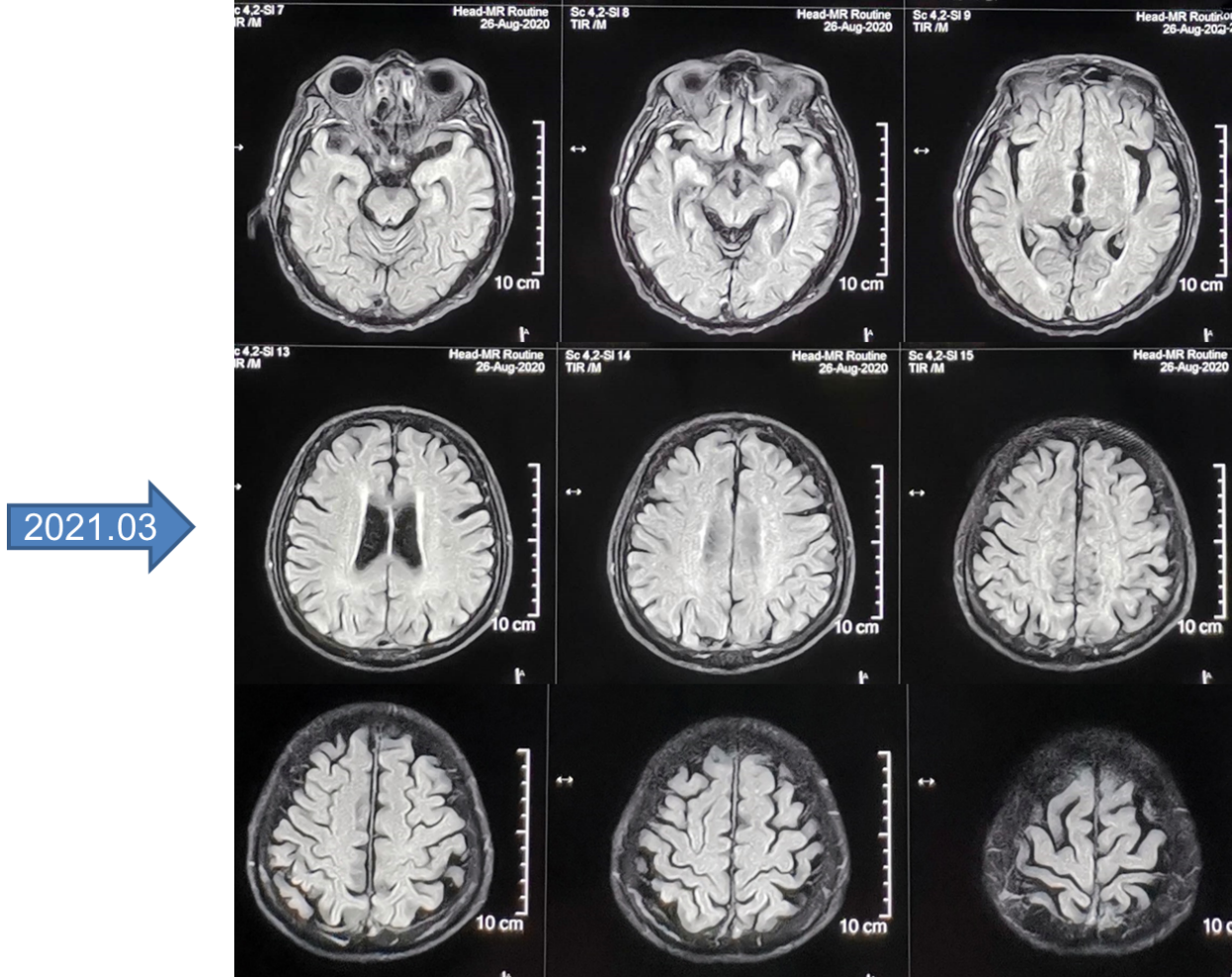
治疗过程中的影像学检查结果如下图:


病例点评
刘亮教授:本病例为一位初诊76岁男性患者,因“确诊右肺癌40余天,发现左下腹包块1月”就诊。该患者最终确诊为晚期ASC,其PD-L1 TPS高达95%,但发现靶向治疗相关的驱动基因突变。鉴于血管生成在肿瘤进展中的关键作用,并充分考虑该患者的独特临床特征,临床制定了个体化治疗方案,并取得了令人鼓舞的疗效,为晚期ASC的临床治疗提供了新的思路和有价值的参考。
在诊断方面,患者于外院行支气管镜活检病理提示腺鳞癌,但未系统治疗。后为求进一步诊治转入我院,经完善胸部CT、全腹CT、头颅CT等影像学检查,并结合穿刺活检、免疫组化及基因检测,最终明确诊断为原发性支气管ASC,伴右肺门、纵隔淋巴结转移,以及骨、肾上腺、胸膜、左下腹软组织等多发转移。
在治疗方面,目前尚无针对ASC的标准治疗方案。作为非小细胞肺癌(NSCLC)的一种罕见亚型,其治疗策略主要参考NSCLC指南,但相关疗效数据有限[3]。对于驱动基因阴性、PD-L1表达阳性(≥1%)的NSCLC患者,推荐免疫治疗或免疫治疗联合化疗作为一线选择[4]。KEYNOTE-024、KEYNOTE-042等多项研究已证实,免疫治疗在PD-L1 TPS≥50%的晚期NSCLC患者中疗效显著[5-7]。CameL 研究[8]、 CameL-sq 研究[9]结果显示,国产原研PD-1抑制剂卡瑞利珠单抗联合方案用于晚期非鳞和鳞状 NSCLC一线治疗,可以为患者带来长生存获益。值得注意的是,抗血管生成药物与免疫检查点抑制剂具有协同增效潜力。研究表明,重组人血管内皮抑制素可促使肿瘤血管正常化,改善肿瘤免疫微环境,促进抗肿瘤免疫应答,减缓肿瘤生长速度[10-12]。
基于上述循证医学证据,并结合患者PD-L1高表达等病情及经济条件等因素,一线治疗给予免疫联合抗血管生成治疗。治疗过程中,复查胸部CT,可见病灶逐渐缩小。但联合治疗1年后,患者连续两次在使用ICIs后出现皮肤毒性,遂停用ICIs。此时患者病情稳定,但拒绝静脉化疗。因此,寻找一种高效、低毒且便捷的口服维持治疗方案成为临床首选。
不同于传统化疗,节拍化疗通过低剂量、高频率、持续给药,将药物靶点由癌细胞转移至敏感的肿瘤新生血管内皮细胞,从而高效抑制肿瘤血管生成。因其治疗指数较高,且安全性好,尤其适用于晚期不能耐受化疗的老年患者[13-16]。长春瑞滨是节拍化疗的理想药物[13],MOVE研究证实[17],在纳入的43例年龄>70岁、PS评分0-2分、未经化疗的进展期(ⅢB-Ⅳ)NSCLC患者中,口服长春瑞滨节拍治疗的客观缓解率(ORR)为18.6%,临床获益率(CBR)为58.1%,中位无进展生存期(mPFS)达5个月,中位总生存期(mOS)达9个月,且患者耐受良好,3-4度毒性反应发生率几乎为零。且口服剂型在保证疗效、降低不良事件发生率的同时,可以减少住院时间,减轻经济负担,避免注射相关并发症,从而显著提高老年患者接受规范有效治疗的依从性,进而延长OS[13-16]。
更重要的是,节拍化疗与抗血管生成治疗在延缓耐药、增强免疫及抑制转移方面具有协同效应[16]。我国一项随机、双盲、对照、多中心研究证实,重组人血管内皮抑素恩度联合长春瑞滨及顺铂,较单纯化疗能显著改善NSCLC患者的中位疾病进展时间(TTP)(6.3个月 vs 3.6个月)及生存质量[18]。另一项国内开展的随机、双盲、对照、多中心临床研究纳入了493例初治或经治的Ⅲ期/Ⅳ期NSCLC患者,并随机分配至长春瑞滨和顺铂联合重组人血管内皮抑制素(YH-16)(试验组)与NP联合安慰剂(对照组)治疗。最终结果显示[19],试验组的OS为14.87个月,显著优于对照组的9.9个月(P=0.0000)。
综合考量患者的年龄、身体状况及治疗需求,临床给予长春瑞滨软胶囊节拍化疗联合恩度抗血管生成治疗。进行8个周期的联合治疗后,序贯长春瑞滨软胶囊节拍化疗长期维持。该方案取得了令人满意的成果:患者疗效持续维持PR,未出现新发转移(如颅内转移),生活质量良好。截至目前,患者已超过60个月(末次随访时间:2025年3月)未进展,为晚期ASC患者的长期生存提供了宝贵的临床经验和新的希望。
[1]Tomoyuki Hishida, Jiro Okami, Hisao Asamura, et al. Clinicopathological Features and Survival Outcomes of Resected Lung Adenosquamous Carcinoma: Results From a Nationwide Japanese Registry Data. Clin Lung Cancer. 2024 Sep;25(6):519-528.e3.
[2]王秋桐,陈玲,杨艳梅,等.肺腺鳞癌患者预后影响因素分析[J].现代肿瘤医学,2024,32(06):1048-1054.
[3]赵帅, 宋英健, 彭笑怒. 肺腺鳞癌的分子起源与临床诊疗研究进展[J/OL].肿瘤学杂志,1-8[2025-11-29].https://link.cnki.net/urlid/33.1266.r.20251105.0732.002.
[4]中华医学会肿瘤学分会. 中华医学会肺癌临床诊疗指南患者版(2024版)[J]. 中华肿瘤杂志, 2025, 47(1): 26-38. DOI: 10.3760/cma.j.cn112152-20241024-00464.
[5]Akito Hata, Taira Ninomaru, Hideaki Okada, et al. Radiotherapy-free pembrolizumab combined with chemotherapy for locally advanced non-small-cell lung cancer with PD-L1 tumour proportion score of 50% or higher (Evolution trial): a multicentre, single-arm, phase 2 study. Lancet Oncol. 2025 Nov;26(11):1432-1442.
[6]Reck M, Rodríguez-Abreu D, Robinson AG, et al. Pembrolizumab versus Chemotherapy for PD-L1-Positive Non-Small-Cell Lung Cancer. N Engl J Med. 2016 Nov 10;375(19):1823-1833. doi: 10.1056/NEJMoa1606774.
[7]Mok TSK, Wu YL, Kudaba I, et al. Pembrolizumab versus chemotherapy for previously untreated, PD-L1-expressing, locally advanced or metastatic non-small-cell lung cancer (KEYNOTE-042): a randomised, open-label, controlled, phase 3 trial. Lancet. 2019 May 4;393(10183):1819-1830. doi: 10.1016/S0140-6736(18)32409-7.
[8]Zhou C, et al. Camrelizumab plus carboplatin and pemetrexed as first-line therapy for advanced non-squamous non-small-cell lung cancer: 5-year outcomes of the CameL randomized phase 3 study. J Immunother Cancer. 2024 Nov 27;12(11):e009240.
[9]Zhou C, et al. Camrelizumab plus chemotherapy (Cam-chemo) as first-line (1L) therapy for advanced squamous non-small-cell lung cancer (sqNSCLC): 5y update from the phase 3 CameL-sq trial.2025 ELCC. 12P.
[10] Peng Q, Li M, Wang Z, et al. Polarization of tumor-associated macrophage is associated with tumor vascular normalization by endostatin[J]. Thoracic cancer, 2013, 4(3):295-305.
[11] Liang J, Liu X, Xie Q, et al. Endostatin enhances antitumor effect of tumor antigen-pulsed dendritic cell therapy in mouse xenograft model of lung carcinoma[J]. Chinese journal of cancer research = Chung-kuo yen cheng yen chiu, 2016, 28(4):452-60.
[12] 姜运峰, 董晓鹏, 赵小刚. PD-1单克隆抗体联合血管内皮抑素在Lewis肺癌小鼠的抗肿瘤效应[J]. 山东大学学报(医学版), 2018,56(09):11-16.
[13] 祝情情, 谢超, 宋宝, 等. 节拍化疗在晚期非小细胞肺癌治疗中的应用[J]. 国际肿瘤学杂志, 2019, 46(6):4.DOI:10.3760/cma.j.issn.1673-422X.2019.06.013.
[14] Browder T, Butterfield CE, Kräling BM, et al. Antiangiogenic scheduling of chemotherapy improves efficacy against experimental drug-resistant cancer. Cancer Res. 2000 Apr 1;60(7):1878-86.
[15] Cem, Simsek, Ece, et al. Metronomic Chemotherapy: A Systematic Review of the Literature and Clinical Experience[J].Journal of Oncology, 2019.DOI:10.1155/2019/5483791.
[16] Jie Ma, David J Waxman. Combination of Anti-angiogenesis with Chemotherapy for More Effective Cancer Treatment. Mol Cancer Ther. 2008 Dec;7(12):3670–3684.
[17] Andrea Camerini , Cheti Puccetti , Sara Donati ,et al. Metronomic oral vinorelbine as first-line treatment in elderly patients with advanced non-small cell lung cancer: results of a phase II trial (MOVE trial).BMC Cancer . 2015 May 6;15:359.
[18] 江舟, 陈建华. 肺癌抗血管生成治疗:现状,进展与困惑[J]. 中国肺癌杂志, 2022, 25(4):9.
[19]王金万, 孙燕, 刘永煜, 等. 重组人血管内皮抑素联合NP方案治疗晚期NSCLC随机、双盲、对照、多中心III 期临床研究. 中国肺癌杂志, 2005, 8(8): 283-290.] doi: 10.3779/cjlc. v8i4.1926.
排版编辑:肿瘤资讯-黄洋洋






苏公网安备32059002004080号