您好,欢迎您

万例挑一|精准打击,长效抑制,三代EGFR-TKI贯穿NSCLC治疗全程带来长生存获益!

2025年11月17日

前言

中国医药教育协会发起“万例挑—”肺癌靶向治疗多学科优秀病例菁英秀,通过一系列肺癌治疗案例分享,共同探讨肺癌规范化治疗,为广大患者带来福音。本次案例源自2024年7月在广州场举办活动中的一例优秀病例。该案例聚焦于一名表皮生长因子受体(EGFR)敏感突变阳性晚期肺腺癌伴脑转移的患者,经过伏美替尼一线治疗获得显著疗效,获得性耐药(MET扩增)后加用谷美替尼治疗疾病再次得到控制,最终获得超35个月总生存期(OS)。此病例特邀福建省福州肺科医院胡颖教授分享,建省福州肺科医院石琴教授对该病例进行深度剖析与点评,为EGFR突变晚期非小细胞肺癌(NSCLC)的临床实际应用提供参考。


患者治疗经过




病例思考


胡颖医生

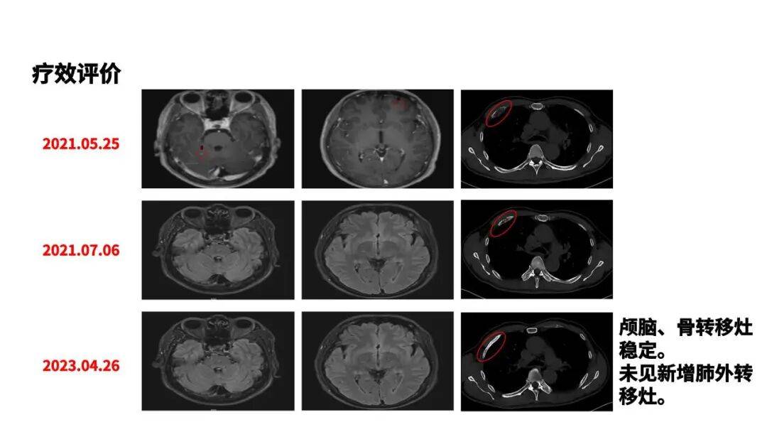
该例EGFR突变晚期NSCLC合并脑转移和骨转移患者,一线接受第三代EGFR-TKI伏美替尼(80mg QD)治疗,疗效达PR,无进展生存期(PFS)长达23个月。但考虑该患者存在诸多预后不良因素,预后较差,强效治疗药物与联合方案可有效改善病情,故缓慢进展后联合安罗替尼控制病灶,由于不可避免的EGFR-TKI耐药,再次活检发现患者继发MET扩增,患者二线接受伏美替尼联合谷美替尼治疗,疗效达部分缓解(PR),但因谷美替尼治疗出现不良反应,自行停药至今。


该例患者的治疗体现了伏美替尼贯穿全程治疗EGFR突变晚期NSCLC使患者得到长生存获益,且治疗过程中伏美替尼安全性良好。


病例点评


 石琴教授




基线低迷,一线第三代EGFR-TKI

实现强势逆袭



本例患者肿瘤异质性强,基线合并有脑转移、携带EGFR L858R突变、TP53突变以及PD-L1表达弱阳性等诸多预后不良因素。基于指南推荐[1],一线治疗为患者选用了伏美替尼。临床研究数据也为该治疗方案提供了有力佐证,FURLONG研究[2,3]显示,伏美替尼一线治疗EGFR敏感突变可显著延长患者PFS至20.8个月,对基线有脑转移患者效果亦明显,且安全性良好,正契合该患者需求。治疗后,该例患者疗效评估为PR,PFS达到了23个月,且颅脑转移灶稳定,且该例患者在接受长期治疗过程中未出现不良反应。但该例患者随后出现缓慢进展,更强效的联合治疗方案或能突破瓶颈,遂加用安罗替尼,结果显示亦获得优秀疗效,联合治疗9周期后疗效达SD。但随着治疗时间的拉长,EGFR-TKI耐药情况难以避免,为延长患者生存期并提高生活质量,如何调整后续治疗方案至关重要。





突破EGFR-TKI耐药困境,双靶联合治疗带来长生存希望



EGFR-TKI耐药是难以避免的临床和科学难题,目前,对于既往经三代EGFR-TKI治疗耐药后检出耐药靶点的患者,首先推荐在先前EGFR-TKI基础上联合耐药分子对应的靶向药物[4]。MET扩增是第三代EGFR-TKI常见的耐药机制[4],多项前瞻性和回顾性研究已经证实,在EGFR-TKI治疗后进展,且伴有MET扩增/过表达的患者中,使用EGFR-TKI联合MET-TKI的有效性[5]。该例患者在耐药后发现MET扩增,经讨论,二线治疗为该患者采用伏美替尼联合小分子MET抑制剂谷美替尼,疗效达PR,但因谷美替尼治疗出现头痛、胃肠道反应、乏力、纳差等不良反应,患者自行停药至今,总生存期超35个月。可见,即使在出现MET扩增导致的耐药性情况下,伏美替尼作为治疗方案的一部分,持续抑制EGFR通路,从一线治疗开始并贯穿整个治疗过程,仍然为患者带来了长期的生存获益。





未来已来:第三代EGFR-TKI治疗新纪元,联合疗法潜力无限



该例患者合并脑转移和骨转移、携带EGFR L858R突变、TP53突变以及PD-L1表达弱阳性等诸多预后不良因素,肿瘤异质性强,对于此类肿瘤异质性强的患者,强效的联合治疗方案或为优选,但随之而来的安全性风险不容忽视。伏美替尼凭其强大的抗肿瘤效果与良好的安全性,在联合方案中表现优异,为此类患者实现长生存带来了新希望。当前,伏美替尼联合含铂双药化疗的试验正在进行中,用于评估EGFR敏感突变NSCLC伴脑转移患者一线使用伏美替尼的疗效与安全性,有望为其提供更优的治疗方案。此外,RC108(新型抗MET偶联药物)联合伏美替尼或联合伏美替尼和特瑞普利单抗,以治疗MET表达的EGFR-TKI治疗失败的局部晚期或转移性EGFR突变NSCLC患者的相关临床研究也正在进行中,期待未来更多联合手段的出现,助力EGFR阳性NSCLC治疗更进一步。



病例分享


左右滑动查看更多



病例提供专家


胡颖 医生

  • 福建省福州肺科医院肿瘤内科 主治医师、硕士研究生

  • 中国抗癌协会 肿瘤临床药学分会会员

  • 福建省精准医学科技协会会员

  • 2022年度福建省“最美医师”


病例点评专家


石琴 教授

  • 福建省福州肺科医院 主任医师  副院长

  • 中国临床肿瘤学会(CSCO)非小细胞肺癌专家委员会委员

  • 中国抗癌协会第二届肿瘤药物临床研究专业委员会 委员

  • 中国医疗保健国际交流促进会胸部肿瘤分会委员

  • 中国医药教育协会介入微创呼吸分会常务委员

  • 福建省抗癌协会肿瘤内科分会委员

  • 福建省癌痛姑息委员会青年委员

  • 福建省海峡肿瘤防治科技交流协会委员

  • 福建省医务志愿者协会医学康复与治疗服务专业委员会常务委员

  • 福州市医学会肿瘤分会副主任委员

  • 福州市抗癌协会第四届理事会理事






参考文献:(向上滑动阅览)

[1] 中国临床肿瘤学会.CSCO非小细胞肺癌临床指南2024年版.

[2] Shi Y, Chen G, Wang X, et al. Furmonertinib (AST2818) versus gefitinib as first-line therapy for Chinese patients with locally advanced or metastatic EGFR mutation-positive non-small-cell lung cancer (FURLONG): a multicentre, double-blind, randomised phase 3 study. Lancet Respir Med. 2022;10(11):1019-1028. 

[3] Shi Y, Chen G, Wang X, et al. Central Nervous System Efficacy of Furmonertinib (AST2818) Versus Gefitinib as First-Line Treatment for EGFR-Mutated NSCLC: Results From the FURLONG Study. J Thorac Oncol. 2022;17(11):1297-1305.

[4] 李咏生,孙建国,李梦侠,等.第三代FCFR-TKI 耐药后珍疗策略专家共识[J/CD].中华肺部疾病杂志(电子版),2023, 16(2):145-155.

[5] Mi J, Huang Z, Zhang R, et al. Molecular characterization and clinical outcomes in EGFR-mutant de novo MET-overexpressed advanced non-small-cell lung cancer. ESMO Open. 2022;7(1):100347. doi:10.1016/j.esmoop.2021.100347


编辑:Eureka

排版:Yian

执行:Faline








评论
2025年11月17日
陈州华
湘潭市第二人民医院 | 肿瘤科
精准打击,长效抑制,三代EGFR-TKI贯穿NSCLC治疗全程带来长生存获益!