您好,欢迎您

IF13.5 | 复旦中山医院团队揭示肌氨酸增敏化疗机制,天然分子有望成为肺腺癌治疗新选择!

2025年11月06日
来源:吉凯基因


近日,复旦大学附属中山医院团队在《Experimental Hematology & Oncology》发表研究,探讨了内源性代谢物 肌氨酸 在肺腺癌治疗中的作用。研究显示,肌氨酸可能通过双重机制激活铁死亡,从而增强肺腺癌细胞对常用化疗药顺铂的敏感性。


研究背景

克服化疗耐药的新探索

肺腺癌作为非小细胞肺癌的主要亚型,其治疗常因化疗耐药而面临挑战。铁死亡作为一种铁依赖性、以脂质过氧化为特征的细胞死亡方式,被认为是克服耐药性的潜在突破口。

核心发现


肌氨酸作为铁死亡的增敏剂

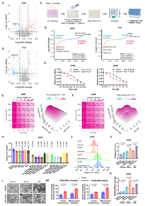
1.初步筛选与验证

通过对大量内源性代谢物进行筛选,研究者发现肌氨酸能显著提高肺腺癌细胞对铁死亡诱导剂的敏感性。在细胞实验中,肌氨酸与顺铂联用表现出协同效应,且该效应可被铁死亡特异性抑制剂所逆转。



2. 双重作用机制

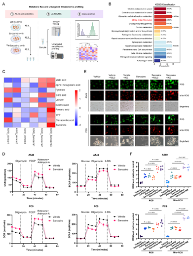
机制一:增强线粒体氧化应激

研究表明,肌氨酸能直接与代谢关键酶PDK4结合,抑制其活性,进而解除其对丙酮酸脱氢酶(PDH)的抑制作用。这促使细胞代谢从糖酵解转向氧化磷酸化,导致线粒体内活性氧(ROS)水平升高,为铁死亡创造了条件。


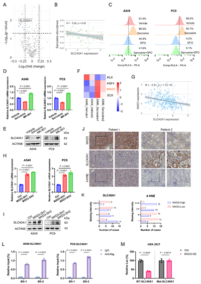
机制二: 抑制细胞内铁离子外排

肌氨酸作为NMDA受体的共激动剂,可激活NMDA受体,进而上调转录因子MXD3。MXD3能够抑制铁外排蛋白SLC40A1的表达,导致细胞内铁离子蓄积,满足了铁死亡发生的另一关键条件。





临床前证据支持

患者数据关联

对肺腺癌患者的分析显示,肿瘤内或血清中肌氨酸水平较高的患者总生存期更长,尤其在接受含顺铂化疗的患者中趋势更为明显。

类器官模型验证

在患者来源的肺腺癌类器官中,肌氨酸同样增强了顺铂的疗效。而当人为干扰上述信号通路时,此增敏作用减弱。

动物实验证实

在移植瘤模型中,口服肌氨酸联合顺铂治疗,表现出更强的肿瘤生长抑制能力。


总结与展望

该研究首次系统揭示了肌氨酸通过PDK4-PDHA1与NMDAR-MXD3-SLC40A1两条平行通路协同促进铁死亡的作用机制。鉴于肌氨酸是人体内天然存在的分子,且作为膳食补充剂已有一定的安全性数据,本研究为其作为化疗增敏剂的临床转化提供了新的科学依据和前景。

未来,需要进一步在免疫健全的模型中进行研究,并推动相关的临床转化工作,以评估其在肺腺癌患者中的实际应用价值。



文献来源:

Shan et al. Sarcosine sensitizes lung adenocarcinoma to chemotherapy by dual activation of ferroptosis via PDK4/PDHA1 signaling and NMDAR-mediated iron export. Exp Hematol Oncol 14, 60 (2025).
https://doi.org/10.1186/s40164-025-00657-0


免责声明
本文仅供专业人士参看,文中内容仅代表吉凯基因订阅号立场与观点,不代表肿瘤资讯平台意见,且肿瘤资讯并不承担任何连带责任。若有任何侵权问题,请联系删除。