您好,欢迎您

【JMC】一种新型PROTAC化合物在乳腺癌治疗中的潜力

2025年09月29日
来源:蛋白质降解技术

近日,来自大阪大学的Takayoshi Suzuki 教授团队在《Journal of Medicinal Chemistry》上发表了一篇题为《A Novel PROTAC G9a/GLP Degrader that Inhibits, Similar to G9a siRNA, the Migration of MCF-7 Breast-Cancer Cells without Affecting Proliferation》的文章。该研究团队开发了一种基于RK-701的新型G9a/GLP PROTAC化合物4,该化合物通过PEG连接子将RK-701与VHL配体偶联,实现了对G9a/GLP的高效、选择性降解,同时继承了RK-701的低毒性特性,解决了传统喹唑啉类G9a/GLP抑制剂和PROTAC的毒性问题。 

图1

组蛋白甲基转移酶G9a(EHMT2)及其同源蛋白G9a样蛋白(GLP,EHMT1)是表观遗传调控网络中的核心分子,二者通过对组蛋白H3第9位赖氨酸(H3K9)的甲基化修饰,进而调控细胞的多种生物学过程。

在癌症研究中,G9a/GLP的异常表达与癌症的发生、发展和转移密切相关。目前已报道的G9a/GLP PROTAC均以喹唑啉类的低毒性抑制剂(如 RK-701)为靶蛋白配体,虽能有效降解G9a/GLP,在多种癌症模型中展现出治疗潜力,但由于喹唑啉骨架的固有毒性,这些 PROTAC仍存在对正常细胞的损伤风险,未能解决传统抑制剂的核心缺陷。

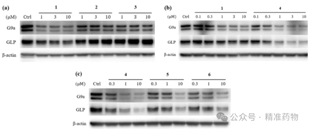
基于此,研究团队以低毒性G9a/GLP抑制剂RK-701为核心,设计并合成了 6种PROTAC候选化合物。通过Western blot分析他们评估了其在MCF-7乳腺癌细胞中对G9a/GLP水平的影响,结果发现化合物4具有更优异的降解活性和理化性质。

图2


图3. 在指定浓度下用各种PROTAC候选药物处理24小时后MCF-7细胞中G9a和GLP水平的蛋白质印迹分析:(a)基于烷基接头的比较1-3;(b)烷基接头基1号和PEG接头基4号的比较;(c)基于PEG接头的比较4-6。

随后,为了全面评估化合物4的降解活性,研究团队开展了剂量依赖性和时间依赖性实验。实验结果显示化合物4对G9a的降解选择性约为GLP的2.9倍;同时,化合物4对G9a和GLP的最大降解率(Dmax)分别达到了89%和71%,展现出高效的降解能力。此外,他们发现化合物4同时具有长效的降解活性,这使其在长期细胞实验和潜在临床应用中具有优势。

tHDA7JGxlZVFd8f4kpDtGGyOpvOhmHcP.png

图4. MCF-7细胞中G9a/GLP水平的蛋白质印迹检测:(a)一定浓度的化合物4处理24小时后;(b)3μM化合物4处理一定时间后。

接下来,为明确化合物4的降解机制,研究团队开展了一系列实验。首先,他们发现,只有使用化合物4(RK-701与VHL配体的偶联物)处理细胞,才能有效降解靶蛋白,表明靶蛋白配体与E3配体的偶联是降解活性的前提。其次,在竞争结合实验中,证实了化合物4通过RK-701结构域与G9a结合,通过VHL配体结构域与VHL结合,符合PROTAC的双功能结合特性。最后,使用蛋白酶体抑制剂硼替佐米预处理细胞1.5小时后,化合物4诱导的G9a/GLP 降解被完全阻断,证明化合物4通过泛素-蛋白酶体系统(UPS)实现对G9a/GLP的降解,符合PROTAC的经典作用机制。 

图5. 用供试化合物处理的MCF-7细胞中G9a和GLP水平的Western blot检测:(a)用化合物4,RK-701,VHL配体处理24 h,用RK-701和VHL配体共处理;(b) 在 RK-701 和 VHL 配体存在下用化合物 4 处理 24 小时;(c)在蛋白酶体抑制剂硼替佐米存在下用化合物4处理22.5小时。用硼替佐米预处理细胞1.5小时,然后加入化合物4。

紧接着,为了验证化合物4的选择性,研究团队对经3 μM化合物4处理24小时的MCF-7细胞进行了全蛋白质组分析,并与传统喹唑啉类PROTAC(MS8709)进行对比。结果证明化合物4具有极高的靶向选择性。与此同时,研究者们进行了细胞活力检测实验,结果证实化合物4继承了RK-701的低毒性特性,解决了传统喹唑啉类PROTAC的毒性问题。

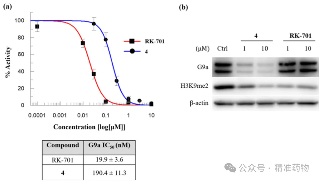
图6.与此同时,他们研究了化合物4对G9a催化活性的抑制作用,结果证明化合物4 有效抑制G9a的催化功能。

图7.化合物4的G9a抑制活性评估:(a)RK-701和化合物 4 体外G9a抑制;(b)蛋白质印迹检测用指定浓度的测试化合物处理的MCF-7细胞中G9a和H3K9me2水平72小时。

最后,为进一步探索化合物4对细胞表型的影响,研究团队对比了其与G9a siRNA的效应。细胞活力实验显示,G9a siRNA(10-50nM)或化合物4(0.1-3μM)处理MCF-7细胞72小时后,均未对细胞增殖产生明显抑制作用;而细胞迁移实验(Transwell实验)则发现,G9a siRNA(50 nM)处理24小时能显著抑制 MCF-7 细胞的迁移能力,化合物4(3μM)的抑制效果更为显著,且优于RK-701。这一结果表明,化合物4能模拟G9a siRNA的表型效应——抑制乳腺癌细胞迁移但不影响增殖,而其抑制迁移的效果更强,可能是因为化合物4通过降解 G9a/GLP,同时阻断了二者的催化功能和非催化功能(如通过锚蛋白重复结构域与其他蛋白的相互作用),而RK-701仅能抑制催化功能。

RXVZkv3d2B7SGTYQ8nt5TXGRCffZjD3T.png

图8.总体而言,这种新型G9a/GLP PROTAC 化合物4的成功研发,不仅为G9a/GLP靶向调控提供了新的技术范式,推动了表观遗传调控机制的深入研究,也为癌症等疾病的治疗开辟了新的思路。



免责声明
本文仅供专业人士参看,文中内容仅代表蛋白质降解技术立场与观点,不代表肿瘤资讯平台意见,且肿瘤资讯并不承担任何连带责任。若有任何侵权问题,请联系删除。

评论
2025年10月07日
李祥印
解放军联勤保障部队第967医院 | 肿瘤内科
好好学习天天向上
2025年10月06日
雨夜
钦州市中医医院 | 肿瘤内科
路漫漫其修远兮,吾将上下而求索