局部晚期/晚期肺腺癌患者通常存在驱动基因,可通过靶向治疗获益,然而,对于驱动基因阴性或靶向治疗手段尚不成熟的肺腺癌患者,可能仍需免疫治疗与化疗的系统治疗以控制疾病进展。为了同时改善局部控制,也可联合使用放射治疗。在放射治疗中,放疗增敏剂的使用有望帮助改善局部治疗疗效的同时,对系统治疗如化疗、免疫治疗起到一定增效作用,达到1+1+1>3的效果。本次分享将聚焦3例局部晚期不可切除/晚期肺腺癌患者,患者基因检测结果均提示难以从靶向治疗获益,接受了不同的系统治疗联合放疗方案,并均在放疗期间使用放疗增敏剂甘氨双唑钠。3例患者均通过治疗有效控制疾病进展,获得显著的临床获益,提示了放疗增敏剂甘氨双唑钠在此类患者的综合治疗中的应用潜力。


病例一
病例分享专家
湖北省肿瘤医院 放疗中心
武汉大学医学博士
法国南锡第一大学 访问学者
中华医学会放射肿瘤治疗学会肝胆胰肿瘤放疗学组委员
中国微循环学会肿瘤专委会医学工程学组委员
湖北省临床肿瘤学会肺癌专委会青委会委员
湖北省医学生物免疫学会放射免疫专委会委员
湖北省免疫学会肿瘤生物治疗专业委员会委员
病例点评专家
肿瘤学博士
湖北省肿瘤医院腹部乳腺肿瘤放疗科主任, 放疗中心副主任
华中科技大学硕士生导师,美国安德森癌症中心访问学者
湖北省抗癌协会靶向治疗委员会副主任委员
湖北省微循环学会肿瘤专委会副主任委员
湖北省抗癌协会放疗专委会副主任委员
湖北省临床肿瘤学会免疫治疗专委会常委
中国抗癌协会精准治疗专委会青年委员
中国抗癌协会泌尿肿瘤专委会青年委员
中华医学会放射肿瘤治疗学分会泌尿肿瘤学组委员
中华医学会放射肿瘤治疗学分会骨软组织肿瘤学组委员
湖北省肿瘤医学质控中心胃癌与结直肠癌质控专家
湖北省肿瘤医学质控中心乳腺癌、肝癌质控专家
湖北省抗癌协会理事,湖北省医学会理事
主持国家自然科学基金1项,参与国家自然科学基金4项,主持参与省市级科研项目5项。获省级科技进步奖,发表中英论文30余篇,编书2部,专利1项
病例介绍
基本信息:患者男,69岁。
就诊经过:
现病史:2024年2月3日,患者因咳嗽就诊于当地医院,发现右肺占位,随后更换医院复查CT提示:右肺上叶前段肿块,考虑肺癌可能性大,邻近纵隔胸膜受侵袭。双肺多发结节,增殖灶、钙化灶可能,建议定期复查排除合并转移瘤。所及多发动脉粥样硬化,腹主动脉下段局部溃疡,瘤样扩张。
脑MRI:双侧额顶叶、基底节区散在少许腔隙性脑梗塞可能,左侧ICA C1-C3段闭塞,左侧MCA M1段呈条状充盈缺损几近闭塞,考虑血栓塞。
2024年2月18日,行右肺病灶穿刺活检提示:(右肺占位穿刺活检组织)浸润性癌。
2024年2月25日,转入我科。
影像学检查:2024年2月25日,复查PET-CT提示:
1.右肺上叶纵隔旁见团状异常放射性浓聚影,符合右上肺癌,侵犯邻近纵隔及胸膜;
2.右侧内乳区见淋巴结影,代谢增高,多考虑淋巴结炎,淋巴结转移不除外;
3.余双肺见散在软组织密度结节状、斑索影及高密度结节影,部分代谢稍增高,考虑炎性病变伴钙化;
4.双肺气肿伴肺大泡:双侧肺门、纵隔内淋巴结炎;
5.腹主动脉见局限性瘤样扩张,其内见弧形钙化影,代谢不高,考虑腹主动脉夹层或动脉瘤等可能,建议增强CT或MRI协诊。
病理活检:本院会诊病理提示:(右肺占位穿刺活检组织)浸润性腺癌(可见实性型及复杂腺体成分)。
原单位部分免疫组化:TTF-1(+),NapsinA(局灶弱+),CK7(+),Syn(-),CD56(-),CK5/6(-),P40(局灶弱+),ALK D5F3(-),Ki-67(Li:40%)。基因检测提示无驱动基因突变
临床诊断:右肺腺癌cT4N0Mx;脑梗塞;高血压;动脉瘤。
治疗经过:
化疗:2024-02-29、2024-03-21、2024-04-10,分别行白蛋白紫杉醇+卡铂化疗1周期。
放化疗:2024-04-29行右肺肿瘤同步放化疗,DT50.96-64.4GY/28F,放疗期间联合使用甘氨双唑钠增敏。放疗期间行1次EP方案化疗,复查白细胞提示降低,贫血,第2次同步化疗未执行,放疗结束后自动出院。
放化疗后系统治疗:2024-06-24 患者复查提示病情好转,遂于2024-06-27、2024-07-19日行脂质体紫杉醇化疗2次。
2024-08-29,行度伐利尤单抗1000mg治疗1次,治疗期间未诉不适,后续继续免疫维持治疗。
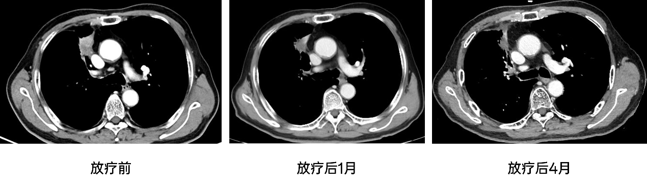
疗效评估:2024-06-25,放疗后1月复查CT:1、"右肺癌"治疗后,右上肺前段仍可见肿瘤性病变,较前缩小;纵隔4、7组淋巴结肿;2、两肺肺气肿;两上肺结节钙化并条索状影,右中肺及右侧胸膜钙化灶,考虑陈旧性结核,均较前无明显变化;3、右肾囊肿,较前缩小;4、腹主动脉壁间血肿形成可能,主动脉就髂动脉粥样硬化,较前无明显变化。
2024-11-26,放疗后4月复查CT:1、"右肺癌"治疗后,右上肺前段仍可见肿瘤性病变,较前缩小,周围间质性炎症;纵隔4、7组淋巴结肿同前;2、两肺肺气肿;两上肺结节钙化并条索状影,右中肺及右侧胸膜钙化灶,考虑陈旧性结核,均较前无明显变化;3、右肾囊肿,较前缩小;4、腹主动脉壁间血肿形成可能,主动脉就髂动脉粥样硬化,较前无明显变化。



病例二
病例分享专家
放疗科 硕士研究生
发表数篇核心论文
擅长宫颈癌,乳腺癌,肺癌,直肠癌等多种恶性肿瘤疾病放疗相关的诊治
病例点评专家
西安国际医学中心医院 放疗科
毕业于重庆医科大学
中国医学装备协会离子放射治疗委员会委员
陕西省非公医疗协会放射肿瘤专业委员会委员
国际医学
陕西省医师协会放射治疗医师分会委员
西安医学会精准医学分会青年医师委员会委员
擅长胸腹部实体肿瘤、脑转移瘤等放、化疗综合治疗,尤其对肝及胰腺原发及转移肿瘤的精准放疗具有丰富经验。
病例介绍
基本信息:患者男,64岁。
既往史:诊断“高血压病”10余年,血压最高180/110mmHg,平素口服“拜新同 1粒 1/日、沙库巴曲缬沙坦 半片 1/日”,血压控制尚可;2012年09月诊断“脑梗死”,遗留右侧肢体活动能力下降后遗症;自诉偶有“空腹血糖异常”,未服降糖药,经饮食控制后血糖控制尚可;否认冠心病。否认肝炎、结核等传染病史。否认食物、药物过敏史;2005年行“胆囊切除”手术;2023-12-01因诊断“右下肢静脉血栓”于我院血管外二科在局麻下行“下腔静脉滤器置入术”。否认外伤史,否认输血史。
就诊经过:
现病史:2023年10月初因“脑梗”复查就诊于外院,行胸部CT发现“右肺占位”。
2023-10-11 外院PET-CT提示:右肺上叶尖断实性结节影(31mm×18mm),核素异常高代谢(SUV值:10.65),多考虑恶性肿瘤病变,肺可能性大,肿瘤侵犯邻近胸膜可疑;右肺门及纵隔出、7区肿大淋巴结,核素异常高摄取(SUV值:4.3-14.87),考虑淋巴结转移癌。随后就诊于我科。
病理活检: 2023-10-17局麻下行CT引导下穿刺活检术,病理结果:(右肺肿物)非小细胞肺癌,符合肺腺癌。
免疫组化结果:TTF-1(+),NapsinA(+),CK5/6(-),P40(-),INSM1(-),Ki-67(70%+);
PD-L1 TC 60%。
基因检测结果:KRAS敏感突变。
临床诊断:
1、肺恶性肿瘤(右肺上叶尖段 周围型 腺癌cT2N2bM0 ⅢB期):淋巴结继发恶性肿瘤;胸膜继发性恶性肿瘤;
2、右下肢静脉血栓形;
3、高血压病3级(极高危);
4、脑梗死个人史 脑梗死后遗症;
5、睡眠障碍
治疗经过:
同步放化疗:2023-10-19至2023-12-7,期间予以“右肺上叶肿瘤病灶+纵隔4R区、7区及右肺门转移淋巴结”根治性放疗,处方剂量60Gy/30次。期间联合使用甘氨双唑钠增敏。
2023-10-24给予第1周期同步化疗,具体方案:培美曲塞二钠1g+顺铂140mg,化疗结束后出现Ⅲ级骨髓抑制并发热。
2023-11-21给予调整第2周期化疗,方案调整:培美曲塞二钠1g+顺铂50mg。因第1天化疗结束后复查血常规提示白细胞及血小板Ⅱ度减少,故暂停第8天顺铂化疗。
免疫联合化疗及免疫维持治疗:2023-12-13予以化疗联合免疫治疗,具体方案:培美曲塞二钠1g+顺铂100mg+阿得贝利单抗注射液1200mg。
2024-01-04我院PET/CT复查疗效评价部分缓解。
2024-01-04、2024-01-25予以阿得贝利单抗注射液1200mg免疫维持治疗2周期。后续继续免疫维持治疗中。
疗效评估:2024-01-04我院PET/CT复查疗效评价部分缓解。
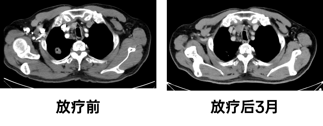
2024-02-19 复查显示:胸部与2023-10-17日片对比:右肺上叶尖段软组织影较前范围缩小,纵隔多发肿大淋巴结较前缩小,考虑转移瘤;新增右肺下叶背段高密度影,考虑炎症;右肺中叶内侧段、右肺下叶背段实性结节较前未见明显变化,建议随诊复査;右肺下叶背侧胸膜下少许渗出性改变较前基本吸收。



病例三
病例分享专家
山东省临床肿瘤学会放射治疗专业委员会委员
山东省疼痛医学会化疗专业委员会委员
泰安市抗癌协会放疗与质量控制专业委员会委员
泰安市医师协会肿瘤科医师分会委员
山东省疼痛研究会肿瘤多学科诊疗委员会委员
病例点评专家
放疗二科 主任
山东省临床肿瘤学会肿瘤放射治疗专家委员会 常务委员
山东省医学会肿瘤放射治疗学青年委员会委员
山东省泰安市医师协会肿瘤科医师分会 副主任委员
山东省医药教育协会肿瘤放疗专业委员会首届委员
中国抗癌协会皮肤肿瘤专业委员会委员
山东省抗癌协会肿瘤免疫与免疫治疗分会委员
山东省泰安市抗癌协会少见肿瘤专业委员会 副主任委员
病例介绍
基本信息:患者男,74岁。
就诊经过:
现病史:2024-03-05,患者因“发现左肺上叶占位3月余”就诊于外院,完善胸部增强CT提示:左肺上叶软组织肿物,考虑肺癌;两肺多发微小实性结节,不除外转移;右肺下叶磨玻璃结节,考虑腺体前驱病变可能。
排除禁忌后于2024-03-11行CT引导下经皮肺穿刺活检术,术后病理示:腺癌,完善基因检测无适宜靶向药物。
2024-04至2024-08行培美曲塞+卡铂化疗6个周期(具体剂量不详),2024-08开始免疫联合化疗维持治疗,具体方案为培美曲塞+特瑞普利单抗(具体剂量不详),维持治疗直至2025-02-19,期间复查提示病稳定。后患者因自觉腰部疼痛复查。
2025-02-18复查全身骨显像提示:全身显像示腰3椎体左侧见异常骨显像浓聚,CT提示腰3椎体左侧骨皮质不连续,腔内见低密度影,边缘可见硬化,考虑骨转移ca可能性大。
入院完善相关检查,排除禁忌后于2025-02-27起行腰3椎体转移瘤放射治疗,GTV为腰3椎体转移瘤,PGTV为GTV外放5mm,PTV上界为腰2椎体约1/2处,下界为腰4椎体约1/2处,按计划给于IMRT 95%PTV40Gy/2.0Gy/20F95%PGTV46Gy/2.3Gy/20F,2025-3-27出院。
出院后未按时返院治疗,后患者外院CT见左肺病灶增大,为行进一步治疗来我院就诊,门诊以“左肺癌骨转移收入”。
影像学检查:2024-03-05 胸部增强CT:左肺上叶软组织肿物,考虑肺癌;两肺多发微小实性结节,不除外转移;右肺下叶磨玻璃结节,考虑腺体前驱病变可能;肺气肿;两肺多发肺大泡;右肺中叶及左叶少许条索影;主动面及冠状动脉钙化;右侧第6肋骨密度不均,肝内多发低密度,考虑囊肿;双侧肾上腺增粗。
2025-02-18 全身骨显像:全身骨显像市腰3椎体左侧见异常骨显像浓聚,CT提示腰3椎体左侧骨皮质不连续,髓腔内见低密度影,边缘可见硬化,考虑骨转移Ca可能性大。
病理检查:2024-03-12 病理:腺癌。
免疫组化:PD-L1(DAKO 22C3)(TPS 0%)、PD-L1(DAKO 22C3)NCR(合格)、PD-L1(DAKO 22C3)阳控(合格)。
临床诊断:左肺腺癌(cT3N0M1c,Ⅳ期),腰3椎体转移,双肺多发转移。
治疗经过:
放疗:2025-5-23起,行Lattice放疗,95%GTV vertex1-6:32Gy/8Gy/4f,95%PTV 50Gy/2Gy/25f,期间给予抗肿瘤、升血、促进食欲、补液,并使用放疗增敏剂甘氨双唑钠增敏。放疗后患者饮食及食欲改善,乏力较前好转。
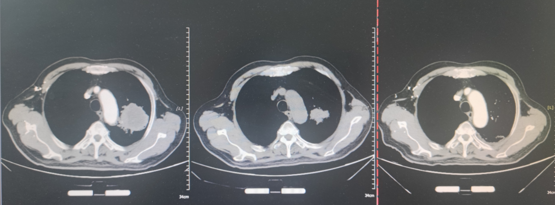
疗效评估:2025-8-30复查,对比前片,左肺Ca治疗后所见;双侧肾上腺占位,考虑转移;双肺多发小结节,较前相仿;左肺炎性病变;双肺气肿。



总结:甘氨双唑钠助力局晚期/晚期肺腺癌患者,在放化疗±免疫治疗中联合获益高、经济又安全
本次病例分享带来3例局晚期不可切除/晚期肺腺癌病例,患者均无法接受一线靶向治疗,需采用化疗、免疫治疗或免疫联合化疗的治疗模式。在3例患者的治疗中,放疗增敏剂甘氨双唑钠的使用均为患者带来了更多获益。
既往相关研究显示,放疗的作用机制为通过放射线作用于肿瘤细胞DNA双链,引起肿瘤细胞分子损伤,而甘氨双唑钠的独特结构具有强亲电子作用,能够转移肿瘤细胞受损分子上的电子,使损伤固定下来,增强放射线对肿瘤细胞(尤其是乏氧细胞)DNA双链损伤的作用[1-4]。在固定损伤的同时,甘氨双唑钠还可抑制受损DNA分子的修复,进一步增强放射治疗效果。近年来,研究者发现,甘氨双唑钠还可以通过降低HIF-1α水平来改善肿瘤乏氧微环境、通过降低FOXP3+Treg细胞比例来调节肿瘤免疫微环境,进一步提高放疗敏感性以及放疗联合系统治疗方案的综合获益 [5-7]。
甘氨双唑钠适用于对头颈部肿瘤、食管癌、肺癌等实体肿瘤进行放射治疗的患者,其在多部指南中推荐为一种高效低毒的放疗增敏剂,并已进入新版国家医保。未来,在驱动基因阴性或其他难以从靶向治疗中获益的肺腺癌患者中,甘氨双唑钠助力放化免联合模式为患者带来更多获益,达到1+1+1>3的效果,发挥其在此类患者综合治疗中的应用潜力。
1. 陈光辉,闫慧,孙长义,等. 非小细胞肺癌患者癌组织和血浆中microRNA-21的表达及意义[J].临床检验杂志,2014,32:652-655.
2. 重庆医科大学学报,2009,34( 8) :1108-1111
3. 甘氨双唑钠研究论文集[C],2001:4-26.
4. 肿瘤防治研究,2009,36( 7) :606-608.
5. Min X, et al. J Cancer. 2019 Jan 1;10(2):305-312
6. 魏民,等. 国际肿瘤学杂志,2018,45(12):727-730.
7. Li L, et al. Bioengineered. 2021 Dec;12(1)1066-1077
8. CSCO非小细胞肺癌诊疗指南(2024版)
9. Jabbour SK, et al. Pembrolizumab Plus Concurrent Chemoradiation Therapy in Patients With Unresectable, Locally Advanced, Stage III Non-Small Cell Lung Cancer: The Phase 2 KEYNOTE-799 Nonrandomized Trial. JAMA Oncol. 2021 Jun 4;7(9):1–9.
10. Ross HJ, et al. Atezolizumab Before and After Chemoradiation for Unresectable Stage III Non-Small Cell Lung Cancer: A Phase II Nonrandomized Controlled Trial. JAMA Oncol. 2024 Sep 1;10(9):1212-1219.
排版编辑:肿瘤资讯-Sally






苏公网安备32059002004080号