您好,欢迎您

望岳谈 | 65岁多发转移直肠癌患者,多线治疗后TAS-102+呋喹替尼带来长生存获益

2024年01月12日
整理:肿瘤资讯
来源:肿瘤资讯

16_9望岳谈KV.png

对于转移性结直肠癌患者的姑息治疗,一线、二线治疗以FOLFOX、FOLFIRI、CAPEOX等化疗方案与大分子单抗(西妥昔单抗、贝伐珠单抗)的联合使用为主。而在三线治疗中,目前治疗手段较为有限,主要包括小分子抗血管生成酪氨酸激酶抑制剂(TKI)与新型化疗药物TAS-102,研究者们正在积极尝试不同的联合三线治疗方案,以为患者带来更长的生存获益。本期病例分享带来一例65岁初诊即伴随多发转移瘤的直肠癌患者,历经多线姑息化疗后,入组临床研究接受TAS-102+呋喹替尼的联合方案,获得良好生存获益。

彭建军
副主任医师

医学博士,副主任医师,硕士研究生导师
中山大学附属第一医院胃肠外科中心
研究方向为胃肠道肿瘤个体化治疗,主持和参与30余项国际、国内多(单)中心临床研究项目,胃癌个体化治疗获得2018年度广东省科技进步一等奖。
国家药品监督管理总局(NMPA)药物临床研究数据核查员
中国临床肿瘤学会(CSCO)青年专家委员会委员
中国抗癌协会靶向治疗专业委员会青年委员
中国医疗保健国际交流促进会消化道肿瘤MDT分会委员
广东省医学教育协会肿瘤学专业委员会常务委员
广州抗癌协会大肠癌专业委员会常务委员
Annals of Oncology子刊Focus on GI tumors编委

基本信息
 
患者男,65岁,既往史无特殊。
 
主诉“2月余前无明显诱因出现腹泻,1天2~4次,解黏液便,无腹痛、腹胀,无黑便、血便,无里急后重。腹泻反复发作。”就诊于当地诊所。药物治疗(具体不详)后可缓解。10天前出现排便困难,大便干结,伴少量黏液。于普宁市人民医院就诊,病理诊断:直肠少量浅表组织符合粘膜内腺癌;诊断为“直肠癌”,未予特殊处理。
 
诊断经过
 
2021-2-1 就诊于我院。肠镜检查描述:观察距肛门口约10-15cm处见一增生性隆起肿物,环绕肠壁3/4周生长,表面充血、糜烂,致整个肠腔明显狭窄,镜头带阻力进入,活检质硬,易出血。

1.png

图1. 患者入院肠镜检查

病理检查结果:(直肠)低分化腺癌癌,
免疫组化:肿瘤细胞CK(+),CK7部分(+),CK20(+),SATB2(+),CDX-2部分(+)。肿瘤细胞MLH1(+),PMS2(+),MSH2(+),MSH6(+)。

2.png

图2. 患者肠镜取样病理结果

2021-2-2 CT示:乙状结肠恶性肿瘤,侵犯浆膜。大网膜、直肠陷窝多发转移瘤。

3.png

图3. 患者基线CT

初步诊断:直肠癌并腹腔广泛转移(cT4NxM1),K-ras、N-ras 野生型。
 
姑息治疗
 
2021-2-2、2-26 行Capeox化疗2周期。后基因检测结果提示K-ras、N-ras 野生型。
 
2021-3-25、4-15 行Capeox+贝伐珠单抗治疗2周期。
 
2021-5-12 首次疗效评估CT:直肠上段增厚程度可疑较前稍明显;腹膜、大网膜、直肠陷窝多发种植转移,部分病灶较前缩小;腹盆腔少量积液较前吸收。疗效评估:PR。

4.png

图4. 2021-5-12(右)对比2021-2-2(左) 疗效:PR

2021-5-12、6-3、7-1 行Capeox+贝伐珠单抗治疗3周期。
 
2021.07.23 疗效评估CT示:直肠上段增厚程度稍明显;腹膜、大网膜、直肠陷窝多发种植转移,增多、增多;腹盆腔积液较前增多。疗效评估:PD。
 5.png

图5. 2021-7-23(右)对比2021-5-12(中)对比2021-2-2(左)  疗效:PD

2021-8-10、8-30、9-15 行FOLFIRI+贝伐珠单抗治疗3周期。
 
2021-10-8 疗效评估CT示:直肠上段壁增厚大致同前;腹膜、大网膜、直肠陷窝多发种植转移,较前增多;腹盆腔积液较前增多。疗效评估:PD。
 
2021-10-9、10-28、11-12、12-4 行FOLFIRI+西妥昔单抗治疗4周期。
 
2022-1-12 疗效评估CT示:SD。
 
2022-1-13、1-29、2-22、3-10继续行FOLFIRI+西妥昔单抗治疗4周期。

6.png

图6. 2022-1-12(右)对比2021-10-8(中)对比2021-7-23(左)

2022-3-28 复查CT示:直肠上段壁增厚大致同前,腹膜、大网膜、直肠陷窝多发种植转移,较前进展,腹盆腔积液较前增多,肝周部分积液呈扇贝样,未排除为恶性积液征象。疗效评估:PD。
 
入组临床研究,调整治疗方案为TAS-102+呋喹替尼。

7.png

图7. 2022-3-28(右)对比2022-1-22(左) 疗效PD

8.png

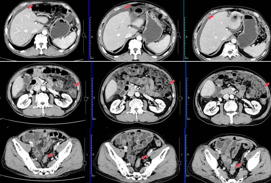
图8. 患者后续复查影像对比  疗效SD

9.png

图9. 患者治疗期间CEA变化曲线

10.png

图10. 患者接受呋喹替尼+TAS-102治疗中血液学指标变化

病例小结

11.png

张海波
主任医师

广东省中医院 肿瘤大科主任 博士研究生导师

中国抗癌协会中西整合鼻咽癌专委会 主任委员
世中联整合肿瘤专业委员会  副会长兼秘书长
世中联肿瘤精准治疗专业委员会  副会长
中华中医药学会肿瘤专业委员会 常务委员
广东省中医药学会肿瘤精准与整合治疗专委会 主任委员
广东省临床试验协会 理事
主持国家科技部重大研发项目、国家自然科学基金研项目及广州市健康医疗协同创新重大专项6项;

国际合作项目2项,省部级项目10余项。

在JAMA Oncology、Science advances、JNCCN等知名期刊发表SCI论文50余篇

该患者初诊时已发生广泛转移,经过前线的标准姑息化疗后,入组临床研究接受TAS-102+呋喹替尼的后线治疗,疾病发展得到控制,取得良好生存获益。该病例诊疗亮点为TAS-102及呋喹替尼两大标准三线用药的联合使用。目前,在《CSCO结直肠癌诊疗指南(2023版)》中[1],呋喹替尼、瑞戈非尼及新型化疗药物TAS-102的单独使用都获得了三线治疗的I级推荐,但其疗效仍然无法完全令人满意。考虑到临床实践中,很多患者历经前两线治疗后,仍然可以有较好的个体状态,具备在三线治疗中尝试更强力联合方案的可能,既往可能会考虑前线化疗药物或大分子单抗的跨线使用,而三线药物的联合使用也是值得探索的新方向。
 
TAS-102作为一类新型5-FU类化疗药物,可以在转移性结直肠癌的治疗中单药或尝试联合使用,此前在与贝伐珠单抗的联合临床探索中取得了很好的疗效。SUNLIGHT研究中贝伐珠单抗+TAS-102取得了10.3个月的中位OS(HR=0.61;95%CI,0.49-0.77;P<0.001),1年OS率可以达到43%,目前该方案也已经被指南推荐为三线治疗的II级推荐,并对于无法耐受强力治疗的患者可作为一线治疗考虑[1,2]。而将贝伐珠单抗更换为同样靶向抗血管生成的小分子TKI药物,也具有令人期待的应用前景,而且此前瑞戈非尼+TAS-102已经进行过类似的临床探索,在今年ASCO报告的REGTAS研究中[3],瑞戈非尼(120mg/d)联合TAS-102(25 mg/m2 bid)治疗转移性结直肠癌患者,中位PFS可达3.81个月,中位OS达11.1个月,该研究同样提示了TAS-102与抗血管生成TKI的协同作用。而由该病例分享专家中山大学附属第一医院彭建军教授牵头开展的前瞻性、单中心、单臂、II期临床研究(NCT05004831),也在尝试使用TAS-102联合TKI呋喹替尼治疗既往经标准治疗的转移性结直肠癌,该研究主要研究终点为PFS,次要研究终点包括OS、ORR、DCR和安全性,我们很期待后续结果的公布。
 
总之,本病例的治疗方案为三线治疗方案的优化提供了思路,期待该临床研究的后续结果以及TAS-102在临床研究中的更多探索,为患者提供更多优化治疗方案。未来,基于TAS-102和抗血管生成药物的联合方案未来有望成为转移性结直肠癌三线治疗中的标准模式。


参考文献

[1] CSCO结直肠癌诊疗指南(2023版)

[2] Prager G W, Taieb J, Fakih M, et al. Trifluridine–tipiracil and bevacizumab in refractory metastatic colorectal cancer[J]. New England Journal of Medicine, 2023, 388(18): 1657-1667.
[3] Wang X, Li Z, Sha D, et al. Efficacy and safety of regorafenib plus biweekly TAS-102 for refractory metastatic colorectal cancer (REGTAS): A multicenter single-arm phase II trial[J]. 2023.




责任编辑:肿瘤资讯-Cynthia
排版编辑:肿瘤资讯-HK



评论
2024年01月18日
王根彩
丰县人民医院 | 肿瘤综合治疗科
TAS-102及呋喹替尼两大标准三线用药的联合使用。目前,在《CSCO结直肠癌诊疗指南(2023版)》中[1],呋喹替尼、瑞戈非尼及新型化疗药物TAS-102的单独使用都获得了三线治疗的I级推荐,但其疗效仍然无法完全令人满意。考虑到临床实践中,很多患者历经前两线治疗后,仍然可以有较好的个体状态,具备在三线治疗中尝试更强力联合方案的可能,既往可能会考虑前线化疗药物或大分子单抗的跨线使用,而三线药物的联合使用也是值得探索的新方向。
2024年01月16日
陈志雄
重庆大学附属肿瘤医院 | 胃肠外科
KPS评分高的话,初始到我们这边,前几次采用三药加贝伐,大约6次后腹腔镜探查,评估腹膜转移情况,减瘤加HIPEC,再化疗
2024年01月15日
何作华
嘉鱼县人民医院 | 呼吸内科
学习学习学习学习看看