肺癌是我国目前发病率和死亡率均排名第一的恶性肿瘤。在所有肺癌中,非小细胞肺癌(NSCLC)大约占80%至85%。中国NSCLC患者中约35%为鳞状NSCLC,鳞状NSCLC缺乏驱动基因,加之特殊的肿瘤生物学特征,药物研发进展一直较慢。近年来免疫治疗的出现,为晚期肺鳞癌的治疗带来了新的希望。本期,上海交通大学医学院附属瑞金医院赵婧雅医生带来病例分享,患者在三线治疗中接受信迪利单抗联合吉西他滨奈达铂后取得了持久的获益。
病例分享
海交通大学医学院附属瑞金医院呼吸与危重症医学科医生,博士研究生
主要从事肺部感染的病原学诊断、肺癌复发转移相关临床及基础研究,目前主持国家自然科学基金青年基金1项,参与数项国际、国内合作项目及国自然重点课题。目前以第一、共一作者发表SCI累及影响因子20余分。
患者基本情况
患者男性,52岁,PS 1分,自由职业。既往有“高血压病”病史,无吸烟史,否认肿瘤家族病史。2018年11月14日确诊肺鳞癌,确诊3月前咳嗽咳痰,痰中带血,为暗红色血凝块,每日1-2次,当时无胸闷胸痛,无呼吸困难,无恶心呕吐,无黑梦晕厥等不适。
2018年11月6日胸部CT:右肺上叶后段病灶,炎症可能,双肺多发小结节。
2018年11月14日PET-CT:右肺上叶支气管开口旁代谢异常增高肿块,大小32.2*26.1mm,与右肺门淋巴结分界不清,纵隔气管腔静脉间隙见代谢异常增高淋巴结;左侧坐骨和右侧股骨头见溶骨性骨质破环伴代谢导常增高。考虑:1.右肺上叶中央型恶性肿瘤伴阻塞性炎症,右肺门和气管一腔静脉间隙淋巴结转移,左侧坐骨和右侧股骨头转移,两肺气肿;2.脂防肝,肝脏囊肿,胰腺钙化灶。
2018年11月12日脑MRI平扫+增强:头颅MRI增强未见明显异常。
支气管镜检查:右上叶支气管口新生物浸润阻塞部分管腔。
病理诊断:“右肺上叶开口活检标本”,结合免疫组化标记结果,符合鳞状细胞癌。免疫组化:肿瘤细胞AE1/AE3(+),P40(+),CK5/6(+),P63(+),TTF-1(-),CK7(-),SYN(-),Ki67(+50%)。
基因检测:EGFR、KRAS、BRAF、HER2、ALK、ROS1、RET均阴性。PD-L1检测:PD-L1(22C3)(TPS=0),PD-L1(22C3)阳性对照(+)。
右上肺鳞癌 cT2aN2M1c ⅣB期,骨转移,EGFR、ALK、ROS1阴性
1、一线治疗
2018年11月16日、12月7日、12月28日、2019年1月28日,患者接受TP方案化疗4周期,具体方案为:紫杉醇(280mg,D1)+顺铂(80mg,D1-2)。
2019年1月15日复查胸部CT平扫+增强示:右肺上叶中央型恶性肿瘤伴阻塞性炎症,右肺门及纵隔淋巴结增大,部分淋巴结较前(2018年11月14日PET-CT)略进展,肺气肿。腹部、盆腔CT平扫+增强示:脂肪肝,左外叶小囊肿;胰腺钙化灶;左侧坐骨及右侧股骨头骨质改变,左侧股骨骨颈囊肿可能大。
2019年2月21日胸部CT(薄层)增强(图):右肺上叶占位,大小9.1*6.1cm,邻近胸膜增厚,粘连,考虑恶性肿瘤,两肺上叶肺气肿,纵隔淋巴结增大。盆腔CT增强未见异常。
2019年3月1日上腹部CT增强:肝左叶,右肾小囊肿,腹膜后,肠系膜周围多发小淋巴结影显示。头颅CT增强:脑干,双侧基底节区,额顶叶散在腔隙灶可能。整体疗效评价为疾病稳定(SD)

图1 患者胸部CT影像资料(2019年2月21日)
2、二线治疗
2019年3月13日、4月7日、5月1日给予多西他赛(140mg)+信迪利单抗(200mg)治疗,4月8日,4月29日予以唑来磷酸治疗骨转移。
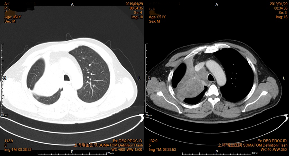
2019年4月29日复查胸部CT(图2),提示较2019年2月21日有所进展,完善气管镜,提示未见异形成分,评估为SD后继续治疗。

图2 患者胸部CT影像资料(2019年4月29日)
2019年5月1日化疗后,患者胃纳一般,痰中带血1-2次/天,无气喘。右侧额顶部见一肿块,红色,大小约3*2cm,无压痛,表面结痂。前额正中见一直径约2.5*2.5cm包块,无压痛,色深红,表面结痂。
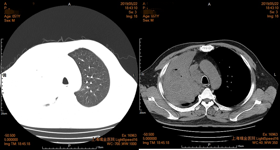
2019年5月22日入院评估治疗疗效,胸部CT显示右肺门及上叶占位伴右肺上叶阻塞性肺不张,较前片(4月29日)进展,纵隔淋巴结肿大,两肺下叶评估进展,间断高热伴感染(图3)。

图3 患者胸部CT影像资料(2019年5月22日)
2019年5月27日头颅CT平扫示:左侧枕叶低密度影,右侧顶部皮下软组织密度结节,双侧额叶及基底节区散在腔隙灶,筛窦炎。2019年5月28日肿块彩超示:右侧顶部临床所指处皮层内累及皮下组织层囊实性团块,血管瘤可能。
2019年5月29日行支气管镜检查,取灰白碎组织,病理提示为少量纤维素样物及炎症细胞,未见肯定的异型成分。结合患者病史情况,综合考虑为疾病进展(PD)。此外,患者检查发现葡萄球菌属感染,予盐酸莫西沙星片+利奈唑胺口服混悬液抗感染治疗。
3、三线治疗
2019年6月4日-2020年1月19日,患者接受吉西他滨(2.1g,D1,D8)+奈达铂(160mg)+信迪利单抗(200mg)治疗8周期。治疗期间患者于2019年8月27日转入功能神经外科,于9月4日行“大脑半球病损切除术”,术后予以抗炎补液等对症支持治疗。
疗效评价:患者在接受8周期免疫联合化疗治疗期间,3次评估胸部CT显示肿瘤均比前片有缩小,最佳疗效评估为部分缓解(PR)。
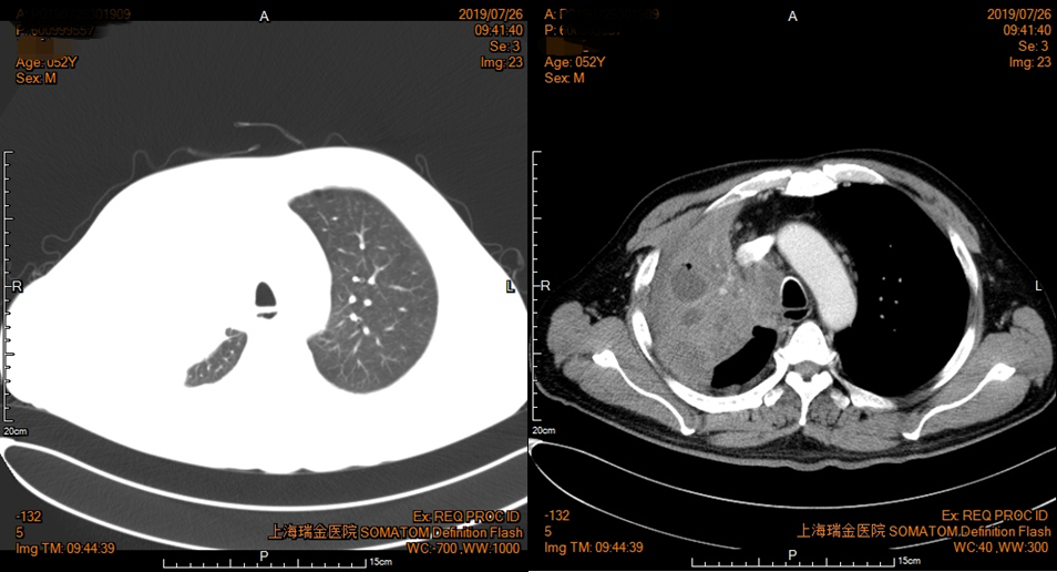
2019年7月26日胸部增强CT(图4):右肺门及上叶Ca伴右肺上叶阻塞性肺不张治疗后,较前片(5月22日)范围减小,纵隔淋巴结肿大,左肺上叶肺气肿伴肺大疱。
2019年10月10日胸部增强CT(图5):右肺门及上叶Ca伴右肺上叶阻塞性肺不张治疗后较前片(7月26日)范围减小,纵隔淋巴结肿大,左肺上叶肺气肿伴肺大疱。
2019年12月3日胸部增强CT(图6):右肺门及上叶Ca伴右肺上叶阻塞性肺不张治疗后较前片(10月10日)范围减小,纵隔淋巴结肿大,左肺上叶肺气肿伴肺大疱。

图4 患者胸部CT影像资料(2019年7月26日)

图5 患者胸部CT影像资料(2019年10月10日)

图6 患者胸部CT影像资料(2019年12月3日)
患者2019年12月5日复查头颅增强MR示脑内新发多处转移灶,功能神经外科会诊,认为具有伽马刀治疗指征,后续患者于12月9日接受伽马刀治疗。在免疫联合化疗治疗期间,患者有出现囊性皮疹,经皮肤科会诊,切片为良性,不考虑切除术,诊断为因免疫引起的少量皮疹,予以局部对症处理。整体而言,免疫治疗联合化疗延缓了疾病进展,为患者的争取到治疗的时间,通过相关部门的会诊结合病史局部治疗加全身治疗取得很好的效果。
专家点评
上海交通大学医学院附属瑞金医院呼吸内科主任医师
中华医学会呼吸病学分会全国肺癌学组委员
上海医学会肺科学会肺癌学组副组长
中国医药教育协会肺部肿瘤专委会常务委员
上海市抗癌协会肺癌分子靶向与免疫治疗专业委员会常务委员
中国医师协会内镜医师分会全国专家委员
中国医疗保健国际交流促进会胸部肿瘤分会委员
中华医学会上海医学会呼吸内科学组委员
上海市医学会肿瘤学会胸部肿瘤学组委员
上海市抗癌协会胸部肿瘤专业委员会委员
欧洲肿瘤内科学会( ESMO )会员,世界肺癌研究协会(IASLC)会员
任肿瘤学年鉴Annals of Oncology,中文版肺癌专刊编委
此案例中,患者初诊为右上肺鳞癌 cT2aN2M1c ⅣB期,伴有骨转移,考虑患者无吸烟史,进行了基因检测,结果提示EGFR、ALK、ROS1等阴性,同时PD-L1表达阴性(TPS=0)。在驱动基因阴性、PS评分0~1的Ⅳ期肺鳞癌的一线治疗上,长期以来,含铂双药化疗一直是标准治疗,参考《中国临床肿瘤学会(CSCO)原发性肺癌诊疗指南2018版》,在本案例中,一线选择了TP方案治疗,但整体疗效欠佳,疗效评价为SD。
二线给予多西他赛联合信迪利单抗治疗3周期后,患者疾病出现进展,此时是否应当继续免疫治疗呢?众所周知,在接受PD-1/PD-L1单抗治疗的过程中,约有7%~10%的患者可能会出现假性进展的情况,之所以会出现假性进展,是因为患者在接受免疫治疗后,体内的T细胞被激活后,重新识别肿瘤,大量的T细胞进入肿瘤区域,使得肿瘤产生炎症性肿胀,而在影像检查设备中的结果就是病灶出现进展。随着免疫治疗在临床应用愈加广泛,对于假性进展的鉴别变得越来越重要。在本案例中,患者连续两次胸部CT检查结果提示病灶增大,但通过病理诊断,鉴别为少量纤维素样物及炎症细胞,未见肯定的异型成分,综合考虑还是可能为假性进展情况。在调整治疗方案为信迪利单抗联合吉西他滨奈达铂治疗后,患者3次评估均为肺部肿瘤缩小,最佳疗效PR。整体而言,在免疫治疗假性进展的鉴别上,应根据CT影像学报告以及病理活检情况,进行综合判断。
信迪利单抗是由信达生物制药和礼来制药在中国共同合作研发的具有国际品质的创新生物药。近期官方公布的信息显示,信迪利单抗联合吉西他滨和铂类用于晚期或转移性鳞状NSCLC一线治疗的随机对照、双盲、Ⅲ期ORIENT-12研究达到研究主要终点,取得无进展生存期(PFS)阳性结果。ORIENT-12研究全球首个证实PD-1抗体联合吉西他滨和铂类能够显著改善一线鳞状NSCLC患者PFS获益的随机对照研究,期待信迪利单抗联合吉西他滨和铂类方案能够早日在国内获批,为国内晚期肺鳞癌患者提供新的一线治疗选择。
排版编辑:细胞田






苏公网安备32059002004080号