您好,欢迎您

【案例分享】IO+抗血管——疗效有保障,同时为患者免去化疗之苦

2020年03月27日
病例分享:温州市人民医院  朱淼勇教授
点评专家:同济大学附属上海市肺科医院  周彩存教授

长期以来,传统化疗在肺癌治疗中的疗效相对有限,同时化疗给患者带来的毒副作用和身体痛苦显而易见,因而不少患者抗拒化疗,渴望“无化疗”方案。尽管免疫单药治疗为驱动基因阴性晚期(NSCLC)患者带来更好生存获益,但获益人群范围受到一定限制。在免疫治疗的基础上联合抗血管生成治疗(IO+抗血管),既能带来良好的疗效,同时免去化疗。本期,来自温州市人民医院血液肿瘤内科的朱淼勇教授带来案例分享,患者接受IO+抗血管生成治疗后,取得不错的疗效,同时免去化疗之苦。

00.jpg                
周彩存 教授

同济大学附属上海市肺科医院肿瘤科主任

同济大学医学院肿瘤研究所所长

中国临床肿瘤学会(CSCO)理事

肺癌分子靶向和免疫治疗专业委员会主委

中国临床肿瘤学会(CSCO)非小细胞肺癌专业委员会主委

中国医促会胸部肿瘤分会主委

国际肺癌研究会(IASLC)教育委员会委员及控烟委员会委员

中国抗癌协会肺癌专业委员会常委

中国医师学会肿瘤分会常务委员

上海市抗癌协会理事

               
朱淼勇 教授

温州市人民医院血液肿瘤科副主任 教研室主任
温州医科大学、杭州师范大学兼职副教授、副主任医师
中国抗癌协会淋巴瘤专业委员会委员
浙江省抗癌协会肿瘤内科专委会委员
浙江省抗癌协会生物治疗专委会委员
浙江省医学会肿瘤营养与治疗学分会委员
浙江省医学会精准医学分会委员
浙江省医师协会肿瘤精准治疗专委会委员
浙江省数理医学会肿瘤精准诊疗专委会委员
浙江省肺癌诊治中心专家委员会委员

案例介绍

患者基本情况

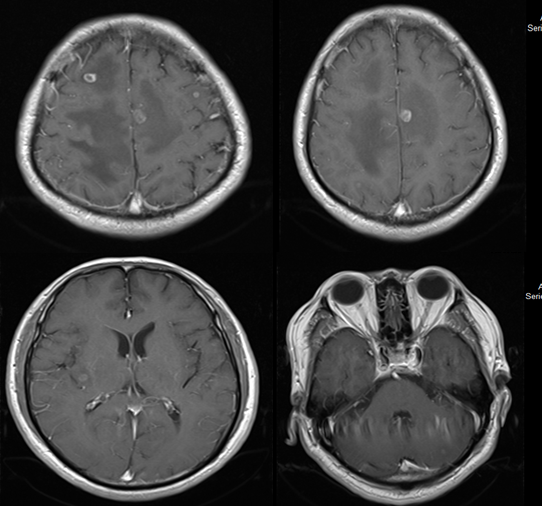
患者男性,62岁,既往体健,否认“高血压病”、“糖尿病”病史。2019年2月中旬因“左下肢乏力半月”在外院就诊。查头颅CT示:两侧半卵圆区及顶叶低密度灶,建议MRI检查。后续患者转入我院神经内科。

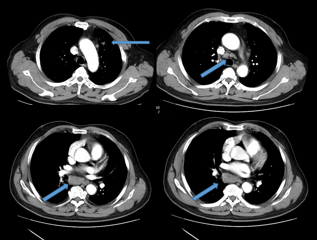
患者后续完善头部增强MR,考虑颅内多发转移瘤(图1)。胸部增强CT见空洞影,璧不均,空洞璧实性部分强化,纵隔淋巴结肿大(图2)。于2019年3月8日行CT定位下肺穿刺,病理检查提示:见恶性肿瘤细胞,非小细胞癌,结合免疫组化,符合腺癌。免疫组化:CK7(+)、TTF-1(+)、CK广(+)、P40(-)、CD68(-)、Vim(+)、Ki67(+,20%)。

2019年4月3日基因检测报告示:EGFR、ALK、BRAF、KRAS、NRAS、PIK3CA、MET、TP53、RET、ROS1等均未发现与靶向药物相关的基因突变。PD-L1蛋白表达、肿瘤突变负荷(TMB)未检测。

临床诊断:左上肺腺癌Ⅳ期  纵膈淋巴结转移,颅内多发转移伴左偏瘫,驱动基因阴性,PD-L1未知(PD-L1无检测标本)

image001.png

图1.患者基线时头部增强MRI(2019年2月26日)

图2.患者基线时胸部增强CT(2019年3月7日)

治疗经过

专科会诊后建议行化疗+全脑放疗,但患者拒绝,后续试验性口服吉非替尼(伊瑞可)治疗,疗效评价为疾病进展(PD)。患者病情持续进展,脱水降颅压治疗无效,2019年4月13日再次进行专科会诊,患者再次拒绝化疗、放疗,综合考虑后建议免疫治疗+小分子抗血管生成靶向药物治疗,患者及其家属同意,遂转入我科。患者转科后情况:左侧肢体肌力0-1级,右侧肢体肌力3-4级。

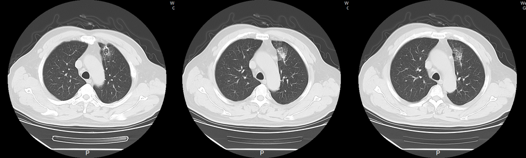
2019年4月16日开始给予信迪利单抗(200mg,q3w)+阿帕替尼(250mg,qd)治疗,治疗1周期后,患者症状明显改善,2周期后复查CT,疗效评价为部分缓解(PR;图3-4)。治疗期间患者出现1-2级皮疹,未观察到其他副作用。

image004.png

图3.患者2019年5月18日头部CT影像资料

image005.png

image006.png

图4.患者2019年5月18日胸部CT影像资料

患者肢体肌力完全恢复,继续信迪利单抗+阿帕替尼治疗至2019年10月22日,共完成10个周期治疗。至今电话随访2次,目前患者拒绝再次治疗,截至末次随访(2019年12月),患者病情稳定,接受信迪利单抗联合阿帕替尼的治疗无进展生存期(PFS)超过8个月。

image007.png

图5.患者2019年7月29日头部CT影像资料

image008.png

图6.患者2019年7月29日胸部CT影像资料

image009.png

图7.患者2019年8月20日头颅MR影像资料

专家点评

肺癌是全球发病率和死亡率最高的恶性肿瘤,严重威胁着人们的健康。从化疗时代、靶向治疗时代,再到如今的免疫治疗时代,肺癌治疗疗效取得了长足的进步。当前免疫治疗已经为部分驱动基因阴性的晚期非小细胞肺癌(NSCLC)患者带来了长期生存,KEYNOTE-001研究数据显示,PD-L1表达≥1%的患者接受一线帕博利珠单抗单药治疗的5年生存率达到23.2%,而对于PD-L1表达≥50%的患者,5年生存率更是高达29.6%。毫无疑问,免疫治疗已经逐渐取代传统化疗,成为驱动基因阴性晚期NSCLC的标准治疗。

当前在临床上,对于PD-L1表达≥50%的驱动基因阴性晚期NSCLC患者,更多的推荐单药治疗,而对于PD-L1表达<50%,甚至表达阴性的患者,则常规推荐免疫联合治疗。目前临床上常见的联合治疗策略包括免疫联合化疗、免疫联合抗血管生成治疗和双免疫联合治疗。长期以来,传统化疗的疗效相对有限,同时化疗给患者带来的毒副作用和身体痛苦显而易见,因而不少患者抗拒化疗。尽管免疫联合化疗相比传统化疗带来了更好的疗效,但不少患者仍希望能有疗效较好,同时毒副反应更轻的“无化疗”方案。

从目前的临床研究结果来看,不管是一线还是二线治疗,免疫联合抗血管生成治疗均取得不错的数据。在2019年世界肺癌大会上,信迪利单抗联合安罗替尼一线治疗治疗驱动基因阴性晚期NSCLC的临床研究结果公布,联合方案具有良好的安全性,主要研究终点客观缓解率(ORR)高达72.7%,同时疾病控制率(DCR)达到100%。该研究结果一经公布,便引起广泛关注,有望成为国内驱动基因阴性晚期NSCLC患者行之有效的“无化疗”方案。

在本案例中,患者初诊为肺腺癌Ⅳ期,驱动基因阴性,PD-L1表达未知,由于患者及其家属强烈拒绝放化疗,因此采取了信迪利单抗联合小分子抗血管生成药物阿帕替尼的治疗方案。在治疗1周期后,患者症状明显改善,2周期后复查CT,疗效PR,在总共10周期的治疗中,患者仅出现1~2级皮疹,该方案表现出非常好的安全性。我们期待未来能有更多的临床研究数据,来支持免疫联合抗血管生成治疗这一“无化疗”方案在临床中的应用。

责任编辑:Zack                  
排版编辑:肿瘤资讯-细胞田