您好,欢迎您

【天津国际乳腺论坛报道】慢病管理,节拍先行

2018年08月20日
编辑:肿瘤资讯编辑部
来源:肿瘤资讯

2018年8月17至18日,第三届亚洲乳腺癌会议,2018ASCO海外会场暨第十一届天津国际乳腺癌会议在天津成功举行。在8月17日的在亚洲乳腺癌专题上,来自新加坡国家癌症中心肿瘤内科高级顾问医生Lim Hsuen Elaine教授带来“节拍化疗在晚期乳腺癌中的应用”的主题演讲,系统性介绍了节拍化疗的作用机理、临床研究进展和前景,并结合实际病例分享节拍化疗在晚期乳腺癌中的应用。

天津.png转移性乳腺癌的治疗目标为通过控制疾病以缓解症状,传统的化疗采用最大耐受剂量(MTD),毒性大,作用不持久,容易耐药,限制了临床应用。节拍化疗是近年来兴起的一种新的治疗模式,通过相对低剂量、高频度、持续应用细胞毒药物,使药物能够长时间维持在相对较低、有效的血药浓度,以达到延长疾病控制时间,同时大大降低毒副作用的目的。

节拍化疗的作用机制

相比于传统化疗,节拍化疗有其独特的作用机理。节拍化疗的三重作用机理表现为:

第一,节拍化疗通过缩短治疗间歇,降低肿瘤细胞在治疗间歇期的修复,实现直接抑制肿瘤细胞的作用。

第二,节拍化疗可以通过直接和间接作用抑制肿瘤血管生成。一方面,低剂量持续应用细胞毒性化疗药物可以直接抑制肿瘤新生血管系统中增殖的内皮细胞的生长或使之凋亡,持续阻止循环内皮祖细胞(circulating endothelial progenitors,CEPs)的分化。另一方面,节拍化疗可以促进抗血管生成因子血小板反应蛋白-1(thrombospondin 1,TSP-1 )的表达。TSP-1是细胞外基质成分之一,为内源性血管生成抑制因子,与表达在内皮细胞上的分化抗原36受体结合,抑制内皮细胞增殖,促进凋亡。此外,TSP-1还能持续阻止CEPs的分化。

第三,节拍化疗具有免疫调节作用。研究发现。研究发现,节拍化疗能够使肿瘤患者体内的免疫平衡由免疫抑制状态向免疫活化状态转换。调节性T 细胞(regulatory T cells,Treg)表达细胞毒性淋巴细胞相关抗原-4(CTLA-4),能够抑制细胞特异性免疫应答。 Treg也能抑制由 CD8+淋巴细胞、 CD4+ T辅助细胞和自然杀伤细胞介导的抗肿瘤免疫应答。Treg的增加与肿瘤进展及对抗肿瘤治疗缺少应答有关。因此清除肿瘤患者的 Treg,尤其是肿瘤微环境中的 Treg,被认为是成功的抗肿瘤治疗的重要组成部分之一。近年来,一些研究发现在动物移植瘤模型中,节拍化疗能够通过减少Treg细胞数量和抑制 Treg功能,增加抗肿瘤免疫反应。

节拍化疗的应用

WechatIMG1_meitu_1.jpg口服化疗药物由于其方便服用,更适合作节拍化疗。其中,代表性的药物有长春瑞滨、甲氨蝶呤、环磷酰胺和卡培他滨。目前,常用的节拍化疗方案为长春瑞滨为基础的联合方案,环磷酰胺联合甲氨蝶呤、环磷酰胺联合长春瑞滨。鉴于节拍化疗的独特作用机理,目前主要有以下3种应用:1. 替代传统化疗方案,显示出更好的安全性;2. 用于标准化疗后的维持方案;3. 作为联合伴侣,联合抗血管生成、分子靶向治疗和免疫治疗。

1. 替代传统化疗方案:

I -II期VICTOR-1研究评估了长春瑞滨软胶囊联合卡培他滨节拍化疗治疗既往经治的局部晚期或转移性乳腺癌患者。研究入组了34例既往接受过蒽环和紫杉类药物治疗,或不适合蒽环紫杉类治疗的经治患者。研究旨在评估联合方案的耐受性,并探索最佳推荐剂量。初步的研究结果提示,口服长春瑞滨 40mg 3次/周联合口服卡培他滨 500mg tid 连续给药治疗可行且耐受良好,在延长治疗期间亦是如此。患者的临床获益率为58%,3-4度毒性的发生率仅为6%。

II期VICTOR-2研究旨在评估长春瑞滨软胶囊联合卡培他滨节拍化疗治疗局部晚期或转移性乳腺癌的疗效和安全性。研究入组了HER2阴性的局部晚期或转移性乳腺癌患者,根据患者既往是否接受过挽救性化疗分为一线治疗组和二线治疗组。所有患者接受口服长春瑞滨软胶囊40mg/d,每周第1,3,5天服药,卡培他滨500mg,每天3次,连续服药;用药直至疾病进展。主要研究终点为24周的临床获益率(CBR)。研究共入组86例患者,最终纳入分析的患者80例,其中一线治疗患者为35例(43.8%),二线治疗的患者为45例(56.2%)。结果显示,总体人群的CBR为48.8%,其中一线治疗组和二线治疗组分别为45.7%和51.1%。总体人群的中位至疾病进展时间为7.5个月,其中一线治疗组和二线治疗组分别为7.9个月和7.2个月。单独分析28例TNBC患者,联合方案的临床获益率为36%,PFS为4.7个月。安全性分析显示,联合方案节拍化疗安全性好,3-4级不良事件发生率很低(<1%)。生活质量评估显示,接受联合方案节拍化疗不影响患者的生活质量。 

2. 维持治疗

2011年,Gennari关于一线化疗后维持治疗的荟萃分析,纳入11项研究,2269例患者,结果显示维持治疗可以显著延长OS和PFS。

3. 联合治疗伴侣

目前,节拍化疗联合抗血管生成治疗、抗HER2靶向治疗、内分泌治疗和免疫治疗已经开展了多项研究,初步的研究结果显示出有前景的疗效和较好的安全性,值得期待。

正在进行的节拍化疗临床试验

•  TEMPO-Breast 研究: 节拍口服长春瑞滨 vs 长春瑞滨 MTD一线治疗HER2- 的转移性乳腺癌。研究计划在10个国家约50个研究中心开展,预计入组160例患者,随机分配接受口服长春瑞滨80mg/m2/周(首次剂量为60 mg/m2/周)或节拍口服长春瑞滨50mg,每周3次;直至疾病进展或不可耐受的毒性。主要终点为疾病控制率。

•  CAMELLIA研究:这是一项III期研究,旨在晚期乳腺癌中一线评估卡培他滨联合多西他赛序贯卡培他滨维持治疗:500mg/m2,每天3次,连续用药 vs 1000mg/m2,每天2次,第1-14天用药,3周为1个周期。

临床实际病例分享

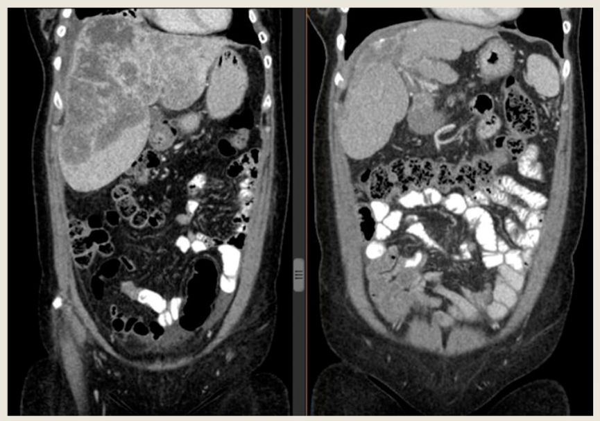
最后Lim教授分享了1例临床病例,这是1例66岁中国女性乳腺癌患者,初诊为局部晚期乳腺癌cT2N1,浸润性导管癌,3级,ER/PR/HER2均为阴性。接受AC化疗4周期,序贯紫杉醇卡铂周疗12个周期。新辅助化疗后手术,取得病理完全缓解(pCR)。然而,术后9个月,患者出现肝脏和淋巴结转移。患者拒绝静脉化疗和参加临床试验,期望接受不会引起脱发的化疗方案。给予患者口服长春瑞滨 30mg,每周3次联合环磷酰胺,50mg。4个月后疗效评估为PR。

天津2.png

图. 治疗前后的肝脏病灶变化,疗效评价为PR

总结

节拍化疗是近年来兴起的一种新的化疗策略,可以避免传统化疗毒性大,作用不持久的缺点。节拍化疗通过抗血管生成、免疫调节、影响肿瘤干细胞三重作用机制发挥抗肿瘤效应。既往多项临床试验结果证实节拍化疗可以替代传统化疗,并能够在疗效和毒性之间达到平衡,更有利于乳腺癌的长期管理,让患者在生存获益的同时提高生活质量。此外,节拍化疗作为维持治疗或联合伴侣的研究也正在开展,初步的研究结果显示出具有前景的疗效,值得期待。