恶性胸腔积液多发生于肿瘤晚期,临床上可为癌症的首发症状,也可以是肿瘤治疗后复发的症状。肺癌是恶性胸腔积液产生的主要原因,约占(24%~42%),尤其是肺腺癌多见。其次为乳腺癌(23%~25%),再次为恶性淋巴瘤,其他少见的肿瘤还包括卵巢癌及胃肠道肿瘤。少量积液对生活质量影响不大,但是大量积液可影响正常脏器功能,严重者导致功能丧失甚至死亡,因此需要重视并采取适当的治疗措施。
病例摘要
患者女性,48岁,无明显诱因出现咳嗽,呼吸困难5天,X线检查发现右侧大量胸水,临床以胸水原因待查,不除外结核性胸膜炎收入院。病程中无发热、盗汗、咯血,无明显体重减轻及其他症状和体征,饮食、大小便正常。既往体健,无特殊疾病史。辅助检查:血生化CA125:1231.6U/mL(0~30U/mL)、CA153:42.3U/mL(0~30U/mL)、CA199:4.4U/mL(0~37U/mL)。胸水化验:抗酸杆菌、真菌培养均阴性。双肺CT:右侧大量胸水,右肺受压呈软组织影,纵隔及气管明显左移,纵隔内及双肺门未见明显肿大淋巴结影。左侧少量胸腔积液。乳腺B超:双侧乳腺增生,未见占位。子宫及双侧附件B超:左侧附件见一73mm×39mm低回声,右侧附件见一38mm×34mm低回声,形态不规则,血流丰富(图1)。
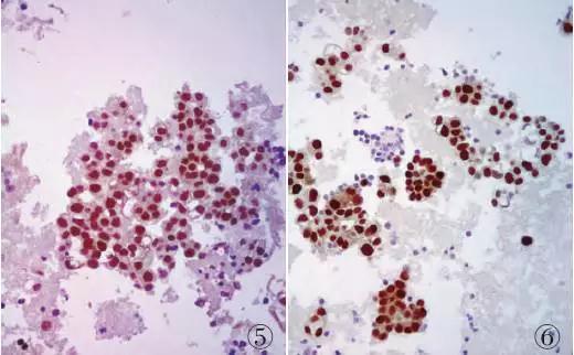
病理检查:镜检胸水TCT检查见成团、彩球形的肿瘤细胞团(图2),部分细胞见乳头状分支。细胞蜡块镜下见肿瘤细胞呈散在分布,部分形成腺腔样结构,瘤细胞胞质内见少量空泡(图3)。免疫表型:CK7(图4)、WT-1(图5)、p53(图6)均阳性,TTF-1、NapsinA、Calretinin、CK5/6、p63、ER、PR、CK20、CDX-2均阴性。
病理诊断:腺癌性胸水支持卵巢来源,浆液性腺癌可能性大。临床采用多西他赛+顺铂方案胸腔灌注化疗1次、全身化疗1周,效果良好,复查CT胸水明显减少。2个月后转外院手术,术后病理诊断为双侧卵巢浆液性乳头状囊腺癌。

图1:肿物低回声,形态不规则,血流丰富 图2:TCT示肿瘤细胞成团状排列,彩球样 图3:细胞蜡块示肿瘤细胞散在或呈腺样排列 图4:肿瘤细胞CK7呈阳性,EnVision法

图5:肿瘤细胞WT-1呈阳性,EnVision法 图6:肿瘤细胞p53呈阳性,En-Vision法
一、诊断要点
临床表现
患者主要表现为进行性加重的呼吸困难、胸痛和干咳。呼吸困难的程度与胸腔积液量的多少、胸液形成的速度和患者本身的肺功能状态有关。当积液量少或形成速度缓慢,临床上呼吸困难较轻,仅有胸闷、气短等。若积液量大肺脏受压明显,临床上呼吸困难加重,甚至出现端坐呼吸、发绀等。体格检查时可发现患侧呼吸运动减弱,肋间隙饱满,气管向健侧移位,积液区叩诊为浊音,呼吸音消失。
检查手段
影像学检查
X射线侧位摄片可检测到50mL胸腔积液,胸部超声检查可检测到5mL的胸腔积液,非超声定位胸腔穿刺气胸发生率可达8.6%以上,经超声定位胸腔穿刺可明显减少气胸发生率至1.1%以下。CT诊断特异度为22.0%~56.0%,灵敏度为88.0%~100%,具体表现有胸膜环形增厚,胸膜呈结节样改变,脏层胸膜增厚大于25px和纵膈胸膜受侵等。胸部CT还能了解肺内转移、纵膈肺门淋巴结等情况。
胸腔积液检查
依色泽、性状、比重、黏蛋白定性试验、细胞计数分类、涂片查病原菌,糖、蛋白测定等可初步判断是渗出液。比重>1.018,白细胞计数>100×106、蛋白定量30g/l,蛋白定量/血清蛋白定量>0.5,乳酸脱氢酶/血清乳酸脱氢酶>0.6、乳酸脱氢酶量>200u/l为渗出液。在恶性胸腔积液病人中,大约60%病人第1次送检标本中就能查到癌细胞,如果连续3次分别取样,则阳性率可达90%。应当注意的是淋巴瘤病人的胸腔积液细胞学检查不可靠。
胸膜活检
经上述各种检查难以明确诊断时可行胸膜活检。癌肿常累及局部胸膜,其胸膜活检阳性率约为46%,胸液细胞学联合胸膜活检可使阳性率达到60%~90%。
诊断
恶性胸腔积液的诊断一般通过患者的病史、体检、胸腔积液生化、细胞病理学以及影像学检查来确定。
二、治疗策略
恶性胸腔积液常提示患者属于肿瘤晚期,治疗原则为控制原发肿瘤,同时局部治疗。无恶性肿瘤的患者出现胸腔积液时,应首先排除心力衰竭、结核等原因引起特发性胸腔积液,胸腔穿刺并对胸腔积液进行生化分析及肿瘤细胞检查,或进行胸膜活检,一般均能确诊。
恶性胸腔积液传统的治疗方法为全身治疗和局部治疗。两者合理的应用可以提高治疗效果,改善预后。全身治疗包括全身化疗,生物治疗及中药治疗。对于恶性淋巴瘤,小细胞未分化癌及乳腺癌产生的胸腔积液患者,全身化疗效果较好。但是单纯的全身治疗一般不能完全消除胸腔积液,需要结合局部治疗缓解症状。
局部治疗
胸腔穿刺术
胸腔穿刺放液可缓解症状,并获得胸腔积液送检样本。患者不能耐受有创操作,或者患者由于合并其他疾病,生存期小于30 天的,反复的胸腔穿刺术,对于减轻疼痛及呼吸困难起到很好的治疗作用。抽液量存在争议,美国胸部疾病学会和欧洲呼吸系统疾病学会不推荐超过1000-1500ml 的积液量。但是多次反复胸腔穿刺术可诱导局部细胞因子和纤维蛋白的生成,影响将来症状的缓解。而且有效率低,98%-100%的患者30天内复发。
胸腔内置管引流术
这种方法可以用于治疗复发性胸水及有明显症状的患者。特别适用于存在肺萎陷不适宜进行胸腔穿刺术的患者。但是它的缺点是管径细,引流不畅,阻塞引流口,有的甚至引流管脱落,长期留置还将导致大量蛋白质丢失。
胸腔内注药
生物免疫制剂:近年来生物免疫制剂发展较为迅速,临床中应用较为广泛,可以用于胸腔注射。它既能参与免疫调节,提高患者对肿瘤细胞的反应能力,还可以起到抗肿瘤的作用。此种方法一般患者可以耐受,毒副作用较小,减少了骨髓抑制及消化道反应的发生。常用的药物有以下几种:白介素-2、短小棒状杆菌、干扰素、卡介苗、香菇多糖等。
化疗药物:临床中胸腔内注入化疗药物较为常见,常用的药物有氟尿嘧啶,博来霉素,阿霉素,依托泊苷,及铂类等。由于肺癌引起的胸水约占恶性胸腔积液50%,近年来也有研究证实了多西紫杉醇用于胸腔注射的安全性及有效性。然而,化疗药物的抗肿瘤作用并不能长期控制胸水,而且由于它的毒副作用较多,常见的副反应有恶心,呕吐,骨髓抑制等,晚期的患者不容易耐受,有的患者还会出现多重耐药的现象,所以这也限制了它的进一步应用。
硬化剂:常用的有滑石粉,博来霉素,四环素等。尽管滑石粉治疗的研究众多,但对于其安全性及有效性仍有疑问。一些研究提出1% -9%的患者应用滑石粉发生严重的副反应,如低氧血症,呼吸困难,肺不张,肺炎,急性呼吸衰竭,急性呼吸窘迫症等。在应用硬化剂前可应用利多卡因3mg/kg(不超过250mg)缓解疼痛。
抗肿瘤新生血管药物:有研究显示贝伐单抗联合顺铂可有效治疗胸腔积液:胸腔内注射(博来霉素30-60mg+生理盐水20-40ml)、(顺铂40-60mg+生理盐水20-40ml)、(胞必佳200-600μg+生理盐水20-40ml)
对症支持治疗
一般可选用呋塞米(速尿)、氢氯噻嗪(双氢克尿噻)、螺内酯(安体舒通)等药物利尿。患者应食低盐、易消化和高质量蛋白质食品,也可静脉补充白蛋白支持治疗。
其他
外科手术
胸膜切除术:虽然此种方法可有效的治疗恶性胸腔积液,但是术后并发症及死亡率较高不推荐使用,心肺功能良好的患者可以考虑。
胸腔镜手术:胸腔镜手术是一种微创手术,近年来已经成为恶性胸腔积液常见的诊断及治疗的手段,胸腔镜可以在直视下引流液体及胸膜活检,诊断率及检出率较高。创伤小,容易耐受,逐渐被患者接受。
放疗
通过放疗治疗恶性胸腔积液的机制是使肿瘤细胞蛋白质变性,肿瘤缩小,从而改善静脉及淋巴回流,减少胸腔积液的产生,并促进胸腔积液的吸收。
小结
随着医学的发展和对恶性胸腔积液的深入了解,目前恶性胸腔积液的治疗方法较多。突破于传统的治疗方法,一些新的治疗方法可以作为优先考虑的姑息治疗手段。基因治疗恶性胸腔积液有望得到临床上进一步应用。
1.恶性胸腔积液综合治疗进展,现代生物医学进展,2012,12(17):3358-3361.
2.以胸水为首发症状的卵巢癌1例,临床与实验病理学杂志,2017,33(9):1061-1062.
3.428例肺癌恶性胸腔积液的诊治及预后因素分析,重庆医学,2015.44(27):3794-3802.
4.Efficacy and safety of tunneled pleural catheters in adults with malignant pleural effusions: a systematic review[J]. J Gen Intern Med, 2011, 26(1):70-76.






苏公网安备32059002004080号