您好,欢迎您

神母中国之声(第10期)| 我是如何治疗初治高危神经母细胞瘤的

04月28日

整理:肿瘤资讯

来源:肿瘤资讯



达妥昔单抗β免疫维持治疗守护深度缓解,助力1例多发骨转移的初治高危神母患儿持续CR超17个月



病例分享嘉宾


赵 洁  医生

上海交通大学医学院

附属上海儿童医学中心

  • 肿瘤科主治医生,博士

  • 以第一作者身份曾在leukemia、BJH等杂志发表文章



患者资料


一般资料:患者,男,初诊年龄2岁1个月。

主诉:食纳差伴哭闹、烦躁2周余。

现病史:患儿2周前出现食纳差,伴哭闹、烦躁。就诊于当地医院,行B超示:后腹膜占位。在我院外科于2024.03.01在全麻下行腹膜后病损活检术,术后病理提示神经母细胞瘤。患者发病以来饮食欠佳、睡眠可,两便正常。

既往史:无特殊。

查体:体温36.6℃,脉搏118次/分,呼吸24次/分,血压104/68mmHg,身长/高92cm,体重12.2kg。神志清,精神反应可。腹部稍膨隆,腹部伤口干洁无渗出,腹腔引流管在位通畅。



辅助检查


实验室检查(2024.02.29)


NSE>370ug/L,LDH>4000U/L,24小时尿香草扁桃酸:2.1mg/24h(<13.6)。


影像学检查

腹部(CT平扫+增强)(2024.03.01):

腹膜后中线区见实性肿块,范围90.3*90.9*99.5mm。

腹部(含肝胆胰脾)超声

(2024-03-01):

腹膜后实性占位,范围约125*83*115mm。腹盆腔积液。

PET-CT(2024.03.04):

中上腹部腹膜后软组织肿块,范围约11.7*7.8*9.8cm,与周围组织分界不清。腹膜后腹主动脉旁、盆腔、胸廓入口处淋巴结转移。全身多发骨转移(累及双侧股骨、髂骨、T3椎体、T6附件、T11、L1椎体、L5附件、双侧肱骨、蝶骨、左颞骨、额骨)。

骨髓检查

双侧骨髓活检细胞学及病理:

均见肿瘤细胞,符合神经母细胞瘤转移。免疫分型:左侧11.36%,右侧5.24%。

病理检查(2024-03-01)

(后腹膜肿瘤)神经母细胞瘤,未分化型,UFH组织学亚型。

分子生物学检测

FISH:MYCN扩增阳性(>5倍);基因芯片:1p缺失(+) ,17q获得(+)。



疾病诊断


腹膜后神经母细胞瘤(M期,高危组),伴骨髓、多发骨及多区域淋巴结转移



治疗历程


诱导治疗

(2024.03~2024.07)

诱导化疗(2024.03~2024.05)

①CTX+Irinotecan

②CTX+Irinotecan。


2个疗程后疗效评价:双侧骨髓活检细胞学及病理均未见肿瘤细胞,免疫分型均为阴性。

2024.04.22行自体造血干细胞采集。

③CDDP+VP16 ④CTX+DOXO+VDS。


腹部CT增强(2024.05.31):

左侧肾上腺区及腹主动脉旁见软组织肿块影,较大处位于左肾上腺区,范围49.3*24.5*28.7mm。

4个疗程后疗效评估:部分缓解(PR)。

手术(2024.06.05)

腹膜后病损切除术+左侧肾上腺部分切除术+输尿管松解+后腹膜淋巴结清扫术+腹腔引流术。术中完整切除左侧肾上腺肿瘤及部分受累肾上腺组织,并彻底清扫后腹膜中大淋巴结。

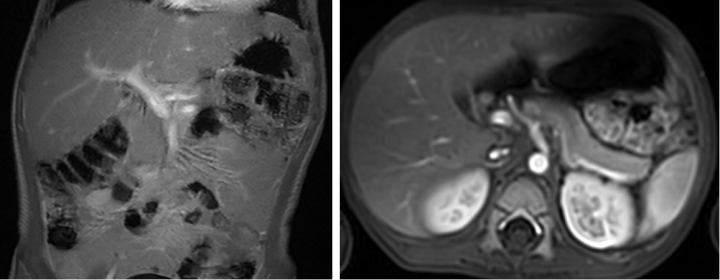
腹部MRI增强(2024.06.15):

神经母细胞瘤术后,左侧腹膜后术区周围见不规则片状液体信号影及数个低信号金属夹影;腹主动脉周围见少许条片状T1W低、T2W高信号影,增强后强化不明显

继续诱导化疗:

CDDP+VP16、CTX+DOXO+VDS。

腹部MRI增强(2024.07.18):

神经母细胞瘤术后,左侧腹膜后术区见数个低信号金属夹影。

PET-CT(2024.07.23):

  1. 原中上腹腹膜后软组织团块明显缩小,局部斑点状钙化及小结节影,FDG未见异常摄取,考虑肿瘤活性基本受抑制

  2. 原胸腹盆部转移淋巴结本次检查未见显示,原全身多发骨转移瘤本次检查FDG摄取未见(其中部分骨质密度稍增高),考虑治疗后肿瘤活性基本受抑制。

6个疗程后疗效评价:完全缓解(CR)。


巩固治疗

(2024.07~2024.10)


自体造血干细胞移植

2024.07.30 自体造血干细胞移植预处理:BU+MEL。

2024.08.07 回输自体造血干细胞,移植过程顺利。

疗效评价:

MIBG(2024.09.23 ):1. 全身平面显像及断层显像提示I-MIBG显像均为阴性。2.Curie评分:0分(0,0,0,0,0,1,0,0,0,0)。


放疗

2024.10.04~2024.10.21 行腹腔放疗,单次剂量180cGy,共12次,总剂量2160cGy。


达妥昔单抗β维持治疗

(2024.11~2025.04)

启动治疗前评估

2024.11.12 腹部/头颅/胸部MRI增强:神经母细胞瘤术后改变,均未见异常。

2024.11.21 双侧骨髓活检细胞学及病理均未见肿瘤细胞,免疫分型均为阴性。

肝肾功能、心脏彩超及心电图未见异常。


治疗方案:

自2024年11月18日,采用达妥昔单抗β联合GM-CSF及维甲酸方案治疗,每35天为一个周期,共完成5个疗程达妥昔单抗β和6个疗程维甲酸治疗。具体方案如下表:


表1:维持治疗方案

ScreenShot_2026-04-28_112205_364.png


表2:维持治疗用药及日期




疗效评价


腹部MRI增强(2025.06.04):

神经母细胞瘤术后改变。

头颅MRI增强(2025.06.05):

未见异常。

双侧骨髓活检细胞学及病理

(2025.06.09):

均未见肿瘤细胞,免疫分型均为阴性。



安全性与随访


免疫治疗期间出现的不良反应主要包括过敏反应、毛细血管渗漏综合征、发热及疼痛等。首疗程不良反应相对明显,自第2疗程起不良反应减轻,以1-2级为主(表3),整体耐受性良好。全部5个周期达妥昔单抗β免疫治疗按计划顺利完成。


表3:维持治疗用药不良反应分级

末次随访:腹部MRI增强(2025.12.25)未见明显异常。




病例点评专家


高怡瑾 教授

上海交通大学医学院

附属上海儿童医学中心

  • 肿瘤(内)科主任

  • 中华医学会儿科学分会(18th 19th) 肿瘤学组副组长

  • 上海市抗癌协会儿童肿瘤专业委员会主任委员

  • 亚洲儿童血液和肿瘤研究协作组血液肿瘤委员会委员(2026.6.25~)

  • 中国研究型医院协会儿童肿瘤专业委员会副主任委员(1st, 2nd)

  • 中国抗癌协会小儿肿瘤专业委会副主任委员(8th, 9th)

  • 擅长领域:淋巴瘤和组织细胞疾病,并负责各种实体肿瘤(包括神经肿瘤)治疗

  • 先后在香港中文大学威尔斯亲王医院、奥地利Tyrolean肿瘤研究所、美国MD Anderson肿瘤中心、美国Common Wealth University Virginia和美国St. Jude儿童研究院访学;并于2018年4月-2019年4月在美国Cincinnati Children‘s Hospital Medical Center肿瘤血液病研究所 (CBDI)工作一年

  • 以第一或通讯作者发表Peer review论文70余篇,其中SCI 30余篇



专家点评


本例为腹膜后来源的初治高危神经母细胞瘤,患儿发病年龄2岁1个月。病理活检确诊为神经母细胞瘤(未分化型);分子生物学检测提示MYCN扩增阳性(>5倍)、1p缺失及17q获得;PET/CT发现腹膜后原发灶伴全身多发骨转移及多区域淋巴结转移,双侧骨髓活检证实骨髓受累,依据INRG分期标准明确为M期,高危组


入院后患儿接受了规范全程治疗:诱导治疗阶段给予6个周期化疗,4个疗程后评估达PR,并行根治性手术,完整切除腹膜后原发病灶及受累淋巴结;6个疗程结束时综合评估达CR,顺利进入巩固治疗阶段。巩固阶段行自体造血干细胞移植联合腹腔局部放疗。移植后MIBG显像阴性,Curie评分0分,达到深度缓解。维持治疗阶段以抗GD2抗体达妥昔单抗β为核心,共完成5个周期免疫治疗。治疗期间出现过敏反应、毛细血管渗漏及发热等不良反应,后续疗程不良反应逐渐减轻,以1-2级为主,整体可耐受


截至末次随访,患儿结疗后持续CR近1年,骨髓及影像学评估均无肿瘤残留证据,无复发,生存状态良好。本例的成功救治提示,规范、标准的综合性治疗是高危神经母细胞瘤患儿获得深度、持续缓解的关键,达妥昔单抗β免疫维持治疗疗效确切、安全性良好,为进一步巩固疗效提供了重要保障


“码”上关注【神母菁英学院】

了解更多神母资讯~


往期文章推荐

Paper

Recommend



1、神母中国之声(第9期) | 我是如何治疗复发高危神经母细胞瘤的


2、神母中国之声(第8期) | 我是如何治疗复发高危神经母细胞瘤的


3、神母中国之声(第7期)| 我是如何治疗初治高危神经母细胞瘤的


4、神母中国之声(第6期)| 我是如何治疗初治高危神经母细胞瘤的


5、神母中国之声(第5期)| 我是如何治疗初治高危神经母细胞瘤的


排版编辑:Carol

责任编辑:Linda

版权声明

版权归肿瘤资讯所有。欢迎个人转发分享,其他任何媒体、网站如需转载或引用本网版权所有内容,须获得授权,且在醒目位置处注明“转自:良医汇-肿瘤医生APP”。


评论
04月29日
田焕
中山大学孙逸仙纪念医院 | 乳腺外科
内容精彩很有收获。
04月28日
刘阳
费县人民医院 | 胸部肿瘤科
感谢分享,获益良多。
04月28日
孙泽辉
唐山市第三医院 | 肿瘤外科
如何治疗初治高危神经母细胞瘤