您好,欢迎您

【寻根溯源】双侧输尿管梗阻的背后——一例原发输尿管弥漫大B细胞淋巴瘤的诊疗迷局与破局

04月24日
整理:肿瘤资讯
来源:肿瘤资讯

原发性输尿管淋巴瘤是一类极为罕见的结外非霍奇金淋巴瘤,因临床表现与尿路上皮癌、腹膜后纤维化等常见输尿管疾病高度相似,临床极易误诊。弥漫大B细胞淋巴瘤(DLBCL)是其最常见病理亚型,其中非生发中心B细胞型伴三表达表型侵袭性更强、预后相对更差。本文报道1例以双侧梗阻性肾病为首发表现的原发性输尿管非生发中心B细胞型DLBCL,结合临床、影像、病理及诊疗过程展开分析,为临床诊疗提供参考。

图片1.png

病例介绍:双侧腰痛伴急性肾损伤

患者为60岁女性,因右侧腰胁部疼痛、少尿、间断呕吐8天入院。既往无慢性肾病、高血压、糖尿病及肿瘤病史,无相关家族史。入院查体无明显阳性体征,实验室检查提示血肌酐显著升高至1386μmol/L,经右侧颈内静脉导管行2次血液透析后,肌酐依次降至868μmol/L、766μmol/L,肾功能初步稳定。HIV、乙肝、丙肝等感染指标均为阴性,乳酸脱氢酶轻度升高(约 510 U/L)。

影像学检查提示双侧肾积水。CT 示输尿管周围见大小约9.2×7.8×7.8 cm不均质软组织肿块,包绕输尿管并伴中段输尿管节段性增厚;腹盆腔 MRI 显示左侧盆腔腹膜后见10.8×7.7×5.8 cm梭形分叶状肿块,包绕左侧髂内、外血管,浸润双侧远端输尿管并导致近端输尿管扩张,影像学提示恶性病变,首要鉴别诊断为尿路上皮癌与淋巴瘤。
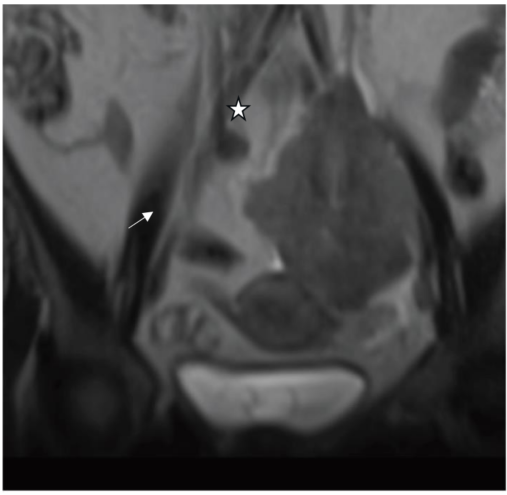
 图片2.png

图1:冠状位T2加权MRI,示盆腔左侧子宫旁一境界清楚、T2中等至高信号肿块(白色星号),邻近子宫(白色箭头)

图片3.png

图2:轴位T2压脂 MRI,示盆腔高信号肿块

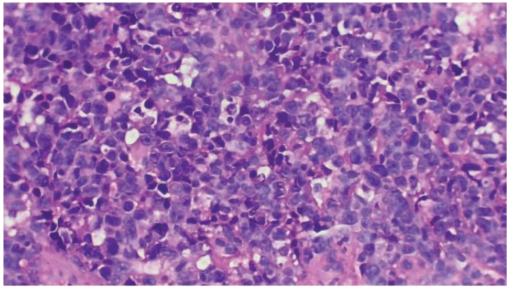
CT引导下输尿管穿刺活检病理可见弥漫浸润的异型淋巴样细胞,伴高核分裂象及坏死。
 图片4.png

图3:HE染色(×400),示大异型淋巴细胞弥漫增生

免疫组化结果示CD45、CD20、PAX5、MUM1、CD30、BCL6、BCL2阳性,c-MYC约45%阳性,CD10、细胞角蛋白、GATA3阴性,Ki-67增殖指数约98%,确诊为DLBCL,非生发中心B细胞亚型,伴三表达表型
 图片5.png

图4:免疫组化,示MUM1、PAX5、BCL6核强阳性,CD20膜弥漫阳性,符合B细胞来源及non-GCB亚型

图片6.png

图5:免疫组化,示约45%肿瘤细胞c-MYC核阳性、BCL2弥漫胞质阳性、Ki-67约98%高增殖指数、CD30膜强阳性,符合三表达表型

全身PET-CT显示代谢活性增高局限于双侧远端输尿管段及邻近输尿管周围软组织,颈部、纵隔、腹主动脉旁、肠系膜、髂血管区等淋巴结区域未见FDG高代谢灶,无脾、肝、骨骼或其他结外器官受累。骨髓活检未见淋巴瘤浸润。根据Ann Arbor分期系统,患者为ⅡE期(双侧输尿管受累伴邻近软组织侵犯),属巨块型病变。

治疗经过:梗阻先行解除,化疗精准破局

患者首先接受膀胱镜下双侧双J管置入术,快速解除尿路梗阻、保护并改善肾功能,肌酐由 1386 μmol/L 降至412 μmol/L。

待肾功能稳定后,给予6周期R-CHOP方案免疫化疗(利妥昔单抗+环磷酰胺+多柔比星+长春新碱+泼尼松),每3周1次,治疗过程顺利,无严重不良事件。

治疗结束后肌酐进一步降至132μmol/L,腰胁痛、少尿、呕吐等症状完全缓解。随访6个月,患者无临床复发证据,肾功能保持稳定。 

寻根溯源:罕见病灶的本质、误区与关键策略

原发性输尿管淋巴瘤在结外非霍奇金淋巴瘤中极为罕见,在泌尿生殖系统淋巴瘤中占比低于 0.2%,临床以系统性淋巴瘤继发性输尿管侵犯更为多见,真正原发于输尿管的病例十分稀少。其可能起源于输尿管壁或输尿管周围外膜的少量淋巴组织,在慢性炎症等刺激下发生恶性转化。

本病临床表现缺乏特异性,以腰胁部疼痛与梗阻性肾病最为常见,双侧受累且无血尿的特点与典型尿路上皮癌有所不同,但最终确诊仍必须依靠病理活检与免疫组化,避免仅凭影像学误行根治性手术。

本例病理为 non‑GCB 亚型并伴三表达表型,该类型在免疫组化层面同时过表达 MYC、BCL2、BCL6,虽不同于双打击 / 三打击淋巴瘤,仍具有更高侵袭性与增殖活性。治疗上无需行根治性切除,手术仅用于诊断活检,首要措施为及时置入双 J 管解除梗阻以挽救肾功能,后续参照系统性 DLBCL 采用 R‑CHOP 方案免疫化疗,即便为高侵袭分子亚型,早期诊断与及时规范治疗仍可获得良好的短期疗效与肾功能恢复。

小结

原发性输尿管非生发中心B细胞型DLBCL伴三表达表型极为罕见,以双侧梗阻性肾病起病时易被误诊为尿路上皮癌。临床遇到双侧输尿管周围软组织肿块、梗阻明显但无血尿的患者,应将淋巴瘤纳入鉴别诊断,以CT引导穿刺活检联合免疫组化明确病理。治疗以输尿管支架解除梗阻联合R-CHOP免疫化疗为核心,早期识别与及时规范处理可显著改善患者肾功能与肿瘤预后。
 

考一考你:

关于原发性输尿管弥漫大B细胞淋巴瘤的诊治,下列哪项表述最准确?


A. 原发性输尿管淋巴瘤的首选治疗为根治性肾输尿管切除术,与尿路上皮癌一致
B. 影像学上出现“输尿管周围软组织包绕但不造成明显腔内占位”时,应优先考虑淋巴瘤可能,但仍需病理确诊
C. 非生发中心亚型的弥漫大B细胞淋巴瘤预后优于生发中心亚型
D. 三表达表型(MYC/BCL2/BCL6共表达)的患者对R-CHOP化疗完全无效,应直接采用强化方案

上一期《【寻根溯源】Ven联合HMA:新发混合表型急性白血病治疗策略的突破性探索》的答案为c
 

参考文献

Sharma N, Shrestha B, Panthi B, et al. Primary Ureteric Diffuse Large B-Cell Lymphoma (Non-GCB Subtype) Presenting as Obstructive Uropathy: A Rare Case Report. Case Reports in Oncological Medicine. 2026;2026(1):1234567.

责任编辑:Mathilda
排版编辑:Mathilda
版权声明
本文专供医学专业人士参考,未经著作人许可,不可出版发行。同时,欢迎个人转发分享,其他任何媒体、网站如需转载或引用本网版权所有内容,须获得授权,且在醒目位置处注明"转自:良医汇-肿瘤医生APP"。

评论
04月25日
马利平
漯河市第六人民医院 | 肿瘤科
原发性输尿管非生发中心B细胞型DLBCL伴三表达表型极为罕见
04月25日
吴向荣
石家庄市平安医院 | 肿瘤内科
原发性输尿管弥漫大B细胞淋巴瘤(DLBCL)极为罕见,易误诊为尿路上皮癌。