HR+/HER2-亚型是乳腺癌最常见的临床分子亚型,也是晚期乳腺癌系统治疗中最具代表性的患者人群之一。对于这类患者而言,治疗不仅要关注疾病控制,更要兼顾长期用药过程中的安全性、耐受性和治疗连续性,从而争取更持久的临床获益。近年来,随着CDK4/6抑制剂的循证发展与药物可及度的提高,CDK4/6抑制剂联合内分泌治疗已成为HR+/HER2-局部晚期和转移性乳腺癌的重要标准治疗策略[1]。在此背景下,中国抗癌协会发起规范诊疗系列活动——“2026 CACA肿瘤规范化全程管理系列活动——HR阳性乳腺癌生活质量专题论坛”。2026年3月14日首期活动在深圳举办,旨在倡导规范化诊疗的同时,重视治疗过程中的安全性管理与患者生活质量维护。

本期南阳市第二人民医院刘柳医生分享一例HR+/HER2-乳腺癌术后长期无病生存、后出现肺转移的晚期复发患者的病例,并邀请南阳市第二人民医院刘丽娜教授对该病例诊治经过进行点评。该患者一线接受瑞波西利联合内分泌治疗后初步获得疾病控制,但治疗过程中出现肝酶异常升高;后续基于安全性与治疗连续性考虑,方案调整为达尔西利联合阿那曲唑,患者持续获得影像学缓解,疗效维持的同时,不良反应随之改善。该病例为临床患者个体化治疗提供了有价值的实践参考。
专家介绍
南阳市第二人民医院 乳腺肿瘤科主任
中国临床肿瘤学会委员
中国抗癌协会乳腺癌专业委员会委员
河南省医师协会乳腺医师分会第一届委员会常务委员
河南省健康管理学会女性乳房健康管理专科分会第一届委员会常务委员
河南省靶向专业委员会第一届青年委员会常委
河南省中西医结合学会肿瘤分会常委
南阳医师协会肿瘤多学科诊疗医师分会副会长
南阳医师协会肿瘤精准分会秘书长
南阳市学术技术带头人
获南阳市第七届青年科技奖
完成省科技进步二等奖两项市级科技进步奖十三项
主持省医学科技攻关项目三项
专家介绍
南阳市第二人民医院 乳腺肿瘤科
南阳市中西医结合肿瘤专业委员会委员
南阳市医师协会一届一次肿瘤精准医师分会委员
南阳市肿瘤医师协会首届肿瘤多学科诊疗医师分会委员
吴阶平医学基金会项目第一完成人
病例简介
患者信息
基本信息:患者,女,51岁。50岁绝经。既往体健,个人史及家族史无特殊。ECOG评分1分。
主诉:右乳癌术后14年,咳嗽1月,于2024年1月就诊。
现病史:患者既往有右乳癌手术史,术后长期随访。此次因咳嗽1月就诊,进一步检查发现左肺下叶占位,并伴左肺门区及纵隔淋巴结肿大。后经穿刺病理证实为乳腺癌肺转移。
既往治疗史:患者于2009年5月行右乳癌改良根治术。术后病理示:肿瘤大小约2 cm,浸润性导管癌,淋巴结8/11阳性;免疫组化示ER阳性、PR阳性、HER2阴性。术后接受FAC方案化疗,未行放疗;术后内分泌治疗为他莫昔芬3年,后中断治疗。
查体情况:双侧颈部、锁骨上下区及腋窝未触及肿大淋巴结;右乳缺如,右侧胸壁可见术后瘢痕,愈合良好;左乳未触及明显肿块。
辅助检查
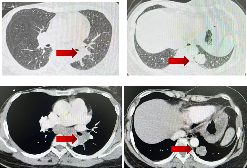
影像学检查:2024年1月乳腺及浅表彩超提示:右乳癌术后,左侧乳腺未见明显结节,BI-RADS 1级;双侧颈部、锁骨上下及腋窝未见肿大淋巴结。腹部彩超提示肝胆胰脾未见明显异常。心功能检查示左心射血分数62%。
2024年1月胸部增强CT提示:左肺下叶占位,考虑恶性病变;左肺门区、纵隔淋巴结肿大。头颅MRI示左侧额顶叶陈旧性梗塞。骨扫描示脊柱部分椎体及附件、左侧膝关节及踝关节代谢不均匀活跃,多考虑良性病变。

病理及免疫组化:左肺下叶病灶病理结果符合乳腺癌转移。免疫组化示:ER强阳性(90%),PR强阳性(80%),HER2(0),Ki-67约50%,GATA-3阳性,TTF-1阴性。

治疗经过
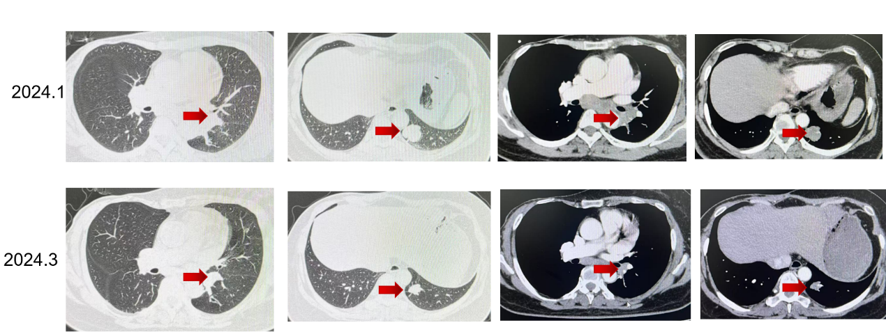
一线治疗方案:结合患者复发时激素受体状态、既往治疗史及全身情况,给予瑞波西利600 mg,口服3周停1周,联合依西美坦25 mg qd,作为晚期一线治疗方案。
初始疗效评价:2024年3月复查较2024年1月基线相比,病灶较前缩小,疗效评价为SD(伴肿瘤缩小)。

治疗期间不良反应及方案调整:患者接受瑞波西利联合依西美坦治疗后,影像学评估提示病灶较前缩小,初步获得疾病控制。但在后续治疗过程中肝功能检查提示转氨酶明显升高,其中 ALT 377 U/L(约为正常上限的9.4倍),AST 166 U/L(约为正常上限的4.7倍),按常用 CTCAE 标准可对应为 ALT 3级升高、AST 2级升高,提示在继续维持当前方案时,需要进一步权衡疗效获益与肝脏安全性风险。对于HR+/HER2-晚期乳腺癌患者而言,CDK4/6抑制剂联合内分泌治疗通常需要长期维持,因此,一旦出现影响持续治疗的不良反应,及时识别并根据患者具体情况进行方案优化,是影响患者后续持续获益的重要环节[2]。
基于患者已从CDK4/6抑制剂联合内分泌治疗这一总体路径中获得早期获益,且后续治疗仍需兼顾疗效与安全性,临床对方案进行了调整,改用达尔西利联合阿那曲唑治疗。从药物设计角度看,达尔西利通过引入哌啶结构,消除了谷胱甘肽捕获风险,在机制层面体现出对肝脏安全性的优化设计[3]。对于本例这类在前序CDK4/6抑制剂治疗后出现肝酶升高、但仍希望延续该治疗路径的患者,这一特征具有一定临床参考意义。
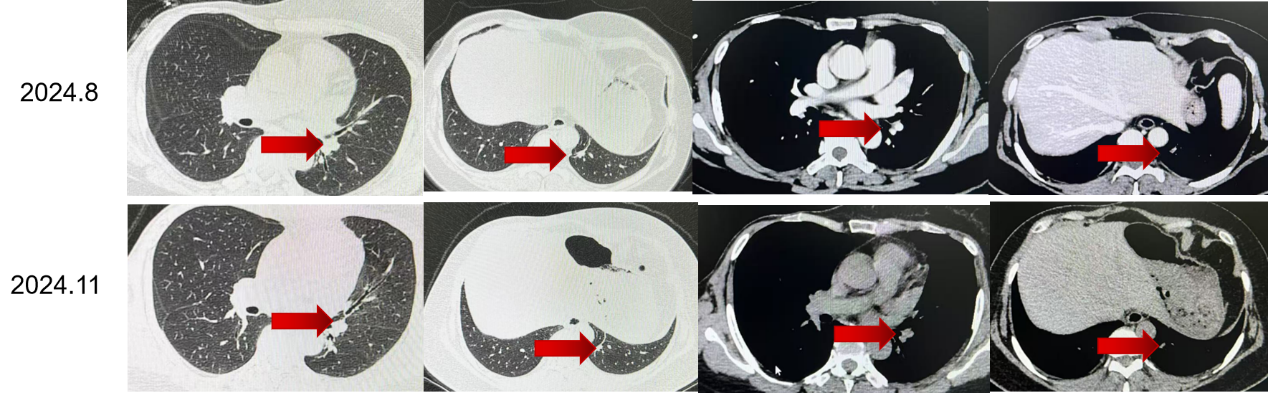
更换治疗方案:2024年6月,患者改用达尔西利150 mg,口服3周停1周,联合阿那曲唑1 mg qd治疗。
疗效评价
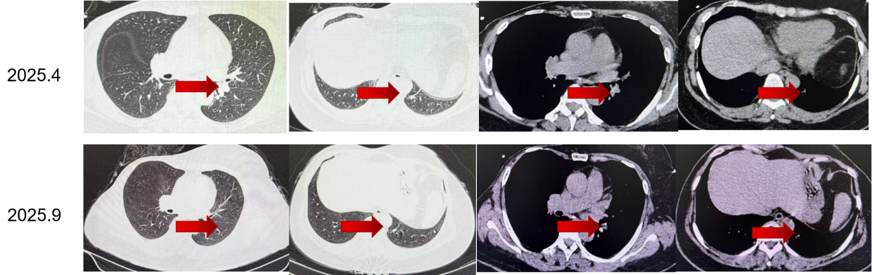
换用达尔西利联合阿那曲唑后,患者后续多次复查均提示病灶进一步缩小,2024年8月、2024年11月、2025年4月及2025年9月疗效评价均为PR。靶病灶总和由55 mm降至20 mm,整体缩小约63.6%,提示调整方案后患者获得了持续且稳定的影像学缓解。
从病程时间轴来看,患者术后至复发的DFS为14年8个月;初始一线治疗阶段获得了早期疾病控制,而在后续调整为达尔西利联合阿那曲唑后,至今持续获益中。对于需要兼顾疗效与治疗连续性的HR+/HER2-晚期乳腺癌患者而言,这一结果提示,在后续治疗策略优化后,患者仍有机会持续从CDK4/6抑制剂联合内分泌治疗路径中获益。


病例分析及专家点评
问题一:本例一线先用CDK4/6抑制剂联合内分泌治疗,这一选择的循证基础是什么?
本例初始采用CDK4/6抑制剂联合内分泌治疗,逻辑上是完整且清晰的。患者复发灶ER、PR高表达,HER2阴性,属于典型的HR+/HER2-晚期乳腺癌;既往辅助内分泌治疗后经历了较长无病间隔,也提示仍具一定内分泌敏感基础。对于这类患者,CDK4/6抑制剂联合内分泌治疗已成为当前临床管理中的重要标准治疗路径[1]。
从循证角度看,CDK4/6抑制剂在HR+/HER2-晚期乳腺癌一线治疗中的价值已经得到多项关键研究证实。无论是MONALEESA-2、PALOMA-2、MONARCH-3和DAWNA-2均证实CDK4/6抑制剂联合AI可显著降低疾病进展风险[1]。DAWNA-2为100%中国人群研究,在同时纳入40%绝经前,60%绝经后HR+/HER2-晚期一线乳腺癌患者中,接受达尔西利联合内分泌治疗的患者中位PFS达33.4个月,HR=0.56,疾病进展下降44%。MONALEESA-2研究中最终OS分析也提示,瑞波西利联合来曲唑中位OS为63.9个月,HR=0.76[4]。以上结果证实,对于合适人群,CDK4/6抑制剂联合内分泌治疗并非单纯经验性选择,而是基于患者肿瘤生物学特征和现有循证证据作出的治疗决策,这也为后续沿着这一治疗路径,进一步优化方案奠定了基础。
问题二:本例在瑞波西利联合依西美坦治疗后出现肝酶升高,临床上应如何理解这一变化?后续方案优化的关键是什么?
本例的一个核心临床亮点,并不只是“初始治疗有效后继续换药”,而是患者在瑞波西利联合依西美坦治疗后出现肝酶升高,提示后续治疗管理已不能只停留在“病灶是否缩小”的单一维度,而需要同步纳入安全性评估。对于HR+/HER2-晚期乳腺癌患者而言,CDK4/6抑制剂联合内分泌治疗往往需要长期维持,然而在治疗中不可忽视肝脏毒性问题。从机制层面理解,CDK4/6抑制剂是在人体肝脏中通过肝酶代谢。这个过程中药物代谢产生的对苯二胺易与肝脏中大量富集的谷胱甘肽(GSH)进一步发生加成反应,(加成物影响代谢)引发肝毒性[5]。所以在瑞波西利联合依西美坦的临床实践中,会遇到肝酶异常的情况发生。遇到此类治疗的优化关键在于快速了解药物特性,结合个体情况进行方案调整。国内不良反应管理共识也指出,积极有效地识别和处理CDK4/6抑制剂相关不良反应,有助于减少减量停药、提高依从性和治疗效果[2]。因此,对于初始治疗已获得疾病控制、但后续面临长期管理挑战的患者,如何在保证疗效基础上进一步优化治疗方案,是影响患者持续获益的重要环节。

问题三:在后续方案优化中,为什么本例选择达尔西利联合阿那曲唑?这一选择对类似患者有何启示?
本例后续选择达尔西利联合阿那曲唑,核心原因在于患者已经从CDK4/6抑制剂联合内分泌治疗这一总体路径中获得初步获益,而后续治疗目标则转向在保证疗效的基础上,进一步兼顾安全性与治疗连续性。对于这类患者,后续方案选择的重点,不再只是“是否继续使用CDK4/6抑制剂”,而是“哪一种CDK4/6抑制剂更适合患者当前的个体化管理需求”。
从循证角度看,DAWNA-2研究显示,达尔西利联合来曲唑或阿那曲唑一线治疗可显著延长HR+/HER2-晚期乳腺癌患者的无进展生存[1]。同时,已有公开整理资料显示,DAWNA-2研究中达尔西利因不良反应停药率为4.0%,提示其在长期维持治疗中的安全性管理具有一定现实优势。而在本例中,患者调整为达尔西利联合阿那曲唑后,多次疗效评估均达到PR,且截至2025年9月已获得超过15个月的持续无进展获益,提示在总体治疗路径保持一致的前提下,后续通过更契合患者安全性需求的药物优化,仍有望帮助患者持续维持疾病控制。
从药物特征角度看,公开资料显示,达尔西利通过引入哌啶结构,消除了谷胱甘肽捕获风险,在机制层面体现出对肝脏安全性的优化考虑[3]。对于本例这类在前序治疗中已获得疾病控制、但后续出现肝酶升高的患者而言,这一药物特征使达尔西利在后续个体化方案优化中具有更强的现实意义。也正因如此,本例的启示并不只是“换药后仍有效”,更在于当患者面临安全性管理挑战时,达尔西利联合内分泌治疗为继续维持疗效和治疗连续性提供了更具针对性的临床选择。
小结
本例患者为既往HR+乳腺癌术后长期无病生存后复发,转移灶病理仍表现为HR+/HER2-。在CDK4/6抑制剂联合内分泌治疗路径下,患者初始获得肿瘤控制;但在瑞波西利联合依西美坦治疗后出现肝酶升高,提示后续治疗管理需要进一步兼顾疗效、安全性与治疗连续性。经临床评估后,方案调整为达尔西利联合阿那曲唑,患者随后实现持续PR。
对于HR+/HER2-晚期乳腺癌患者而言,治疗价值不仅体现在起始方案选择,更体现在后续能否根据患者个体化特点进行精准优化。尤其在出现肝脏安全性管理挑战时,达尔西利联合内分泌治疗为患者长期管理提供了更具针对性的临床选择。
[1] 国家肿瘤质控中心乳腺癌专家委员会, 中国抗癌协会肿瘤药物临床研究专业委员会. CDK4/6抑制剂治疗激素受体阳性人表皮生长因子受体2阴性乳腺癌临床应用专家共识(2023版). 中华肿瘤杂志. 2023;45(12):1003-1017. DOI:10.3760/cma.j.cn112152-20230428-00188.
[2] 葛睿, 王碧芸, 江泽飞, 等. 乳腺癌CDK4/6抑制剂相关性不良反应管理共识. 中华肿瘤杂志. 2022;44(12):1296-1304. DOI:10.3760/cma.j.cn112152-20220825-00578.
[3] 国家医疗保障局公开材料:羟乙磺酸达尔西利片(艾瑞康®)药品信息/PPT
[4] Hortobagyi GN, Stemmer SM, Burris HA, et al. Overall Survival with Ribociclib plus Letrozole in Advanced Breast Cancer. N Engl J Med. 2022;386(10):942-950.
[5]Finnsdottir S, Sverrisdottir A, Björnsson ES. Hepatotoxicity associated with ribociclib among breast cancer patients. Acta Oncol. 2021;60(2):195-198. doi:10.1080/0284186X.2020.1853228.
[6]Liu N, Liu H, Zhang W, Yao H. Metabolic profiles of ribociclib in rat and human liver microsomes using liquid chromatography combined with electrospray ionization high-resolution mass spectrometry. Biomed Chromatogr. 2020;34:e4783.
排版编辑:肿瘤资讯-ashins






苏公网安备32059002004080号