您好,欢迎您

医案集萃丨靶向联合双免(RIN方案)逆转复发性pMMR/MSS直肠癌免疫耐药并获持久缓解

04月01日
编译:肿瘤资讯
来源:肿瘤资讯

直肠癌复发仍然是临床治疗中的重大挑战,尤其是在错配修复功能完整(pMMR)或微卫星稳定(MSS)人群中,该类肿瘤通常对免疫检查点抑制剂不敏感。本文报道一例复发转移性 pMMR/MSS 直肠腺癌患者,在接受瑞戈非尼联合伊匹木单抗和纳武利尤单抗(RIN方案)治疗后,获得完全且持久的分子学完全缓解的罕见病例。

病史

一名50岁女性,既往无明显合并症及肿瘤家族史。2021年首次诊断为直肠中分化腺癌,肿瘤距肛缘约5 cm。影像学分期提示局部晚期疾病, 无远处转移,临床分期为III C期(cT4bN2M0)。免疫组化证实为pMMR/MSS状态。

患者接受新辅助放化疗(盆腔放疗25 Gy/5次)联合6个周期XELOX方案化疗后, 行腹腔镜超低位直肠前切除加结肠肛管吻合术,手术达到R0切除。术后完全缓解,维持约1年。

术后14个月复查CT发现左侧直肠系膜复发肿块(9*7.3 cm),侵犯宫颈、阴道、盆腔肌肉及邻近肠袢。 经多学科讨论后,患者开始FOLFOXIRI化疗,但治疗过程中并发严重坏死性筋膜炎, 经多次清创及长期ICU治疗后恢复。

随后患者因无法耐受进一步化疗,启动超适应症应用RIN方案治疗, 包括瑞戈非尼联合低剂量伊匹木单抗(1 mg/kg)及纳武利尤单抗(3 mg/kg)。 治疗耐受良好,未出现明显免疫相关不良事件。

同期给予5次调强放疗以缓解局部疼痛和出血症状。治疗过程中通过循环肿瘤DNA(ctDNA) 及癌胚抗原(CEA)动态监测疗效,治疗6个月内两项指标均降至检测下限以下。

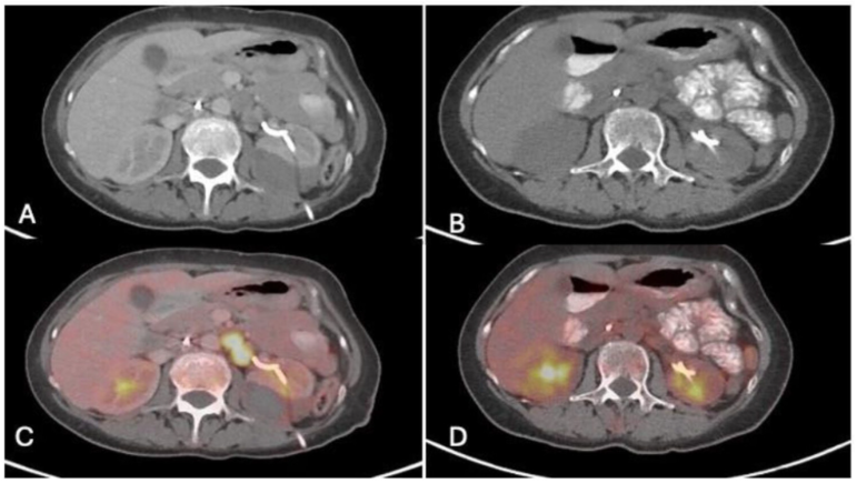
411.png

图1. 治疗前后患者的 PET 扫描图像。(a)和(c)显示 2023 年 10 月治疗开始前的盆腔横切片。可见肿大的高代谢后腹膜后淋巴结。(b)和(d)为 2024 年 1 月的影像,显示治疗后后腹膜淋巴结的体积和 FDG 亲近性有所下降。

pMMR/MSS 直肠癌通常被认为对免疫治疗不敏感,本例患者在RIN方案下获得 ctDNA和CEA双阴性的分子学完全缓解,提示多靶点免疫调节可能克服免疫耐药。


既往研究显示,无肝转移的MSS结直肠癌患者可能从免疫联合靶向治疗中获益。 本例随访超过12个月未见影像学或分子学复发,进一步支持该策略在特定人群中的潜力。

参考文献

Qadri F, Afghan MK, Lutfi A, et al. Molecular complete response to the RIN protocol (regorafenib, ipilimumab, and nivolumab) in a patient with advanced recurrent metastatic mismatch repair proficient/microsatellite stable (pMMR/MSS) rectal cancer. Ther Adv Med Oncol. 2026;18:17588359261432049. Published 2026 Mar 19. doi:10.1177/17588359261432049.

责任编辑:古木
排版编辑:古木

版权声明

本文专供医学专业人士参考,未经著作人许可,不可出版发行。同时,欢迎个人转发分享,其他任何媒体、网站如需转载或引用本网版权所有内容,须获得授权,且在醒目位置处注明"转自:良医汇-肿瘤医生APP"。

评论
04月01日
余枫贤
桂平市人民医院 | 肿瘤科
直肠癌复发仍然是临床治疗中的重大挑战,尤其是在错配修复功能完整(pMMR)或微卫星稳定(MSS)人群中,该类肿瘤通常对免疫检查点抑制剂不敏感。