您好,欢迎您

医案集萃丨罕见病例:高肿瘤负荷胆管癌并发自发性肿瘤溶解综合征,临床漏诊风险与早期监测探讨

03月25日
编译:肿瘤资讯
来源:肿瘤资讯

肿瘤溶解综合征是一种因肿瘤细胞快速破裂导致的严重代谢紊乱急症,主要见于血液系统恶性肿瘤。在实体瘤中,尤其是尚未接受抗肿瘤治疗的患者中,自发性肿瘤溶解综合征极为罕见。本文报道了一例转移性胆管癌患者发生自发性肿瘤溶解综合征的罕见病例。

病史与临床表现

一名72岁男性,既往有高血压、吸烟史和酗酒史,因进行性腹胀、下肢水肿、呼吸困难、干咳和食欲不振20天入院。体格检查发现患者伴有黄疸、右侧腹部浊音,且移动性浊音及液波震颤呈阳性。

检查与诊断

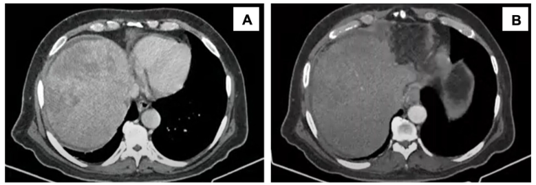
入院实验室检查显示肝酶轻度升高。腹部多期增强CT显示肝脏有一巨大异质性肿块,伴有腹水、多发淋巴结肿大及慢性门静脉血栓形成(图1)。胸部CT显示淋巴周围分布有结节。

3253.png

图 1.(A)动脉期腹部 CT 和(B)门静脉期显示出现大范围且外观异质的肝脏肿块

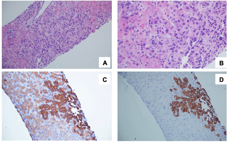
患者接受了诊断性和治疗性腹腔穿刺,抽出3000 ml腹水(血清-腹水白蛋白梯度为1.81 g/dL,中性粒细胞占优势)。肿瘤标志物检查显示CA 19-9水平显著升高(1693.6 U/mL)。随后进行的CT引导下经皮肝穿刺活检提示为中分化腺癌。结合免疫组化结果(细胞角蛋白19、20及5.2阳性)(图2)及影像学表现,最终确诊为原发性胆管癌伴转移。

3254.png

图 2.(A) H&E 200×形成巢穴的肿瘤上皮细胞和少数模糊的管状结构。(B) H&E 400×具有明显核多态性、高色性和非典型有丝分裂的定义不明确的小管。肿瘤细胞上 IHC 阳性(C)细胞角蛋白 5.2 和(D)阳性细胞角蛋白 20

病程与治疗

住院第5天,患者的肾功能开始恶化,肌酐水平显著升高,并出现中度高钾血症、低钙血症和高尿酸血症。由于患者在此期间并未接受任何抗肿瘤治疗,基于其巨大的肿瘤负荷和转移性疾病特征,临床确诊为自发性肿瘤溶解综合征。

患者立即接受了静脉补液(0.9%生理盐水)、口服别嘌醇以及降钾治疗(包括静脉注射葡萄糖酸钙、常规胰岛素和葡萄糖)。经过治疗,患者的肾功能和电解质异常在随后几天内得到改善。然而,由于肿瘤疾病的进展严重影响了患者的整体状况和生活质量,经医患共同决策,最终决定以舒适护理(安宁疗护)为主。

肿瘤溶解综合征是一种严重的肿瘤急症,其特征是代谢紊乱导致高尿酸血症、高钾血症、高磷血症和低钙血症。这些失衡可能导致致死性心律失常、肾功能损害甚至死亡。自发性肿瘤溶解综合征在实体瘤中极为罕见,胆管癌并发自发性肿瘤溶解综合征此前仅有极少数文献报道。


目前对于自发性肿瘤溶解综合征尚无明确的诊断共识。由于临床表现不典型且未接受治疗的患者缺乏常规筛查,自发性肿瘤溶解综合征极易被漏诊。对于已知患有实体瘤(特别是具有巨大肿瘤负荷或广泛转移,如肝肺转移)的患者,即使未计划进行抗肿瘤治疗,也应进行常规实验室监测,以排除自发性肿瘤溶解综合征的发生,从而降低潜在的发病率和死亡率风险。

参考文献

Lasprilla-Pallares MA, Nakazaki JC, Rivera-Castro JA. Case Report: Spontaneous Tumor Lysis Syndrome in a Patient With Cholangiocarcinoma. J Investig Med High Impact Case Rep. 2026;14:23247096251407832. doi:10.1177/23247096251407832

责任编辑:古木
排版编辑:古木

版权声明

本文专供医学专业人士参考,未经著作人许可,不可出版发行。同时,欢迎个人转发分享,其他任何媒体、网站如需转载或引用本网版权所有内容,须获得授权,且在醒目位置处注明"转自:良医汇-肿瘤医生APP"。

评论
03月26日
马国栋
莒南县人民医院 | 肿瘤内科
肿瘤溶解综合征是一种因肿瘤细胞快速破裂导致的严重代谢紊乱急症,主要见于血液系统恶性肿瘤
03月26日
柳文戈
翼城县人民医院 | 肿瘤科
真知灼见,醍醐灌顶!
03月26日
田焕
中山大学孙逸仙纪念医院 | 乳腺外科
内容非常好值得学习分享