您好,欢迎您

贾林梓、史楚楚团队,舒格利单抗联合放疗为IV期肺鳞癌骨转移患者赢得稳定长生存

03月26日
整理:肿瘤资讯
来源:肿瘤资讯

肺鳞状细胞癌(LUSC)约占非小细胞肺癌(NSCLC)的25%-30%。与肺腺癌相比,肺鳞癌患者往往面临“三多一少”的困境:高龄患者多、吸烟合并症多、中心型病变多,而驱动基因突变少。这使得靶向治疗机会匮乏,治疗手段相对局限。尤其是当患者初诊即伴有骨转移时,疼痛与骨相关事件(SREs)严重影响生活质量,且预示着不良预后。


随着免疫治疗的普及,免疫检查点抑制剂联合化疗已成为驱动基因阴性晚期肺鳞癌的标准一线方案。然而在真实世界临床实践中,如何应对高龄患者的化疗不耐受?如何在局部放疗与免疫治疗联合时平衡肺毒性风险?这些都是临床医生必须面对的挑战。


本期由山西省肿瘤医院史楚楚医生提供精彩病例,并由山西省肿瘤医院贾林梓教授进行深度点评。分享一例IV期肺鳞癌伴骨转移患者,在一线治疗中遭遇化疗神经毒性而“去化疗”,并妥善处理放射性肺炎后成功“重启”免疫维持治疗,最终实现病情持续稳定(SD)与高质量生存的诊疗全过程。

史楚楚
主治医师

山西省肿瘤医院 综合内科 头颈与恶性黑色素瘤病区医师
中国抗癌协会委员
山西省抗癌协会黑色素瘤专委会委员
山西省抗癌协会结直肠肿瘤整合康复专委会委员
山西省医师协会免疫治疗专委会委员
山西省抗癌协会肿瘤心理专委会委员

病例介绍

1. 病例摘要

患者:男,64岁。

主诉:因“发现右肺占位伴骨转移1月”。

就诊时间:2024年6月5日入山西省肿瘤医院综合内科。

既往史:2024年5月因肠息肉行手术治疗,同期发现肺部病变。有尿路结石碎石史。有吸烟史,日吸25支,吸烟25年,戒烟8年。有饮酒史25年,偶尔少量饮酒。

家族史:母亲因食管癌去世。

关键辅助检查:

  • PET-CT(2024-05-30):右肺中叶近肺门处原发性(T1c),伴右上肺转移、双肺门淋巴结转移及胸8椎体骨转移。

  • 病理(2024-05-29):(右肺)活检示非小细胞低分化癌,结合免疫组化,倾向鳞癌。

诊断:右肺鳞癌(cT1cN2M1b,IV期),伴肺内转移、双肺门淋巴结转移、骨转移(胸8椎体)。

2. 诊疗经过

  • 2024-06-07一线治疗启动:舒格利单抗1200mg + 白蛋白紫杉醇400mg + 卡铂400mg。确诊后迅速启动免疫联合化疗。

  • 2024-07-03至07-31第二、三周期系统治疗:方案同前。同期行胸8椎体骨转移灶放疗(GTV 50Gy/20F)。针对骨转移灶进行局部巩固放疗,联合破骨细胞抑制剂。

  • 2024-08-21第四周期系统治疗:方案同前。评估疗效。

  • 2024-09-12方案调整:因出现2级手足麻木(神经毒性),停用化疗,调整为舒格利单抗1200mg q3w 单药维持治疗。不良反应管理,转为免疫单药维持。

  • 2024-10-31局部干预:行胸8椎体成形术。处理骨转移引起的椎体不稳或疼痛。

  • 2024-11-19不良反应处理:因放射性肺炎,暂停舒格利单抗治疗一次。积极识别并处理。

  • 2024-12-11治疗重启:肺炎控制后,重启舒格利单抗1200mg q3w维持治疗。AE恢复后成功重启免疫治疗。

  • 2024-12-11至今维持治疗期:规律使用舒格利单抗,定期复查。疗效评价持续为SD(疾病稳定),患者精神食欲可,PS评分1分。

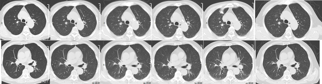
3. 疗效评价

一线第2周期治疗后及4周期治疗后(2024-07-16上2024-09-11下)

1.png

2.png

维持治疗3周期后A  6周期后B  9周期后C  12周期后D  15周期后E  18周期后F

3.jpg

       A             B              C              D                E               F
贾林梓
副主任医师

山西省肿瘤医院 综合内科 病区主任 副主任医师
CSCO黑色素瘤专委会委员
中国老年保健协会肿瘤罕见靶点精准诊疗专业委员会委员
北京癌症防治学会头颈部黑色素瘤专业委员会委员
山西省抗癌协会黑色素瘤专委会副主任委员
山西省肿瘤医学医疗质量控制中心恶性黑色素瘤专家委员会常务委员
山西省抗癌协会头颈肿瘤专业委员会委员
山西省抗癌协会甲状腺癌专业委员会委员
山西省抗癌协会肺癌专业委员会青委会委员
山西省抗癌协会肿瘤临床试验专业委员会委员
山西省老年学和老年健康学会中西医结合专业委员会委员

专家点评

本病例为一例伴有胸椎骨转移的IV期(cT1cN2M1b)肺鳞癌患者,属于“高肿瘤负荷、高症状负担”难治人群。患者的治疗过程先后经历了化疗神经毒性导致的停用化疗,以及放疗相关的肺损伤。然而,通过“免疫+放疗”的综合治疗模式,并以全人源PD-L1抑制剂舒格利单抗作为全程治疗的基石,患者成功跨越了治疗中断的风险,实现了超过一年半的疾病控制。

首先,舒格利单抗联合化疗在肺鳞癌一线治疗中展现了确切的“打底”实力。肺鳞癌因其独特的生物学行为,长期以来缺乏有效的治疗手段。GEMSTONE-302研究打破了这一僵局,该研究数据显示,舒格利单抗联合化疗一线治疗IV期肺鳞癌患者,中位PFS达到了8.3个月,疾病进展或死亡风险降低了66%(HR=0.34,且其中位OS高达23.6个月[1]。本例患者在一线治疗初期,仅接受了2周期联合治疗即观察到病情趋稳,这印证了舒格利单抗联合方案在鳞癌人群中起效快、获益深的特点。对于伴有骨转移这类预后不良因素的患者,快速控制原发灶和转移灶对于缓解症状、改善PS评分至关重要。

其次,局部放疗与免疫治疗的有机结合,实现了“1+1>2”的增效减毒。对于骨转移灶的处理,针对胸8椎体的放疗(50Gy/20F)不仅解决了局部的骨破坏和疼痛问题,更可能通过“远隔效应”增强了全身免疫治疗的敏感性。放疗可诱导肿瘤细胞免疫原性死亡,释放肿瘤抗原,将“冷肿瘤”微环境重塑为炎性浸润型的“热肿瘤”[2]。本例患者在因化疗神经毒性被迫“去化疗”后,仅凭舒格利单抗单药维持,依然能长期维持SD状态,这很可能得益于放疗激发的全身抗肿瘤免疫反应与PD-L1抑制剂的协同作用。

再次,科学辨析与管理肺毒性,是实现免疫“重启”和长生存的关键。胸部放疗联合免疫治疗时,肺炎是临床医生最为担忧的不良反应。本例患者在治疗中期出现了放射性肺炎。值得注意的是,GEMSTONE-302研究中舒格利单抗组≥3级免疫相关性肺炎发生率极低(0.9%)[1],显示出良好的肺部安全性。在本病例中,临床团队准确识别了肺炎性质(主要为放射性损伤),并采取了果断的“暂停-处理-重启”策略。肺炎控制后,患者成功重启舒格利单抗维持治疗且未再发加重。这一实践极具参考价值:它提示我们,放射性肺炎并非免疫治疗的绝对禁忌,在炎症得到有效控制后,依托安全性优异的PD-L1抑制剂重启治疗,能最大限度地保留患者的生存获益,避免因噎废食。

综上所述,本病例通过舒格利单抗联合化疗强效诱导,结合局部放疗精准打击,并在面对不良反应时实施精细化管理,成功探索出一条适合老年、耐受性较差患者的优选路径,为同类患者的临床诊疗提供了宝贵的实战经验。

参考文献

[1] Zhou C, Wang Z, Sun Y, et al. Sugemalimab versus placebo, in combination with platinum-based chemotherapy, as first-line treatment of metastatic non-small-cell lung cancer (GEMSTONE-302): interim and final analyses of a double-blind, randomised, phase 3 trial. Lancet Oncol. 2022;23(2):220-233. [2] Herrera FG, Bourhis J, Coukos G. Radiotherapy combination opportunities leveraging immunity for the next oncology practice. CA Cancer J Clin. 2017 Jan;67(1):65-85. doi: 10.3322/caac.21358.

责任编辑:肿瘤资讯-TY
排版编辑:肿瘤资讯-李鑫
版权声明
版权归肿瘤资讯所有。欢迎个人转发分享,其他任何媒体、网站如需转载或引用本网版权所有内容,须获得授权,且在醒目位置处注明“转自:良医汇-肿瘤医生APP”。

评论
05月05日
叶建蔚
新疆医科大学第一附属医院 | 肿瘤内科
经典病历值得反复推敲学习
03月26日
颜昕
漳州市医院 | 乳腺外科
癌骨转移患者赢得稳定长生存 C位实例