食管癌是中国高发的恶性肿瘤,其中鳞状细胞癌(ESCC)占绝大多数。对于晚期或转移性ESCC患者,传统单纯化疗的生存获益有限,临床亟需更有效的治疗手段。随着免疫治疗时代的到来,以纳武利尤单抗联合化疗为代表的免疫联合方案已成为晚期ESCC一线治疗的基石,显著延长了患者的生存期。本文分享一例来自哈尔滨医科大学附属肿瘤医院张鲁权教授团队诊治的IV期ESCC伴双肺转移患者,通过纳武利尤单抗联合化疗一线治疗实现肿瘤快速退缩、4周期达到部分缓解(PR),并进行深度点评,以探讨该治疗模式在临床实践中的应用价值。
哈医大附属肿瘤医院胸外食管纵隔病区
2007级哈医大临床医学七年制,获“优秀毕业生”殊荣,3/100
立身之本:“一流的技术、一流的人品、一流的服务、一流的护理“
中国民族医药协会-胸部肿瘤专委会 委员2025
黑龙江省医促会-第一届食管癌专业委员会-秘书长2025
黑龙江省医学会-食管癌青年学组 副组长 秘书2024
黑龙江省医学会-纵隔肿瘤青年学组 副组长 秘书2024
黑龙江省医师协会-胸外科内镜专委会 委员2024
黑龙江省医促会-第一届营养学分会 委员2025
黑龙江省慢性病管理学会-第二届肺癌专业委员会 委员2023
黑龙江省抗癌协会-食管癌专委会 委员2022
SCI一作论文4篇,核心期刊一作论文3篇
第六届菁英杯优秀青年医师手术技术大赛 东三省食管组 冠军
首届中国胸外科规范与创新手术巅峰展示会食管青年组 北中国第二名
病例介绍
基本信息
患者信息:男,60岁。
主诉:吞咽困难1月余。
ECOG评分:0-1分。
现病史:患者于2025年6月无明显诱因出现吞咽困难,外院胃镜(2025年7月25日)示距门齿24~30cm食管癌,外院病理提示食管低分化癌。现患者吞咽困难,伴吞咽痛,无胸痛、无腹痛、无声音嘶哑、无饮水呛咳、无恶心及呕吐、无呕血及黑便、无胸闷气短。目前患者进食半流食,二便正常,体重减轻不明显,为进一步诊治以“食管癌”收入院。
既往史:无吸烟史,无饮酒史。
辅助检查
实验室检查:肿瘤标志物SCC 1.7 ng/ml(升高),CEA、CA199、NSE、细胞角蛋白19片段等未见明显异常;肝肾功能、血糖、电解质等均在正常范围。
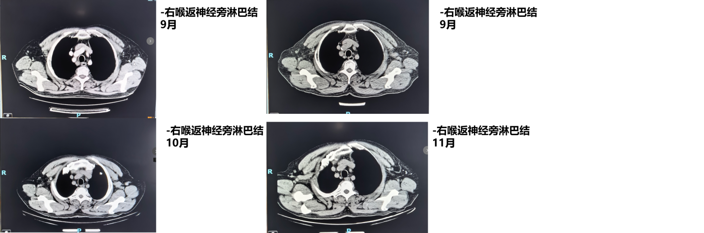
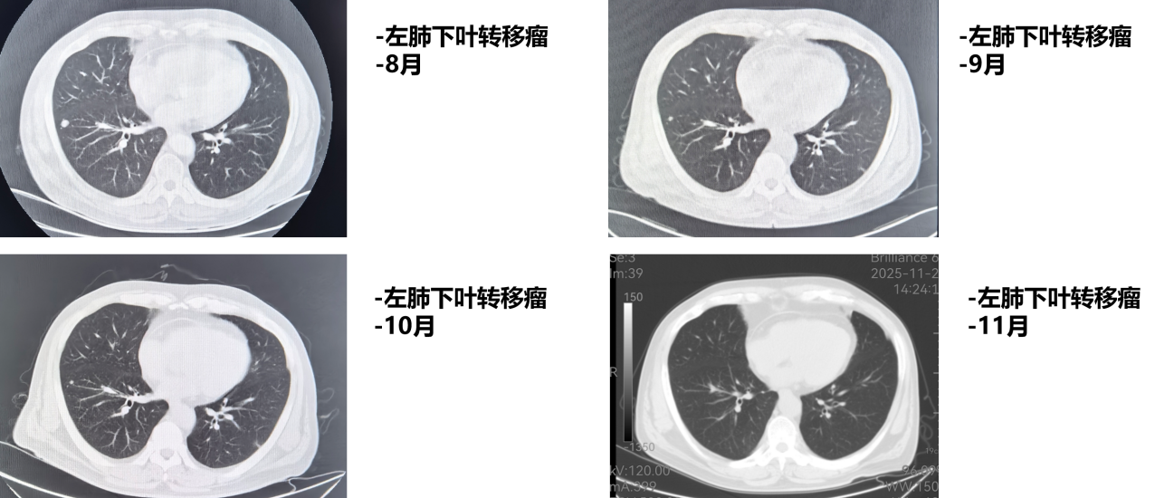
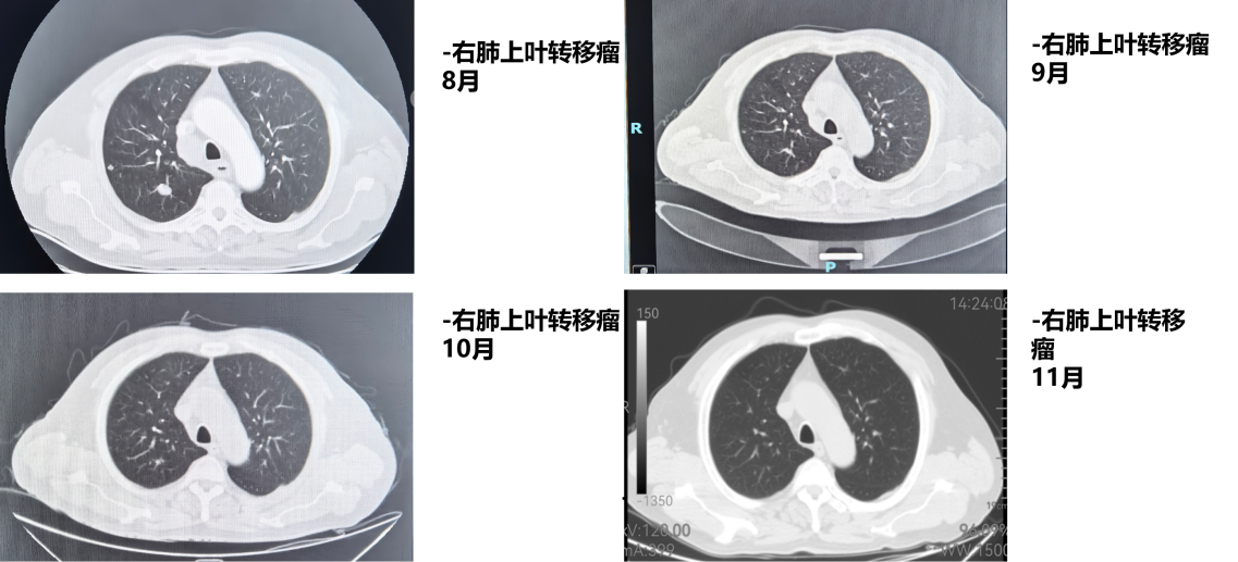
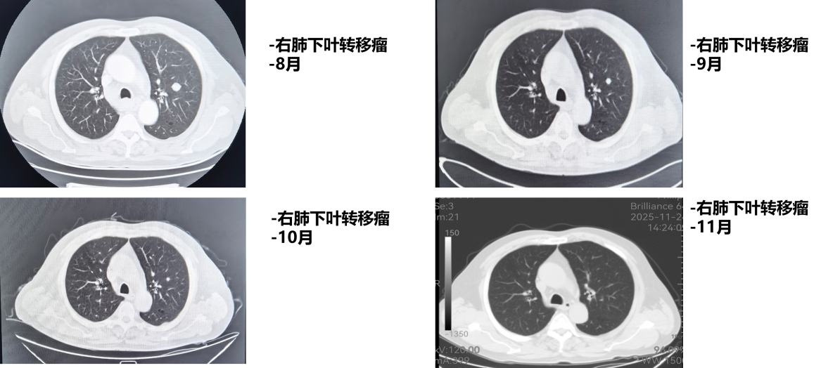
颈部+上腹部+胸部增强CT(2025年8月1日):食管占位,倾向恶性;纵隔淋巴结肿大,倾向转移;双肺多发结节,倾向转移可能。

胃镜活检病理:食管低分化癌,结合免疫酶标表达结果,符合低分化鳞状细胞癌。免疫组化(IHC):CK8/18(灶+),CK7(-),P40(+),P63(+),CK5/6(灶+),Syn(-),INSM-1(-),Ki-67指数约80%。PD-L1 CPS评分:3分。
临床诊断
食管鳞状细胞癌(低分化)
cT3N1M1,IV期
PD-L1 CPS评分:3分
治疗经过
1、治疗方案制定
根据《2025CSCO食管癌诊疗指南》推荐意见,对于CPS≥1的转移性ESCC患者,纳武利尤单抗联合氟尿嘧啶类和铂类化疗为一线治疗的I级推荐(1A类证据)。结合该患者的一般状况、临床分期及PD-L1表达状态(阳性),采用纳武利尤单抗联合化疗方案治疗。化疗过程中给予止吐、抑酸等药物治疗。
2、疗效评价
1周期后(2025年9月)复查CT:食管病变、纵隔淋巴结较前减小,双肺转移结节较前部分减小。1周期即显现疗效。
4周期后(2025年11月)复查CT:与2025-10-17日图像对比,食管癌治疗后改变,同前相仿;纵隔淋巴结治疗后改变,较前减小;双肺多发小结节,考虑转移瘤治疗后改变,部分较前略减小。






疗效评估:达到部分缓解(PR)
安全性评估:治疗期间患者耐受性良好,血常规复查未见明显骨髓抑制,未出现免疫相关不良反应。
3、后续治疗计划
鉴于患者治疗获益明显,耐受性良好,计划延续当前方案进行第5周期治疗。
专家点评
张鲁权教授:本例患者为60岁男性,以吞咽困难为首发症状就诊,经规范化检查确诊为食管低分化鳞状细胞癌,初诊时已存在淋巴结及双肺多发转移,临床分期为cT3N1M1 IV期,属于不可切除的晚期ESCC。在治疗方案的制定过程中,有以下几点值得关注:首先,病理诊断的精准化至关重要。本例患者通过免疫组化检测明确了鳞状细胞癌,为后续治疗方案的选择奠定了基础。同时,Ki-67指数高达80%提示肿瘤增殖活性较高,进一步印证了疾病的侵袭性。其次,PD-L1检测为免疫治疗决策提供了重要依据。本例患者PD-L1 CPS评分为3分,属于PD-L1阳性表达,根据CheckMate 648研究的分析结果,PD-L1阳性患者从免疫联合化疗中获益更为显著。
循证溯源:全球最大规模晚期ESCC III期研究CheckMate 648锚定一线治疗标准
本病例治疗方案的选择基于CheckMate 648这一全球规模最大的晚期ESCC III期临床研究。该研究纳入970例不可切除晚期、复发或转移性ESCC患者,结果显示纳武利尤单抗联合化疗较单纯化疗显著延长OS。在ITT人群中,纳武利尤单抗联合化疗组的中位OS达13.2个月,较化疗组延长2.5个月,降低死亡风险26%(HR 0.74,P=0.002);在PD-L1阳性患者中获益更为显著,中位OS长达15.4个月,较化疗组延长6.3个月,降低死亡风险46%(HR 0.54,P<0.001)。
长期随访数据进一步证实了生存获益的持久性:纳武利尤单抗联合化疗组2年OS率在PD-L1阳性患者中达31%(这意味着近1/3的患者能够跨越2年生存大关,实现长生存),是化疗组(12%)的2.6倍,成为在食管癌领域目前唯一证实2年生存率超30%的进口PD-1抑制剂。
在缓解率方面,纳武利尤单抗联合化疗组PD-L1阳性患者的客观缓解率(ORR)达53%(其中CR率16%),较化疗组(20%)提升33%;ITT人群的ORR分别为47%和27%,同样显示出显著优势。
安全性数据显示,纳武利尤单抗联合化疗未出现新的安全信号,3-4级可能与免疫相关不良反应发生率均≤2%。这些循证医学证据为本病例的治疗决策提供了坚实依据。
快速起效、深度缓解:临床实践疗效与循证数据高度契合
本例患者PD-L1 CPS评分为3分,属于CheckMate 648研究中获益更为显著的PD-L1阳性人群。经过4个周期纳武利尤单抗联合化疗后,影像学复查显示原发灶及所有转移病灶均明显缩小,疗效评估达PR,与研究中PD-L1阳性患者高达53%的ORR相符。
值得注意的是,本例患者在4周期治疗过程中耐受性良好,血常规未见明显异常,未出现需要干预的免疫相关不良反应,与CheckMate 648研究的安全性数据一致,体现了该方案在临床实践中的良好安全性。
实践启迪:精准检测、规范治疗、长期管理的临床路径
本病例的成功诊治为临床提供了以下启示:第一,规范化的病理诊断和生物标志物检测是精准治疗的基石。对于ESCC患者,应常规进行PD-L1检测,以指导免疫治疗决策并预测疗效。第二,对于晚期ESCC患者,免疫联合化疗已成为一线标准治疗方案。尤其是PD-L1阳性患者,可获得更为显著的生存获益。第三,免疫联合化疗方案安全性良好,潜在免疫相关不良事件发生率较低且多为轻中度,通过规范的监测和管理可保障患者的治疗依从性。第四,本例患者治疗后达PR,后续应密切随访,定期评估疗效,对于持续获益的患者,可考虑免疫维持治疗以进一步延长生存。
综上所述,本例晚期ESCC患者基于循证医学证据和指南I级推荐,采用纳武利尤单抗联合化疗一线治疗,实现快速起效、深度缓解,4个周期后即获得PR,充分体现了免疫联合化疗方案在晚期ESCC中的显著疗效。该病例为晚期ESCC的规范化诊疗提供了临床实践参考。随着免疫治疗在食管癌领域的不断探索,晚期食管癌患者的生存预后正在被改写,未来我们将继续依托循证医学证据,优化全程管理,期待更多患者能从免疫治疗中长期获益。
排版编辑:Niko






苏公网安备32059002004080号