您好,欢迎您

医案集萃丨罕见胃贲门与胃窦双原发印戒细胞癌:警惕内镜漏诊与HER2表达异质性

03月16日
编译:肿瘤资讯
来源:肿瘤资讯

胃癌是中国最常见的恶性肿瘤之一。[cite: 9]胃印戒细胞癌(SRCC)属于高度恶性的未分化胃癌,起源于胃黏膜上皮细胞。[cite: 10]研究表明,虽然胃癌的整体发病率正逐渐下降,但胃SRCC的发病率却在逐步上升。[cite: 11]同时发生的多原发性胃癌并不罕见,但绝大多数为管状腺癌,而发生于胃贲门和胃窦两个不同解剖部位的双原发性SRCC极其罕见。[cite: 44, 45, 46]本文报道了一例罕见的胃贲门与胃窦双原发印戒细胞癌病例,突出了其在内镜诊断、肿瘤异质性及多学科协作(MDT)管理方面的挑战[cite: 12, 13]

病史与诊疗经过

患者为一名69岁女性,有高血压病史,无胃癌家族史及幽门螺杆菌感染史。[cite: 57]患者因“食欲不振伴体重明显下降”入院就诊。[cite: 58]

胃镜检查显示,胃窦小弯处可见一大小约1.2 cm的不规则凹陷性溃疡,底部覆有黄白苔和污秽苔,周围黏膜水肿,活检组织质韧且易出血(图1)。

3165.png

图1. 胃窦小弯侧观察到一处不规则凹陷性溃疡,溃疡底部覆盖黄白色污秽物,周围黏膜水肿,质地坚韧,易出血。

[cite: 59, 60, 61]此外,贲门处也发现一大小约0.6 cm的不规则凹陷性溃疡(图2)。

3166.png


图2. 贲门处观察到一处不规则的凹陷性溃疡,溃疡底部覆盖着一层黄白色薄膜。周围黏膜充血水肿。标本质地较硬,易出血。

[cite: 62]病理结果提示:胃窦小弯及贲门处均为SRCC(图3)。

3167.png

图3. 印戒细胞癌(胃窦小弯、胃贲门)

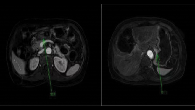
[cite: 64]上腹部平扫及增强MRI显示胃贲门及胃窦壁局部增厚并异常强化,无远处转移(cT2N1M0)(图4)。

3168.png

图4. 影像学检查

[cite: 66, 94]肿瘤标志物糖类抗原CA72-4升高至11.08 U/mL。[cite: 70]

经胃肠道肿瘤MDT综合讨论后,患者接受了腹腔镜辅助根治性全胃切除术及D2淋巴结清扫。[cite: 71, 93, 94]术后病理证实存在两个独立的同步原发性SRCC,均侵及固有肌层(pT2),且在切除的27枚胃周淋巴结中有20枚发生转移,病理分期为pT2N3b。[cite: 71, 72, 73, 74]

值得注意的是,免疫组化结果显示两处病灶的HER2表达存在异质性:贲门处肿瘤HER2表达为(1+),而胃窦小弯处肿瘤HER2表达为(3+)。[cite: 92]基于此异质性结果,MDT团队建议患者术后接受替吉奥联合曲妥珠单抗的辅助化疗与靶向治疗。[cite: 96]术后随访期间,患者经历了营养不良、术后感染和肠梗阻等并发症,对其生活质量造成了严重影响。[cite: 97]

早期胃SRCC缺乏典型的临床表现,且由于其弥漫浸润性生长的特点,在常规内镜下黏膜表现往往较为隐匿。[cite: 114, 176]当两个病灶位于胃的远端部位时,漏诊一个病灶的风险显著增加,这凸显了对全胃进行系统、细致的内镜评估以及在任何可疑区域进行多点活检的绝对必要性。[cite: 177, 178]


此外,本病例中观察到的HER2表达异质性(贲门1+与胃窦3+)展示了同一患者体内不同病灶间潜在的分子差异[cite: 24, 157]这种在同步胃癌中少见的异质性特征提示,临床医生必须将每一个同步肿瘤视为独立的实体进行生物标志物评估,以避免因取样误差而影响靶向治疗的精准决策。[cite: 113, 158]最后,面对这类复杂的罕见病例,MDT不仅在术前的根治性手术范围决策中发挥着核心作用,在术后营养与功能并发症的长期管理中同样不可或缺。[cite: 181, 182, 191]

参考文献

Wang C, Su Y, Jie C, et al. Synchronous gastric cardia and antrum signet ring cell carcinomas: A rare case report highlighting diagnostic challenges and multidisciplinary management. Medicine (Baltimore). 2026;105(11):e48009. 

医案集萃引流.png

责任编辑:古木
排版编辑:古木

版权声明

本文专供医学专业人士参考,未经著作人许可,不可出版发行。同时,欢迎个人转发分享,其他任何媒体、网站如需转载或引用本网版权所有内容,须获得授权,且在醒目位置处注明"转自:良医汇-肿瘤医生APP"。


评论
03月16日
武亚东
首都医科大学附属北京友谊医院 | 肿瘤外科
好好学习天天向上
03月16日
邵玉香
西华县中医院 | 肿瘤内科
胃癌是中国最常见的恶性肿瘤之一。胃印戒细胞癌(SRCC)属于高度恶性的未分化胃癌,起源于胃黏膜上皮细胞
03月16日
王龙
河北医科大学第四医院(河北省肿瘤医院) | 肿瘤内科
胃癌是中国最常见的恶性肿瘤之一。胃印戒细胞癌(SRCC)属于高度恶性的未分化胃癌,起源于胃黏膜上皮细胞。