晚期非小细胞肺癌(NSCLC)的治疗在靶向治疗时代取得了显著进展,但EGFR-TKI耐药后患者的治疗选择有限,预后往往不佳。抗体偶联药物(ADC)的崛起为这类患者提供了全新的治疗方向,其中芦康沙妥珠单抗作为中国原研、全球首个获批EGFR-TKI耐药NSCLC适应症的TROP2 ADC药物,凭借突破性临床数据荣登ESMO大会主席论坛1并同步发表于《新英格兰医学杂志》(NEJM)2,彰显了中国创新药的全球影响力。值得一提的是,芦康沙妥珠单抗用于经EGFR-TKI和含铂化疗治疗后进展的适应症在2025年3月获批,同年12月即被纳入国家医保目录3,2026年1月1日起报销政策正式落地。这种“当年获批、当年入保”的高效衔接,大幅压缩了创新药的患者可及周期,让患者不必久等,就能用上与国际前沿接轨的治疗方案。
近日,POWER INV栏目邀请湖南省肿瘤医院李佳教授分享了一例EGFR突变晚期NSCLC患者,经三代EGFR-TKI治疗耐药后,接受芦康沙妥珠单抗治疗实现超24个月无进展生存的病例,患者整体PFS已超5年,为临床提供了极具价值的实践参考。本文特邀湖南省肿瘤医院邬麟教授对该病例进行深入点评,剖析芦康沙妥珠单抗在NSCLC治疗管理中的独特价值。
湖南省肿瘤医院(中南大学湘雅医学院附属肿瘤医院)内科教研室主任,GCP肿瘤专业负责人、胸内二科主任
湖南省肺癌临床医学研究中心主任
湖南省卫生健康高层次人才学科带头人
主持国际、国内多中心临床试验200 余项,主持省部级课题20余项,发表论文200余篇,部分成果发表在Lancet、JAMA、Lancet Oncology、JCO、JTO、Nature Communications、BJC等著名国际期刊。
担任中国抗癌协会(CACA)老年肿瘤专委会副主委,CACA肿瘤内科专委会副主委,中国临床肿瘤学会(CSCO )老年肿瘤专委会副主委,中国医促会肿瘤舒缓治疗学分会副主委,CSWOG肺癌专委会候任主委,中国老年保健协会肺癌专委会副主委,中华医学会肿瘤学分会肿瘤内科专委会委员,CSCO理事,CACA小细胞肺癌专委会常委、原发灶不明及多原发癌专委会常委,CSCO罕见肿瘤专家委员会常委,湖南省健康服务业协会肿瘤防治分会理事长,湖南省抗癌协会肿瘤化疗专委会主委,湖南省医师协会肿瘤医师分会副会长,湖南省抗癌协会肺癌专委会副主委等多个学术任职。
湖南省抗癌协会化疗专业委员会委员兼秘书
湖南省国际医学交流促进会肺癌专业委员会委员
湖南省健康服务业协会肿瘤多学科诊疗专业委员会委员
湖南省健康服务业协会肿瘤防治分会委员
擅长肺癌、消化道肿瘤的诊断及治疗,尤其擅长肺癌、消化道肿瘤的精准靶向治疗、规范化诊疗,对肺癌及消化道肿瘤诊断、化疗、靶向治疗、耐药后治疗,癌痛规范化治疗有丰富的临床经验。
作为研究者参与多项I-III期国内及国际多中心临床试验,以第一作者发表SCI及中文核心期刊论文数篇。
病例分享
病例介绍
患者,男性,61岁。
主诉:肺癌术后靶向治疗后3年余,病情进展。
现病史:患者2020年6月初体检发现左上肺结节(2.4cmx1.7cm),2020年7月22日在全麻下行胸腔镜下左上肺癌根治术。术后病理示:(左上肺)腺癌,腺泡型为主,小灶呈实体型改变,癌组织紧邻但未突破脏胸膜,可见气道内播散,肿瘤最大径约2.5cm;支气管残端未见癌;淋巴结(9组)1/1、(10组)1/1、(12组)1/4见癌转移,其余淋巴结未见转移。免疫组化:CK7+、TTF-1+、NapsinA弱+、CK5/6-、P63-、P40-、CK+、Ki-67约30%、ALK-。基因检测示EGFR19号外显子突变。术后于2020年8月开始口服甲磺酸阿美替尼片靶向治疗,定期复查。2023年9月复查CT提示纵隔软组织结节、左锁骨上区增大淋巴结,考虑病情进展;行彩超引导下锁骨下淋巴结穿刺,病理示低分化腺癌,提示肺来源。
个人史:有30余年饮酒史(量少,已戒酒3年),30余年吸烟史(每天约2-3包,戒烟3年)。
查体:PS评分1分,左侧锁骨上可触及多个淋巴结(约10mm-13mm),余浅表淋巴结未扪及;胸廓对称无畸形,双肺呼吸音清,未闻及啰音;全身各大关节无肥大,无杵状指(趾)。
辅助检查:
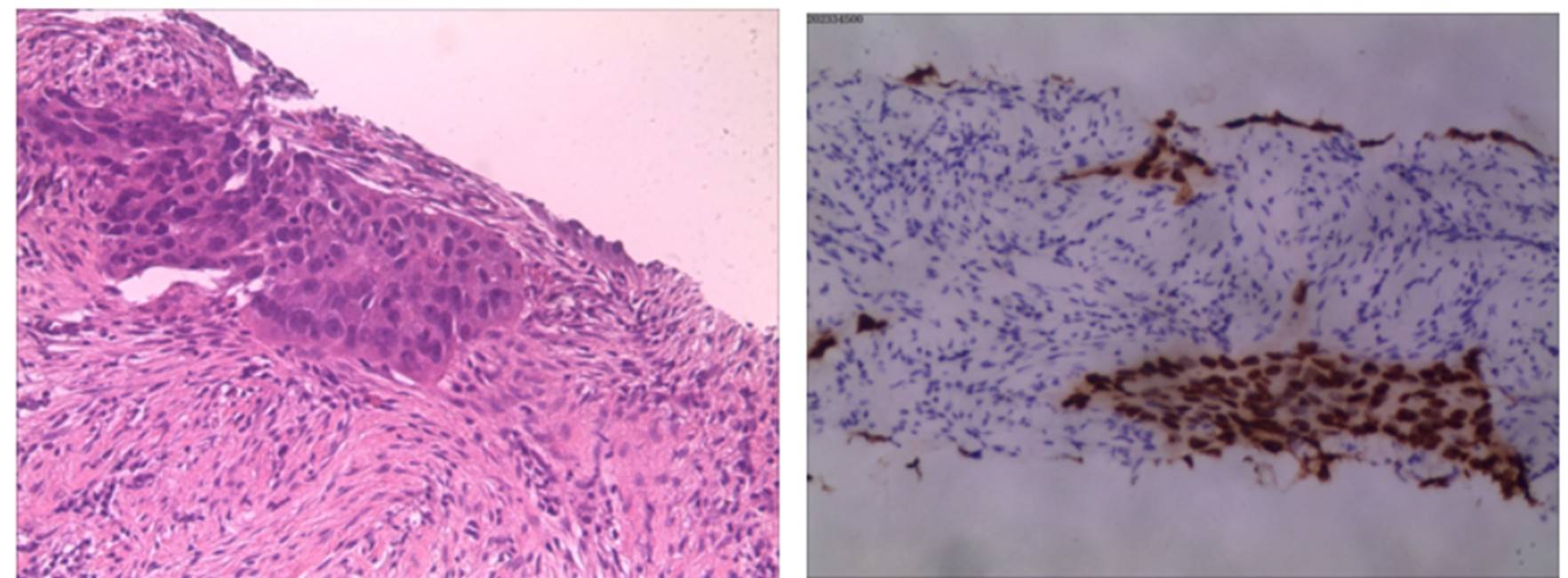
病理及免疫组化(图1):2023年9月18日左侧锁骨淋巴结穿刺活检示低分化腺癌(肺来源),免疫组化CK7(+)、CKpan(+)、TTF-1(+)、NapsinA(+)、Brg1(+)、CK20(-)、CK5/6(-)、P40(-)等,Ki-67(+约40%);

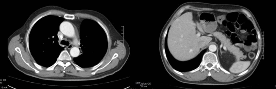
影像学检查:2023年10月16日CT示左侧锁骨上区、纵隔及左肺门区多发淋巴结部分较前稍增大(22mm),肝S4段结节(10mm),考虑转移瘤;脑MRI、骨扫描未见转移;

基因检测:EGFR19号外显子突变。
初步诊断:原发性支气管肺癌(左上肺周围型腺癌),IVA期(TxN3M1b),肝转移、淋巴结转移,EGFR19号外显子突变。
治疗历程
二线治疗:芦康沙妥珠单抗临床研究治疗
患者符合OptiTROP-Lung04 III期临床试验(NCT05870319)入组标准,该研究为随机、开放性、多中心试验,比较芦康沙妥珠单抗单药与培美曲塞联合铂类治疗EGFR-TKI治疗失败的EGFR突变局部晚期或转移性非鳞NSCLC患者的疗效与安全性。患者于2023年10月12日签署知情同意书,成功随机入组芦康沙妥珠单抗试验组。
用药方案:2023年10月20日至2024年6月12日(1-8周期)给予芦康沙妥珠单抗376mg(IV,D1、D15给药,每4周为一个周期);2024年6月13日至2025年10月16日(9-26周期)体重下降,为保障治疗可持续性,药物调整剂量为330mg,继续保持足剂量用药,给药周期不变。
疗效评价:治疗期间定期进行影像学评估,疗效持续达部分缓解(PR):
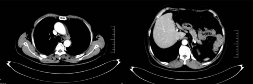
2023年12月4日(4周期后):左侧锁骨上区、纵隔及左肺门区多发淋巴结转移瘤较前缩小,肝S4转移瘤较前缩小;

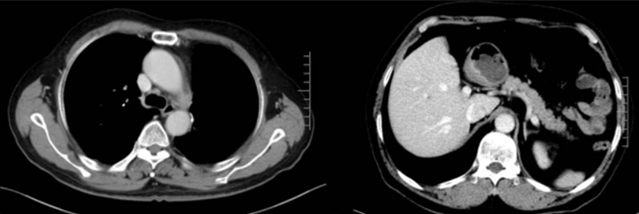
2024年3月4日(5月后):左侧锁骨上区、纵隔及左肺门区多发小淋巴结大致同前,肝S4转移瘤显示不清;

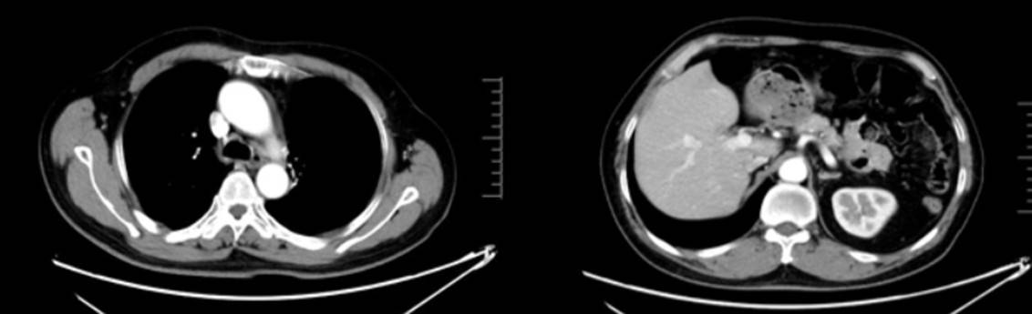
2024年9月19日(11月后):左侧锁骨上区、纵隔及左肺门区多发小淋巴结大致同前,左残肺及右肺小结节灶较前变化不明显;

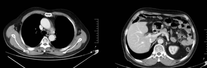
2024年12月9日(14月后):左残肺及右肺结节较前明显缩小;

2025年8月19日(22月后):左侧锁骨上区、纵隔及左肺门区多发小淋巴结基本同前,未见明确疾病进展迹象。

截至2025年10月,患者已接受芦康沙妥珠单抗治疗超24个月,PFS达24个月以上,仍在持续治疗中,疾病控制稳定。
不良反应:治疗期间未出现≥3级治疗相关不良反应(TRAE),安全性良好。主要不良反应包括2级口腔黏膜炎,后降至1级并持续;1级上呼吸道感染、白细胞降低、中性粒细胞降低、高血糖症、尿胆红素增高、尿素增高、恶心(均已痊愈);1级脱发、贫血、体重降低以及双眼慢性泪囊炎(持续存在)。所有不良反应经对症处理后均得到有效控制,未影响治疗进程,患者耐受性可。
治疗小结

问题1:作为本例病例的诊疗医生,能否为我们简要总结该患者从确诊、术后靶向治疗到耐药后接受芦康沙妥珠单抗治疗的核心诊疗过程及关键疗效数据?
李佳医生:该患者为EGFR突变晚期非小细胞肺癌,诊疗过程分为三阶段:第一阶段确诊后行肺癌根治术,术后因EGFR突变接受辅助TKI治疗,以降低复发风险;第二阶段治疗期间出现疾病进展,伴肝转移,提示EGFR-TKI耐药,二次活检未发现明确继发耐药突变或旁路激活,传统化疗疗效有限,遂入组芦康沙妥珠单抗临床研究,接受二线治疗;第三阶段经芦康沙妥珠单抗治疗后,取得持久优异疗效,PFS超24个月,肝转移病灶实现深度且持久的缓解。
问题2:结合该患者肝转移后经芦康沙妥珠单抗治疗实现超24个月PFS的临床实践,你认为这一病例为EGFR-TKI耐药晚期NSCLC的临床诊疗带来了哪些重要启发?在类似患者的治疗决策、不良反应管理等方面有哪些可借鉴的经验?
李佳医生:其一,精准检测是靶向治疗的基石,EGFR-TKI耐药后,应尽可能通过组织或液体活检明确耐药机制,既可为排除针对性靶向耐药突变提供依据,也能指导后续化疗、免疫治疗或ADC类药物的选择。其二,对于无明确靶向耐药突变或耐药机制复杂的患者,传统化疗疗效有限,而靶向TROP2的ADC药物芦康沙妥珠单抗是有效的治疗选择。其三,不良反应管理至关重要,该患者主要不良反应为口腔黏膜炎,经预防性处理可有效控制,整体耐受性良好。临床中需对常见不良反应提前预判、主动监测并积极处理,才能保障患者耐受治疗、足量足疗程完成治疗,进而获得最大临床获益。


专家点评
本例患者为EGFR19号外显子突变NSCLC,术后接受三代EGFR-TKI阿美替尼治疗获得38个月的超长PFS,耐药后出现淋巴结及肝转移,二线采用芦康沙妥珠单抗单药治疗实现超24个月的持续疾病控制,且安全性可控,充分展现了芦康沙妥珠单抗在EGFR-TKI耐药晚期NSCLC治疗中的突破性价值。
问题1:对于EGFR-TKI耐药NSCLC,耐药机制复杂,芦康沙妥珠单抗的OptiTROP-Lung04研究显示:针对“all-comer”耐药患者均能改善PFS与OS,该研究将如何改变临床实践?
临床研究赋能:耐药后的精准治疗选择
EGFR-TKI耐药是晚期EGFR突变NSCLC治疗的核心挑战,尤其是三代TKI耐药后,约75%的患者耐药机制不明或复杂,缺乏精准靶向方案。芦康沙妥珠单抗作为靶向TROP2的新型ADC药物,凭借“all-comer”策略,无需依赖特定生物标志物检测,适用于广泛耐药人群,为这类缺乏有效治疗手段的患者提供了全新选择。本例患者耐药时,OptiTROP-Lung04研究正处于临床研究阶段,该研究旨在探索芦康沙妥珠单抗单药对比培美曲塞联合铂类治疗EGFR-TKI治疗失败患者的疗效与安全性。患者符合研究入组标准,经评估后选择入组接受芦康沙妥珠单抗治疗。
问题2:本例患者在靶向药治疗进展后出现肝转移,接受芦康沙妥珠单抗治疗后实现超24个月PFS,这一临床结果对EGFR-TKI耐药患者的治疗有何突破性意义?
疗效再创新高:超24个月PFS的突破性表现
芦康沙妥珠单抗展现出了令人瞩目的持久疗效:患者接受治疗后快速实现病灶缩小,4周期后即达到PR,且疗效持续稳定超24个月,PFS已突破24个月,远超传统二线化疗的生存预期,也显著优于其他后线治疗方案。
我们中心作为共同第一作者的OptiTROP-Lung04研究荣登ESMO大会主席论坛并发表于《新英格兰医学杂志》(NEJM),数据显示芦康沙妥珠单抗单药治疗较化疗显著延长PFS至8.3个月,显著降低疾病进展风险51%(p<0.0001),中位OS尚未达到,但已呈现显著改善,模型预测显示有望达到27-30个月,进一步印证了本例患者治疗效果的可靠性。患者在长达24个月的治疗中持续维持PR状态,充分验证了芦康沙妥珠单抗的持久控瘤能力,为晚期患者实现“慢病化管理”提供了有力支撑。


尤为关键的是,这种获益在OptiTROP-Lung04研究多个预设亚组中高度一致,充分体现了其广泛的普适性。在EGFR突变亚型方面,包括19号外显子缺失(19-Del)患者和L858R突变患者。亚组分析显示,芦康沙妥珠单抗在19-Del人群中PFS HR为0.42,在L858R人群中HR为0.57,OS获益趋势一致。这一结果具有重要全球意义:亚洲人群以19-Del为主,而高加索人群中L858R比例相对更高,芦康沙妥珠单抗在两大主要人群中的稳健疗效,意味着无需根据突变亚型进行治疗选择,真正实现“不分亚型、一药通用”。
在肝转移患者这一预后较差的难治人群中,芦康沙妥珠单抗同样展现出显著优势(OS HR=0.53);且3级及以上治疗相关不良事件(TRAE)发生率与非肝转移人群相近,表明其在高危人群中兼具疗效与安全性。
在T790M突变状态方面,无论患者基线T790M阳性或阴性,芦康沙妥珠单抗均带来一致的PFS获益(HR分别为0.50和0.50),说明其疗效不受T790M状态影响,适用于TKI耐药后各类分子背景患者。
在既往EGFR-TKI治疗类型上,无论患者此前一线或二线接受过三代TKI治疗,芦康沙妥珠单抗的PFS获益均保持一致(HR分别为0.48和0.49),进一步验证了其在EGFR-TKI耐药后治疗的普适性。
问题3:结合本例患者的不良反应管理情况,芦康沙妥珠单抗在临床应用中常见不良反应的特点是什么?针对口腔黏膜炎等典型不良反应,有哪些高效可控的管理策略保障患者长期治疗?
安全保驾护航:低级别不良反应的可控管理
在安全性方面,患者仅出现轻度至中度不良反应,无≥3级治疗相关不良反应(TRAE)发生,耐受性极佳。针对临床常见的口腔黏膜炎,通过规范的对症管理(如使用无酒精漱口水漱口、黏膜保护剂、避免刺激性食物等),症状得到有效控制,从2级降至1级,未影响治疗进程。注射预处理方面,治疗前完善血常规、肝肾功能等基线检查,治疗期间定期监测血象及不良反应,及时干预异常指标,保障了治疗安全。芦康沙妥珠单抗的不良反应以轻度为主、可防可控,这一特点与多中心临床研究结果一致,其在高效杀伤肿瘤的同时,最大程度减少了对正常组织的损伤,保障了患者长期治疗的可行性与生活质量,也为临床广泛应用奠定了坚实基础。
[1] Zhang L. et al. 2025 ESMO LBA5
[2] Fang, Wenfeng et al. “Sacituzumab Tirumotecan in EGFR-TKI-Resistant, EGFR-Mutated Advanced NSCLC.” The New England journal of medicine, 10.1056/NEJMoa2512071. 19 Oct. 2025.
[3] 国家药品监督管理局官网信息
排版编辑:Crystal






苏公网安备32059002004080号