您好,欢迎您

方年新、刘镇威团队:舒格利单抗联合化疗携手多学科诊疗创造新可能——一例双发鳞癌拒绝手术患者的治愈之路

03月05日
整理:肿瘤资讯
来源:肿瘤资讯

双原发鳞癌在临床中并不常见,而当肺与喉部同时出现病灶时,明确其来源、制定精准治疗策略往往成为包括呼吸科、胸外科、耳鼻喉科、放疗科及病理科等科室在内的多学科诊疗(MDT)难题。如何精确诊断,并结合新型药物的个体化应用,是为患者带来更多获益的关键。


本期分享由东莞市人民医院刘镇威教授带来一例特殊的右肺及声门双灶鳞癌病例,该患者经多科室MDT反复研判,结合舒格利单抗联合化疗方案实现深度缓解,进而序贯根治性放疗,最终帮助患者走向“临床治愈”。该病例诊疗经过凸显了双发鳞癌鉴别诊断的复杂性,更展示了以舒格利单抗为基础的系统治疗如何在患者治疗意愿受限、病灶部位特殊的情况下,为多学科根治策略创造“转化”窗口。特邀东莞市人民医院方年新教授进行点评。

刘镇威 教授
呼吸与危重症医学科副主任医师

东莞市中医药学会呼吸病分会委员
广东省临床医学学会肿瘤医防融合专业委员会委员
广东省基层医药学会呼吸介入诊治专委会委员
广东省呼吸与健康学会小细胞肺癌专委会委员
广东省呼吸与健康学会呼吸内镜与介入呼吸病学专委会委员
从事临床工作10余年,曾于上海长海医院、北京煤炭总医院、中山大学肿瘤医院、广州呼吸健康研究院等多个国内知名中心进修学习,擅长肺癌诊治,尤其精于气道介入治疗以及经皮肺介入技术等,参编《支气管腔内超声百例临床应用》等专著,发表SCI 3篇,获得实用新型专利2项

病例简介

基本情况

基本信息:患者男,67岁。

主诉:因感冒出现低热,最高体温37.7℃,伴有咳嗽、活动后气促10天。

既往史:有高血压病、糖尿病病史多年,既往吸烟40余年,每天2包,未戒烟;无肿瘤家族史。

现病史:2025-01-03,患者于当地医院就诊,胸部平扫CT示右肺上叶病变,考虑肿瘤性病变可能;慢性支气管炎,肺气肿征象。右肺上叶尖后段支气管闭塞。给予抗感染治疗,效果欠佳。2025-01-13,患者入住我院。

图1. 入院检查

入院检查

血常规:白细胞7.2×109/L,血红蛋白112g/L。

CRP:146.52mg/L

血气分析:氧分压72mmHg,二氧化碳分压37mmHg。

糖化血红蛋白:7.7%

电解质、肾功能、肝功能、凝血四项、BNP未见明显异常。

肿瘤标志物:NSE、CYFRA21-1、SCC、AFP、CEA、proGRP、CA199无明显升高。

住院肺功能检查:小气道功能异常。

心血管彩超:静息状态下心脏结构及功能未见明显异常。
 
2025-01-13,予以抗感染、对症处理。

2025-01-16,予以纤维支气管镜检查。

图片1.png

图2. 支气管镜检查结果

镜检诊断:声门新生物,左主支气管隆起、右上叶尖段新生物;右气管旁软组织。

图3. 病理检查

颅脑MR+增强:未见转移征象。

全身PET/CT:声门区病变活检术后,双侧声带前缘壁稍毛糙,糖代谢增高,考虑双侧颈部淋巴结炎性增生。右肺上叶尖后段支气管闭塞,并右肺上叶尖后段团片灶(71mm×48mm),糖代谢增高;综上不除外肿瘤性病变。考虑纵隔、双肺门淋巴结炎性增生。

图4. 入院PET-CT检查

MDT讨论

影像科:头颈部肿瘤肺转移常常伴有颈部淋巴结转移,该患者PET没有提示,不支持喉癌伴肺转移。肺部病灶为中央型,而转移瘤多在外周,该患者符合原发性肺癌表现。但从影像上难以判断声门肿物为原发以及转移。

病理科:患者诊断鳞癌明确,但鳞癌无特异性免疫组织化学标志物提示其组织来源。从肺部以及声门鳞癌的形态/免疫组化等均相同,确实不能除外转移。目前资料难以区分原发以及转移。下一步可以在上述两个部位分别进行二代测序来尝试区分来源。

胸外科:临床肺癌伴声门转移以及双原发的发生率均不高,目前暂时无法明确为双原发以及肺癌声门转移。但无论是双原发,或者寡转移,外科手术切除均能获益。肺功能尚可,预计能耐受手术。但右上肺病灶与纵隔大血管分界不清,暂不建议手术,内科抗肿瘤治疗后再评估手术时机。

耳鼻喉科:影像提示喉部肿物局限,无论是原发或转移,均有手术切除指证。声门肿物在活检过程中已大部分钳除,对声门影响小,可优先处理肺部肿瘤。手术方式应采取半喉切除,对生活质量影响较大。

放疗科:如为双原发病灶,肺部病变较大,应首选外科切除,对不能手术或者考虑已经转移再考虑放疗。2025 NCCN指南提示声门癌除了外科手术外,放疗亦可以考虑。放疗对生活质量影响较小。

呼吸内科:鳞癌通过常规病理常常难以明确来源。患者肺部病灶较大,确实不能除外转移的可能。结合胸外科以及耳鼻喉科意见,肺部病变先予内科抗肿瘤治疗。内科抗肿瘤治疗后患者需要局部处理,注意沟通病情以及患者的手术意向,选择合适的治疗模式。
 
患者意见:拒绝喉部手术;拒绝二代测序;同意内科抗肿瘤治疗;胸部手术意愿较低。

治疗经过

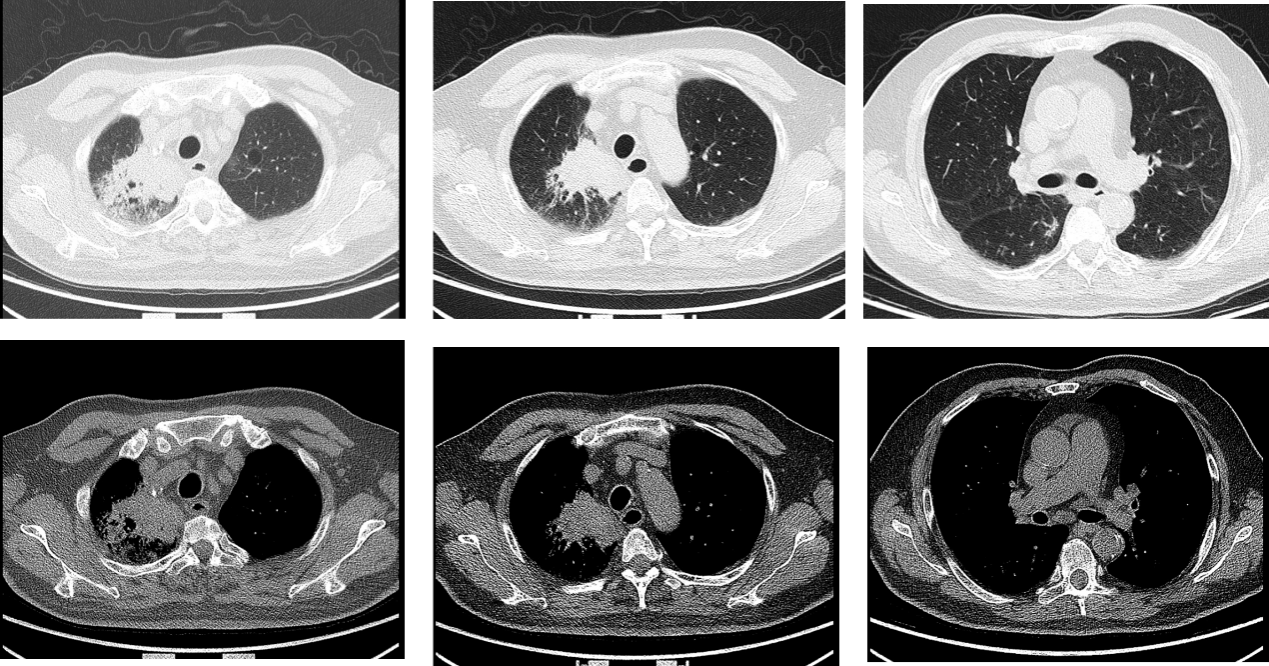
2025-02,待患者呼吸道症状缓解,开始第一程舒格利单抗+白蛋白紫杉醇+卡铂方案,总计治疗6疗程,期间患者耐受性良好。2025-06,复查胸部CT提示病灶明显缩小,喉镜提示未见新生物。

11111.png

图5. 2025-06复查喉镜

图6. 2025-06疗效评估

2025-06,复查PET-CT,对比2025-01-20。

 PET/CT:

  • 1. 喉癌治疗后,喉壁未见增厚,糖代谢未见异常。

  • 2. 右肺癌治疗后,原右肺数个高代谢团块现已消失;右肺上叶少量类结节、条索灶,糖代谢未见异常,考虑肿瘤代谢完全缓解可能,请结合临床。

  • 3. 双肺各叶胸膜下多发细小结节,糖代谢未见异常,考虑炎性病变可能。左肺上叶肺大泡。双肺门及纵隔(4R4L、7组)多发小淋巴结,糖代谢未见增高,考虑炎性增生可能。双侧胸膜增厚;心包少量积液。

图7. 2025-06疗效评估

MDT讨论

影像科:2025-03CT示右肺病灶缩小,疗效评价为PR。6程化疗后复查PET/CT仍存在小结节,在实体瘤的疗效评价中,只能判断为PR。但是PET/CT提示病灶糖代谢未见异常,而且CT无强化,可以考虑为坏死,但此时仍不能确定为CR。

胸外科:该患者影像学PET/CT检查上未发现肿瘤,类似于临床上CR。但是否能达到pCR,仍需手术标本来确定。根据目前影像学,残留病灶仅为右上肺病灶,如一开始不考虑转移,手术切除将更为完整。如为寡转移,2025 STS指南,外科手术切除仍有获益,但手术范围以及术式仍存在争议。

放疗科:该患者如果一开始不考虑转移,分期是IIIA期,经过积极的治疗,有70%的病人可以达到两年的PFS,所以我们以局部治疗为核心。手术当然可以考虑,但放疗也未尝不可。疗效评价为PR,后续巩固治疗,可参考PACIFIC或GEMSTONE-301方案。一开始考虑寡转移,根据2023美国放射肿瘤学会指南,因需进行多部位治疗(肺+声门),更倾向放疗。所以,建议首选放疗。

呼吸科:目前仍不能明确双原发或肺癌声门转移。如一开始不考虑转移,手术切除会更完整。但如果考虑为寡转移,很多数据表明,手术以及放疗均能获益,没有更高等级的证据说明孰优孰劣。
 
患者意见:拒绝外科手术。选择放疗。
 
2025-06,开始分别进行喉部以及胸部放疗。

2025-08,予以免疫巩固治疗,持续随访中。

专家点评

方年新 教授
主任医师、硕士研究生导师、东莞市杰出青年医学人才

东莞市人民医院呼吸与危重症医学科一区主任
东莞市呼吸与危重症医学医疗质量控制中心副主任
中国呼吸肿瘤协作组南区常务委员
中国医药教育协会微创介入呼吸分会常务委员
广东省医师协会结核分会副主任委员
广东省医学教育协会肺肿瘤中西医结合治疗专业委员会副主任委员
广东省呼吸与健康学会感染专业委员会副主任委员
广东省呼吸与健康学会呼吸内镜与介入呼吸病学专业委员会副主任委员
广东省呼吸与健康学会小细胞肺癌专业委员会常务委员
东莞市中医药协会中西医结合呼吸病专业委员会副主任委员
主持及参与国家级、省市级课题10余项,主编及参编专著14部,先后发表论文20余篇,其中SCI 7篇,获得实用新型专利3项

方年新教授:本病例为一例67岁男性,初诊即为右肺及声门双灶鳞癌。针对此类患者,“双原发”或“转移”的鉴别困境在真实世界临床中仍是难题。本病例通过两次MDT,系统整合了影像、病理、外科、放疗等多维视角,在患者拒绝基因检测及外科干预的严格约束下,仍成功完成个体化诊疗决策,其临床路径具有重要参考价值。

其中,在系统治疗方面,主诊医生选择舒格利单抗联合白蛋白紫杉醇/卡铂方案一线治疗,基于GEMSTONE-302研究的亚组证据,该方案在鳞癌患者中客观缓解率(ORR)达70.5%,且不受PD-L1表达水平限制[1]。本例患者在6周期治疗后即实现肺部病灶显著缩小、喉镜未见新生物,PET/CT提示代谢完全缓解,充分验证了该联合方案在真实世界中对高肿瘤负荷、不可手术患者的快速、深度控制能力。

更为关键的是,免疫联合化疗不仅实现了系统控制,更为后续根治性局部治疗创造了条件。在患者仍拒绝手术的情况下,团队及时启动喉部及胸部放疗,将系统缓解转化为局部根治,最终达成影像与代谢双重CR状态。这一整合治疗路径体现了免疫治疗在多学科协作中的“桥梁”作用,也为类似个体状况的患者的诊疗策略制定提供了参考。

本病例的另一亮点在于MDT机制的高效运转。面对诊断不确定性、治疗意愿受限等客观条件的限制,MDT团队通力合作,分阶段推进了个体化诊疗策略。第一次MDT聚焦于原发部位评估与治疗优先级排序,确立了以肺部病灶为核心的系统治疗先行策略;第二次MDT则在深度缓解后围绕残留病灶的局部干预方式进行讨论,最终结合患者意愿选择放疗。这一过程充分体现了MDT在复杂病例中的重要临床价值。

总体看来,本病例强调了MDT机制在复杂病例中的重要性,并体现了舒格利单抗联合化疗方案在肺鳞癌患者诊疗中的优异疗效,二者协力成功促使一例诊断不明、意愿受限的双灶鳞癌走向“临床治愈”。

参考文献

[1] Zhou C, et al. Sugemalimab versus placebo, in combination with platinum-based chemotherapy, as first-line treatment of metastatic non-small-cell lung cancer (GEMSTONE-302): interim and final analyses of a double-blind, randomised, phase 3 clinical trial. Lancet Oncol. 2022 Feb;23(2):220-233.

责任编辑:肿瘤资讯-TY
排版编辑:肿瘤资讯-Alex
版权声明
版权归肿瘤资讯所有。欢迎个人转发分享,其他任何媒体、网站如需转载或引用本网版权所有内容,须获得授权,且在醒目位置处注明“转自:良医汇-肿瘤医生APP”。

评论
03月08日
张月芬
山西大同市同煤集团肿瘤医院 | 肿瘤内科
格利单抗联合化疗携手多学科诊疗创造新可能