在我国,胃癌是严重威胁国民健康的恶性肿瘤之一。近年来,随着靶向治疗的飞速发展,胃癌诊疗日益精准。其中,HER2是胃癌领域一个经典且重要的治疗靶点,多中心流行病学研究(HER-EAGLE研究)显示[1], 中国人群中HER2高表达比例约12%,与ToGA研究的全球数据基本一致。
过去,对于HER2阳性晚期胃癌的一线治疗,KEYNOTE-811研究[2]确立了帕博利珠单抗联合曲妥珠单抗及化疗在PD-L1阳性人群中的地位,但该人群的生存期仍有提升空间,临床需求远未被满足。2026 ASCO GI公布的HERIZON-GEA-01研究的首次数据分析,为我们带来了新的曙光。该研究提示,泽尼达妥单抗联合替雷利珠单抗及化疗的方案,能为HER2阳性晚期胃癌患者带来无进展生存期(PFS)与总生存期(OS)的双重获益,且肿瘤缓解更为深刻、持久,安全性总体可控。
本期,我们将分享来自HERIZON-GEA-01研究中的一例代表性案例。这位患者在接受泽尼达妥单抗联合替雷利珠单抗及化疗的方案后,肿瘤快速退缩,并实现了超过44个月的持续缓解,至今仍在治疗中,无进展生存期不断刷新。
病例介绍
患者基本情况
男性,58岁。
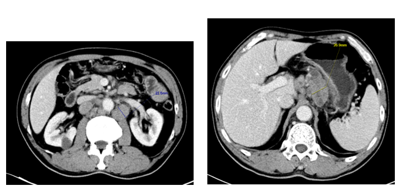
2022-05-30胸部平扫+增强CT;上腹部平扫+增强CT:两侧锁骨上、纵隔、肝胃间隙、腹膜后、膈肌脚后方多发肿大淋巴结,胃小弯侧壁显示增厚,建议胃镜。2022-05-30超声:双下颈、双侧锁骨上多发淋巴结肿大(转移性考虑),双侧腋窝淋巴结(转移性待排),甲状腺缩小伴回声不均。行超声引导下左侧锁骨上淋巴结粗针活检术,术后病理(202218301):(左侧锁骨上淋巴结)淋巴结转移性腺癌,以微乳头状生长。2022-06-02查胃镜示:胃体底CA累及贲门。胃镜病理示:(胃体)腺癌。免疫组化: hMLH1(+)、hMSH2(+)、hMSH6(+)、PMS2(+)、Her2(3+)、EBER(-)、CK7(+)、PD-L1(22C3)(CPS=1)。完善头颅MR未见转移灶。


肿瘤标志物: CEA 177.46ng/ml↑, CA199 1839.35 U/ml ↑,CA125 4204 U/ml ↑。
诊断:1. 胃恶性肿瘤 T4aN3M1期;2. 淋巴结继发性恶性肿瘤
治疗经过
患者自愿参加“一项在患有不可切除的局部晚期或转移性HER2阳性胃食管腺癌的受试者中评估泽尼达妥单抗(Zanidatamab,ZW25)联合化疗,联合或不联合替雷利珠单抗疗效的随机、多中心、III期研究”。
于2022-06-13入组,2022-6-27至2026-2-12行第C1-C63治疗,具体用药:ZW25 1800mg+替雷利珠单抗200mg d1+奥沙利铂 130mg/m2 d1+卡培他滨 1000/750/500mg/m2 bid po d1~14, Q3W。(C7起停用奥沙利铂,因甲沟炎下调卡培他滨剂量)。
影像学评估:部分缓解(PR)

肿瘤标志物变化

不良反应
甲沟炎CTCAE 2级,低白蛋白血症CTCAE 1级,瘙痒症CTCAE 1级,贫血CTCAE 1级,血胆红素增高CTCAE 1级,白细胞下降CTCAE 1级。
目前仍在组治疗中,一线PFS已超过44个月。
HER2靶向治疗是胃癌精准治疗的重要篇章。从靶化免联合治疗到ADC药物应用,再到如今的双特异性抗体探索,治疗策略不断优化。2026年ASCO GI大会公布的HERIZON-GEA-01研究[3]III期数据,标志着HER2阳性晚期胃癌一线治疗进入了“双抗+化疗+免疫”的新时代,该研究证实,相较于标准治疗组(曲妥珠单抗+化疗),泽尼达妥单抗联合替雷利珠单抗及化疗能显著延长患者的PFS至12.4个月(vs 对照组8.1个月,HR=0.63,P<0.0001),中位OS达到26.4个月(vs 对照组19.2个月,HR=0.72,P=0.0043)。泽尼达妥单抗+替雷利珠单抗+化疗组确认的客观缓解率(cORR)高达70.7%,中位缓解持续时间(DOR)长达20.7个月。本次分享的病例正是这一前沿临床研究获益者的缩影。
本文分享的患者为PD-L1低表达(CPS=1)、初治时已属IV期伴远处转移,属于传统治疗预后不佳的人群。然而,在加入HERIZON-GEA-01研究后,患者快速缩瘤,虽然从2023年起CEA水平有所升高并超出正常参考值上限,但其后的多次影像学复查(直至最近一次2026年2月)均保持PR状态,未见明确进展征象,已获得了超过44个月的超长PFS。这强有力地印证了临床研究数据,表明“泽尼达妥单抗+替雷利珠单抗+化疗”方案能够诱发深度且持久的治疗应答,甚至让部分晚期患者获得类似慢性病管理的长周期生存效益,这是肿瘤治疗追求的重要目标。
泽尼达妥单抗通过反式结合的形式双重阻断HER2信号,更有效地抑制肿瘤生长并诱导独特的补体依赖性细胞毒性(CDC)作用、强劲的抗体依赖的细胞介导的细胞毒作用(ADCC)和抗体依赖性细胞介导的吞噬作用(ADCP),可能导致更强的肿瘤细胞杀伤和抗原释放。这可能会改善肿瘤免疫微环境,与替雷利珠单抗产生协同作用。本病例中,即便是PD-L1低表达的患者,也获得了极佳疗效,其协同机制值得深入探讨。
患者在长达3年半的治疗中,出现的不良反应主要为甲沟炎、血液学毒性等,程度多为1~2级,与化疗及靶向治疗已知毒性谱相符,且通过暂停奥沙利铂、调整卡培他滨剂量及对症支持治疗均得到良好控制。这反映了该方案在取得卓越疗效的同时,总体安全性可控,患者耐受性良好,能够支持长期治疗,从而将临床研究的生存获益转化为患者的实际长期生存。期待随着该研究数据的进一步成熟和方案的未来可及,为更多HER2阳性晚期胃癌患者带来新的、更优的一线治疗选择,实现长期生存的目标。
主任医师 副教授 硕士生导师
中国抗癌协会肿瘤肝脏病学专业委员会委员
中国抗癌协会胃部肿瘤整合康复专业委员会委员
杭州临床肿瘤研究会胃癌研究分会副主委
杭州临床肿瘤研究会胰腺癌研究分会副主委
浙江省数理医学学会胃癌专业委员会常委
浙江省抗癌协会肿瘤转移专业委员会常委
杭州临床肿瘤研究会县域肿瘤研究分会常委
浙江省中医药文化交流协会中西医结合肿瘤专业委员会常委
浙江省抗癌协会胃癌专业委员会青年委员
浙江省数理医学学会盆腔肿瘤多学科诊疗专业委员会委员
浙江省医学会肿瘤营养与治疗学分会青委会委员
浙江省抗癌协会抗癌药物专业委员会临床肿瘤药学学组成员
浙江省医学会第四届医学鉴定专家库成员
参与国际及国内多中心临床研究百余项
曾多次在胃癌、结直肠癌MDT比赛中获奖
本期特邀专家——郑美芳 医师
杭州临床肿瘤研究会胃癌研究分会委员兼秘书
第一作者身份发表论文9篇,其中SCI 7篇
擅长胃、肠、肝胆胰等消化道肿瘤内科的综合治疗
参与多项全球多中心临床研究
主持和参与多项基金
第二届全国胃癌领域中青年医师挑战赛总冠军
第四届全国胃癌中青年MDT菁英挑战赛亚军
2025胃癌诊疗提升计划MDT全国总决赛亚军
浙江省数理医学学会收集MDT病例比赛胃肠组第一名
[1] Huang D, Lu N, Fan Q, et al. HER2 status in gastric and gastroesophageal junction cancer assessed by local and central laboratories: Chinese results of the HER-EAGLE study. PLoS One. 2013;8(11):e80290.
[2] Janjigian Y Y, Kawazoe A, Bai Y, et al. Final overall survival for the phase III, KEYNOTE-811 study of pembrolizumab plus trastuzumab and chemotherapy for HER2+ advanced, unresectable or metastatic G/GEJ adenocarcinoma. Ann Oncol, 2024, 35: S877–S878.
[3] Elimova E, Rha SY, Shitara K, et al. Zanidatamab + chemotherapy (CT) ± tislelizumab for first-line (1L) HER2-positive (HER2+) locally advanced, unresectable, or metastatic gastroesophageal adenocarcinoma (mGEA): Primary analysis from HERIZON-GEA-01. 2026 ASCO GI, LBA285.
排版编辑:肿瘤资讯-清雅
往期回顾:
【胃癌】转“胃”为安——一例转移性胃癌患者经替雷利珠单抗联合SOX治疗后成功转化达到病理完全缓解
【胃癌】救难“介胃”,白鱼“入”舟——一例转移性胃癌患者经替雷利珠单抗联合介入后达到完全缓解并长期获益
【胃癌】“胃”来可期:一例HER2阳性胃癌患者围术期应用替雷利珠单抗联合方案达到病理完全缓解并长期获益
【胃癌】替雷利珠单抗联合化疗为晚期多发转移胃癌带来持久获益:持续PR至今,PFS已超17个月
【胃癌】一例胃癌肝转移患者经替雷利珠单抗联合化疗方案后获得手术机会并获得长期生存
【胃癌】一例食管胃结合部腺癌患者围手术期应用替雷利珠单抗联合方案达到病理完全缓解并长期获益
【胃癌】一例晚期胃癌患者经替雷利珠单抗联合化疗治疗后成功转化手术并获得长期生存
【胃癌】替雷利珠单抗联合化疗为胃癌肝转移患者带来持久获益:DOR超过66个月
【胃癌】晚期贲门癌伴多发肝转移患者经替雷利珠单抗联合化疗治疗后获长期缓解,DOR超过53个月
【胃癌】胃肝样腺癌术后肝转移,免化治疗后临床获益超五年,完全缓解超四年
【胃癌】一例胃癌肝转移合并腹膜转移患者一线化免治疗后实现持续缓解
【胃癌】贲门癌术后腹膜后淋巴结转移患者经替雷利珠单抗联合化疗治疗后DOR达4年
【胃癌】一例胃癌术后复发转移患者一线化免联合达临床完全缓解(cCR),免疫单药维持实现51个月持续cCR
【胃癌】 替雷利珠单抗联合化疗一线治疗低分化胃腺癌:一例PFS超4年的长期生存案例
【胃癌】一例胃癌肝转移患者一线化免联合持续缓解43个月后成功进行手术,达到无疾病证据(NED)状态
【胃癌】一例胃癌术后复发转移患者一线化免联合PFS超54个月
【胃癌】一例后腹膜淋巴结转移胃癌患者经化免治疗后高质量生存,PFS超过55个月
【胃癌】替雷利珠单抗一线胃癌治疗PFS超2年,进展后替雷利珠单抗跨线治疗,二线PFS再超19个月
【胃癌】一例胃癌肝转移患者经替雷利珠单抗联合化疗方案后获得手术机会并实现长期无瘤生存
【胃癌】一例胃癌患者经替雷利珠单抗联合化疗方案围手术期治疗后实现长期无瘤生存






苏公网安备32059002004080号