您好,欢迎您

神母中国之声(第7期)| 我是如何治疗初治高危神经母细胞瘤的

02月26日

整理:肿瘤资讯

来源:肿瘤资讯



规范化多学科诊疗助力1例初治高危神母患儿持续CR



分享嘉宾


王柱军 教授

华中科技大学同济医学院

附属协和医院

  • 博士 副主任医师 硕导

  • 武汉医师协会儿科医师分会委员

  • 湖北省医师协会儿科医师分会工作秘书

  • 湖北省医学会儿科学分会血液学组秘书

  • 中国抗癌协会小儿肿瘤专业委员会青年委员

  • 中华医学会儿科学分会血液学组专病协作组成员

  • 主持国家及省厅级课题3项,院级课题1项

  • 以第一/通讯作者发表文章15篇,其中SCI共12篇、获批专利3项、参与制定并发表指南/专家共识2篇

  • 擅长儿童生长发育评估与儿童实体瘤的综合治疗



患者资料


一般资料:男,初诊年龄1岁9个月。

主诉:发现腹腔占位1天余。

现病史:2023年11月20日,患儿因纳差就诊,行腹部B超示:上腹及右上腹122×70mm包块,与肝、右肾界限不清,伴有食欲下降、腹胀、便秘,不伴恶心、呕吐、发热等不适。

既往史:无特殊。



辅助检查


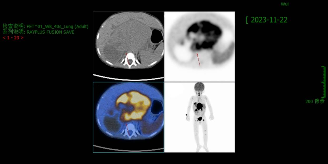
PET/CT(2023.11)

肝门区-腹膜后巨大混杂密度肿块,12.4×6.7cm,边界欠清,内见囊变、点状钙化,实性部分代谢异常增高,邻近肝脏、胰腺、右肾受压并与之分界欠清,右侧肾上腺未见明确显示;肝右叶近膈顶稍低密度肿块,直径约3.9cm,代谢异常增高;多发骨代谢增高灶。上述考虑恶性肿瘤性病变可能性大(神经母细胞瘤伴多发转移?)。

骨髓检查

未见异常细胞。

病理检查

(腹膜后)神经母细胞瘤(分化差型)。免疫组化染色示肿瘤细胞:Syn(+),CD56(+),CgA(+),PHOX2B(+),S-100(-),NKX2.2(-),CD99(-),PCK(-),NSE(-),Desmin(-),Ki67(LI:90%)。

肿瘤标志物

神经元特异性烯醇化酶(NSE)>370.00 ng/mL;乳酸脱氢酶(LDH)3066 U/L↑;24h尿VMA 1.0 mg/24h。



疾病诊断


腹膜后神经母细胞瘤(分化差型,CCCG-NB-2021 M期,高危组),伴肝脏及多发骨转移。



治疗历程


第一阶段:诱导治疗

(2023.11~2024.03)


2023.11~2024.02

诱导化疗方案:按r-COJEC联合三氧化二砷方案,共行8个周期化疗(Course A、B、C、B、A、B、C、B)。

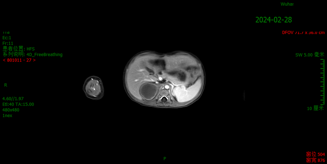
2024.02.28 诱导化疗后疗效评价:

MRI:“腹膜后肿瘤切除术”后,术区脂肪间隙稍显混浊;肝右叶-右肾上方多发等信号结节/团块状影,大者约35×31mm,强化不明显(仅包膜稍强化)。

2024.03.08

手术:腹膜后神经母细胞瘤切除+腹膜后淋巴结清扫术。

术后病理:符合(右侧)肾上腺神经母细胞瘤化疗后改变,切片上未见活肿瘤细胞残存。免疫组化检测示PHOX2B(-)。巴结未见肿瘤累及。



第二阶段:巩固治疗

(2024.04~2024.08)


采干日期:2024.04.01

2024.04

第一次自体造血干细胞移植:2024.04.16预处理,2024.04.24回输自体外周血干细胞,回输CD34:5.5×106/kg。移植过程顺利。

2024.05.31 PET/CT疗效评价:

前次“肝门区-腹膜后巨大混杂密度肿块、肝右叶近膈顶稍低密度肿块、多发骨代谢增高灶”本次未见。考虑恶性肿瘤综合治疗后活性明显受抑制。

2024.06

放疗:对腹腔肿瘤行放疗,PTV:21.6Gy/12F,患儿可耐受。

2024.07

第二次自体造血干细胞移植:2024.07.19行BU+美法仑预处理,2024.07.28回输自体干细胞,回输CD34:2.2×106/kg。预处理及移植过程顺利。

2024.10.05 巩固治疗后疗效评价:

腹部MRI:右侧肾上腺区肿物切除术后,肝右叶-右肾上方少许小条形信号影,增强未见明显异常强化影或弥散受限。心脏超声:心脏形态结构及瓣膜活动未见明显异常。疗效评价:CR。



第三阶段:达妥昔单抗β维持治疗(2024.10~2025.04)


治疗方案:达妥昔单抗β联合GM-CSF,共5个周期;口服维甲酸共6个周期。具体方案如下

达妥昔单抗β:10 mg/m2/d,24小时连续静脉滴注10天,总量60mg/周期,D4-D13。

GM-CSF:300μg/m2/d,皮下注射,D1-D14。

维甲酸:160mg/m2/d,一天两次,口服,D15-D28。



疗效评估


2025.03.27(第5周期中)

PET/CT:约平Th11椎体水平腹主动脉有异常信号,代谢轻度增高,1.0×0.9cm,右侧膈肌脚稍增粗,代谢不高,较前次病灶形态缩小,代谢程度减低;右侧肾上腺未见明确显示;以上考虑恶性肿瘤综合治疗后活性受抑制。疗效评价:CR。

安全性

免疫治疗期间出现的不良反应包括疼痛、浆膜腔积液等,经对症处理后均缓解。后续疗程不良反应逐渐减轻,整体可耐受。全部5个周期达妥昔单抗β免疫治疗按计划完成,未影响整体治疗进程。



结疗后随访


2025.06.19

MRI:原肝右叶-右肾上方少许小条形信号影此次未见明显显示;肠道未见明显梗阻征象。疗效评价:CR。

2025.11.17

NSE、LDH、BNP均正常。颅脑+腹部MRI:右侧肾上腺区肿物切除术后,增强未见明显异常强化影或弥散受限;腹盆腔未见明显肿大淋巴结影;颅脑未见明显异常。疗效评价:CR。

2026.02.08

患儿一般情况良好,已正常入园学习,定期随访中。



专家点评


本例为腹膜后来源的初治高危神经母细胞瘤,患儿发病年龄1岁9个月,以腹腔占位为首发表现。病理活检确诊为分化差型神经母细胞瘤,PET/CT检查考虑邻近器官受累及多发骨转移,无骨髓受累,依据CCCG-NB-2021分期标准明确为M期,高危组。


诱导治疗阶段按照r-COJEC联合三氧化二砷方案给予8个周期化疗,并行根治性手术切除,术后病理未见活肿瘤细胞残存。诱导治疗结束时综合评估疗效为完全缓解(CR),顺利进入巩固治疗阶段。巩固阶段给予两次自体造血干细胞移植及瘤灶局部放疗,进一步巩固疗效。维持治疗阶段以抗GD2抗体达妥昔单抗β为核心,应用达妥昔单抗β联合GM-CSF治疗5个周期,并口服维甲酸6个周期。首次抗GD2免疫治疗期间患儿出现肺水肿、心包积液、心脏损伤等,经对症支持治疗后好转,后续四个疗程耐受性良好。治疗后定期复查,疗效持续维持CR,截至末次随访患儿一般情况良好,已正常入园学习。


本例初治高危神经母细胞瘤的成功救治,体现了多学科协作、全程规范诊疗的重要性,也证明了以达妥昔单抗β为核心的免疫维持治疗在初治高危神经母细胞瘤中的有效性和安全性优势,为初治高危神经母细胞瘤的规范化治疗提供了有价值的临床参考。


“码”上关注【神母菁英学院】

了解更多神母资讯~



排版编辑:Shiro

责任编辑:Marie

版权声明

版权归肿瘤资讯所有。欢迎个人转发分享,其他任何媒体、网站如需转载或引用本网版权所有内容,须获得授权,且在醒目位置处注明“转自:良医汇-肿瘤医生APP”。


评论
03月14日
纪磊
青岛西海岸新区人民医院 | 呼吸内科
肝门区-腹膜后巨大混杂密度肿块,12.4×6.7cm,边界欠清,内见囊变、点状钙化,实性部分代谢异常增高,邻近肝脏、胰腺、右肾受压并与之分界欠清,右侧肾上腺未见明确显示;肝右叶近膈顶稍低密度肿块,直径约3.9cm,代谢异常增高;多发骨代谢增高灶。上述考虑恶性肿瘤性病变可能性大(神经母细胞瘤伴多发转移
03月13日
滕欣丽
佳木斯市肿瘤结核医院 | 放疗科
本例患者证明了以达妥昔单抗β为核心的免疫维持治疗在初治高危神经母细胞瘤中的有效性和安全性优势
03月13日
陈宁
南京康爱医院 | 肿瘤科
好好学习天天向上