您好,欢迎您

循证有例|男性乳腺癌伴内脏危机:CDK4/6抑制剂表现良好

02月09日
编译:肿瘤资讯
来源:Frontiers in Oncology

男性乳腺癌(MBC)是一种罕见的恶性肿瘤,大多数为激素受体阳性。虽然内脏危机最常发生于HR阳性/HER2阴性的乳腺癌患者中,但男性患者的报道极为罕见。现有指南推荐将联合化疗作为内脏危机的首选初始治疗,然而治疗结果常常不理想。

近期报道了一例HR+/HER2−转移性MBC伴内脏危机的罕见病例。该患者在接受一线化疗后迅速恶化,并伴有影像学进展。鉴于治疗反应缺乏,随后开始了基于CDK4/6抑制剂的内分泌治疗,结果实现了显著的肿瘤退缩和疾病的长期控制。

这一病例提示,在内脏危机中,CDK4/6抑制剂联合内分泌治疗可以明显改善病情,并且对于化疗失败后的部分HR+/HER2−MBC患者可能是一种可行的治疗选择。


病例介绍

一般情况:男,61岁。

主诉:发现左侧乳房肿块2年。

现病史:患者就诊前2年发现左侧乳房肿块,最初为花生大小,后因自发溃疡出现轻微表面红斑和结痂,但没有疼痛感,且肿块大小保持稳定。患者未报告发热、寒战、体重减轻或乳头分泌物。

既往史及家族史:个人或家族史中没有乳腺癌或相关恶性肿瘤的病史。

体格检查:左侧乳头下方有一个硬质、不规则的2.0×1.5cm肿块,表面有红斑和结痂,但无压痛或分泌物。未发现腋窝淋巴结肿大。

辅助检查:

影像学:乳腺超声显示29×28×25mm的低回声肿块,边缘不规则,内部有血管(BI-RADS 4C)。钼靶检查显示一个高密度的分叶状肿块,伴有微钙化。腹部MRI显示多个肝脏病灶,其中最大病灶为68×45×70mm,提示为转移灶,门脉区和腹膜后也有肿大淋巴结。骨扫描显示多发性骨转移。

活检:患者接受了左侧乳腺肿块和肿大的左侧锁骨上淋巴结的超声引导下空芯针穿刺活检。乳腺标本的组织病理结果提示高级别侵袭性导管癌,具有显著的核异型性,核分裂象多见。免疫组化(IHC)结果显示:雌激素受体(ER)90%(2+)、孕激素受体(PR)90%(3+)、雄激素受体(AR)70%(2+)、HER2(1+)、Ki-67 50%。

锁骨上淋巴结和肝脏活检结果证实了转移性癌症,IHC结果一致。HER2 FISH结果为阴性。此外,患者还出现了广泛的肝转移,伴有肝功能异常。

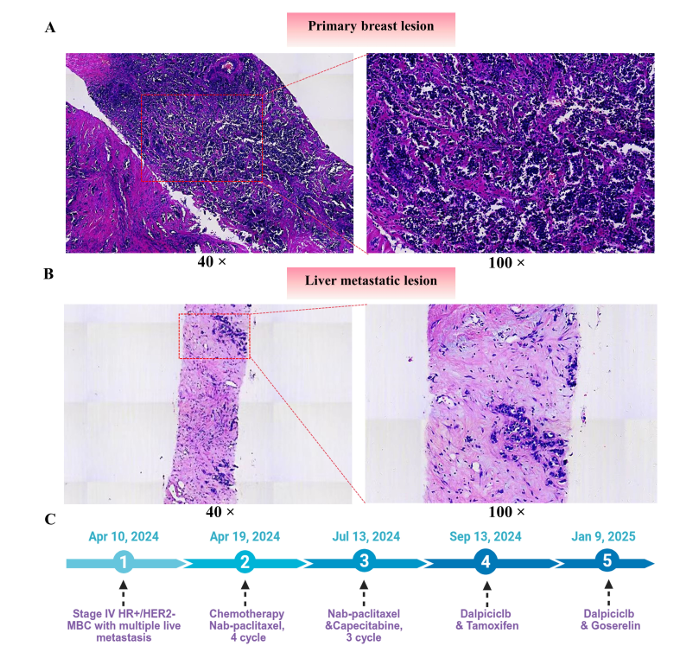
1.png

图1.原发性乳腺肿瘤与肝转移灶的组织病理学及治疗时间线(A)原发性乳腺病灶的代表性苏木素-伊红(H&E)染色结果,低倍镜(40×,左侧)及高倍镜(100×,右侧)下所示。(B)肝转移灶的代表性苏木素-伊红(H&E)染色结果,低倍镜(40×,左侧)及高倍镜(100×,右侧)下所示。(C)临床病程及治疗时间线。

诊断:根据第5版ESO-ESMO国际共识指南,该患者的情况符合肝危机的诊断标准。最终,疾病被分类为原发性IV期HR+/HER2−乳腺癌,伴有肝脏和骨骼转移。

治疗:

鉴于患者存在广泛的肝转移,治疗开始时为白蛋白结合型紫杉醇作为挽救化疗(200mg 每个21天周期的第1天和第8天各一次),并在治疗中同时给予唑来膦酸以预防骨骼相关事件。

根据RECIST v1.1标准选取目标肝脏病灶并测量。经过两周期治疗后,MRI显示肝病灶略有缩小,治疗反应被评为疾病稳定(SD)。4周期后,MRI显示肝病灶只有轻微的进一步缩小,治疗反应依然是SD,改为使用卡培他滨(1g bid,21天周期的第1到第14天)。经过七周期治疗后,MRI显示肝脏病灶有混合反应,部分病灶出现肿大。PET-CT进一步证实肝脏转移灶的代谢活跃性(SUVmax=8.4),并伴有多发性骨成骨性病灶及轻度的左腋窝淋巴结FDG摄取,表明存在持续的残留病变,并符合进展性疾病(PD)的标准(图2A)。

2.png

图2.肝转移灶的纵向放射学评估及临床反应;(A)不同时间点采集的代表性腹部轴位MRI图像,红色箭头指示肝转移灶。(B)热图显示靶病灶大小随时间的变化,包括肿瘤最大长度(上图)和最大宽度(下图)。(C)全身治疗的示意图时间线及根据放射学评估得出的最佳总体反应。

然而,随着治疗的进展,化疗的效果逐渐减弱。治疗方案被改为内分泌治疗联合CDK4/6抑制剂:达尔西利 150 mg qd,28天周期的第1到第21天+戈舍瑞林3.6mg 每28天一次+来曲唑 2.5mg qd。唑来膦酸继续使用。

三个月后,MRI显示肝转移灶显著缩小,符合部分缓解(PR)(图2B)。然而,患者在使用戈舍瑞林后报告出现严重的潮热反应,要求暂停使用该药物。因此,暂时停止了戈舍瑞林的使用,来曲唑被替换为他莫昔芬(每日两次10mg),同时继续使用达尔西利。2025年4月10日的MRI显示肝转移病灶进一步缩小,维持PR状态。患者后续同意恢复药物去势治疗。在最近的一次随访中,MRI显示肝转移病灶稳定(SD)(图2C)。肝功恢复尚可。目前,患者一般情况良好,仍在接受达尔西利、他莫昔芬和唑来膦酸治疗。

讨论

因为目前的推荐主要是根据女性乳腺癌患者的数据推断的,转移性MBC中的内脏危机的最佳管理方法仍不确定。尽管NCCN和ESMO指南优先推荐联合化疗作为首选治疗方案,以期快速控制疾病,但对于肝脏肿瘤负荷较重或肝功能下降的患者,实际治疗结果往往不理想,且在内脏危机中,快速恢复器官功能至关重要。

尽管HR+/HER2−男性乳腺癌表现出激素依赖性,但支持CDK4/6抑制剂在男性中的应用的证据仍然有限。CDK4/6抑制剂能发挥早期抗增殖效应,这在肿瘤负荷较重的内脏危机环境中尤为有利。

该病例表明,在化疗失败后,CDK4/6抑制剂联合内分泌治疗可能成为HR+/HER2−转移性男性乳腺癌患者在内脏危机中的有效替代方案。该病例还强调了应超越严格的、以指南为驱动的化疗治疗,在内脏危机中采取更为生物学驱动的治疗方法,并强调了在男性乳腺癌中进行性别包容性研究的重要性。然而,由于单一病例的固有局限性,结果的普遍性应谨慎解读,包括肿瘤生物学、激素受体表达、体能状态和治疗依从性等因素。此外,缺乏男性特异性数据也限制了这些结果的普适性。需要更多、更具多样性的临床研究,以更好地界定CDK4/6抑制剂在内脏危机,尤其是在男性患者中的作用。

参考文献

Liu J,Chen W,Wang J&Wang X.Remarkable response to CDK4/6 inhibitor-based endocrine therapy in HR+/HER2− metastatic male breast cancer with visceral crisis:A case report.Frontiers in Oncology,15,1753700.https://doi.org/10.3389/fonc.2025.1753700



责任编辑:肿瘤资讯-Hanna
排版编辑:肿瘤资讯-Hanna



版权声明
本文专供医学专业人士参考,未经著作人许可,不可出版发行。同时,欢迎个人转发分享,其他任何媒体、网站如需转载或引用本网版权所有内容,须获得授权,且在醒目位置处注明"转自:良医汇-肿瘤医生APP"。

评论
02月22日
杨蔷
溧阳市中医医院 | 肿瘤科
CDK4/6抑制剂能发挥早期抗增殖效应,这在肿瘤负荷较重的内脏危机环境中尤为有利。
02月19日
陈州华
湘潭市第二人民医院 | 肿瘤科
男性乳腺癌(MBC)是一种罕见的恶性肿瘤,大多数为激素受体阳性
02月19日
王福军
牡丹江市肿瘤医院 | 肿瘤外科
值得学习收藏的好文章