您好,欢迎您

【寻根溯源】腮腺肿胀背后的“伪装者”——套细胞淋巴瘤病例分享

02月03日
编译:肿瘤资讯
来源:肿瘤资讯

套细胞淋巴瘤(MCL)是一种罕见且侵袭性强的B细胞非霍奇金淋巴瘤,常累及淋巴结、脾、骨髓和胃肠道,而唾液腺受累,尤其是腮腺受累,则较为罕见,常与良性/恶性唾液腺肿瘤混淆,为早期诊断带来巨大挑战。本文报道了一例以无痛性腮腺肿胀为首发症状,最终确诊为MCL的病例,以期为临床医生在面对非典型腮腺占位性病变时,提供早期识别与精准诊治的新思路。

病例介绍:腮腺肿胀背后隐藏的MCL

患者男,58岁,因“右侧耳前区无痛性、进行性肿大4-5个月”就诊。无面神经系统受累症状,亦无发热、盗汗、体重减轻等淋巴瘤相关B症状。体格检查发现双侧腹股沟淋巴结肿大,颈部未扪及明确肿大淋巴结。

腹股沟淋巴结及右侧腮腺肿物细针穿刺细胞学检查(FNAC)提示“反应性增生”。实验室检查显示,血红蛋白、白细胞和血小板计数正常,外周血涂片未见异常淋巴细胞,血清乳酸脱氢酶(LDH)水平轻度升高至270 U/L。颈部磁共振成像(MRI)检查可见右侧腮腺软组织肿块,在T1和T2加权像上呈中等至轻度低信号,显像剂增强后可见轻度边缘强化(图1)。

11.jpg

图1. 颈部增强MRI:右侧腮腺肿块(红色箭头),伴轻度边缘强化

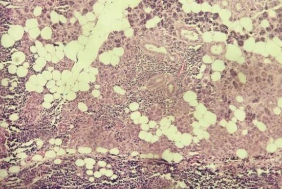
鉴于腮腺占位性病变持续存在,为明确诊断并进行治疗,患者在全身麻醉下接受了“右侧腮腺浅叶切除术”,并对右侧腮腺标本进行病理活检,提示MCL。镜下显示,正常的腮腺腺体组织被大小不一、形态单一的非典型淋巴细胞浸润——细胞核质比高,细胞核不规则、深染,染色质呈团块状,核仁不明显,胞质稀少。肿瘤细胞广泛浸润至周围脂肪及骨骼肌(图2,3)。

1111.jpg

图2. 100倍镜下(HE染色)显示腮腺组织被大量非典型淋巴细胞浸润

11111.jpg

图3. 400倍镜下(HE染色)可见形态单一的非典型淋巴细胞,核质比高,核深染,浸润周围组织

免疫组化结果显示,CD20、CD5、BCL2和Cyclin D1阳性,而CD23、CD10、BCL6和MUM1阴性。此外,可见散在CD3阳性T淋巴细胞。Ki-67增殖指数约为40%,提示肿瘤处于中度增殖活性状态。

表1. 免疫组化结果

222.png

全身PET-CT检查显示,双侧腭扁桃体和腮腺区域FDG摄取异常增高,升结肠、十二指肠和回肠可见代谢活跃病灶。值得注意的是,最初检查发现的腹股沟淋巴结肿大未见异常摄取,提示其为良性反应性增生。

随后,患者接受苯达莫司汀联合利妥昔单抗(BR方案)治疗。经过15个月的随访,患者无疾病复发。但考虑到MCL的侵袭性生物学行为,仍需进行密切的长期监测。

寻根溯源:罕见MCL病例的诊疗启示

 MCL腮腺受累极为罕见,临床易被误诊为腮腺良性病变。在本例中,患者初期的FNAC结果提示为“反应性增生”,该结果极大地增加了诊断的迷惑性,也凸显了FNAC在诊断MCL方面存在一定的局限性。

此外,患者广泛结外受累仅在 PET-CT 检查时才被发现。这凸显了 MCL 表现非典型时的诊断挑战:若仅将其视为局部腮腺肿瘤进行手术,势必会导致漏诊或误诊,进而严重影响患者预后。
 
组织病理学与免疫组化是拨开诊断迷雾、明确 MCL 的关键。典型的MCL肿瘤细胞通常为CD20、CD5和Cyclin D1阳性,CD10和BCL-6阴性。其中,Cyclin D1是确诊MCL的关键,因其在MCL中的特异性高表达。此外,SOX11是补充诊断MCL的另一重要标志物,尤其是在少数Cyclin D1阴性或表达不典型的MCL病例中,SOX11的表达能够提供关键的诊断线索,进一步提高诊断的准确性。
 
本病例强调了在面对非典型腮腺占位时,需警惕淋巴瘤的可能性。FNAC可能产生误导性结果,明确诊断需依赖全面的系统评估,包括病理活检、免疫组化以及影像学检查等。临床医生应提高对这类“伪装者”的认识,掌握MCL诊断和预后指标,及时、个体化治疗,从而改善患者预后。


参考文献

Gupta T, Yadav S, Naseem AA, Singh SK, Rashmi R. Mantle Cell Lymphoma Mimicking Parotid Neoplasm: A Rare Case Report. Iran J Otorhinolaryngol. 2026;38(1):61-65. 



责任编辑:肿瘤资讯-elva
排版编辑:肿瘤资讯-robin


评论
02月17日
史渊
平遥兴康医院 | 肿瘤内科
感谢分享受益匪浅
02月09日
余娜莎
江西省肿瘤医院 | 肿瘤内科
BR 免疫化疗治疗套细胞淋巴瘤需要自体造血干细胞移植巩固吗
02月09日
周晓灿
南京医药股份有限公司第一药店 | 肿瘤科
好好学习天天向上