您好,欢迎您

【名医风采】黄志煜教授:精准联合治疗破解MET异常NSCLC免疫治疗超进展困境——一例年轻患者的逆转之路

01月29日
整理:肿瘤资讯
来源:肿瘤资讯

MET基因异常是非小细胞肺癌(NSCLC)的关键驱动因素,其分子表型呈现高度异质性,涵盖MET 14号外显子跳跃突变(METex14 skipping)、基因扩增及蛋白过表达等。尽管METex14跳突的靶向治疗已取得循证依据,但MET蛋白过表达以及多倍体扩增的诊疗策略仍是临床实践中的难点[1]。本期由浙江省肿瘤医院陈凯燕医生分享一例特殊病例:一名年轻晚期NSCLC患者,在合并MET蛋白过表达及多倍体扩增的情况下,一线免疫治疗遭遇超进展,后通过精准靶向治疗实现病情逆转。浙江省肿瘤医院黄志煜教授将结合最新临床证据深度解读,探讨MET异常患者的个体化治疗策略与决策要点。

黄志煜 
副主任医师

浙江省肿瘤医院胸部肿瘤内科 医疗组长
浙江省医师协会肿瘤精准治疗专委会委员
浙江省医学会营养支持学组委员
擅长胸部肿瘤(肺癌、食管癌)的综合治疗及疑难病例诊治
作为分中心PI或研究者参与国际多中心临床试验50余项
在 Frontiers in Immunology、Transl Lung Cancer Res 等杂志
发表SCI论文10余篇
获浙江省科学技术进步二等奖

陈凯燕
副主任医师

浙江省肿瘤医院胸部肿瘤内科
中国抗癌协会小细胞肺癌专业委员会委员
浙江省抗癌协会食管癌专业委员会委员
浙江省抗癌协会肿瘤病因专业委员会委员
浙江省抗癌协会肿瘤内科专业委员会青委会委员
2021年获选CSCO“35 under 35”优秀青年肿瘤医生
以第一作者在WCLC、ESMO、ELCC、CSCO、FACO等肿瘤学会议上口头汇报
或壁报交流学术成果,获得ELCC Travel Award
以第一作者及共同第一作者在 Lancet Oncology、JAMA Oncology、Journal of Translational Medicine、Lung Cancer 等杂志发表SCI论文10余篇
主持浙江省自然科学基金1项、浙江省医药卫生科技计划2项

患者治疗历程回顾

基本信息

基本资料: 患者女,31岁,ECOG PS评分 1分。

主诉: 胸闷气促2周,发现左肺占位2天。

个人史及家族史: 无吸烟饮酒史,否认肿瘤家族史。

体格检查: 双锁骨上可及肿大淋巴结,长径2cm,质硬固定。

辅助检查:

  •  影像学检查(2025-4-18): 胸腹增强CT示左肺占位,伴纵隔及双侧锁骨上多发淋巴结肿大。双肺及左侧胸膜多发结节,考虑转移。

2.png

胸部增强CT基线
  • 实验室检查(2025-4-17): 白细胞计数 29.6×109/L,中性粒细胞数 25.8×109/L;白蛋白 35.2 g/L;C-反应蛋白(CRP) 67 mg/L;CA125 198 U/ml;CEA 正常范围。

  • 心脏检查(2025-4-17): 心电图示窦性心动过速(122 bpm);心超示心动过速,EF 67%。

  • 颈部B超(2025-4-17): 双侧锁骨上多发淋巴结肿大(转移性考虑,较大者25×14mm)。

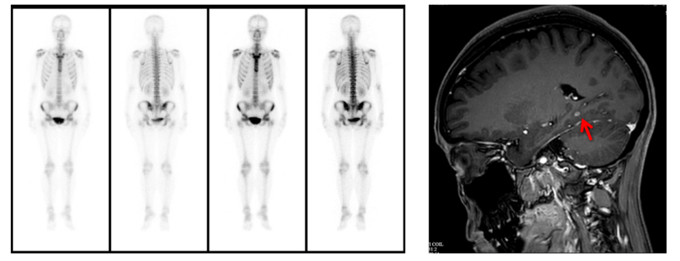
  • 颅脑增强MRI(2025-4-18): 右侧颞枕部单发转移瘤,长径约3mm。

  • 全身骨显像(2025-4-19): 未见明显异常。

12.png

全身骨显像及颅脑增强MRI

病理及分子检测:

  • 病理诊断(2025-4-23): 左侧锁骨上淋巴结穿刺示低分化癌伴大片退变、坏死,倾向腺癌。

  • 免疫组化(IHC):CK7(+)、TTF-1(部分弱阳)、P40(-)、ALK(D5F3)(-)、PD-L1(22C3)(TPS 50%)、c-Met(3+, 80%)。

  • 基因检测(组织168-panel NGS):TP53 R213Q错义突变(58.31%);CDKN2A 拷贝数缺失(CN:1.1)。

  • FISH检测:MET基因扩增(多倍体),GCN=6.58;MET/CEP7=1.61。

临床诊断:左肺腺癌 cT4N3M1c IVb期(淋巴结、胸膜、肺、脑继发恶性肿瘤)。MET蛋白过表达(3+)/ MET扩增(多倍体);PD-L1高表达(TPS 50%)。

治疗经过

一线治疗:患者PD-L1高表达(≥50%),无常见敏感驱动基因(EGFR/ALK/ROS1阴性),入组临床研究。2025-05-06 给予C1D1治疗: PD-1/TIGIT双抗 静滴 d1,q3w;辅以支持治疗。

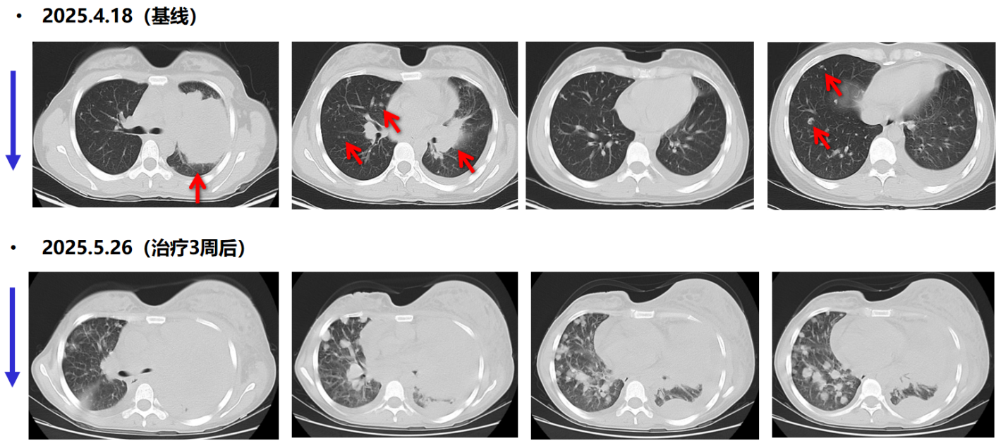
疗效评估:治疗仅3周后,患者病情迅速恶化。自觉胸闷加重,左乳及左侧肢体明显肿胀,胸部静脉怒张。2025年5月26日,胸部CT示左肺病灶及纵隔淋巴结较前明显增大,左乳皮下水肿明显,出现心包积液,2025年5月27日行心包穿刺引流黄色液体500ml。

11.png

一线治疗前后胸部CT(肺窗)

111png.png

一线治疗前后胸部CT(纵隔窗)

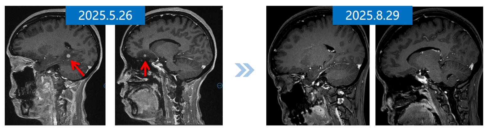
2025年5月26日,颅内MRI示颅内病灶进展。

图片111.png

一线治疗前后颅内MRI

二线治疗:鉴于患者病情危重,属于高肿瘤负荷且存在MET蛋白过表达(IHC 3+)及MET多倍体扩增(GCN>5),临床团队调整方案,采用靶向联合化疗的策略。2025-05-28、2025-06-19 行2周期二线治疗:培美曲塞 730mg d1 + 卡铂 400mg d1 + 卡马替尼 400mg BID。

疗效评估:2025-7-10及2025-8-29复查胸部CT,显示左肺占位及肿大淋巴结缩小,疗效评估为部分缓解(PR)

33png.png

二线治疗前后胸部CT

2025年8月29日复查颅脑MRI,显示右侧颞枕部转移灶消失,颅内疗效评估为完全缓解(CR)

5.png

二线治疗前后颅内MRI

截至2025年11月,患者PFS已超过6个月,目前病情持续稳定。

6.png

患者治疗至今的CRP和糖类抗原125的数值变化

专家点评

黄志煜教授:本例患者为年轻女性,确诊时即为晚期,且伴有高危临床特征(高白细胞、高CRP、低蛋白、心动过速),病情凶险。虽然PD-L1高表达(50%),但一线使用免疫双抗药物后出现了爆发性进展。这一现象提示我们,对于驱动基因阳性或通路异常激活的NSCLC,单纯免疫治疗可能疗效不佳。

该患者未检测到其他可靶向的驱动基因阳性,但存在显著的MET蛋白过表达(IHC 3+)和MET多倍体扩增(GCN 6.58)。现有研究表明,MET蛋白过表达是预后不良的独立风险因素,且与缺氧、炎症及促血管生成因子相关[1]。目前,对于不携带其他驱动基因但存在MET蛋白过表达的NSCLC患者,临床治疗策略仍在探索中。国内外诊疗指南或专家共识指出,对于驱动基因阴性且MET蛋白过表达的患者,可尝试使用MET-TKI或Telisotuzumab vedotin(靶向MET的ADC)治疗[1-2]。而针对MET多倍体NSCLC的治疗策略与一般的MET扩增也有显著不同,研究显示,MET多倍体对MET抑制剂的响应显著低于MET扩增[3]。因此,对于MET多倍体患者,铂类为基础的化疗仍是主要治疗选择。综上所述,该例患者可选的治疗策略相对较匮乏,针对该类患者的治疗仍未形成广泛的共识,加之患者伴有高危临床特征,患者的诊疗策略需要进行谨慎研判。

回到该例患者的诊疗策略,在治疗手段并不多的情况下,基于PD-L1高表达(50%),患者采用PD-1/TIGIT 双抗进行一线治疗,然而本例患者在一线免疫治疗出现爆发性进展。究其原因,免疫治疗通常在MET异常患者中的反应率较低,即使伴有高PD-L1表达[4]。因此,二线治疗探索性地采用MET-TKI(卡马替尼)联合化疗的策略,令人惊喜的是,在二线治疗中引入靶向治疗起到了关键作用,疗效评估达到PR,颅内病灶达到CR。这一结果非常令人振奋,这说明二线治疗中的MET-TKI可能对MET蛋白过表达或MET多倍体扩增起到了关键的靶向治疗作用。

综上所述,对于不携带其他驱动基因,仅MET蛋白强阳性或MET多倍体扩增的PD-L1高表达晚期NSCLC患者,免疫治疗可能不是最好的一线治疗选择。反观现有治疗策略不成熟的MET蛋白强阳性或MET多倍体扩增这两个治疗靶点,探索性地采用MET-TKI可能会取得意想不到的优异疗效,为患者争取生存机会。这例患者的成功转归,为临床上那些"驱动基因阴性但MET异常"的灰色地带患者,点亮了一盏新的明灯。

参考文献(向上滑动查看更多)

[1] MET异常NSCLC诊疗专家共识(2025版),中国肺癌杂志2025年2月第28卷第2期.
[2] Lee JB, Shim JS, Cho BC. Evolving roles of MET as a therapeutic target in NSCLC and beyond. Nat Rev Clin Oncol. 2025.
[3] Xiang C, Lv X, Chen K, Guo L, Zhao R, Teng H, Ye M, Kuang T, Hou T, Liu C, Du H, Zhang Z, Han Y. Unraveling the Significance of MET Focal Amplification in Lung Cancer: Integrative NGS, FISH, and IHC Investigation. Mod Pathol. 2024 Apr;37(4):100451.
[4] Sun D, Tao J, Yan W, Zhu J, Zhou H, Sheng Y, Xue C, Li H, Hou H. Optimal Treatments for NSCLC Patients Harboring Primary or Acquired MET Amplification. Technol Cancer Res Treat. 2022 Jan-Dec;21:15330338221128414.

责任编辑:肿瘤资讯-明小丽
排版编辑:肿瘤资讯-htt
版权声明
版权归肿瘤资讯所有。欢迎个人转发分享,其他任何媒体、网站如需转载或引用本网版权所有内容,须获得授权,且在醒目位置处注明“转自:良医汇-肿瘤医生APP”。