您好,欢迎您

POWER INV第二季丨接近CR,实例尽显,芦康沙妥珠单抗为EGFR-TKI耐药患者带来近两年PFS获益

01月26日
整理:肿瘤资讯
来源:肿瘤资讯

晚期非小细胞肺癌(NSCLC)的治疗在靶向治疗时代取得了显著进展,但EGFR-TKI耐药后患者的治疗选择有限,预后往往不佳。抗体偶联药物(ADC)的崛起为这类患者提供了全新的治疗方向,其中芦康沙妥珠单抗作为中国原研、全球首个获批EGFR-TKI耐药NSCLC适应症的TROP2 ADC药物,凭借突破性临床数据荣登ESMO大会主席论坛1并同步发表于《新英格兰医学杂志》(NEJM2,彰显了中国创新药的全球影响力。近日,浙江大学医学院附属第一医院张培医生分享了一例EGFR突变晚期NSCLC患者,经多线EGFR-TKI治疗耐药后,通过芦康沙妥珠单抗治疗实现长期深度疾病控制的病例,为EGFR-TKI耐药后的晚期NSCLC治疗提供了极具价值的临床实践参考。本文特邀浙江大学医学院附属第一医院许攀峰教授对该病例进行深入点评,剖析芦康沙妥珠单抗在NSCLC治疗管理中的独特价值。

许攀峰
浙江大学医学院附属第一医院呼吸与危重症医学科博士,副主任医师

中华医学会呼吸分会睡眠呼吸障碍学组委员
中华医学会内科学分会血栓工作委员会委员
浙江省医师协会呼吸医师分会教育工作委员会副主任委员
浙江省医学会呼吸分会睡眠与呼吸生理学组委员
浙江省呼吸感染病诊治联盟常委

张培
医学博士

浙江大学医学院附属第一医院、呼吸与危重症医学科、主治医师
参与ARCHER 1050、LEAP-006/007等国际多中心临床研究,参与RATIONALE、GLORY等多项国内新药临床研究
主持省医药卫生科技项目、省中医药科技项目,参与国自然、省公益、省科技厅领雁项目,主持浙大一院AI赋能教改项目,发表SCI论文数篇。

病例分享

病例介绍

患者,女,58岁。

主诉:因检查发现气管腔外占位及淋巴结异常肿大就诊。
 
现病史:患者于2022年8月11日接受CP-EBUS检查,探及气管中上段腔外肿块(MASS)及4R组淋巴结,分别行TBNA活检。病理提示:(气管中上段腔外MASSTBNA活检)查见多量异型细胞,低分化癌可能大;(4R组淋巴结TBNA活检)纤维素性渗出物中查见异型细胞,低分化癌可能大。进一步免疫组化检查结果:ALK Ventana(-),CK(pan)(+),CK5/6(-),CK7(+),P40(个别+),TTF-1(+),Napsin A(+),CDX2(-),PAX-8(-),BRG1(+),余杭免疫补充提示CK(pan)(+),最终病理诊断为肺腺癌。
 
辅助检查:

基因检测:EGFR基因21号外显子突变(L858R);

影像学及病理检查:结合活检及免疫组化结果,明确诊断为肺癌(腺癌,T2bN3M0 Ⅲb期)。
 
初步诊断:肺腺癌Ⅲb期(T2bN3M0),EGFR基因21号外显子L858R突变。
 

治疗历程

一线治疗:EGFR-TKI靶向治疗

患者确诊后,根据EGFR基因突变状态及临床指南推荐,于2022年9月8日至2023年10月8日口服埃克替尼进行靶向治疗,治疗持续13个月。

疗效评价:治疗期间定期监测,疾病稳定(SD),无明显进展,实现无进展生存期(PFS)13个月。

疾病进展与二次活检

2023年10月16日,患者复查时提示疾病可能进展,再次行气管腔外MASSTBNA活检,结果提示纤维素样渗出物中查见少量癌组织,首先考虑腺癌。为明确耐药机制,于2023年11月7日行第二次基因检测,结果显示:EGFR基因20号外显子C.2369C>T(p.T790M)突变(丰度6.93%),21号外显子C.2573T>G(p.L858R)突变(丰度13.48%),未检测到拷贝数变化及基因融合或重排变异,明确为T790M突变导致的EGFR-TKI耐药。

二线治疗:第三代EGFR-TKI治疗

基于二次基因检测结果,患者于2023年10月至2024年3月改为口服伏美替尼治疗。

疗效评价:2023年12月评估疗效为疾病稳定(SD);2024年3月复查CT提示疾病进展(PD),二线治疗PFS为5个月。

三线治疗:芦康沙妥珠单抗临床研究治疗

患者经两线EGFR-TKI治疗后疾病进展,治疗选择受限。完善相关检验检查后,患者同意参加临床研究,于2024年3月27日起接受芦康沙妥珠单抗214mgd1、d15,q4w方案治疗。
 
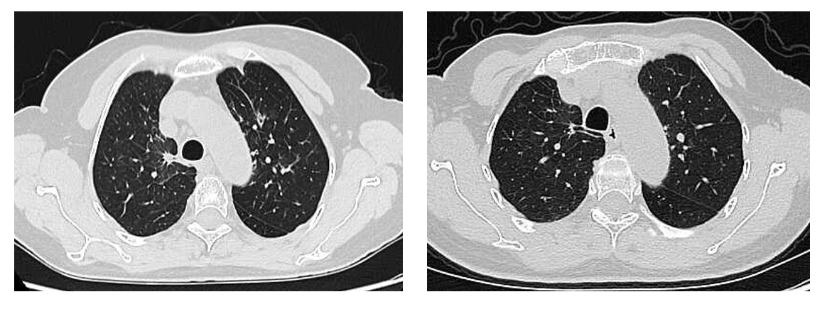
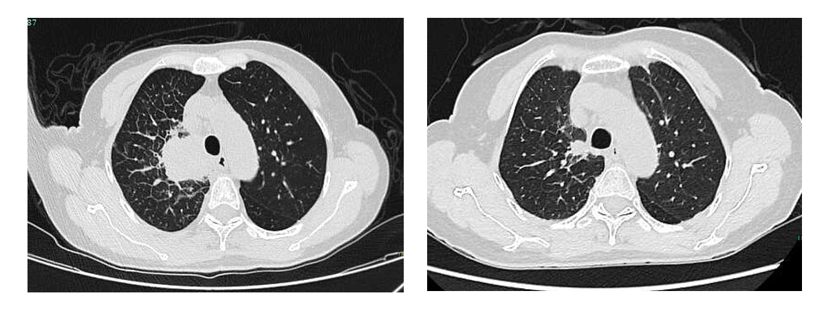
疗效评价:治疗仅1月余,2024年5月7日第一次疗效评估即达到部分缓解(PR),病灶较治疗前显著缩小(图1),治疗应答迅速且强效2024年7月31日第三次疗效评估仍维持PR状态,病灶在首次缩小的基础上持续退缩(图2),肿瘤负荷进一步降低。2026年1月13日最近一次肿瘤评估提示病灶接近CR(图2)。截止随访,患者已接受芦康沙妥珠单抗治疗22个月,PFS达22个月,疾病控制持续稳定,未出现进展迹象,实现了长期高质量生存。

图片病例1.png

图1. 2024年3月19日(左)对比2024年5月7日(右)

图片1病例2.png

图2. 2024年7月31日(左)对比2026年1月13日(右)

不良反应:治疗期间患者出现的不良反应均为1级轻度反应,包括咳嗽、脱发及中性粒细胞减少,其中中性粒细胞减少已完全恢复,无任何严重不良反应发生,治疗耐受性极佳,未对患者生活质量造成明显影响。

治疗小结

WX20260126-104600@2x.png

图3. 治疗小结

专家点评

本例患者为EGFR基因21号外显子L858R突变的Ⅲb期NSCLC,先后接受一代EGFR-TKI埃克替尼和三代EGFR-TKI伏美替尼治疗,但疗效均有限——尤其是在明确T790M耐药突变后,三代TKI治疗不足半年即出现疾病进展(PFS仅5个月),充分体现了EGFR-TKI治疗面临的耐药困境及后续治疗的紧迫性。而患者三线采用芦康沙妥珠单抗单药治疗后,取得了突破性疗效,患者最终评估接近CR,实现了22个月的长期疾病控制,且安全性全程可控,充分彰显了芦康沙妥珠单抗在EGFR-TKI耐药晚期NSCLC治疗中的重要价值。

治疗决策的合理性

EGFR-TKI耐药是晚期EGFR突变NSCLC治疗的核心瓶颈,尤其是第三代TKI耐药后高达75%的耐药机制属于“未知”或高度复杂的旁路信号激活,这类患者此前缺乏有效治疗手段,预后极差。芦康沙妥珠单抗作为一款新型高效抗体偶联药物,凭借靶向TROP2的生物标志物非选择性“all-comer”策略,无需依赖特定靶点检测即可发挥作用,为机制不明的耐药患者开辟了全新治疗路径。2025年ESMO大会公布的OptiTROP-Lung04研究数据证实,针对EGFR-TKI耐药的NSCLC患者,芦康沙妥珠单抗治疗较化疗可显著延长PFS(8.3个月vs4.3个月),疾病进展或死亡风险显著降低51%(HR=0.49),且实现了OS这一核心终点的显著获益,患者显著降低死亡风险40%(HR=0.60,P=0.001),单药达成PFS与OS双获益的优异结果,为该治疗决策提供了高级别循证医学依据。

值得注意的是,对比目前临床常用的后线治疗方式,芦康沙妥珠单抗的生存获益优势显著,对于身体状态良好、耐受性佳的患者,“好药先用”的策略可更早为其带来生存获益,进一步优化治疗结局。

疗效评估接近CR,达到近两年无进展

从临床疗效来看,芦康沙妥珠单抗展现出了令人欣喜的治疗效果:治疗后快速起效,仅1个多月即达到PR,体现了其强效的抗肿瘤活性;且疗效持续稳定,病灶持续缩小并长期维持缓解状态,PFS达22个月,大幅超越了传统后线治疗的预期,为患者赢得了宝贵的长期生存时间。这一临床结果与OptiTROP-Lung04研究中60.6%的客观缓解率(ORR)数据高度契合,进一步验证了芦康沙妥珠单抗在EGFR-TKI耐药人群中的强效抗肿瘤活性。

在安全性方面,患者仅出现1级轻度不良反应,无严重毒副反应,耐受性优异。芦康沙妥珠单抗的不良反应整体可控,针对临床可能出现的口腔溃疡,可通过提前给予黏膜保护剂、保持口腔清洁、避免刺激性食物等方式进行预防与处理;注射前需完善血常规、肝肾功能等基线检查,同时进行预处理以降低输注相关反应风险,进一步保障治疗安全。其不良反应以轻度为主、可防可控的特点,在高效杀伤肿瘤的同时,最大程度减少了对正常组织的损伤,保障了患者长期治疗的可行性与生活质量。

临床启示

综上所述,该病例的成功治疗为EGFR-TKI耐药后的晚期NSCLC患者提供了关键临床借鉴。值得一提的是,芦康沙妥珠单抗用于经EGFR-TKI和含铂化疗治疗后进展的适应症在2025年3月刚获批,同年 12 月就被纳入国家医保目录32026 年 1 月 1 日起报销政策正式落地。这种 “当年获批、当年入保” 的高效衔接,大幅压缩了创新药的患者可及周期,让患者不必久等,就能用上与国际前沿接轨的治疗方案。随着临床研究的持续推进,相信芦康沙妥珠单抗将在晚期肺癌治疗领域发挥更大作用,为全球肺癌治疗贡献更多“中国智慧”与“中国方案”。


参考文献

[1] Zhang L. et al. 2025 ESMO LBA5
[2]Fang, Wenfeng et al. “Sacituzumab Tirumotecan in EGFR-TKI-Resistant, EGFR-Mutated Advanced NSCLC.” The New England journal of medicine, 10.1056/NEJMoa2512071. 19 Oct. 2025.
[3] 国家药品监督管理局官网信息

责任编辑:NY
排版编辑:Crystal
版权声明
版权归肿瘤资讯所有。欢迎个人转发分享,其他任何媒体、网站如需转载或引用本网版权所有内容,须获得授权,且在醒目位置处注明“转自:良医汇-肿瘤医生APP”。

评论
02月01日
纪磊
青岛西海岸新区人民医院 | 呼吸内科
从临床疗效来看,芦康沙妥珠单抗展现出了令人欣喜的治疗效果:治疗后快速起效,仅1个多月即达到PR,体现了其强效的抗肿瘤活性;且疗效持续稳定,病灶持续缩小并长期维持缓解状态,PFS达22个月,大幅超越了传统后线治疗的预期,为患者赢得了宝贵的长期生存时间